SSTi Опубликовано 26 мая, 2014 Автор Поделиться Опубликовано 26 мая, 2014 Страхуюсь) лишним не будет. Ссылка на комментарий
Гарриевич Опубликовано 27 мая, 2014 Поделиться Опубликовано 27 мая, 2014 Один вопрос. Зачем H20 и хлоргексидин, УЗ? Какую флору собираетесь убивать в витальном зубе? Уз я бы все равно и впульпитых зубах использовал, для того, чтобы жижу из опилков и хлорки разжижить и вымыть из каналов Ссылка на комментарий
SSTi Опубликовано 27 мая, 2014 Автор Поделиться Опубликовано 27 мая, 2014 А что может хлорка без уз??? Растворить органику в макроканале и все. А с уз хоть затечет в латерали. Да и мусор опилочный выйдет наружу. Ссылка на комментарий
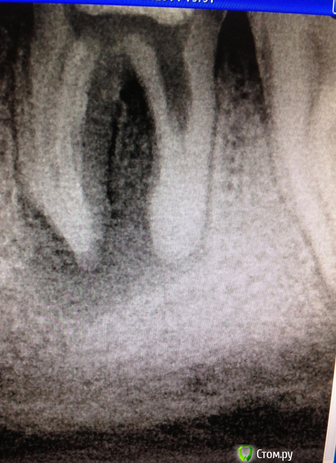
SSTi Опубликовано 29 мая, 2014 Автор Поделиться Опубликовано 29 мая, 2014 Из серии: не знаю зачем, но надо...Бессимптомный 47. Поступил приказ сверху - сделать эндо. Делаем. Коронка медиально разрушена на уровне с десной. Пациент ооочень слюнявый. С горем пополам соорудил стенку, чтобы одеть коффер. Одел- выдохнул. Нашел все устья, в медиальные заходила только 10ка. В дистальный 15ка. Везде склероз жуткий. Кое-как прошел все каналы ручными до 25. Pathfile , protaper до s2. Дальше побоялся. Все очень узко и хрустит. Мылся, мылся. Мылся. Гипохлор, эдта и хлоргексидин. Медиальные сходятся в средней трети. Запаковал сначала язычный. Снимки не очень( с рентген аппаратом проблема кое-какая). Но что есть , то есть. С коффером не делал снимки( держался еле еле), как запломбировал- времянка и бегом на снимок. Ссылка на комментарий
faity Опубликовано 29 мая, 2014 Поделиться Опубликовано 29 мая, 2014 артефакт на снимке или перелом или дельта? Ссылка на комментарий
SSTi Опубликовано 29 мая, 2014 Автор Поделиться Опубликовано 29 мая, 2014 Сильно увеличивал контрастность, чтобы можно было разглядеть что-нибудь. В латераль затекло бы, не думаю , что перелом. Сделаю еще один снимок в следующий раз. Я даже не заметил. Спасибо, что нашли)) Ссылка на комментарий
faity Опубликовано 29 мая, 2014 Поделиться Опубликовано 29 мая, 2014 Сильно увеличивал контрастность, чтобы можно было разглядеть что-нибудь. В латераль затекло бы, не думаю , что перелом. Сделаю еще один снимок в следующий раз. Я даже не заметил. Спасибо, что нашли))пожалуйста и можно на ты) надеюсь всё обойдется Ссылка на комментарий
SSTi Опубликовано 29 мая, 2014 Автор Поделиться Опубликовано 29 мая, 2014 Зубу в любом случае осталось недолго. Косточка тютю))) Ссылка на комментарий
SSTi Опубликовано 30 мая, 2014 Автор Поделиться Опубликовано 30 мая, 2014 Пришла женщина со снимочком... Скололась старая реставрация. Зуб особо не беспокоит... Анестезия , коффер, минут сорок уз сюивал цемент рядом со штифтом, потом раскачал , и еще минут 15 выкручивал потихоньку.из канала течет экссудат. Ручними до 40.02. Протейперы машинные до f3. Гипохлор, уз,вода, эдта, хлоргексидин. Высушил. Кальций. Ссылка на комментарий
Гарриевич Опубликовано 30 мая, 2014 Поделиться Опубликовано 30 мая, 2014 Молодец) Ссылка на комментарий
SSTi Опубликовано 30 мая, 2014 Автор Поделиться Опубликовано 30 мая, 2014 Молодец)Посмотрим в будущем по результату, молодец я или нет)) Спасибо) Ссылка на комментарий
SSTi Опубликовано 2 июня, 2014 Автор Поделиться Опубликовано 2 июня, 2014 (изменено) Пришел парень с 36. Зуб болел при накусывании, прикасаться языком также было больно. Раньше лечен по поводу осложненного кариеса(пульпит). Пару дней назад ему убрали пломбу чуть прошли каналы и поставили времянку. Ему стало немного лучше. Сегодня пришел ко мне. Я делаю снимок, а там.....Анестезия, коффер, убираю времянку и из медиальных фонтанчиком получаю гной(никакого отека по переходной нет!). Прохожу щечный без проблем до f1, дистальный до f2, язычный то ли со ступенькой, то ли еще что то, но файл дальше 5 мм не шел. Потом десяткой взял чуть ближе к щечному и прошел. Очень долго мылись( 5 шприцев гипохлорита ) , гной подтекал минут 20. Уз. Эдта. Хлоргексидин. Кальций. Будем наблюдать пока....Снимки с файлами Изменено 2 июня, 2014 пользователем SSTi Ссылка на комментарий
Kivilgar Опубликовано 2 июня, 2014 Поделиться Опубликовано 2 июня, 2014 (изменено) Зуп покойник, эво как там расковыряли сильно устьевую треть каналаПервая фотка не грузится((( Чего там с фуркацией? Изменено 2 июня, 2014 пользователем Kivilgar Ссылка на комментарий
SSTi Опубликовано 2 июня, 2014 Автор Поделиться Опубликовано 2 июня, 2014 да видел я.... причем было запломбировано в дистальном только в расковыренной трети. Ссылка на комментарий
SSTi Опубликовано 2 июня, 2014 Автор Поделиться Опубликовано 2 июня, 2014 Чего там с фуркацией? с фуркацией ин рото все терпимо. перфо нет никаких Ссылка на комментарий
FoXx^_^ Опубликовано 2 июня, 2014 Поделиться Опубликовано 2 июня, 2014 А по первому снимку как-будто перфо по фуруации ближе к медиальным! Ссылка на комментарий
SSTi Опубликовано 2 июня, 2014 Автор Поделиться Опубликовано 2 июня, 2014 Это на снимке так. Я контрастность прибавил. Во рту нет перфо. Было бы-не стал бы браться Ссылка на комментарий
SSTi Опубликовано 2 июня, 2014 Автор Поделиться Опубликовано 2 июня, 2014 Меня больше волнует что делать дальше. Здесь нужна вкладка по-хорошему и коронка. Идеально конечно , если бы косточка подросла и имплантация. Ссылка на комментарий
FoXx^_^ Опубликовано 2 июня, 2014 Поделиться Опубликовано 2 июня, 2014 По моему тут нужны щипцы,подскадка и имплантация через 3-4месяца!кортикалка как там? Ссылка на комментарий
SSTi Опубликовано 2 июня, 2014 Автор Поделиться Опубликовано 2 июня, 2014 Не так плохо. П.с. Пациенту 16 лет Ссылка на комментарий
faity Опубликовано 3 июня, 2014 Поделиться Опубликовано 3 июня, 2014 Не так плохо.П.с. Пациенту 16 летлоскутейшн-аугментейшн и будет норм Ссылка на комментарий
SSTi Опубликовано 9 июня, 2014 Автор Поделиться Опубликовано 9 июня, 2014 12.Жалобы на скол старой реставрации. Своих тканей 2-3 мм. Перкуссия слабо болезненна. На снимке канал запломбирован до изгиба. Первый визит- анестезия, коффер, убрал остатки пломбы и все кариозные ткани, распломбировал( была гутта), за изгибом склероз , проходила 10ка только с трудом. 10к файл, 15к файл. 15 мту, s1,s2,f1, f2, у верхушки 30.02. Гипохлор, уз, вода, эдта, хлоргексидин. Кальций. Во второй визит все отмыл и запаковал. Далее планируется вкладка и коронка. Ссылка на комментарий
faity Опубликовано 9 июня, 2014 Поделиться Опубликовано 9 июня, 2014 За апексом материал? Ссылка на комментарий
SSTi Опубликовано 9 июня, 2014 Автор Поделиться Опубликовано 9 июня, 2014 Ah+ чуть Ссылка на комментарий
faity Опубликовано 9 июня, 2014 Поделиться Опубликовано 9 июня, 2014 Ah+ чутьрассосется) Ссылка на комментарий
Рекомендуемые сообщения
Для публикации сообщений создайте учётную запись или авторизуйтесь
Вы должны быть пользователем, чтобы оставить комментарий
Создать аккаунт
Зарегистрируйте новый аккаунт в нашем сообществе. Это очень просто!
Регистрация нового пользователяВойти
Уже есть аккаунт? Войти в систему.
Войти