kamranchick Опубликовано 6 февраля, 2022 Поделиться Опубликовано 6 февраля, 2022 @It'sGeorgy в штраумане цирконий еще есть в составе болтов, от этого и фонит 1 Ссылка на комментарий
Doctor Vlad Опубликовано 6 февраля, 2022 Поделиться Опубликовано 6 февраля, 2022 19.12.2021 в 20:10, Доктор Хаус сказал: Поэтому я их нахожу идеальными одномоментно с синус лифтингом. любая полированная шейка выручает при синусе Ссылка на комментарий
Doctor Vlad Опубликовано 6 февраля, 2022 Поделиться Опубликовано 6 февраля, 2022 19.12.2021 в 19:18, kamranchick сказал: @kriokov TL TE дает как бы 2 шанса на торк)))) либо резбой зацепиться, либо шейкой) так что в любом случае торк получите) если по какой-то причине) профукано 2 шанса по торку. как быть с тл? как бы имлант с формирователем при 0 торке шансы интеграции близки к 0. есть решение? Ссылка на комментарий
kamranchick Опубликовано 6 февраля, 2022 Поделиться Опубликовано 6 февраля, 2022 @Doctor Vlad топите tl,под заглушкой, все равно приживется Ссылка на комментарий
Doctor Vlad Опубликовано 6 февраля, 2022 Поделиться Опубликовано 6 февраля, 2022 5 часов назад, kamranchick сказал: @Doctor Vlad топите tl,под заглушкой, все равно приживется фрезерованную часть в кость загонять, чтобы она не возвышалась? Ссылка на комментарий
kamranchick Опубликовано 7 февраля, 2022 Поделиться Опубликовано 7 февраля, 2022 @Doctor Vlad а куда деваться, да Ссылка на комментарий
It'sGeorgy Опубликовано 7 февраля, 2022 Поделиться Опубликовано 7 февраля, 2022 06.02.2022 в 14:36, Doctor Vlad сказал: как бы имлант с формирователем при 0 торке шансы интеграции близки к 0 Почему? Штук 10-15 за прошлый год были поставлены с торком около 0 и ни один не выкрутился. Главное - чтобы формик не сильно возвышался над десной, чтобы пац не куснул на него. Ссылка на комментарий
Женька Опубликовано 7 февраля, 2022 Поделиться Опубликовано 7 февраля, 2022 @It'sGeorgy офигеть, ещё и с формиками на 0... Ссылка на комментарий
Irouil Опубликовано 7 февраля, 2022 Поделиться Опубликовано 7 февраля, 2022 Интересно, как коллеги определяют «торк 0»?) Ссылка на комментарий
It'sGeorgy Опубликовано 7 февраля, 2022 Поделиться Опубликовано 7 февраля, 2022 Ирония судьбы: пока писал этот пост звонит пациент с заглушкой: "У меня там шишочка надулась в области того имплантата, который мы ушили". Как же я люблю заглушки, ох как я их люблю... @Женька если честно, я не вижу тут никаких проблем. Первичная стабильность 15 становится через 2 недели первичной стабильностью в 0, а имплантат держится уже за счет небольшой вторичной стабильности. Вопрос: зачем нужна была эта первичная стабильность? Если в первые 2 недели пациент винт в руке не принес, шансы его интеграции становятся аналогичны любому другому куску титана в контакте с костью. Строго говоря, если я уверен, что имплантат не сместится из первоначального положения - я буду ставить формик. @Irouil ну само собой, что ровно 0 замерить тяжеловато. Если я выставил на физике торк 10, при установке не почувствовал никакого сопротивления со стороны наконечника, а имплантат в лунке можно пинцетиком пошатать - это же можно считать за торк около 0? 1 Ссылка на комментарий
kramer Опубликовано 7 февраля, 2022 Поделиться Опубликовано 7 февраля, 2022 Встряну в обсуждение. Торк не тождественнен стабильности. 8-мм имплантат и 16-мм имплантат с торком "ноль" будут иметь разную стабильность. Она измеряется иными инструментами Ссылка на комментарий
Женька Опубликовано 7 февраля, 2022 Поделиться Опубликовано 7 февраля, 2022 @It'sGeorgy согласен. Но фиксируя заглушку и ушивая наглухо мы добавляем стабильности посредством лоскута кмк. При одномоментной, понятное дело это роли не играет. Ссылка на комментарий
It'sGeorgy Опубликовано 7 февраля, 2022 Поделиться Опубликовано 7 февраля, 2022 5 минут назад, kramer сказал: Торк не тождественнен стабильности. 8-мм имплантат и 16-мм имплантат с торком "ноль" будут иметь разную стабильность. Подскажите, где можно подробнее почитать про это? Совсем не понимаю почему 8мм и 16мм установленные 13 минут назад, It'sGeorgy сказал: если я выставил на физике торк 10, при установке не почувствовал никакого сопротивления со стороны наконечника, а имплантат в лунке можно пинцетиком пошатать так, имеют разную стабильность. При этом понимаю, почему условно 8мм полностью в ложе и 8мм в пустоте, заклиненные апикальной частью в 2-3мм ложе будут иметь разную стабильность. 14 минут назад, Женька сказал: Но фиксируя заглушку и ушивая наглухо мы добавляем стабильности посредством лоскута кмк. При одномоментной, понятное дело это роли не играет. Добавляем - наверное да, вы правы. Но, опять же, в своей практике я сталкивался с заглушечными свищами(прием с аутокостью над имплантатом помогает не всегда) и ни разу не сталкивался с дезинтеграцией при минимальных торках. Единственное, чему вредит минимальный торк - моему сну из-за переживаний, что пациент какую-нибудь косточку на винт накусит. Ссылка на комментарий
kramer Опубликовано 7 февраля, 2022 Поделиться Опубликовано 7 февраля, 2022 https://youtu.be/tyxImYvFdks 1 Ссылка на комментарий
Irouil Опубликовано 7 февраля, 2022 Поделиться Опубликовано 7 февраля, 2022 47 минут назад, It'sGeorgy сказал: @Irouil ну само собой, что ровно 0 замерить тяжеловато. Если я выставил на физике торк 10, при установке не почувствовал никакого сопротивления со стороны наконечника, а имплантат в лунке можно пинцетиком пошатать - это же можно считать за торк около 0? ИМХО, около 0 - это когда винт из ложа достаётся за счет силы трения на драйвере/отвертке. 29 минут назад, It'sGeorgy сказал: Единственное, чему вредит минимальный торк - моему сну из-за переживаний, что пациент какую-нибудь косточку на винт накусит. Или языком пошатает, или ирригатором помоет, или активнее рот отполощет... при стабильности "винт шатается от прикосновения" как можно застраховаться от мобилизации? 33 минуты назад, It'sGeorgy сказал: Совсем не понимаю почему 8мм и 16мм установленные так, имеют разную стабильность. Стабильность будет одинаковой, но чтобы довести до таких условий винт на 16 мм, Вам лишние апикальные 8 мм пришлось бы насверлить шире, чем крестальные 8 мм (что невозможно) стабильность определяется усилием, необходимым для смещения импланта в любом направлении, а не только вокруг продольной оси. Значит, любой дополнительный контакт с костной тканью на избыточной длине повысит рычаг силы сопротивления вращению вдоль поперечной оси. При этом, "торк" не растет, а стабильность - выше, и шататься винт на 16 в ложе, отпрепнутом одинаково, так как винт на 8 не будет. 1 Ссылка на комментарий
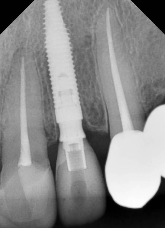
kramer Опубликовано 7 февраля, 2022 Поделиться Опубликовано 7 февраля, 2022 Я кстати в последнее время для одномоментной имплантации во фронте люблю использовать 15 или 16 мм имплантаты. Такая длина в сочетании с мало-мальским торком улучшает мой сон. Неодент 3,5х16, зуб 22 + коронка 1 1 Ссылка на комментарий
Irouil Опубликовано 7 февраля, 2022 Поделиться Опубликовано 7 февраля, 2022 7 минут назад, kramer сказал: Я кстати в последнее время для одномоментной имплантации во фронте люблю использовать 15 или 16 мм имплантаты. Такая длина в сочетании с мало-мальским торком улучшает мой сон. +1, При планировании непосредственной нагрузки, всегда выбираю максимально возможно длинный винт 1 Ссылка на комментарий
It'sGeorgy Опубликовано 7 февраля, 2022 Поделиться Опубликовано 7 февраля, 2022 15 минут назад, Irouil сказал: Или языком пошатает, или ирригатором помоет, или активнее рот отполощет... при стабильности "винт шатается от прикосновения" как можно застраховаться от мобилизации? Застраховаться на 100% - никак, оттого и сплю плохо. Языком пошатать - вряд ли получится, если фдм на уровне или чуть ниже уровня десны. Ирригатором пользоваться не рекомендую на две недели, как и полоскать. Щеткой тоже не лазить. Если на швах что-то остается(что вряд ли, ибо монофил - рекомендую шприцом под минимальным давлением смывать). С пациентом обговариваю момент, что имплантат первое время очень нестабилен - ничем лезть туда не нужно. Через месяц после установки - осмотр. Если на нем имплантат имел бы подвижность - я бы выкрутил. Но, опять же, такого ни разу еще не было. На всякий случай уточню: я не говорю, что надо винты ставить почти без торка. Но со мной такое случается. Чаще всего при перекручивании, когда имплантат уже был установлен, но не устроил наклон. И ФДМ в таком случае для меня вариант более предпочтительнее, чем заглушка. Ссылка на комментарий
Женька Опубликовано 7 февраля, 2022 Поделиться Опубликовано 7 февраля, 2022 15 минут назад, It'sGeorgy сказал: Если на нем имплантат имел бы подвижность - я бы выкрутил. подвижность просто пинцетом/зондом оцениваете? Ссылка на комментарий
It'sGeorgy Опубликовано 7 февраля, 2022 Поделиться Опубликовано 7 февраля, 2022 @Женька как-то сложность сказать. Чем сподручно имплантат попробовать пошатать - тем и пробую. ИМХО, если там дезинтеграция, то он и языком шататься будет. Если подвижности нет - отправляю еще на 2 месяца, после этого уже имплантоводом проверяю, без особенностей. Ссылка на комментарий
Irouil Опубликовано 7 февраля, 2022 Поделиться Опубликовано 7 февраля, 2022 Так зачем спать плохо то?) Вон Паша Дуров сон назвал самой недооценённой вещью, а Вы ею так пренебрегаете) с низким торком глушить винты лучше не потому, что в там будет какая-то лучшая статистика, а потому, что меньше неконтролируемых факторов Ссылка на комментарий
Doctor Vlad Опубликовано 7 февраля, 2022 Поделиться Опубликовано 7 февраля, 2022 4 часа назад, It'sGeorgy сказал: Штук 10-15 за прошлый год были поставлены с торком около 0 и ни один не выкрутился. Главное - чтобы формик не сильно возвышался над десной, чтобы пац не куснул на него. согласен. просто у штраумана фрезерованная часть достаточно высокая и может хорошо так возвышаться. Но если глубить ее в кость, то проблем нет) как оказалось Ссылка на комментарий
Рустам002 Опубликовано 8 февраля, 2022 Поделиться Опубликовано 8 февраля, 2022 Друзья, вопрос не по теме, но все же. Сегодня был онлайн вебинар в зуме от osstem про smartBuilder. Было рабочее время, и не смог весь посмотреть, может ли быть где нибудь повтор? Может кто-то смотрел, сделал запись? Ссылка на комментарий
Doc Опубликовано 9 февраля, 2022 Поделиться Опубликовано 9 февраля, 2022 16 часов назад, Рустам002 сказал: Друзья, вопрос не по теме, но все же. Сегодня был онлайн вебинар в зуме от osstem про smartBuilder. Было рабочее время, и не смог весь посмотреть, может ли быть где нибудь повтор? Может кто-то смотрел, сделал запись? А у продавцов спросить не пробовали? Если он бесплатный, то пришлют, думаю. Ссылка на комментарий
Рустам002 Опубликовано 9 февраля, 2022 Поделиться Опубликовано 9 февраля, 2022 @Doc Пробовал, нет у них( Ссылка на комментарий
Рекомендуемые сообщения
Для публикации сообщений создайте учётную запись или авторизуйтесь
Вы должны быть пользователем, чтобы оставить комментарий
Создать аккаунт
Зарегистрируйте новый аккаунт в нашем сообществе. Это очень просто!
Регистрация нового пользователяВойти
Уже есть аккаунт? Войти в систему.
Войти