M@estro Опубликовано 17 мая, 2015 Поделиться Опубликовано 17 мая, 2015 а Вы пломбу не полируете? Лучший ! Ссылка на комментарий
DOCTORARSEN Опубликовано 17 мая, 2015 Поделиться Опубликовано 17 мая, 2015 а Вы пломбу не полируете?лично я пломбу полирую всегда. И при пломбировании глисерин никогда не использовал (использовал только в ортопедии), а пример с пломбой привел чтобы Danger понял когда кислород не касается поверхности композитной пломбы(композитного цемента), кислородом ингиброванный слой полимеризуется(кислородом ингиброванный слой позволяет слоям композита соединиться и уже когда мы полимеризуем уже верхний слой композита месте сним полимеризуется кислородом ингиброванный слой нижнего слоя композита). Извините за тавтологию Ссылка на комментарий
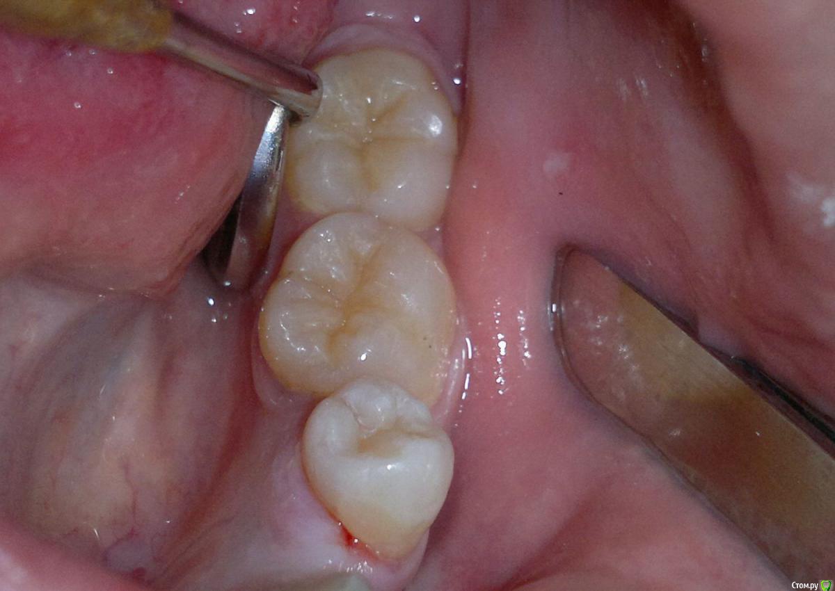
igorstom Опубликовано 27 мая, 2015 Автор Поделиться Опубликовано 27 мая, 2015 Спешу поделиться своей радостью. Наконец-то стали получаться реставрации "живых" зубов. К сожалению нет фоток до реставрации. Да и как-то уже не интересно стало фотографировать. Какие ошибки были раньше - бугор моделировал одной частью. Сейчас при моделировании одного бугра делаю минимум 2-3 бугорка. Ну и результат порадовал. 13 Ссылка на комментарий
Danger Опубликовано 27 мая, 2015 Поделиться Опубликовано 27 мая, 2015 очень круто(( Ссылка на комментарий
Bratok Опубликовано 27 мая, 2015 Поделиться Опубликовано 27 мая, 2015 К-файлом фиссурки рисовали? Ссылка на комментарий
igorstom Опубликовано 28 мая, 2015 Автор Поделиться Опубликовано 28 мая, 2015 К-файлом фиссурки рисовали? Да нет. Обычной тонкой гладилкой. Я их показывал в этой теме. Хотя наверное стоит попробовать К-файлом. Что-то я забыл про этот способ. Ссылка на комментарий
igorstom Опубликовано 28 мая, 2015 Автор Поделиться Опубликовано 28 мая, 2015 очень круто(( Если серьезно, нет тут крутяка. Если бы Вам показать, Вы бы сказали - как оказывается все просто. И что я это раньше сам не додумался.Месяца три-четыре назад просто решил попробовать: на сохранившихся буграх были четко видны направления бывших фиссур. Ну и попробовал выстроить продолжение. Это на первых двух фотках. А на двух остальных фотках, на всех трех зубах выстроить рисунок было уже делом наработанной техники. Благо зубы были кривоватые, так что особо по прикусу заморочек не было. Показал своей знакомой стоматологу фотки. Она мне пишет: "Не морочь голову, зачем фотографируешь здоровые зубы?" Ну что тут скажешь, приятно однако слышать такой ответ. Ссылка на комментарий
StomV Опубликовано 29 мая, 2015 Поделиться Опубликовано 29 мая, 2015 Если серьезно, нет тут крутяка. Если бы Вам показать, Вы бы сказали - как оказывается все просто. И что я это раньше сам не додумался. Так в чем проблема показать? видео к счастью сейчас доступно, думаю многим бы было интересно. Ссылка на комментарий
Shaid Опубликовано 1 июня, 2015 Поделиться Опубликовано 1 июня, 2015 igorstom, композит тот же, филтек? Ссылка на комментарий
igorstom Опубликовано 1 июня, 2015 Автор Поделиться Опубликовано 1 июня, 2015 igorstom, композит тот же, филтек?Он самый - Филтек Ультимейт.. Не эксперементирую. Основные цвета, которые использую - А2В, А3В, С2В, Д2В и А4В. Ссылка на комментарий
igorstom Опубликовано 1 июня, 2015 Автор Поделиться Опубликовано 1 июня, 2015 Так в чем проблема показать? видео к счастью сейчас доступно, думаю многим бы было интересно.Мне не жалко показать. Работаю один, без помощника на приёме. Из портативных камер с HD-качеством - Нокиа N8-00. Как её закрепить, вот в чем вопрос? Чтобы и моделировать, и тут же снимать? Ссылка на комментарий
Danger Опубликовано 7 июня, 2015 Поделиться Опубликовано 7 июня, 2015 Помогите решить проблему.Ситуация 2 класс по Блеку. Пользуюсь матричной системой Супер мат. Когда я выстраиваю апроксимальную стенку, у меня в конце реставрации получается сильно плоская стенка. И очень тяжело придать скругленную форму на ней же,выходит как -то квадратом. Даже бор не могу подобрать,цепляет антогонист тогда... Ссылка на комментарий
Vladimirov Опубликовано 7 июня, 2015 Поделиться Опубликовано 7 июня, 2015 получается сильно плоская стенка так там же сама матрица плоская. Но я керровской системой не работал (дороговато для меня) может как то и можно адаптировать её.Пользую контурные и секционные матрицы ТОР ВМ - дёшево и сердито Ссылка на комментарий
ромашечка Опубликовано 7 июня, 2015 Поделиться Опубликовано 7 июня, 2015 Даже бор не могу подобрать,цепляет Попробуйте диском 3М . Ссылка на комментарий
M@estro Опубликовано 7 июня, 2015 Поделиться Опубликовано 7 июня, 2015 Переходите на Тор ВМ : http://s017.radikal.ru/i412/1506/f6/905b1006c53c.jpg Ссылка на комментарий
pils Опубликовано 7 июня, 2015 Поделиться Опубликовано 7 июня, 2015 Я тоже пользуюсь Super Mat, но такой проблемы нет. Там же сами ленты не плоские...Но я дополнительно притираю ленту в месте предполагаемого контакта инструментом (небольшим шариком) и пользуюсь Optra Contact. Получается неплохо. Ссылка на комментарий
Danger Опубликовано 7 июня, 2015 Поделиться Опубликовано 7 июня, 2015 (изменено) у меня в этом месте выходит такая кромка и я не знаю как ее убрать что бы не травмировать соседний зуб. И не получается сделать без нее.ТOP BM пользовался,но они как то слабо зуб обхватывают и деформируются когда клин вводишь ИМХО. Изменено 7 июня, 2015 пользователем Danger Ссылка на комментарий
igorstom Опубликовано 7 июня, 2015 Автор Поделиться Опубликовано 7 июня, 2015 Это Вы, батенька, показания расширили. Тоже так делал и делаю. Когда с апроксималки восстанавливаемые ткани на уровне десны - всегда такая проблема. Попробуйте тригональные клинья от ТОР-ВМ. Не все, но очень многие подобные проблемы решают на ура. Сейчас обычными клиньями пользуюсь редко. И про кольца не забывайте. Ссылка на комментарий
igorstom Опубликовано 7 июня, 2015 Автор Поделиться Опубликовано 7 июня, 2015 И ещё, с апроксималок шлифование и полирование провожу с предварительным расклиниванием, чтобы щель потом не сделать. Ссылка на комментарий
Danger Опубликовано 7 июня, 2015 Поделиться Опубликовано 7 июня, 2015 (изменено) Это Вы, батенька, показания расширили.то есть,если на уровне десны то надо коронку что ли?а еще бывает страшная проблема,когда апроксималка сильно разрушена,вставляешь клин,реставрируешь и когда его вытаскиваешь видишь что он сильно прогнул матрицу с апроксималки и сделал "дупло"((( иногда не знаю как поступить ,потому как если не поджать клином матрицу будет подсачивать кровь или слюна. Изменено 7 июня, 2015 пользователем Danger Ссылка на комментарий
Каплан Опубликовано 7 июня, 2015 Поделиться Опубликовано 7 июня, 2015 ТOP BM пользовался,но они как то слабо зуб обхватывают и деформируются когда клин вводишь ИМХО.Нормально они все обхватывают )) 3 Ссылка на комментарий
Dent32 Опубликовано 7 июня, 2015 Поделиться Опубликовано 7 июня, 2015 (изменено) Нормально они все обхватывают ))В других случаях требуется клин Изменено 7 июня, 2015 пользователем Dent32 Ссылка на комментарий
Каплан Опубликовано 7 июня, 2015 Поделиться Опубликовано 7 июня, 2015 В других случаях требуется клинтут тоже стоит клин. без него никогда и никуда. 1 Ссылка на комментарий
Danger Опубликовано 7 июня, 2015 Поделиться Опубликовано 7 июня, 2015 ну вот как по мне марица стоит ровно. И как там можно сформировать плавный переход с апроксимальной стороны на жевательную? я обычно там положу материал а в конце борюсь в этом месте с излишками( Ссылка на комментарий
M@estro Опубликовано 7 июня, 2015 Поделиться Опубликовано 7 июня, 2015 у меня в этом месте выходит такая кромка и я не знаю как ее убрать что бы не травмировать соседний зуб. И не получается сделать без нее.ТOP BM пользовался,но они как то слабо зуб обхватывают и деформируются когда клин вводишь ИМХО. На фото, которую я представил выше - в премолярах две прямые реставрации апроксимально . Матрицы тор - вм. Кольцо. Клин. Всё. Будет время - скину подробный отчет. Дело не в матрице , точно. Знаю )) 4 Ссылка на комментарий
Рекомендуемые сообщения
Для публикации сообщений создайте учётную запись или авторизуйтесь
Вы должны быть пользователем, чтобы оставить комментарий
Создать аккаунт
Зарегистрируйте новый аккаунт в нашем сообществе. Это очень просто!
Регистрация нового пользователяВойти
Уже есть аккаунт? Войти в систему.
Войти