Shaid Опубликовано 17 мая, 2014 Поделиться Опубликовано 17 мая, 2014 Всегда задавался вопросом, какой же будет прогноз таких зубов, когда петенси не получаем и соответственно до апекса 1,5-2 мм. Оказывается, все должно быть нормально) Спасибо за реколы. Ссылка на комментарий
Каплан Опубликовано 17 мая, 2014 Автор Поделиться Опубликовано 17 мая, 2014 Всегда задавался вопросом, какой же будет прогноз таких зубов, когда петенси не получаем и соответственно до апекса 1,5-2 мм. Оказывается, все должно быть нормально) Спасибо за реколы.ну это совсем не обязательно. очень много работ, где недолеты, и начинается ретрит. тут скорее срабатывает некоторый момент везения 1 Ссылка на комментарий
Kivilgar Опубликовано 17 мая, 2014 Поделиться Опубликовано 17 мая, 2014 Всегда задавался вопросом, какой же будет прогноз таких зубов, когда петенси не получаем и соответственно до апекса 1,5-2 мм. Оказывается, все должно быть нормально) Спасибо за реколы.Да что вам это петенси? На кой оно вам? С ваших слов такое чувство, что без этого зуб обречен? Ответьте пожалуйста? Я во многих случаях противник петенси. А вы? Жду аргументы. Ссылка на комментарий
Каплан Опубликовано 17 мая, 2014 Автор Поделиться Опубликовано 17 мая, 2014 Андрей, Илья как-то кидал пруфлинк, о том, что апикальная проходимость улучшает ирригацию. так что я все же за) но без фанатизма. апикальная перфорация не есть петенси Ссылка на комментарий
Kivilgar Опубликовано 17 мая, 2014 Поделиться Опубликовано 17 мая, 2014 Андрей, Илья как-то кидал пруфлинк, о том, что апикальная проходимость улучшает ирригацию. так что я все же за) но без фанатизма. апикальная перфорация не есть петенсиЯ знаю это, я даже за то чтоб хлорочка попала за апекс при большой патологии и там хорошенько все повыжигала. Но петенси не панацея и не является гарантированным показателем. При периодонтите согласен, на всю длину пломбировка- результат лучше, при пульпите- наоборот. Супер если петенси намоется, а механически дырявить не айс. Я знаю что ты в курсе во всех таких делах, но у меня создается мнение, что многие на форуме придают петенси излишне важное значение и начинают думать, что если белая полоска не дошла до апекса на 1мм- это плохо. Так я вот считаю наоборот. 3 Ссылка на комментарий
Rash163 Опубликовано 17 мая, 2014 Поделиться Опубликовано 17 мая, 2014 (изменено) Да что вам это петенси? На кой оно вам? С ваших слов такое чувство, что без этого зуб обречен? Ответьте пожалуйста? Я во многих случаях противник петенси. А вы? Жду аргументы. заметил такой вариант пульпит патенси 95 процентов, и белая полоска радует. Бессимптомные перелечки когда как и чем запломбированны, уже 40 на 60 не в сторону патенси. Но вот периодонтит без патенси это зуб на выкид. Имхо. Ну как то чуй-ка так срабатывает.. Есть же анатомия апекса по ней и понимается, когда будет упор и выход материала по тонкой полоске. Это скорее всего чувство, что ты сделал все ок. А упор, и апеклок показывает что еще есть 1мм всегда будет давать пищу для размышления. Патенси это все таки такая вещь что я 1. Прошел канал до конца 0,6 пищит все ты за апексом.2 пульпа убежала полностью ( бывает же, что вроде апек 0,5, а фиг рг говорит нет, а по патенси понимаешь что чет осталось. Инструмент пошире, хлорки. Все ок не ошибся на пульпе коротило . 3. Это все таки прятная вещь, ты точно уверен, что пройден канал.и все должно получится)4. Трубу до кости из канала делать не надо и все будет ок. Изменено 17 мая, 2014 пользователем Rash163 1 Ссылка на комментарий
Shaid Опубликовано 18 мая, 2014 Поделиться Опубликовано 18 мая, 2014 При периодонтите согласен, на всю длину пломбировка- результат лучше Вот это я и имел ввиду. если белая полоска не дошла до апекса на 1мм- это плохо. При пульпите не плохо) Ссылка на комментарий
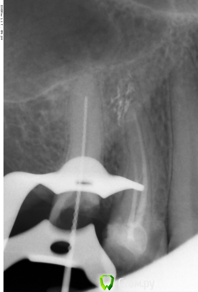
Shaid Опубликовано 18 мая, 2014 Поделиться Опубликовано 18 мая, 2014 (изменено) Вот какой тут будет прогноз?Долбил канал в два посещения. Петенси нет Изменено 18 мая, 2014 пользователем Shaid Ссылка на комментарий
Rash163 Опубликовано 18 мая, 2014 Поделиться Опубликовано 18 мая, 2014 Вот какой тут будет прогноз?Долбил канал в два посещения. Петенси нет Бессимтомник?Если да, то все будет хорошо) Ссылка на комментарий
Shaid Опубликовано 20 мая, 2014 Поделиться Опубликовано 20 мая, 2014 (изменено) Да. Ортопед направил перелечить. Пац ходит с кальцием сейчас, перкуссия слабоболезненна(до лечения безболезненно) Изменено 20 мая, 2014 пользователем Shaid Ссылка на комментарий
Каплан Опубликовано 27 мая, 2014 Автор Поделиться Опубликовано 27 мая, 2014 (изменено) эндо-история одного пациента.2.6 я анонсировал ранее. свищ, пропущенная анатомия мб2, провел через кальций. свищ закрылся через неделю, но пришлось потянуть подольше - не было окна для записи 3.6 хронический асимптоматический пульпит. старая "перфорация" под пломбой, вторичный кариес и все такое. один визит. 4.6-4.5 - провел через кальций. в 4.6 во второй визит решил дополнительно еще разок пройти 35.04. пациент прикрыл рот. 4 мм файла пришлось захоронить в апексе мб но отбайпасил до 25.04 почти до самого апекса (на 1 мм меньше рд).4.5 без петтенси. http://imagizer.imageshack.us/v2/xq90/841/f6j1.jpg http://imagizer.imageshack.us/v2/xq90/843/i9iw2.jpghttp://imagizer.imageshack.us/v2/xq90/841/3quaz.jpghttp://imagizer.imageshack.us/v2/xq90/844/dl2w.jpg Изменено 27 мая, 2014 пользователем Каплан 3 Ссылка на комментарий
Каплан Опубликовано 5 июня, 2014 Автор Поделиться Опубликовано 5 июня, 2014 (изменено) немного рутины. эндо. 2.6 - классика - пропущенная анатомия. асимптоматичен. из особенностей был почти полностью открыт. диагностическое лечение было обговорено. герметизм выдержал. запакова. увы не очень улачно вышло развернуть :(2.3 тоже мой. http://imagizer.imageshack.us/v2/xq90/841/mc3bq.jpg Просто пломбочки. Один оттенок. слегка прокрасил фиссуры. хотя можно было и немного эмали добавить. http://imagizer.imageshack.us/v2/xq90/834/dr2ui.jpghttp://imagizer.imageshack.us/v2/xq90/834/6297z.jpg http://imagizer.imageshack.us/v2/xq90/834/5e0os.jpghttp://imagizer.imageshack.us/v2/xq90/841/p2mx1.jpg Изменено 5 июня, 2014 пользователем Каплан 4 Ссылка на комментарий
Каплан Опубликовано 5 июня, 2014 Автор Поделиться Опубликовано 5 июня, 2014 еще немного Иногда достаточно просто внимательнее смотреть. на первый взгляд ничем не примечательный кариес. но... с сюрпризом в виде трещины. пациент проинформирован. пломба станет билдапом. http://imagizer.imageshack.us/v2/xq90/844/yk7w.jpghttp://imagizer.imageshack.us/v2/xq90/837/ccrs.jpg 2 Ссылка на комментарий
Rash163 Опубликовано 5 июня, 2014 Поделиться Опубликовано 5 июня, 2014 Каплан, ни разу не видел синих или красных пятен. Детектор не жалуешь? Ссылка на комментарий
Каплан Опубликовано 5 июня, 2014 Автор Поделиться Опубликовано 5 июня, 2014 Каплан, ни разу не видел синих или красных пятен. Детектор не жалуешь?каких пятен? )) Ссылка на комментарий
Rash163 Опубликовано 5 июня, 2014 Поделиться Опубликовано 5 июня, 2014 каких пятен? )) от кариес детектора) Ссылка на комментарий
Каплан Опубликовано 5 июня, 2014 Автор Поделиться Опубликовано 5 июня, 2014 от кариес детектора)тю блин. туплю. Мне не нравится красный детектор мейд ин Раша. а синий фирменный не могу найти. впрочем как и вообще метиленовый синий поэтому приходится пользоваться просто острым инструментом. к тому же, чем ближе к пульпе, тем больше окращивается дентин, так что особо смысла в детекторе скорее всего нет. для успокоения души) Ссылка на комментарий
SSTi Опубликовано 5 июня, 2014 Поделиться Опубликовано 5 июня, 2014 Инструментом ведь можно пропустить точку на стенке. А маркер( детектор) сразу ее покажет. На дне если гоубоко особо на него не ориентируюсь. П.с. Пользуюсь ультрадентовским Ссылка на комментарий
Каплан Опубликовано 5 июня, 2014 Автор Поделиться Опубликовано 5 июня, 2014 Инструментом ведь можно пропустить точку на стенке. А маркер( детектор) сразу ее покажет. На дне если гоубоко особо на него не ориентируюсь.П.с. Пользуюсь ультрадентовскимточку чего? Ссылка на комментарий
Rash163 Опубликовано 5 июня, 2014 Поделиться Опубликовано 5 июня, 2014 (изменено) тю блин. туплю. Мне не нравится красный детектор мейд ин Раша. а синий фирменный не могу найти. впрочем как и вообще метиленовый синий поэтому приходится пользоваться просто острым инструментом. к тому же, чем ближе к пульпе, тем больше окращивается дентин, так что особо смысла в детекторе скорее всего нет. для успокоения души) острый инструмент это хорошо) просто с детектором дружу давно, а с большим увеличением, убедился, что все таки кариес детектор работает.это так просто так, как удобно) делюсь впечатлениями) Изменено 5 июня, 2014 пользователем Rash163 Ссылка на комментарий
SSTi Опубликовано 5 июня, 2014 Поделиться Опубликовано 5 июня, 2014 (изменено) точку чего?Кариозную ,деминерализованную Изменено 5 июня, 2014 пользователем SSTi Ссылка на комментарий
Shaid Опубликовано 7 июня, 2014 Поделиться Опубликовано 7 июня, 2014 Rash, какой детектор посоветуете? Ссылка на комментарий
Rash163 Опубликовано 7 июня, 2014 Поделиться Опубликовано 7 июня, 2014 Rash, какой детектор посоветуете? красный цвет по мне как бы лучше,производитель сейчас наш по моему какой-то, не было ни чего другого. Пр консистенции и качеству кураре понравился. Ссылка на комментарий
Гарриевич Опубликовано 7 июня, 2014 Поделиться Опубликовано 7 июня, 2014 немного рутины. эндо. 2.6 - классика - пропущенная анатомия. асимптоматичен. из особенностей был почти полностью открыт. диагностическое лечение было обговорено. герметизм выдержал. запакова. Если бы герметизм не выдержал какая была бы тактика? Ссылка на комментарий
Каплан Опубликовано 7 июня, 2014 Автор Поделиться Опубликовано 7 июня, 2014 Если бы герметизм не выдержал какая была бы тактика?На выход, половина стоимости эндодонтии в счет послед.лечения. 1 Ссылка на комментарий
Рекомендуемые сообщения
Для публикации сообщений создайте учётную запись или авторизуйтесь
Вы должны быть пользователем, чтобы оставить комментарий
Создать аккаунт
Зарегистрируйте новый аккаунт в нашем сообществе. Это очень просто!
Регистрация нового пользователяВойти
Уже есть аккаунт? Войти в систему.
Войти