SSTi Опубликовано 8 июля, 2014 Автор Поделиться Опубликовано 8 июля, 2014 Бывают же приятные пациенты) анестезия всегда действует прекрасно, коффер одевается как по маслу, зуб препарировать легко, все видно изумительно, в каналах будто ждали тебя и они проходимы, широкие, без сюрпризов, ничего не кровит излишне, после второго шприца гипохлора уже никаких пузырей и раствор чистый, мастер штифт встает так, будто всегда там был. У нас сейчас проблемы с электронно лучевой трубкой, но здесь даже она исправно дала излучение! Получил удовольствие. Побольше бы таких пациентов))) 1 Ссылка на комментарий
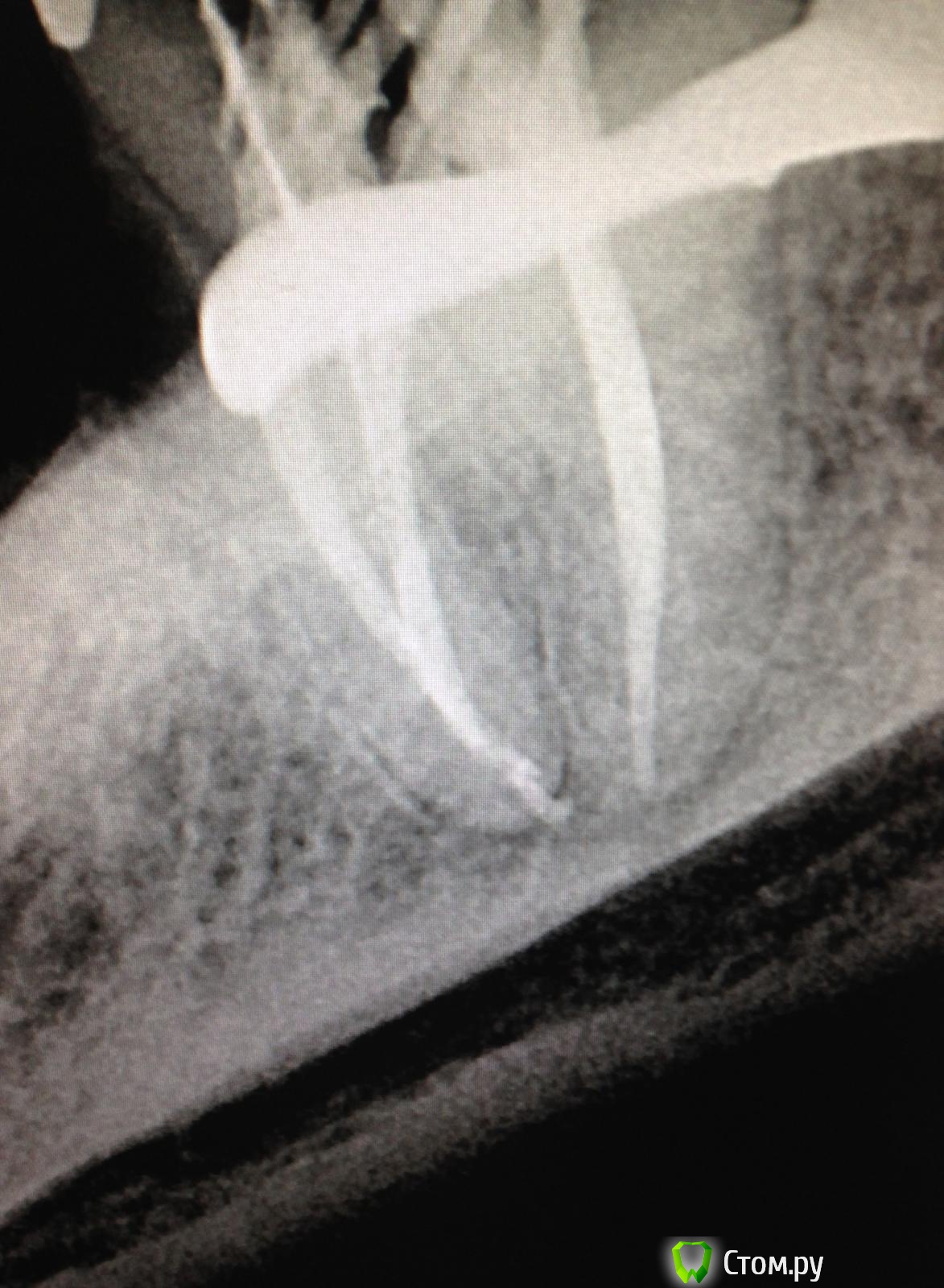
SSTi Опубликовано 19 июля, 2014 Автор Поделиться Опубликовано 19 июля, 2014 Зуб 27. Накрылся новапекс. Работа наощупь. Снимок после временной. Кто сколько каналов видит? 2 посещения искали 3 и 4 каналы. Не нашел Ссылка на комментарий
SSTi Опубликовано 19 июля, 2014 Автор Поделиться Опубликовано 19 июля, 2014 Топография устьев такая Ссылка на комментарий
Kolchanov Опубликовано 20 июля, 2014 Поделиться Опубликовано 20 июля, 2014 А эти сходились? Бывали двухканальные семерки. 1 Ссылка на комментарий
SSTi Опубликовано 20 июля, 2014 Автор Поделиться Опубликовано 20 июля, 2014 Эти не сходились. Два отдельных. Ссылка на комментарий
Ico Опубликовано 21 июля, 2014 Поделиться Опубликовано 21 июля, 2014 Не удивляйтесь,а приятно расслабьтесь.На таких работах как раз отдыхают)))))))) Ссылка на комментарий
SSTi Опубликовано 21 июля, 2014 Автор Поделиться Опубликовано 21 июля, 2014 Не удивляйтесь,а приятно расслабьтесь.На таких работах как раз отдыхают)))))))) Я везде ищу подвох) 1 Ссылка на комментарий
SSTi Опубликовано 29 июля, 2014 Автор Поделиться Опубликовано 29 июля, 2014 (изменено) Выложу сюда... Первый раз сегодня попытался сфотографировать работу. Вышел ужас ужасный. Пока буду учиться настраивать свет, куплю зеркала, перенесу зеркалку на работу. Пусть будет в моей теме, чтобы спустя годы можно было сравнить с тем, с чего все начиналось.. 17 первый класс очень гоубокая полость. Объемная реставрация(если эту бломбу можно так назвать) на всю жевательную. 36 делал недавно, сегодня просто сфоткал. Ничего не видно, ну да ладно. Здесь почти вся жевательная плюс медиальный контакт Изменено 29 июля, 2014 пользователем SSTi Ссылка на комментарий
Чертков Александр Опубликовано 30 июля, 2014 Поделиться Опубликовано 30 июля, 2014 SSTi Советую создать отдельную тему...для реставраций... Ну и фото осваивать... Ссылка на комментарий
SSTi Опубликовано 14 августа, 2014 Автор Поделиться Опубликовано 14 августа, 2014 Нам привезли новый рентген аппарат, ееее) но не об этом. У меня вопрос. Достаточно ли 0.4 конусности для хорошей ирригации? Раньше старался все в 0.6 переводить. Сегодня провел ревизию файлов и остались профайлы 0.4. Ими обработал пульпитный 35 до 40.04. Игла эндошприца прекрасно проходила. Но смотря на снимок хочется еще чууууточну конусней. Или я раньше перерасширял каналы и стоит на 0.4 остановиться?? Ссылка на комментарий
Larnary Опубликовано 14 августа, 2014 Поделиться Опубликовано 14 августа, 2014 (изменено) уже не впервый раз сталкиваюсь с заморочкой при машинной обработке сильно разрушенных зубов. как выставить длину кк канала на файле? стопор по линейке не выставить-слетает с файла,тк край стенок уже соответствует началу рабочей поверхности файла,риски(насечки) тоже выше уровня стенок. Изменено 14 августа, 2014 пользователем Larnary Ссылка на комментарий
SSTi Опубликовано 14 августа, 2014 Автор Поделиться Опубликовано 14 августа, 2014 Возьмите стоппер от файла десятки и наденьте на машинный))) 1 Ссылка на комментарий
Larnary Опубликовано 14 августа, 2014 Поделиться Опубликовано 14 августа, 2014 блин,че я раньше этот вопрос не задал (((((((((((((((( действительно решение элементарное Ссылка на комментарий
Shaid Опубликовано 18 августа, 2014 Поделиться Опубликовано 18 августа, 2014 Можно продырявить стоппер сбоку от центрального отверстия. Ссылка на комментарий
SSTi Опубликовано 22 августа, 2014 Автор Поделиться Опубликовано 22 августа, 2014 16. Резорцин. Убрал пломбу цементную, в небном наполовину пусто. Другие надо искать. В первый визит - коффер, уз аккуратно поездили по дну. Откопали мб. 15ка на 1 мм заходила. Полностью обработал небный и прошел на 2/3 мб. Кальций. Второй визит - коффер, нашел дб и мб2(сходится с мб через 3-4 мм). Расширились. Помылись. Ломанули профайл 20.04 в дб, обошли, помыли еще, озвучили и достали. латералка. Не идеально. Но для рф и это прекрасно. 1 Ссылка на комментарий
Shaid Опубликовано 22 августа, 2014 Поделиться Опубликовано 22 августа, 2014 Отлично Временные затраты сколько составили в итоге за все посещения? Ссылка на комментарий
SSTi Опубликовано 22 августа, 2014 Автор Поделиться Опубликовано 22 августа, 2014 Отлично Временные затраты сколько составили в итоге за все посещения?Часа 3-3.5 на эндо в общем Ссылка на комментарий
Shaid Опубликовано 22 августа, 2014 Поделиться Опубликовано 22 августа, 2014 Нормально) я бы отломок только часа два доставал) Где сломался? Ссылка на комментарий
SSTi Опубликовано 22 августа, 2014 Автор Поделиться Опубликовано 22 августа, 2014 (изменено) Нормально) я бы отломок только часа два доставал) Где сломался?В дистальном в средней трети. Да его легко было обойти. Потом подцепил чуть и вымыл. Даже не успел огорчиться Изменено 22 августа, 2014 пользователем SSTi Ссылка на комментарий
faity Опубликовано 22 августа, 2014 Поделиться Опубликовано 22 августа, 2014 молоцом, ростешь) Ссылка на комментарий
SSTi Опубликовано 22 августа, 2014 Автор Поделиться Опубликовано 22 августа, 2014 молоцом, ростешь)Спасибо форуму и отдельным докам отсюда))) 4 Ссылка на комментарий
SSTi Опубликовано 25 августа, 2014 Автор Поделиться Опубликовано 25 августа, 2014 Найдите фэйл))) 37 Ссылка на комментарий
M@estro Опубликовано 25 августа, 2014 Поделиться Опубликовано 25 августа, 2014 В мя грохнул Ссылка на комментарий
SSTi Опубликовано 25 августа, 2014 Автор Поделиться Опубликовано 25 августа, 2014 В мя грохнул Неа) ничего не сломал. Медиальные сходятся за 2 мм до апекса) Ссылка на комментарий
SSTi Опубликовано 25 августа, 2014 Автор Поделиться Опубликовано 25 августа, 2014 (изменено) Ладно. Ответ - выход мш в дистальном на 1мм от упора. А все дело в том, что сформировал стопупор 40.02. Открываю свой чудо ящик, ищу гутту 40.02 , ищу , ищу , ищу... А она кончилась. Ассорти от 45 и выше кончились. Пришлось брать 35.02. ... Только моя дурная голова потом додумалась, что надо было просто обрезать чуть штифт и все. Хвост отпаянный измерил - короче на 1 мм , чем должен был быть. Одно душу греет - мылись мы как никогда. Изменено 25 августа, 2014 пользователем SSTi 1 Ссылка на комментарий
Рекомендуемые сообщения
Для публикации сообщений создайте учётную запись или авторизуйтесь
Вы должны быть пользователем, чтобы оставить комментарий
Создать аккаунт
Зарегистрируйте новый аккаунт в нашем сообществе. Это очень просто!
Регистрация нового пользователяВойти
Уже есть аккаунт? Войти в систему.
Войти