St. Опубликовано 30 января, 2018 Поделиться Опубликовано 30 января, 2018 Хочу поделится не совсем стандартным случаем и попросить совета.Итак, 36 зуб привел пациентку к нам поздним вечером с острой болью при накусывании и самопроизвольной дергающей пульсирующей болью от которой она не спала ночь накануне. Делаем снимок - периодонтит, обсудили все риски и вариант удаления, пациент выбрал лечение. Зуб неподвижен, парадонтильных карманов нет, тканей своих много, перкуссия ++, пальпация в обл корней +, переходная складка спокойная. Открыли, каналы ни разу не пустые, как можно было решить по диагностическому снимку, заполнены неконтрастной РФП. Распломбировали, получили немного экссудата, кальций, времянка. Через 2 дня встретились повторно перестраховаться т.к. пац планировал поездку, еще раз то же самое, опять кальций на 14 дней. В этот визит стало намного легче.Через 14 дней все ок, ничего не болит, в каналах при открытии немного экссудата, но в процессе мед.обработки все высушилось. Гипохлорит, эдта, перекись, хлоргексидин 2%. Медиальные 35.04, дистальные 40.04 и 45.02. Времянка композит. Постпломбировочные боли несколько дней, потом все прошло.Через 3 недели пац обращается повторно с теми же жалобами. Перкуссия 37 и 36 ++ , пальпация ++ между 36 и 37, переходная складка норма, подвижности нет, времянка на месте.Отправили на КТ. Очаг само собой большой, в одном месте граничит с нижнечелюстным каналом, с периодонтом 37 не связан. Кортикалка нижней челюсти очень плотная и толстая. С пломбировкой каналов все хорошо.Распломбировала дистальные ( прямее, шире и больше сообщаются с процессом).Долго мыли, получила гнойносерозный экссудат сначала вытекающий самотеком. Кальций. Пазначила аугментин и нимесил. Через сутки легче, перкуссия еще ++, пульсирующих болей нет, экссудата все равно много.Через 4 дня симптоматики нет, перкуссия и пальпация отрицательна, экссудат серозный , но много, канал не высушить. Опять кальций.Решила оставить на 10 дней.1. Брались ли бы Вы изначально за этот случай и как бы вели?2. Как убрать экссудативный компонент и почему так долго продолжается? Ссылка на комментарий
St. Опубликовано 30 января, 2018 Поделиться Опубликовано 30 января, 2018 До, с инструментом и после. Испортила немного картинку после выведенным силлером Ссылка на комментарий
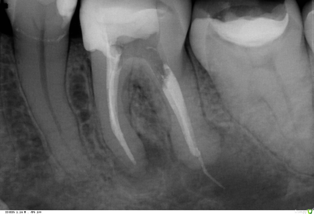
St. Опубликовано 30 января, 2018 Поделиться Опубликовано 30 января, 2018 Сейчас после повторной распломбировки, апикальный размер больше, такое впечатление что идет активная резорбция там Ссылка на комментарий
Паращук Роман Опубликовано 31 января, 2018 Поделиться Опубликовано 31 января, 2018 Брался бы. Так бы и вел.То у Вас не пафф силлером,а гутта. Мыть,сушить и Са,ХГ,трипаста,что поможет. Был аналогичный случай с 12зубом и активным свищем небно. Что я только не делал в течении месяца,все без толку. Сначала немного спадал отек и свищ уменьшался,через пару суток все обратно. Помогло свежезамешанный Са с йодоформом до густой пасты. Ссылка на комментарий
St. Опубликовано 31 января, 2018 Поделиться Опубликовано 31 января, 2018 Спасибо! Кальций у меня всегда свежезамешанный из порошка, попробую ещё с йодоформом на крайний случай. А что такое трипаста? И как думаете может туда ГКС типа дексаметазона туда местно в канал? Ссылка на комментарий
Паращук Роман Опубликовано 31 января, 2018 Поделиться Опубликовано 31 января, 2018 Спасибо! Кальций у меня всегда свежезамешанный из порошка, попробую ещё с йодоформом на крайний случай.А что такое трипаста? И как думаете может туда ГКС типа дексаметазона туда местно в канал?Антибиотик,метронидазол,офлоксацин Ссылка на комментарий
vse32 Опубликовано 31 января, 2018 Поделиться Опубликовано 31 января, 2018 Брались ли бы Вы изначально за этот случай и как бы вели? Наверное бралась бы. И вела бы примерно так же. Единственно, при болях в первое посещение оставила бы в каналах не кальций а Ледермикс (вероятно это и называют трипастой). Хорошо убирает боль, как следствие отека и экссудации. Далее, через дней 5 нужно вести на кальции. Сроки ведения зависят от обстоятельств. Особо относимся к запахам. Если зуб был под кальцием, но при убирании времянки пахнет гноем - у нас скорее всего пропущенная анатомия или где-то еще сочится. В общем патологических запахов не должно быть категорически. Далее обтурация. Итого, как вариант, почему в Вашем случае пришлось распломбировывать по новой. Возможно действительно есть пропущенная анатомия. Возможно недомыли дельту, возможно поторопились обтурировать. Ну и как вариант - истинная киста. Ссылка на комментарий
St. Опубликовано 31 января, 2018 Поделиться Опубликовано 31 января, 2018 (изменено) Запаха небыло ни при первой распломбировали и обтурации, ни при остальных визитах, даже когда открывала повторно. Пропущенной анатомии нет( делали КТ на моменте обострения).Сейчас звонит говорит снова начала чувствовать пульсирующие боли.Склоняюсь уже к радикальному решению вопроса, раз симптоматика персистирует.Может и правда истинная киста? З.Ы. обидно!(( Чувствую себя дураком Изменено 31 января, 2018 пользователем St. Ссылка на комментарий
Dent32 Опубликовано 31 января, 2018 Поделиться Опубликовано 31 января, 2018 Склоняюсь уже к радикальному решению вопроса Пульпевит №3 (15 мл) формокрезол, если не оскорбит ваши знания и принципы)) Ссылка на комментарий
vse32 Опубликовано 31 января, 2018 Поделиться Опубликовано 31 января, 2018 Пульпевит №3 (15 мл) формокрезол, если не оскорбит ваши знания и принципы)) А я думала его только в детстве используют для лечения пульпитов молочных в качестве мумификатора. Тут то вроде все вычистили. Канал до 45 расширили. В общем хочу аргументированного пояснения эффективности применения. В таком случае мне религия все позволяет.Если только кисту к едрене фене залить как напалмом. Но это вроде не наш метод. Ссылка на комментарий
St. Опубликовано 31 января, 2018 Поделиться Опубликовано 31 января, 2018 100% , если есть логическое обьяснение механизма действия, то мне тоже религия все позволяет))Но с формокрезолом придумать это у меня не получается Ссылка на комментарий
ARislanV Опубликовано 31 января, 2018 Поделиться Опубликовано 31 января, 2018 Может пусть с кальцием подольше походит , месяцок так. Ну и дествительно если нет доп каналов и все хорошо отмыли. То значит может быть инфекция в глубоких слоях дентина или за пределами корня на что мы никак не можем повлиять. А есть еще один вариант , резекция. Ссылка на комментарий
катерина 81 Опубликовано 1 февраля, 2018 Поделиться Опубликовано 1 февраля, 2018 А я думала его только в детстве используют для лечения пульпитов молочных в качестве мумификатора. Тут то вроде все вычистили. Канал до 45 расширили. В общем хочу аргументированного пояснения эффективности применения. В таком случае мне религия все позволяет.Если только кисту к едрене фене залить как напалмом. Но это вроде не наш метод.Здравствуйте,скажите как вносите лидермикс? Ссылка на комментарий
vse32 Опубликовано 1 февраля, 2018 Поделиться Опубликовано 1 февраля, 2018 скажите как вносите лидермикс? На каналонаполнителе как обычный филлер. Ледермикс на бумажку немного, обмазали каналонаполнитель. Ввели на нужную глубину, включаем обороты и выводим. Процедуру можно повторить. Ссылка на комментарий
almaz7888 Опубликовано 1 февраля, 2018 Поделиться Опубликовано 1 февраля, 2018 спасибо за интересный обзор ваших работ! для себя многое можно взять на заметку, особенно, если трудишься в госке, где время на пациента ограничено, а качеством жертвовать не хочется. Ссылка на комментарий
катерина 81 Опубликовано 1 февраля, 2018 Поделиться Опубликовано 1 февраля, 2018 На каналонаполнителе как обычный филлер. Ледермикс на бумажку немного, обмазали каналонаполнитель. Ввели на нужную глубину, включаем обороты и выводим. Процедуру можно повторить. спасибо) Ссылка на комментарий
Инсуффляция Опубликовано 17 августа, 2018 Поделиться Опубликовано 17 августа, 2018 Крутой пост. Для меня было много полезной информации для практики. Спасибо. 1 Ссылка на комментарий
Асхат Опубликовано 30 августа, 2018 Поделиться Опубликовано 30 августа, 2018 хорошо бы еще внутриканально ультразвук 3 раза по 20 сек на канал с гипохлоритом Ссылка на комментарий
Studentic Опубликовано 18 октября, 2018 Поделиться Опубликовано 18 октября, 2018 Сдравствуйте! Какую литературу следует изучить чтоб разобраться в особенностях эндодонтического лечения у зубов которые сообщаются с синусами? Ссылка на комментарий
vse32 Опубликовано 18 октября, 2018 Поделиться Опубликовано 18 октября, 2018 Сдравствуйте! Какую литературу следует изучить чтоб разобраться в особенностях эндодонтического лечения у зубов которые сообщаются с синусами? Я читала Вашу тему по эндо верхней пятерки. У меня вопрос, откуда Вы знаете что тот зуб был в синусе? Может они просто накладываются друг на друга. Ссылка на комментарий
Studentic Опубликовано 18 октября, 2018 Поделиться Опубликовано 18 октября, 2018 Я не уверен в том, по снимку мне сложно понять, поэтому перестраховываюсь Ссылка на комментарий
Studentic Опубликовано 18 октября, 2018 Поделиться Опубликовано 18 октября, 2018 А то очень не хочется попасть в, скажем так, не очень хорошую ситуацию Ссылка на комментарий
vse32 Опубликовано 18 октября, 2018 Поделиться Опубликовано 18 октября, 2018 Я не уверен в том, по снимку мне сложно понять, поэтому перестраховываюсь Ну на счет где и что лучше почитать не скажу, кину ссылку в личку на книжку хорошую. Но скажу одно. Определяете длину (аплок или снимок или и то и другое), делаете апикальный упор и живете спокойно. 1 Ссылка на комментарий
Studentic Опубликовано 18 октября, 2018 Поделиться Опубликовано 18 октября, 2018 Спасибо Ссылка на комментарий
vse32 Опубликовано 18 октября, 2018 Поделиться Опубликовано 18 октября, 2018 И еще, если уж пользуетесь рф пастой - то хотя бы не в зубах, входящих в зону улыбки. Ну и ту пятерку однозначно надо было сразу к ортопеду определять. Времянку после эндо и не оставлять выбора. Потому как та эмалевая скорлупа, что осталась вокруг пломбы быстро обсыпется и виноваты будете Вы. Потому как есть лечение и есть показания к нему. Вы их не соблюли. Понимаю, пожалели пациента, но поверьте, возникнет спорная ситуация и Вас жалеть никто не станет. Да и репутацию врача неумехи еще заимеете. Ссылка на комментарий
Рекомендуемые сообщения
Для публикации сообщений создайте учётную запись или авторизуйтесь
Вы должны быть пользователем, чтобы оставить комментарий
Создать аккаунт
Зарегистрируйте новый аккаунт в нашем сообществе. Это очень просто!
Регистрация нового пользователяВойти
Уже есть аккаунт? Войти в систему.
Войти