Лучший стоматолог Опубликовано 22 марта, 2013 Поделиться Опубликовано 22 марта, 2013 Стоим в клинике перед выбором - какой покупать материал для проведения реставраций: Filtek Supreme XT, новую Charisma или Dentspy' материал? кто с чем работал, какие мнения?С недавнего времени работаем для фронта нано композитом SAPPHIRE производство Германия для компании TBI.Прекрасный материал по эстетике ,полировке . Ссылка на комментарий
zzkz Опубликовано 8 октября, 2013 Поделиться Опубликовано 8 октября, 2013 (изменено) К нам в клинику недавно заглянули представители Японской компании, предлагают свой материал Fantasista, который практически не надо полировать. Короче такую работу маркетинговую провели, что теперь доктора хотят его, особенно детские(чтоб с полировкой не заморачиваться).Кто нибудь слышал о такой хоть что-нибудь? google не знает такогоИ еще(может не к этой ветке) десенситайзер MS Coatone, ваще не слышал. Изменено 8 октября, 2013 пользователем zzkz Ссылка на комментарий
sorriso Опубликовано 8 октября, 2013 Поделиться Опубликовано 8 октября, 2013 К нам в клинику недавно заглянули представители Японской компании, предлагают свой материал Fantasista, который практически не надо полировать. Короче такую работу маркетинговую провели, что теперь доктора хотят его, особенно детские(чтоб с полировкой не заморачиваться).Кто нибудь слышал о такой хоть что-нибудь? google не знает такогоИ еще(может не к этой ветке) десенситайзер MS Coatone, ваще не слышал.Fantasista это фирма Sonodent, Япония. Гибридный композит светового отверждения,рентгеноконтрастный. Fantasista – это композитный материал светового отверждения натурального цвета зубов на основе уникального сочетания мономеров, в состав которого входят неорганические наполнители, а также уникальный органический наполнитель, который вступает в реакцию с межклеточным материалом (матрицей). Благодаря этим свойствам материал легок в обращении, а пломбы из такого рентгеноконтрастного материала простоят долго. Благодаря точному соответствию шкале расцветок Vita-shade Вам не составит труда правильно подобрать цвет материала. Фантасиста (Fantasista) применяется для пломбирования зубов всех классов полостей (I-V), восстановления формы зуба (отколотой части), а также установки на зуб искусственных коронок. Состав: TEGDMA (Метакриловая кислота) UDMA (Уретан диметилметакрилата) Барий силикатное стекло Стронций силикатное стекло Ароматическая добавка Преимущества: - Рентгеноконтрастность- Высокая механическая прочность, износоустойчивость.- Малое водопоглощение (абсорбция).- Легкость в работе с материалом – легко наносится (не прилипает, не сминается).- Отлично полируется.- Не требует ретенции. По поводу применения его в детской практике ничего не встречала Ссылка на комментарий
M@estro Опубликовано 8 октября, 2013 Поделиться Опубликовано 8 октября, 2013 Я не пойму,а чего ждут от этих новых композитов ? Того, что пластик окажется лучше пластика ? Или что он сам начнет лепиться в бугры и фиссуры ? По мне современный композит разделяется на жесткий и мягкий,пластичный. Это главное. Полируемость - есть отличия,но уже не критические,гибридный композит чтоб не полировался ... Отдельно стоят кор - композиты. Всё. А Вы ждёте чего ? 2 Ссылка на комментарий
Kivilgar Опубликовано 8 октября, 2013 Поделиться Опубликовано 8 октября, 2013 Я чо-то ничего уникального в составе не заметил. И усадка похоже будь здоров. Ссылка на комментарий
sorriso Опубликовано 8 октября, 2013 Поделиться Опубликовано 8 октября, 2013 Это выдержка из инструкции. У нас в клинике есть этот материал,никто применения ему не нашел, срок уже,по-моему,даже вышел. А название-то какое магическое!?))) Ссылка на комментарий
zzkz Опубликовано 9 октября, 2013 Поделиться Опубликовано 9 октября, 2013 то то и оно. Название и правда завораживающее Fantasista – это композитный материал светового отверждения натурального цвета зубов на осно................ это видел, а вот что бы кто-то им работал и отзывы - нет!Откажусь пожалуй(если не откатят )спасибо в любом случае Ссылка на комментарий
Art 7 Опубликовано 9 октября, 2013 Поделиться Опубликовано 9 октября, 2013 (изменено) Фантазиста – это романтическое определение роли единственного атакующего полузащитника, который занимается организацией атак и в значительной степени или полностью освобожден от оборонительных обязанностей.))(с) Изменено 9 октября, 2013 пользователем Art 7 2 Ссылка на комментарий
zzkz Опубликовано 9 октября, 2013 Поделиться Опубликовано 9 октября, 2013 (изменено) А вообще наши юзают кучу разных мегафил, мастерфил, призмафил, филтек, геркулайт, харизма, венус, спектрум и эстет . уфф устал перечислять. Это не считая еще различные СИЦОдному этот нравится, другому тот. Вот и берем все подряд. Ну и прайс соответственно раздут из за этого. Надо бы на одни и те же материалы их подсадить как то. Ну мы же доктора, капризные) Изменено 9 октября, 2013 пользователем zzkz Ссылка на комментарий
zzkz Опубликовано 9 октября, 2013 Поделиться Опубликовано 9 октября, 2013 Фантазиста – это романтическое определение роли единственного атакующего полузащитника, который занимается организацией атак и в значительной степени или полностью освобожден от оборонительных обязанностей.))(с)А ля Озил) 2 Ссылка на комментарий
Doctorstomlis Опубликовано 7 декабря, 2013 Поделиться Опубликовано 7 декабря, 2013 А какой выход когда сквозной дефект после эстелайта просвечивается?У эстелайта есть жидкотекучий OPA 2,которым делаете нёбную стеночку(желательно с силиконовым ключом),потом накладываете густой OPA2 и далее цвет только дентина(ОА1,ОА2 или ОА3).Просто А1,А2 и А3 используете только на режущем крае,если таковое требуется,если на своих родных зубах этот прозрачный режущий край имеется.И никакой прозрачности и серости,уж поверьте мне. Ссылка на комментарий
Kivilgar Опубликовано 7 декабря, 2013 Поделиться Опубликовано 7 декабря, 2013 У эстелайта есть жидкотекучий OPA 2,которым делаете нёбную стеночку(желательно с силиконовым ключом),потом накладываете густой OPA2 и далее цвет только дентина(ОА1,ОА2 или ОА3).Просто А1,А2 и А3 используете только на режущем крае,если таковое требуется,если на своих родных зубах этот прозрачный режущий край имеется.И никакой прозрачности и серости,уж поверьте мне.Ну я с 2008 эстелайтом не пользовался. Уже и не помню что там у него есть в наборе. Ссылка на комментарий
Sarina Опубликовано 21 января, 2014 Поделиться Опубликовано 21 января, 2014 Для реставрации мне очень нравится Estelite ! классная вещь !! Ссылка на комментарий
Тань Опубликовано 7 февраля, 2014 Поделиться Опубликовано 7 февраля, 2014 http://s004.radikal.ru/i205/1402/2d/5ce5f028f516.jpgэто зубик моего ребёнка, сломанный 5 лет назад в пределах эмали и дентина об горку железную.Была тогда в наличии Градия, Филтек Z250, Филтек Ультимейт, Эстелайт, но у всех материалов не было ассортимента цветов (чтоб и опак и боди и все пр.) Подошёл и был Филтек:Филтек Z 250 UD внутри совсем чуть чуть,Z 250 B2 и Филтек Ультимейт A2 и I, адгезив сингл бонд. Средний(центральный) мамелон правда не выложила, эх...Думала отколется всё сразу, но уже, ттт, 5 лет и без коррекции. 4 Ссылка на комментарий
igorstom Опубликовано 19 февраля, 2014 Поделиться Опубликовано 19 февраля, 2014 Мне кажется, в теме лучше написать, что и чем лучше не пользоваться. Никогда и ни при каких обстоятельств. Добавлю свою лепту. Сложилось мнение на своих собственных работах, что Естелайт - эх, простите за слово: Г...но. Ну а вот работа, проделанная в одной из самых дорогих и разрекламированных клиник нашего города - материал Естелайт, бондинг 7-го поколения. Делала врач высшей категории, и какая-то там золотая и платиновая медалистка. Данный результат через год.http://i051.radikal.ru/1402/e5/6c78ecd87cee.jpghttp://s019.radikal.ru/i625/1402/7b/c459e4ec6067.jpgПеределал на Филтек и адгезив 4-го поколения.http://s019.radikal.ru/i630/1402/96/4082554921c3.jpgОткуда узнал какой материал и адгезив? У пациентки была выписка-эпикриз из истории болезни. Ссылка на комментарий
Л Ю С Я Опубликовано 19 февраля, 2014 Поделиться Опубликовано 19 февраля, 2014 Ох уж эти наши сетевые клиники с медалями.. Чего пациентка туда не пошла? У меня тоже не заладилось с эстелайтом. Ну а что касается бонда- на лицо все признаки дебондинга с эмалью. Никогда не использую такой адгезив без предварительной протравки эмали Ссылка на комментарий
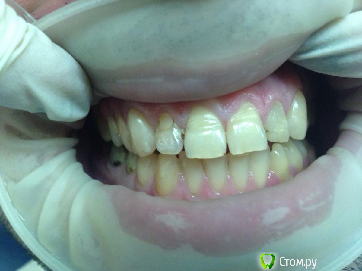
Гарриевич Опубликовано 19 февраля, 2014 Поделиться Опубликовано 19 февраля, 2014 (изменено) Мне Эстелайт Сигма квик (Estelite Sigma Quick) кажется самым лучшим материалом для реставрационных работ. Для молодого и малоопытного врача это вообще подарок. У него есть такая особенность, хамелеона, и границу пломба-зуб не видно. Он очень легко моделируется и не липнет к гладилке ( при работе с коффердамом), в текучем виде тоже очень комфортно работать. Вот работы которые делал им около полутора лет назад, хоть какое то даст представление о материале Изменено 19 февраля, 2014 пользователем Гарриевич Ссылка на комментарий
Л Ю С Я Опубликовано 19 февраля, 2014 Поделиться Опубликовано 19 февраля, 2014 Эстелайт пробовала лет 5 назад, не помню как назывался, в розовеньком шприце. Действительно он хамелеонит манипуляционные качества хорошие. Но Бонд был ужасен Ссылка на комментарий
Гарриевич Опубликовано 19 февраля, 2014 Поделиться Опубликовано 19 февраля, 2014 (изменено) Эстелайт пробовала лет 5 назад, не помню как назывался, в розовеньком шприце. Действительно он хамелеонит манипуляционные качества хорошие. Но Бонд был ужасенСейчас они вроде как поменяли бонд на Бонд Форс (Bond Force), это 7е поколение, эмаль нужно протравить в любом случае, а в дентин этот бонд втирается 20 секунд, после чего 5 секунд раздувается слабым напором, и еще 5 сильным напором воздуха и светим Изменено 19 февраля, 2014 пользователем Гарриевич Ссылка на комментарий
M@estro Опубликовано 19 февраля, 2014 Поделиться Опубликовано 19 февраля, 2014 А что,есть проблемы с использованием других адгезивов? Ссылка на комментарий
Гарриевич Опубликовано 19 февраля, 2014 Поделиться Опубликовано 19 февраля, 2014 Я кроме Бонд Форс, пользовался Сингл Бонд 2, все говорят, что это плохой бонд ( вообще все поколение 5-е), уже 3 года с ним работаю, достаточно достойный Ссылка на комментарий
Stom87 Опубликовано 19 февраля, 2014 Поделиться Опубликовано 19 февраля, 2014 Я тоже работаю с эстлелайтом и использую бонд 5 поколения (gluma comfort) и все нормально.Постпломбировочные боли и нарушение краевого прилегания не наблюдал. Ссылка на комментарий
M@estro Опубликовано 19 февраля, 2014 Поделиться Опубликовано 19 февраля, 2014 Я использую Contax dmg Ссылка на комментарий
Гарриевич Опубликовано 19 февраля, 2014 Поделиться Опубликовано 19 февраля, 2014 Я использую Contax dmgПочему 6-е поколение? Ссылка на комментарий
M@estro Опубликовано 19 февраля, 2014 Поделиться Опубликовано 19 февраля, 2014 Почему 6-е поколение? потому что 4го в наличии не было Раньше был у меня сингл бонд,нормальный адгезив, только густой - и закрывать надо было плотно и сразу,следить за этим. Кончится контакс - другое что закажу. Возможно. На пробу. Ссылка на комментарий
Рекомендуемые сообщения
Для публикации сообщений создайте учётную запись или авторизуйтесь
Вы должны быть пользователем, чтобы оставить комментарий
Создать аккаунт
Зарегистрируйте новый аккаунт в нашем сообществе. Это очень просто!
Регистрация нового пользователяВойти
Уже есть аккаунт? Войти в систему.
Войти