Loving Опубликовано 10 марта, 2017 Поделиться Опубликовано 10 марта, 2017 Много движений. Обленился. Сейчас только гипо и лимонная. Жду Рикуччи, книгу купил, но не читал пока толком. Великовата для электрички. И зачем такой формат неудобный печатают... Может он подскажет, чем еще не мыть можно Скажите, книга стОящая? Стоит ли своих денег? Я вот все смотрю на нее, уже почти готова купить) Ссылка на комментарий
Kolchanov Опубликовано 10 марта, 2017 Поделиться Опубликовано 10 марта, 2017 Выборочно пока только полистал. Интересно. Формат для электрички неудобный, а дома я только сплю, получается что читать особо некогда. Завтра послушаю автора, он точно читал. 1 Ссылка на комментарий
Pan Опубликовано 18 апреля, 2017 Поделиться Опубликовано 18 апреля, 2017 прочитал всю, книга стоящая,много нового откроете для себя, уверен. Но к ней ещё в пару нужна другая " Эндодонтология" Бердженхольца (тож прочитал) Берите обе, они дрег друга дополняют. Кстати Рикуччи очень толстая, но читается легко и быстро. Ссылка на комментарий
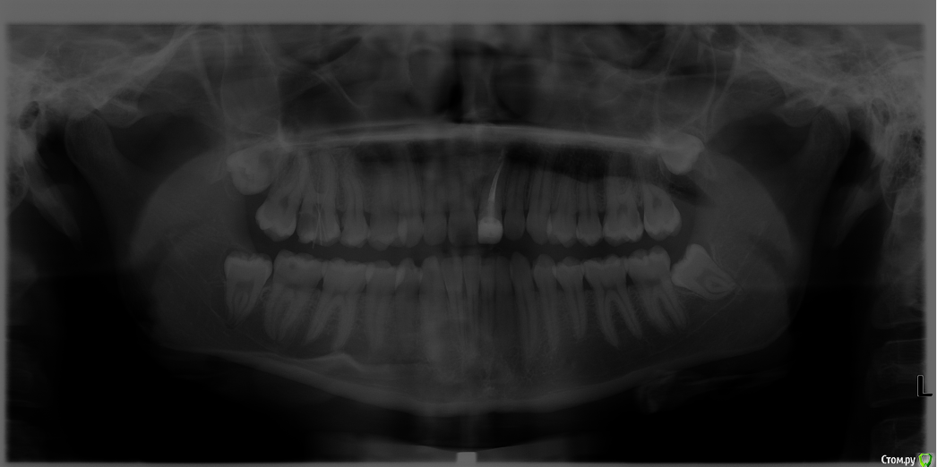
Irusick Опубликовано 21 июля, 2017 Поделиться Опубликовано 21 июля, 2017 страшно писать, после всего крутого, что я прочла до этого в теме... но закидайте меня камнями. Помогите увидеть очертания небного корня 1.6, снимок оставляет желать лучшего, но работаем с тем, что есть( 1 Ссылка на комментарий
parallax Опубликовано 21 июля, 2017 Поделиться Опубликовано 21 июля, 2017 Так вроде инструмент в нёбном канале? И вообще, уберите кариес дистально, сделайте билдап. И пошлите паца на нормальный прицельный снимок, желательно с коффером. 2 Ссылка на комментарий
Irusick Опубликовано 21 июля, 2017 Поделиться Опубликовано 21 июля, 2017 Так вроде инструмент в нёбном канале? И вообще, уберите кариес дистально, сделайте билдап. И пошлите паца на нормальный прицельный снимок, желательно с коффером.. Нет прицельного рентгена в клинике. У меня часто бывает, что из-за страха перфораций либо свод до конца не уберу, либо испугает объемная пульпа в небном как сейчас, видела Ее как губку, а на рентгене контуров корня не вижу,побоялась, что уже наделала дел, в следующий приём доведу до ума. Спасибо! Ссылка на комментарий
parallax Опубликовано 21 июля, 2017 Поделиться Опубликовано 21 июля, 2017 У Вас дистальный щёчный не найден. И ОПТГ при эндодонтии - это не айс. Ещё пара таких снимков и пациент начнёт блевать от передоза радиации. 2 Ссылка на комментарий
Irusick Опубликовано 21 июля, 2017 Поделиться Опубликовано 21 июля, 2017 Дистальный и медиальный я нашла, вставила гутту как раз для того, чтобы прояснить ситуацию с небным. А насчёт рентгена, я понимаю, потому что сама четких границ не вижу и опыта мало, но в моей ситуации - хозяин-барин, такие условия работы. И отправить куда-то по близости за прицельным нет возможности Ссылка на комментарий
Bobon Опубликовано 21 июля, 2017 Поделиться Опубликовано 21 июля, 2017 . Нет прицельного рентгена в клинике. У меня часто бывает, что из-за страха перфораций либо свод до конца не уберу, либо испугает объемная пульпа в небном как сейчас, видела Ее как губку, а на рентгене контуров корня не вижу,побоялась, что уже наделала дел, в следующий приём доведу до ума. Спасибо! Глаза боятся руки делают) Со временем будете свободно убирать и нависающие края и находить каналы, все с опытом приходит у всех. Ни один ассом не стал сразу получив диплом. Если есть возможность позовите на помощь коллегу найти каналы, в глазах пациента вы точно не упадете,....вот если наделать дел то да. 4 Ссылка на комментарий
Irusick Опубликовано 21 июля, 2017 Поделиться Опубликовано 21 июля, 2017 Знаете, я когда одна из первых с курса нашла работу, да ещё предоставили отдельный кабинет - счастью моему не было предела! Но потом оказалось, что наш шеф не сторонник консультаций при пациенте "что пациент подумает?!"... а мне все равно что пациент подумает,лишь бы какашку не сделать ему... так и сижу одна в кабинете и каждый раз, когда контрольный рентген эндодонтии делаю, душа в пятки уходить "в ожидании чуда", и ещё несколько дней после этого думаю,что там как. В общем, никто в универе не говорил, что профессия эта такая нервная! Ссылка на комментарий
Bobon Опубликовано 21 июля, 2017 Поделиться Опубликовано 21 июля, 2017 Знаете, я когда одна из первых с курса нашла работу, да ещё предоставили отдельный кабинет - счастью моему не было предела! Но потом оказалось, что наш шеф не сторонник консультаций при пациенте "что пациент подумает?!"... а мне все равно что пациент подумает,лишь бы какашку не сделать ему... так и сижу одна в кабинете и каждый раз, когда контрольный рентген эндодонтии делаю, душа в пятки уходить "в ожидании чуда", и ещё несколько дней после этого думаю,что там как. В общем, никто в универе не говорил, что профессия эта такая нервная!Главное захотеть научиться... лучше учиться на чужих ошибках читайте литературу по эндо...здесь на форуме тоже есть много инфы. начинающему доктору конечно нужен наставник, самостоятельно очень тяжело будет. Ссылка на комментарий
Bobon Опубликовано 21 июля, 2017 Поделиться Опубликовано 21 июля, 2017 я после интернатуры был ассистентом у доктора который научил меня многому, а в это время мои однокурсники во всю уже принимали пациентов работая докторами........зато теперь я понимаю что все было не зря))) 1 Ссылка на комментарий
Irusick Опубликовано 21 июля, 2017 Поделиться Опубликовано 21 июля, 2017 я после интернатуры был ассистентом у доктора который научил меня многому, а в это время мои однокурсники во всю уже принимали пациентов работая докторами........зато теперь я понимаю что все было не зря))) хм, вряд ли сейчас кто-то захочет нанимать молодого врача в качестве ассистента.. слишком палено будет)) но попробовать можно.. а пока литература, ютуб, форум Ссылка на комментарий
vse32 Опубликовано 21 июля, 2017 Поделиться Опубликовано 21 июля, 2017 никто в универе не говорил, что профессия эта такая нервная! Нервная она потому что переживаете за результат. Это хороший симптом. Опыта наберетесь, станет полегче. Но переживать все равно будете, если к профессии будете относится как к любимому делу. 4 Ссылка на комментарий
Strider Опубликовано 18 августа, 2017 Поделиться Опубликовано 18 августа, 2017 Подскажите, а стоит ли использовать машинные протейперы в s-образно искривленных каналах? Ссылка на комментарий
vse32 Опубликовано 18 августа, 2017 Поделиться Опубликовано 18 августа, 2017 Лучше профайлы или флексмастер.Если вы именно про S форму, я бы вообще бы поостереглась делать прогноз на эндо. 4 загиба это слишком. Если говорим о С-шейп - это немного другое, там чем хочешь можно.А просто кривые профайлы или флексмастер 1 Ссылка на комментарий
Strider Опубликовано 18 августа, 2017 Поделиться Опубликовано 18 августа, 2017 Именно кривой канал Изгиб в апикальной трети примерно как на схеме крайний правый:http://www.studfiles.ru/html/2706/1006/html_LgmXQbfc5b.0zm7/img-8bshjq.jpg Ссылка на комментарий
lightella Опубликовано 18 августа, 2017 Поделиться Опубликовано 18 августа, 2017 До изгиба можно. Дальше - сломается протейпер. 2 Ссылка на комментарий
Kolchanov Опубликовано 18 августа, 2017 Поделиться Опубликовано 18 августа, 2017 Первый изгиб взять и сгладить протейперами s1 и 2 за второй пускать профайлы. 1 Ссылка на комментарий
Strider Опубликовано 20 августа, 2017 Поделиться Опубликовано 20 августа, 2017 (изменено) Ясно. Спасибо.Т. е. протейперы в сильно искривленных каналах лучше не использовать? Читал (где то тут же ), что протейперы все же сильно агрессивные, и лучше использовать профайлы. С машинными только начинаю знакомство. Можете дать какие то основные советы в работе для начала? Изменено 20 августа, 2017 пользователем Strider Ссылка на комментарий
St. Опубликовано 20 августа, 2017 Поделиться Опубликовано 20 августа, 2017 (изменено) Т. е. протейперы в сильно искривленных каналах лучше не использовать? Да. Только в прямых или с небольшим изгибом. протейперы все же сильно агрессивныеПравильно, и конусность у них на кончике инструмента недостаточная, а у основания избыточная, что вынуждает комбинировать их с другими инструментами.Т.е. я не говорю что они плохие, с ними можно хорошо и успешно работать, но есть определенные нюансы в работе. я ими 2 года работала поскольку альтернативной системы не было. Сломала за все время 2 файла - один Ф1 в изогнутом канале чуть больше придавила и заклинил в апексе, второй - новый из коробки при первом использовании без видимой причины).Но я всегда делаю ковровую дорожку руками до 20.02, потом С1, С2, Ф1. Дальше калибровала ручными инструментами .02 конусности. Чтобы понять инструмент нужно время, сначала лучше попрактиковаться на удаленных зубах, потом начать с прямых одноканальных у пациентов с первичным эндо, дальше усложнять. Более безопасные для первого знакомства с машинными файлами неагрессивные системы, такие как профайлы или К3 Изменено 20 августа, 2017 пользователем St. 1 Ссылка на комментарий
vse32 Опубликовано 31 августа, 2017 Поделиться Опубликовано 31 августа, 2017 Я вот тут наткнулась. Для новичков и профи. Эффе́кт Да́ннинга — Крю́гера — метакогнитивное искажение, которое заключается в том, что люди, имеющие низкий уровень квалификации, делают ошибочные выводы, принимают неудачные решения и при этом не способны осознавать свои ошибки в силу низкого уровня своей квалификации[1]. Это приводит к возникновению у них завышенных представлений о собственных способностях, в то время как действительно высококвалифицированные люди, наоборот, склонны занижать оценку своих способностей и страдать недостаточной уверенностью в своих силах, считая других более компетентными. Таким образом, менее компетентные люди в целом имеют более высокое мнение о собственных способностях, чем это свойственно людям компетентным, которые к тому же склонны предполагать, что окружающие оценивают их способности так же низко, как и они сами 3 Ссылка на комментарий
makinos Опубликовано 1 сентября, 2017 Поделиться Опубликовано 1 сентября, 2017 Спасибо, а то я думал у меня болезнь какая как с курсов приедешь- так бараном себя чувствуешь Ссылка на комментарий
Strider Опубликовано 1 сентября, 2017 Поделиться Опубликовано 1 сентября, 2017 А какое-то еще действие лимонная кислота имеет, кроме как удаление смазанного слоя?З.Ы. Машинные пока не сильно нравятся. Наверно нужно время что бы их понять. Ссылка на комментарий
Paganini Опубликовано 18 декабря, 2017 Поделиться Опубликовано 18 декабря, 2017 Помогите, пожалуйста! Месяц назад скачивала одним файлом то, что писал Kivilgar в начале темы. Сейчас не могу найти, форум облазила весь(( Где и на какой странице искать? В роде бы в формате .doc было, но могу ошибаться. Ссылка на комментарий
Рекомендуемые сообщения
Для публикации сообщений создайте учётную запись или авторизуйтесь
Вы должны быть пользователем, чтобы оставить комментарий
Создать аккаунт
Зарегистрируйте новый аккаунт в нашем сообществе. Это очень просто!
Регистрация нового пользователяВойти
Уже есть аккаунт? Войти в систему.
Войти