Ildarad Опубликовано 14 января, 2011 Поделиться Опубликовано 14 января, 2011 'Ildarad' date='14.1.2011, 18:10' post='217028'] Это как?Берете иглу от протравки, вкруговую её бором, со слюноотсоса снимаете насадку, остается голый шланг.Шланг чуть расширяете шпателем и колхозите, колхозите)) Во всяких штучках были мои фото, но долбаный photoshare убил все фотки..пичалька( Ссылка на комментарий
Ildarad Опубликовано 14 января, 2011 Поделиться Опубликовано 14 января, 2011 (изменено) 'Ildarad' date='14.1.2011, 18:10' post='217028'] Это как?Нашел таки вотhttp://photofile.ru/photo/ildarad/200157158/large/202464732.jpghttp://photofile.ru/photo/ildarad/200157158/large/202464734.jpghttp://photofile.ru/photo/ildarad/200157158/large/202464741.jpgДелается в течении минутыhttp://photofile.ru отличный хостинг Изменено 14 января, 2011 пользователем Ildarad 1 Ссылка на комментарий
DokDent Опубликовано 14 января, 2011 Поделиться Опубликовано 14 января, 2011 Канюля вставляется в саму насадку,а не в шланг.Теперь понятно.Спасибо,Эльдар. Ссылка на комментарий
Ildarad Опубликовано 14 января, 2011 Поделиться Опубликовано 14 января, 2011 Канюля вставляется в саму насадку,а не в шланг.Теперь понятно.Спасибо,Эльдар. *Ильдар Ссылка на комментарий
DokDent Опубликовано 14 января, 2011 Поделиться Опубликовано 14 января, 2011 *Ильдар Прошу прощения,Ильдар, Ссылка на комментарий
Arzt Опубликовано 14 января, 2011 Поделиться Опубликовано 14 января, 2011 (изменено) От хлорки маловероятно ( я блоссомом очень давно работаю ), а вот всякие растворители, апельсиновые масла и т.д. на ураРастворители не юзал Преэндобилдап попробуйтеИзвините, я вас не понял. Я теперь без билдапа в каналы вообще не лезу Изменено 14 января, 2011 пользователем Arzt Ссылка на комментарий
Ildarad Опубликовано 14 января, 2011 Поделиться Опубликовано 14 января, 2011 Растворители не юзал Извините, я вас не понял. Я теперь без билдапа в каналы вообще не лезу а, ну значит это и есть - pre-endo build-up Ссылка на комментарий
Arzt Опубликовано 14 января, 2011 Поделиться Опубликовано 14 января, 2011 а зачем в холодильнике? Это вычитал в один умный книжка Кутяев Раббердам Ссылка на комментарий
Ildarad Опубликовано 14 января, 2011 Поделиться Опубликовано 14 января, 2011 Прошу прощения,Ильдар, Peace Это вычитал в один умный книжка Кутяев Раббердам хранятся дольше?. Ссылка на комментарий
Arzt Опубликовано 14 января, 2011 Поделиться Опубликовано 14 января, 2011 Peace хранятся дольше?."Латекс обладает высокой эластичностью, но с течением времени или при нарушенииусловий хранения становится ломким, вероятность разрыва платка увеличивается.Для сохранения свойств латексных платков рекомендуется хранить их в холодильнике" Ссылка на комментарий
Ildarad Опубликовано 15 января, 2011 Поделиться Опубликовано 15 января, 2011 "Латекс обладает высокой эластичностью, но с течением времени или при нарушенииусловий хранения становится ломким, вероятность разрыва платка увеличивается.Для сохранения свойств латексных платков рекомендуется хранить их в холодильнике"Мои при комнатной хранятся,у кого как?. Ссылка на комментарий
DokDent Опубликовано 15 января, 2011 Поделиться Опубликовано 15 января, 2011 Мои при комнатной хранятся,у кого как?.Где-то читала про хранение платков в холодильнике,но у нас тоже при комнатной. Ссылка на комментарий
д-р Вит Опубликовано 15 января, 2011 Поделиться Опубликовано 15 января, 2011 Мои при комнатной хранятся,у кого как?.>храню в шкафу..все ок , может просто не успевают портиться Ссылка на комментарий
Solnyshko Опубликовано 19 января, 2011 Автор Поделиться Опубликовано 19 января, 2011 Уважаемые доктора,еще вопрос...У пациента в 27 зубе ооочень большой клиновидный дефект. Какой кламп здесь подойдет?На коронке зуба большая старая пломба.Можно все снести и сделать преэндо билд-ап,после кламмер или можно как-то коффер поставить без этого,а как? С щечной стороны одна десна Ссылка на комментарий
Ico Опубликовано 20 января, 2011 Поделиться Опубликовано 20 января, 2011 "Латекс обладает высокой эластичностью, но с течением времени или при нарушенииусловий хранения становится ломким, вероятность разрыва платка увеличивается.Для сохранения свойств латексных платков рекомендуется хранить их в холодильнике"Интерессно, при покупке ИЗДЕЛИЯ №2 в аптеке, их ни кто из холодильника не достает хотя тоже латекс. Ссылка на комментарий
Magdalena Опубликовано 20 января, 2011 Поделиться Опубликовано 20 января, 2011 (изменено) Ильдар,так у тебя контакт не к зубу,а к резинке.Хоть моделировка и хорошая. Проскальзывать пища же 100% будет Вот вчера лепниной занималась) такой вид восстановления кп считаю самым сложным. Когда нет половины бугра. И матрицу нормально не поставишь,и кольцо проваливается и кламп на этот зуб не напялишь-мешают щечки опять же Я так выхожу из положения -одеваю кламп аж за рабочий зуб http://s009.radikal.ru/i308/1012/40/1046265ca106.jpg- восстанавливаю отсутствующий бугор http://i075.radikal.ru/1012/9a/1405b4d34f22.jpg-потом только матрицу и клин http://i029.radikal.ru/1012/24/73af9559e5da.jpg-леплю стенку контактную и перевожу полость 2 класса в 1 http://s47.radikal.ru/i116/1012/20/6c54b8580a16.jpg- такое после первичной обработки http://i032.radikal.ru/1012/23/0e60ea2cc798.jpg- во рту так http://s61.radikal.ru/i173/1012/a6/ded1b0ceb692.jpg Хотелось бы ваши варианты узнать,как выходите из положения в таких ситуациях? Фея, извините, что вопрос не по теме Чем Вы изолируете устья каналов после пломбирования термофилом? Изменено 20 января, 2011 пользователем Magdalena Ссылка на комментарий
zybnaya feya Опубликовано 20 января, 2011 Поделиться Опубликовано 20 января, 2011 Фея, извините, что вопрос не по теме Чем Вы изолируете устья каналов после пломбирования термофилом?Глубоко выпиливаю и все. Ничем не изолирую Ссылка на комментарий
Magdalena Опубликовано 22 января, 2011 Поделиться Опубликовано 22 января, 2011 (изменено) Глубоко выпиливаю и все. Ничем не изолируюПоверх термофила просто жидкотекучий композит? Изменено 22 января, 2011 пользователем Magdalena Ссылка на комментарий
zybnaya feya Опубликовано 24 января, 2011 Поделиться Опубликовано 24 января, 2011 Поверх термофила просто жидкотекучий композит?Можно Ссылка на комментарий
Magdalena Опубликовано 24 января, 2011 Поделиться Опубликовано 24 января, 2011 Можно Вообще, уважаемая Фея, очень хочу выразить Вам благодарность Посмотрев Ваши прекрасные эндо с термофилом и прочитав Ваши советы, сама решилась на "подвиг" (не смейтесь) - запломбировала 26 зуб, 4 канала термофилом (раньше только одноканальные пломбировала, многоканальные - латеральная конденсация). Никогда б не подумала, что смогу доп. канал профайлами разработать, раньше - только ручными, если до 20 К-файла получалось - уже радость была. А тут все получилось. Единственное, что не очень - это каша в полости зуба. С трудом ее выпилила, сначала без воды, потом-таки включила, а то вообще ничего не видать...и страх был, что сейчас дно перфорну. Как Вы выпиливаете?П.С. Снимок завтра выложу, на работе флешку забыла Ссылка на комментарий
zybnaya feya Опубликовано 24 января, 2011 Поделиться Опубликовано 24 января, 2011 С трудом ее выпилила, сначала без воды, потом-таки включила, а то вообще ничего не видать...и страх был, что сейчас дно перфорну. Как Вы выпиливаете?П.С. Снимок завтра выложу, на работе флешку забылаОООО!! Поздравляю)) Теперь латералку забросите совсем Да,с кашей тяжко- берете лысый бор или термокат специальный(одно и тоже). Без воды носители срезаете и гутту выпиливаете,потом водой дорабатываете,чтоб чистенько было. Не перфонете лысым бором,не переживайте Ссылка на комментарий
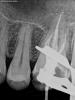
Magdalena Опубликовано 27 января, 2011 Поделиться Опубликовано 27 января, 2011 (изменено) ОООО!! Поздравляю)) Теперь латералку забросите совсем Да,с кашей тяжко- берете лысый бор или термокат специальный(одно и тоже). Без воды носители срезаете и гутту выпиливаете,потом водой дорабатываете,чтоб чистенько было. Не перфонете лысым бором,не переживайте Обещенный снимок 2.6 Изменено 27 января, 2011 пользователем Magdalena Ссылка на комментарий
zybnaya feya Опубликовано 27 января, 2011 Поделиться Опубликовано 27 января, 2011 Обещенный снимок 2.6Супер!! аккуратничали даже очень,сразу видно! Отличное эндо и упоры! Ссылка на комментарий
Magdalena Опубликовано 27 января, 2011 Поделиться Опубликовано 27 января, 2011 Супер!! аккуратничали даже очень,сразу видно! Отличное эндо и упоры! Спасибо, Фея, это все Ваш пример перед глазами Ссылка на комментарий
д-р Вит Опубликовано 27 января, 2011 Поделиться Опубликовано 27 января, 2011 ОООО!! Поздравляю)) Теперь латералку забросите совсем Да,с кашей тяжко- берете лысый бор или термокат специальный(одно и тоже). Без воды носители срезаете и гутту выпиливаете,потом водой дорабатываете,чтоб чистенько было. Не перфонете лысым бором,не переживайте У меня наоборот, все более разочаровываюсь в носителях,полегонечку перехожу на вертикалку ,а носитель для длинных изогнутых каналов. Ссылка на комментарий
Рекомендуемые сообщения
Для публикации сообщений создайте учётную запись или авторизуйтесь
Вы должны быть пользователем, чтобы оставить комментарий
Создать аккаунт
Зарегистрируйте новый аккаунт в нашем сообществе. Это очень просто!
Регистрация нового пользователяВойти
Уже есть аккаунт? Войти в систему.
Войти