Shaid Опубликовано 30 января, 2014 Поделиться Опубликовано 30 января, 2014 Перфа?С похожей ситуацией столкнулся на прошлой неделе. Ссылка на комментарий
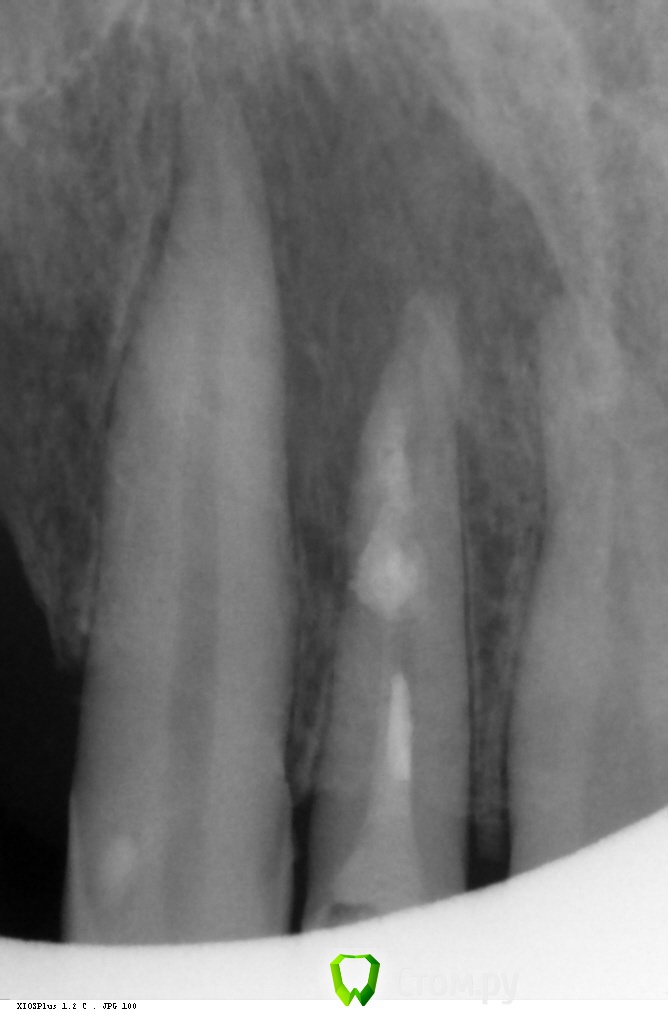
Каплан Опубликовано 30 января, 2014 Автор Поделиться Опубликовано 30 января, 2014 внутренняя резорбция. пока что без перфорации... (ап.лок работал без искажений) Ссылка на комментарий
Kolchanov Опубликовано 30 января, 2014 Поделиться Опубликовано 30 января, 2014 Резорбция, однако. Вспомнилось Левый зубец. Я тогда два месяца, как устроился в гсп.http://s019.radikal.ru/i602/1401/b1/55894f2d3ad8.jpg 2 Ссылка на комментарий
Kivilgar Опубликовано 30 января, 2014 Поделиться Опубликовано 30 января, 2014 внутренняя резорбция. пока что без перфорации...тоже так думаю Ссылка на комментарий
Бобр Опубликовано 1 февраля, 2014 Поделиться Опубликовано 1 февраля, 2014 Каплан, у вас очень сложные и хорошо сделанные работы. Ссылка на комментарий
Каплан Опубликовано 1 февраля, 2014 Автор Поделиться Опубликовано 1 февраля, 2014 Спасибо Ссылка на комментарий
Каплан Опубликовано 5 февраля, 2014 Автор Поделиться Опубликовано 5 февраля, 2014 (изменено) просто премолярчик. как говорит Саша - фрагмент реабилитации пациента хронический пульпит. и композитное восстановление до момента протезирования. следующая станция "имакс коронка" ))[/url]http://imagizer.imageshack.us/v2/xq90/203/g5mt.jpg http://imagizer.imageshack.us/v2/xq90/823/9h2x.jpg Изменено 5 февраля, 2014 пользователем Каплан 4 Ссылка на комментарий
M@estro Опубликовано 5 февраля, 2014 Поделиться Опубликовано 5 февраля, 2014 Жирновато для культи,я последнее время не шикую . И знаешь почему ? Когда под имакс точишь - как серпом по я... Ссылка на комментарий
Каплан Опубликовано 5 февраля, 2014 Автор Поделиться Опубликовано 5 февраля, 2014 Пффф, Паш, мне как серпом по я когда убираю все то что "мешает" или если вдур резинку полировочную передержал где-то. ) 1 Ссылка на комментарий
M@estro Опубликовано 5 февраля, 2014 Поделиться Опубликовано 5 февраля, 2014 (изменено) Пффф, Паш, мне как серпом по я когда убираю все то что "мешает" или если вдур резинку полировочную передержал где-то. ) И не говори ) Аналогично ) p.s. Про резинку в точку ) и сидишь потом полируешь,чтоб наплыв сгладить) Изменено 5 февраля, 2014 пользователем M@estro 1 Ссылка на комментарий
CRAZYDUCK Опубликовано 5 февраля, 2014 Поделиться Опубликовано 5 февраля, 2014 Красивые работы , Каплан, вдохновляют ! 1 Ссылка на комментарий
Чертков Александр Опубликовано 6 февраля, 2014 Поделиться Опубликовано 6 февраля, 2014 Лайки кончились...Каплан, классно! Присоединяюсь к мнению что для "культи - шикарно"...если 100% ухожу на непрямую - даже с оттенками не заморачиваюсь. И я...м потом ничего не угрожает! Ссылка на комментарий
Каплан Опубликовано 6 февраля, 2014 Автор Поделиться Опубликовано 6 февраля, 2014 Александр, я тоже обычно, причем в последнее время беру остатки композита и пускаю в культю (хотя композитный билдап не часто). А тут просто было и время и желание лишний раз потренироваться Ссылка на комментарий
Каплан Опубликовано 21 февраля, 2014 Автор Поделиться Опубликовано 21 февраля, 2014 (изменено) http://imagizer.imageshack.us/v2/xq90/809/al5g.jpg запредельный склероз камеры. еле откопал устья каналов. по снимку казалось что будет очень легко... в дистальном конечно хочется что бы было небольшое развдвоение, но все строго под локатор, пилотный файл так в дистальном направляении и изгибался... Изменено 21 февраля, 2014 пользователем Каплан Ссылка на комментарий
Kivilgar Опубликовано 21 февраля, 2014 Поделиться Опубликовано 21 февраля, 2014 пилотный файл так в дистальном направляении и изгибался... Наверно хотел уйти на боковую сторону, да склероз не дал. Ссылка на комментарий
Каплан Опубликовано 21 февраля, 2014 Автор Поделиться Опубликовано 21 февраля, 2014 Наверно хотел уйти на боковую сторону, да склероз не дал.может и так в любом случае, кейс оказался интересный с мануальной точки зрения ) Ссылка на комментарий
Stom87 Опубликовано 21 февраля, 2014 Поделиться Опубликовано 21 февраля, 2014 может и так в любом случае, кейс оказался интересный с мануальной точки зрения ) Каким методом обтурация? Ссылка на комментарий
Каплан Опубликовано 21 февраля, 2014 Автор Поделиться Опубликовано 21 февраля, 2014 Каким методом обтурация?латералка. не конусная гуттаперча. силер эйч-плюс. (наконец-то заканчивается) Ссылка на комментарий
Stom87 Опубликовано 21 февраля, 2014 Поделиться Опубликовано 21 февраля, 2014 латералка. не конусная гуттаперча. силер эйч-плюс. (наконец-то заканчивается)Почему наконец-то? Ссылка на комментарий
Каплан Опубликовано 21 февраля, 2014 Автор Поделиться Опубликовано 21 февраля, 2014 Почему наконец-то?потому что во всех пачках за последние 3 года безумное количество воздуха. это уже начинает бесить. в 2сил от вдв такого нет. пока что. Ссылка на комментарий
johniola Опубликовано 21 февраля, 2014 Поделиться Опубликовано 21 февраля, 2014 потому что во всех пачках за последние 3 года безумное количество воздуха. это уже начинает бесить. в 2сил от вдв такого нет. пока что. А как вам adseal? Ссылка на комментарий
Каплан Опубликовано 21 февраля, 2014 Автор Поделиться Опубликовано 21 февраля, 2014 А как вам adseal?не пользовался, если честно. Ссылка на комментарий
Dr. Clear Опубликовано 21 февраля, 2014 Поделиться Опубликовано 21 февраля, 2014 Узкие каналы... и "непроходимость" дистального. Заместительным апекс облитерирован там,так что ничего не будет,зная твою тщательную обработку и соблюдения протокола. Молодцом,мне нравится ! Снимки сканируй ; )Вы серьёзно про заместительный дентин со стороны апекса?? Просто вопрос) Ссылка на комментарий
M@estro Опубликовано 21 февраля, 2014 Поделиться Опубликовано 21 февраля, 2014 Вы серьёзно про заместительный дентин со стороны апекса?? Просто вопрос) Апекс - просто узкое место. Склероз - знакомо понятие ? И если файл номер 6 на 2/3 проходит, а дальше - нет - в чём причина? Ссылка на комментарий
Каплан Опубликовано 21 февраля, 2014 Автор Поделиться Опубликовано 21 февраля, 2014 Апекс - просто узкое место. Склероз - знакомо понятие ? И если файл номер 6 на 2/3 проходит, а дальше - нет - в чём причина? в ступеньке 3 Ссылка на комментарий
Рекомендуемые сообщения
Для публикации сообщений создайте учётную запись или авторизуйтесь
Вы должны быть пользователем, чтобы оставить комментарий
Создать аккаунт
Зарегистрируйте новый аккаунт в нашем сообществе. Это очень просто!
Регистрация нового пользователяВойти
Уже есть аккаунт? Войти в систему.
Войти