Bier Опубликовано 1 июля, 2021 Поделиться Опубликовано 1 июля, 2021 23 минуты назад, annda сказал: То есть здесь ТЛ именно из- за дефицита кости, чтобы не заморачиваться с пластикой кости?А кидаем трансплантат и получаем тут соединительнотканное соединение, именно на этом островке фрезерованной шейки? Содинительно-тканное условное прикрепление мы получаем по всей полированной части. Даже той, что в кости. Остеоинтеграции там не будет. Можно поставить и BL сюда: платформу туда, где сейчас текстурированная поверхность. Довольно глубоко получится. Ортопед будет откручивать, закручивать, что не есть гуд на такой глубине. А так работает с удобной платформы, неглубоко. Высота коронки очень большая получится и нагрузка на стенки имплантата у шейки, на винт абатмента и тп. Это слабые места. А так у меня нагрузка придется на монолитную часть имплантата. Вывод такой: можно обойтись и привычными для вас имплантатами. Но в каждом типе имплантатов есть свои плюсы и минусы. Потому я юзаю в клинике 4 системы: Неодент, астру, штрауман bl и штрауман tl, подбирая имплантат под ситуацию, а не подгоняя ситуацию под имплантат. 1 1 Ссылка на комментарий
It'sGeorgy Опубликовано 1 июля, 2021 Поделиться Опубликовано 1 июля, 2021 (изменено) 1 час назад, Bier сказал: Неодент, астру, штрауман bl и штрауман tl, подбирая имплантат под ситуацию, а не подгоняя ситуацию под имплантат. В какой ситуации из этих имплантатов выбираете Астру? Неоденты используете все ещё СМ или тоже перешли на GM? Спасибо за ответ про кость вокруг шейки. Изменено 1 июля, 2021 пользователем It'sGeorgy Ссылка на комментарий
Bier Опубликовано 2 июля, 2021 Поделиться Опубликовано 2 июля, 2021 12 часов назад, It'sGeorgy сказал: В какой ситуации из этих имплантатов выбираете Астру? Неоденты используете все ещё СМ или тоже перешли на GM? Спасибо за ответ про кость вокруг шейки. Какой смысл переходить на GM ? Вообще не вижу. GM еще и дороже. Абсолютно никаких плюсов. Астру ставлю после костных пластик, в плотную кость, в небольшие объемы кости. Ссылка на комментарий
Bier Опубликовано 2 июля, 2021 Поделиться Опубликовано 2 июля, 2021 24.06.2021 в 14:59, It'sGeorgy сказал: Делать тентпол + редукцию в этом случае - хороший вариант, но излишне травматичный(всегда отек, продолжительная боль и гематома - по моему опыту) + требует умения мобилизации лоскутов не меньше, чем на нкр. Что такое тентпол? Ссылка на комментарий
АнтонТЛТ Опубликовано 2 июля, 2021 Поделиться Опубликовано 2 июля, 2021 1 час назад, Bier сказал: Что такое тентпол? Когда ставят низкий фдм и зашивают его. Нужно для увеличения десны по вертикали. Ссылка на комментарий
It'sGeorgy Опубликовано 2 июля, 2021 Поделиться Опубликовано 2 июля, 2021 5 часов назад, Bier сказал: Какой смысл переходить на GM ? Вообще не вижу. GM еще и дороже. Абсолютно никаких плюсов. Насколько я помню, на первой презентации GM была фраза, что CM снимают с производства. Насчёт отсутствия плюсов - согласен. Получить достойный клон анкилоза по цене альфабио было бы крут; но GM(начиная с диаметра 4.0) - тоже годный ведь бюджетный имплантат для хорошего костного предложения. Ссылка на комментарий
Bier Опубликовано 4 июля, 2021 Поделиться Опубликовано 4 июля, 2021 02.07.2021 в 16:51, It'sGeorgy сказал: Насколько я помню, на первой презентации GM была фраза, что CM снимают с производства. Насчёт отсутствия плюсов - согласен. Получить достойный клон анкилоза по цене альфабио было бы крут; но GM(начиная с диаметра 4.0) - тоже годный ведь бюджетный имплантат для хорошего костного предложения. На сколько я знаю это вранье. Возможно drive уберут. 02.07.2021 в 12:12, АнтонТЛТ сказал: Когда ставят низкий фдм и зашивают его. Нужно для увеличения десны по вертикали. Не очень то работающая тема Ссылка на комментарий
Raystom Опубликовано 18 октября, 2021 Поделиться Опубликовано 18 октября, 2021 Тоже задам вопрос. Какими вы пользуетесь трепанами для забора кости, и какими для забора костной стружки? Ссылка на комментарий
Fin Опубликовано 3 декабря, 2021 Поделиться Опубликовано 3 декабря, 2021 Подниму тему. Коллеги стоит ли беречь резцовую ветвь нижней челюсти? Много раз слышал, что на беззубой челюсти можно крутить в нее имплант, но все таки уточню)) Ссылка на комментарий
АнтонТЛТ Опубликовано 3 декабря, 2021 Поделиться Опубликовано 3 декабря, 2021 Можно, иногда приходится делать бикортикальную фиксацию в переднем отделе нижней челюсти) 1 Ссылка на комментарий
Fin Опубликовано 3 декабря, 2021 Поделиться Опубликовано 3 декабря, 2021 8 часов назад, АнтонТЛТ сказал: Можно, иногда приходится делать бикортикальную фиксацию в переднем отделе нижней челюсти) Спасибо. Про бикортикальную фиксацию видел конечно, но вопрос задать все же хотелось. Планирую 4х10 поставить с заходом через нерв? Ссылка на комментарий
It'sGeorgy Опубликовано 12 декабря, 2021 Поделиться Опубликовано 12 декабря, 2021 Доброго времени суток. Вопрос коллегам, которые работают с Straumann. Пробовал кто-либо ставить Tapered Effect при одномоментной имплантации? Удается ли стабильно достигать торк хотя бы 25? Очень люблю TL, но одномоментно торкнуть иногда прямо катастрофически сложно. Ссылка на комментарий
red_butler Опубликовано 14 декабря, 2021 Поделиться Опубликовано 14 декабря, 2021 12.12.2021 в 23:11, It'sGeorgy сказал: Доброго времени суток. Вопрос коллегам, которые работают с Straumann. Пробовал кто-либо ставить Tapered Effect при одномоментной имплантации? Удается ли стабильно достигать торк хотя бы 25? Очень люблю TL, но одномоментно торкнуть иногда прямо катастрофически сложно. BLT самое ТО для одномоментной, торк выше 30 Ссылка на комментарий
It'sGeorgy Опубликовано 14 декабря, 2021 Поделиться Опубликовано 14 декабря, 2021 @red_butler да, блт классное решение. Но я все же ТЛ хочу торкающий... Очень жду TLX, но в России ждать еще минимум 6 месяцев по заявлению менеджеров, а устал плохо спать из-за неторкающего ТЛ я уже сейчас. Ссылка на комментарий
kamranchick Опубликовано 14 декабря, 2021 Поделиться Опубликовано 14 декабря, 2021 TL торкает будь здоров, оптимизируйте протокол сверления просто 1 Ссылка на комментарий
It'sGeorgy Опубликовано 14 декабря, 2021 Поделиться Опубликовано 14 декабря, 2021 @kamranchick при одномоментной? Расскажите, как сверлитесь пожалуйста. Мой вариант: финальная фреза идет только по перегородке. Апикально вхожу в недосверленное на одну фрезу ложе. Но там этого ложа километр должен быть, чтобы торкнуться на 30 хотя бы... Ссылка на комментарий
kamranchick Опубликовано 17 декабря, 2021 Поделиться Опубликовано 17 декабря, 2021 работайте компрессионными наборами( osstem, mis, неважно) берите TL TE и полированной шейкой можете даже чуть зацепиться за фуркацию и все Ссылка на комментарий
kriokov Опубликовано 17 декабря, 2021 Поделиться Опубликовано 17 декабря, 2021 14.12.2021 в 22:54, kamranchick сказал: TL торкает будь здоров, оптимизируйте протокол сверления просто при немедленной никогда не пользовал TL. А в нативную кость BL SP часто с хорошим торком садится. Нравятся эти болты в дистальных отделах. Ссылка на комментарий
kamranchick Опубликовано 19 декабря, 2021 Поделиться Опубликовано 19 декабря, 2021 @kriokov TL TE дает как бы 2 шанса на торк)))) либо резбой зацепиться, либо шейкой) так что в любом случае торк получите) Ссылка на комментарий
Raystom Опубликовано 19 декабря, 2021 Поделиться Опубликовано 19 декабря, 2021 @kamranchick Ну торк шейкой это зачёт) Ссылка на комментарий
Доктор Хаус Опубликовано 19 декабря, 2021 Поделиться Опубликовано 19 декабря, 2021 Поэтому я их нахожу идеальными одномоментно с синус лифтингом. Ссылка на комментарий
kamranchick Опубликовано 19 декабря, 2021 Поделиться Опубликовано 19 декабря, 2021 они идеальны везде, кроме фронта и когда надо 2 премоляра восстановить 1 Ссылка на комментарий
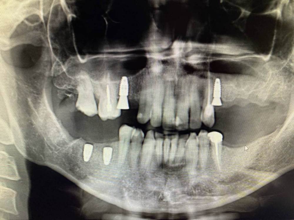
It'sGeorgy Опубликовано 3 февраля, 2022 Поделиться Опубликовано 3 февраля, 2022 (изменено) Коллеги, подскажите, с чем может быть связано такое настолько серьезное искажение на ОПТГ? 2 месяца думал, что завалил 1.5 в другую сторону, а на новом КТ оказалось все правильно. Скрытый текст Изменено 3 февраля, 2022 пользователем It'sGeorgy Ссылка на комментарий
kamranchick Опубликовано 3 февраля, 2022 Поделиться Опубликовано 3 февраля, 2022 лучше всего прицельник с позиционером, что оптг что кт не дают точной картинки, тем более штрауманн фонит будь здоров Ссылка на комментарий
It'sGeorgy Опубликовано 3 февраля, 2022 Поделиться Опубликовано 3 февраля, 2022 @kamranchick да, согласен, что лучше локсима + прицела после установки нет ничего. Но когда винтов много - просадка по времени получается, плюс асси с прицелом не всегда дружат. Но вышеуказанная ОПТГ дала повод задуматься целесообразности её в целом, если там настолько искажать может. 27 минут назад, kamranchick сказал: тем более штрауманн фонит будь здоров А разные винты с разной интенсивностью фонят? Не знал. Ссылка на комментарий
Рекомендуемые сообщения
Для публикации сообщений создайте учётную запись или авторизуйтесь
Вы должны быть пользователем, чтобы оставить комментарий
Создать аккаунт
Зарегистрируйте новый аккаунт в нашем сообществе. Это очень просто!
Регистрация нового пользователяВойти
Уже есть аккаунт? Войти в систему.
Войти