vse32 Опубликовано 9 октября, 2016 Поделиться Опубликовано 9 октября, 2016 По хорошему - это удаление, так как разрушение ниже уровня кости. А вообще - сильное расширение общей части канала и потом уже обработка апикальных частей. Подсветка сильным фонариком с бока зуба (я с бино снимаю иногда) делает визуальный осмотр более удобным. Это если микроскопа нет. Ссылка на комментарий
Girl Опубликовано 9 октября, 2016 Поделиться Опубликовано 9 октября, 2016 По хорошему - это удаление, так как разрушение ниже уровня кости. А вообще - сильное расширение общей части канала и потом уже обработка апикальных частей. Подсветка сильным фонариком с бока зуба (я с бино снимаю иногда) делает визуальный осмотр более удобным. Это если микроскопа нет. Хорошо, спасибо, сейчас буду пробовать.А вообще, разрушение там почти на уровне с костью. И отсутствуют все жеват, поэтому желательно сохранить зубик. Ссылка на комментарий
lightella Опубликовано 9 октября, 2016 Поделиться Опубликовано 9 октября, 2016 Хорошо, спасибо, сейчас буду пробовать.А вообще, разрушение там почти на уровне с костью. И отсутствуют все жеват, поэтому желательно сохранить зубик.Если моляров нет, то какой смысл в сохранении такого зуба? Какая протетика планируется? Если съемник - лучше удалить сразу Ссылка на комментарий
vse32 Опубликовано 9 октября, 2016 Поделиться Опубликовано 9 октября, 2016 Если съемник - лучше удалить сразу А на чем тогда съемнику фиксироваться? Если челюсть нижняя - там любой зуб дорог (до определенных пределов, конечно) Ссылка на комментарий
lightella Опубликовано 9 октября, 2016 Поделиться Опубликовано 9 октября, 2016 А на чем тогда съемнику фиксироваться? Если челюсть нижняя - там любой зуб дорог (до определенных пределов, конечно)Так он же там не последний. Если рванет под опорой, то придется новый протез делать Ссылка на комментарий
vse32 Опубликовано 9 октября, 2016 Поделиться Опубликовано 9 октября, 2016 Поэтому и уточнила, что до определенных пределов.А уж достигнут этот предел или нет - решать врачу.По мне, так чем больше спорных зубов мы удаляем, тем здоровее наша нервная система. 1 Ссылка на комментарий
vse32 Опубликовано 9 октября, 2016 Поделиться Опубликовано 9 октября, 2016 В данном случае, если автору удастся качественно провести эндо, самостоятельно нужно подготовить под вкладку. Строго настрого запретить ортопеду лезть в зуб с развертками (иначе смерть бифуркации). Поставить вкладку и коронку. Комплекс данных мероприятий сильно превышает стоимость обычного пластиночного протеза. Поэтому об этом надо обязательно проинформировать пациента.Если пациенту нужно подешевле и попроще - то рвать к чертовой матери.Если нужно качественно и надежно - то рвать и имплантировать жевательную часть.Если средний вариант - то тут надо уже понять как сопоставить финансовые возможности пациента с адекватным планом лечения. 2 Ссылка на комментарий
lightella Опубликовано 9 октября, 2016 Поделиться Опубликовано 9 октября, 2016 Я средний вариант наверное побоялась бы упоминать. Пациент может ухватиться, а ты потом голову сломаешь... Эндо непростое, без скопа тем более, хз что там от зуба отстанется после него, биоширина и так плачет. Единственный вариант сохранять - это если пациент протезироваться вообще не собирается. Без гарантии Ссылка на комментарий
Girl Опубликовано 9 октября, 2016 Поделиться Опубликовано 9 октября, 2016 В данном случае, если автору удастся качественно провести эндо, самостоятельно нужно подготовить под вкладку. Строго настрого запретить ортопеду лезть в зуб с развертками (иначе смерть бифуркации). Поставить вкладку и коронку. Комплекс данных мероприятий сильно превышает стоимость обычного пластиночного протеза. Поэтому об этом надо обязательно проинформировать пациента.Если пациенту нужно подешевле и попроще - то рвать к чертовой матери.Если нужно качественно и надежно - то рвать и имплантировать жевательную часть.Если средний вариант - то тут надо уже понять как сопоставить финансовые возможности пациента с адекватным планом лечения.[/ Вы правы, бесспорно. Но у меня здесь свой интерес-эндопроцесс. Цены у нас низкие, так что кошелёк пациента не пострдает. Сегодня снова пришёл очень похожий случай, тоже ниж пятёрка, 2 корня и оооочень сложно. Итог - один канал (( Ссылка на комментарий
ARislanV Опубликовано 9 октября, 2016 Поделиться Опубликовано 9 октября, 2016 Короче Girl похоже ничего не понимает пока, поэтому из этой затеи ничего хорошего не получиться. Если у пациента есть деньги то лучше протезироваться на имплантах.Ну а так можно попробывать, ради получения опыта. Ссылка на комментарий
lightella Опубликовано 9 октября, 2016 Поделиться Опубликовано 9 октября, 2016 (изменено) у меня здесь свой интерес-эндопроцесс. Цены у нас низкие, так что кошелёк пациента не пострдаетНИКОГДА не оценивайте кошелек пациента. Даже объективно низкие цены для кого то могут оказаться заоблачными. Спортивный эндопроцесс можно устроить после удаления. Изменено 9 октября, 2016 пользователем lightella 2 Ссылка на комментарий
Girl Опубликовано 10 октября, 2016 Поделиться Опубликовано 10 октября, 2016 С пациентом все досконально было оговорено!!! Все это я делаю бесплатно, не превращайте форум из информационного в нравоучительный.У меня был вопрос, каким образом вы справляетесь с такими анатомически сложными зубами? Может кто что посоветует? 1 Ссылка на комментарий
Girl Опубликовано 10 октября, 2016 Поделиться Опубликовано 10 октября, 2016 (изменено) Короче Girl похоже ничего не понимает пока, поэтому из этой затеи ничего хорошего не получиться. Если у пациента есть деньги то лучше протезироваться на имплантах.Ну а так можно попробывать, ради получения опыта.Простите, но если бы я была поумнее вас, во-первых, я бы здесь не находилась, во-вторых, хотелось бы советы грамотных специалистов по делу относительно анатомии данного зуба, а не мнения с потолка. Изменено 10 октября, 2016 пользователем Girl 1 Ссылка на комментарий
ARislanV Опубликовано 10 октября, 2016 Поделиться Опубликовано 10 октября, 2016 Простите, но если бы я была поумнее вас, во-первых, я бы здесь не находилась, во-вторых, хотелось бы советы грамотных специалистов по делу относительно анатомии данного зуба, а не мнения с потолка. ДА вы правы. Извиняюсь. Что то мне моча в голову ударила.Хорошо. Сначала проходите тот канал в который попадаете, расширяете его до 35, промываете после каждого файла. Потом пробуете найти второй, 15 или 10 файлом. Скорее все го надо будет его подогнуть, возможно дистально. Если удастся пройти и расширить оба. То с начало втыкаете две гуттаперчи в каждый канал( мастер штифты) потом латералите по возможности. Если же не удастся пройти второй канал, то тогда уж тут на удаление. Попросите хирурга осторожно удалить целым, мол для опытов. И потом на удаленном зубе пытаетесь сделать тоже самое. Опыта получите неимоверное количество. К стати повезло что на снимке видно два корня, а то бы так и запломбировали только один.) Ссылка на комментарий
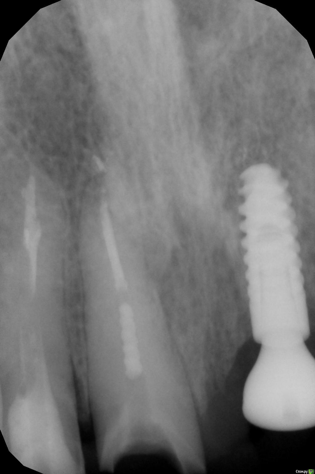
DmitrySH Опубликовано 10 октября, 2016 Поделиться Опубликовано 10 октября, 2016 Добрый день, коллеги.. Подскажите, как возможно провести эндодонтию в такой ситуации? Какие способы используете? Или это проходить вслепую только возможно?IMG_0458.JPG Если не брать во внимание разрушение зуба и показания к удалению ( это выше уже обсудили), то вполне нормально можно лечить. До фуркации аккуратно у/з с хлоркой Далее тонкими (06-08) к-файлами осуществляется навигация на всю рабочую длину. Кончики файлов предварительно надо подгибать в сторону канала. Вот 35. Только там еще и склерозировано все было и резорцин. http://forum.stom.ru/topic/21394-alaverdy/?p=428792 Ссылка на комментарий
lightella Опубликовано 10 октября, 2016 Поделиться Опубликовано 10 октября, 2016 С пациентом все досконально было оговорено!!! Все это я делаю бесплатно, не превращайте форум из информационного в нравоучительный.У меня был вопрос, каким образом вы справляетесь с такими анатомически сложными зубами? Может кто что посоветует?Прошу прощения, если выразилась "нравоучительно", это не нравоучения, скорее предостережение.По поводу анатомии. Без микроскопа работа идет наощупь. Изогнутыми файлами, как Вам уже сказали. Первым делом, скорее всего, попадете в средний канал, а далее нужно держать в уме, что при его обработке устья боковых могут забиться опилками, этого надо стараться избежать. Каким образом: постоянное присутствие гипохлорита в канале, частое его обновление, НЕ использование гелей, и по возможности частое "пощупывание" ответвлений тонкими файлами.Я такие зубы нечасто лечила (не исключаю, что и пропущенных было достаточно - в разных условиях приходилось работать). Более менее успешно - считанные разы (и то сомнения остаются,т.к.пломбировка боковых каналов - одним штифтом). Мне кажется, Вам повезло в том плане, что у данного зуба показания к удалению, а значит у Вас есть возможность полазить в нем вне полости рта, ИМХО так Вы быстрее разберетесь в особенностях обработки такой анатомии. Ссылка на комментарий
St. Опубликовано 11 октября, 2016 Поделиться Опубликовано 11 октября, 2016 Жаль, что сообщение стерла St - я полностью ее поддерживаю.Спасибо. Посчитала всё-так эмоциями и оффтопом, вот и стерла.. Ссылка на комментарий
ARislanV Опубликовано 12 октября, 2016 Поделиться Опубликовано 12 октября, 2016 Добрый день, коллеги.. Подскажите, как возможно провести эндодонтию в такой ситуации? Какие способы используете? Или это проходить вслепую только возможно?IMG_0458.JPGТам три канала что ли?? Какие у вас там новости, вылечели? Ссылка на комментарий
Girl Опубликовано 13 октября, 2016 Поделиться Опубликовано 13 октября, 2016 Там три канала что ли?? Какие у вас там новости, вылечели? Нет ещё, пациент ещё не приходил. У него работой сложно все, вот сижу-выжидаю Спасибо всем за советы ) Ссылка на комментарий
Sky_N Опубликовано 13 октября, 2016 Поделиться Опубликовано 13 октября, 2016 Всем здравствуйте!Мой вопрос, наверное, покажется совсем глупым или как минимум странным...но попробую))) Вышла на арботу после 3-годового перерыва ( декрет), до декрета в практике не было возможности работать эндомотором. только теория. Сейчас на рабочем месте есть х-смарт плюс, система протейперов некст, проглайдер, патфайлы...Гуттакор..короче, много всего нового, чем очень хочется овладеть на практике. Инструкции к эндомотору и принцип работы системой протейпер некст почитала..удаленных зубов пока не нашла, чтоб потренироваться, и есть риск,что тренироваться придется на пациентах Может, кто-то подскажет какие-то алгоритмы, вот прям начиная с самого начала обработки каналов с этим всем добром..или какие-тос оветы, чего категорически делать нельзя..в отделении этим богатством работает только один врач, и то от случая к случаю, то есть подглядывать не получится, у каждого своих пациентов валом, нет возможности стоять за спиной.Буду очень благодарна за советы зубы, конечно, постараюсь в ближайшее время найти, экстирпированные)) Ссылка на комментарий
Pan Опубликовано 13 октября, 2016 Поделиться Опубликовано 13 октября, 2016 главный принцип - не навреди. Сначала на прямых широких каналах,без фанатизма. Ссылка на комментарий
St. Опубликовано 13 октября, 2016 Поделиться Опубликовано 13 октября, 2016 Попросите у хирургов удаленные зубы, думаю это не проблема. На них пробовать легче и безопаснее. На пациентах начинайте с одноканальных с первичным эндо. Причем ковровую дорожку и расширение устья обязательно. И не спешите, потихонечку, аккуратно, лучше сначала потратить чуть больше времени на освоение. Инструменты старайтесь вводить пассивно, без давления. Ссылка на комментарий
cor Опубликовано 22 октября, 2016 Поделиться Опубликовано 22 октября, 2016 Пришел пац, от ортопеда, пан, или пропал, сломан в канале титановый штифт, что думаете делать?Оптики нет... Ссылка на комментарий
vse32 Опубликовано 22 октября, 2016 Поделиться Опубликовано 22 октября, 2016 У меня было такое, но сломаны сразу 2 штифта в центральных резцах и чуть ближе к устью.Как сломались - не понимаю, зубы под коронками были. Коронкам хоть бы хны. Отломаны были на всю длину корневой части. Цементировала я, за год до этого. Достала при помощи уз. Тоненькой насадкой для снятия камней. Попробуйте, вдруг получится.А недавно, вытаскивала 2 латунных из 46 по КТ. Вытащила, а под каждым штифтом еще по обломку, тоже латунь. Тоже вытащила. И заключительным аккордом - обломок файла в средней трети на корне с кистой. Офигела, но тоже как-то достала. 5 кусков в одном несчастном зубе.Так что дерзайте, чудеса случаются. Ссылка на комментарий
ARislanV Опубликовано 22 октября, 2016 Поделиться Опубликовано 22 октября, 2016 Пришел пац, от ортопеда, пан, или пропал, сломан в канале титановый штифт, что думаете делать?Оптики нет...Думаю врят ли получиться вытащить. Если болей нету и никогда не было, То не много еще просверлить бором и потом на эту длину сделать вкладку с коронкой, без гарантий. При условии что может заболеть в будушем. Если же так не хочет, то имплант. Если же перкуссия болезненна, то попробывать перелечить ортоградно или ретроградно, иначе не удаление. Ссылка на комментарий
Рекомендуемые сообщения
Для публикации сообщений создайте учётную запись или авторизуйтесь
Вы должны быть пользователем, чтобы оставить комментарий
Создать аккаунт
Зарегистрируйте новый аккаунт в нашем сообществе. Это очень просто!
Регистрация нового пользователяВойти
Уже есть аккаунт? Войти в систему.
Войти