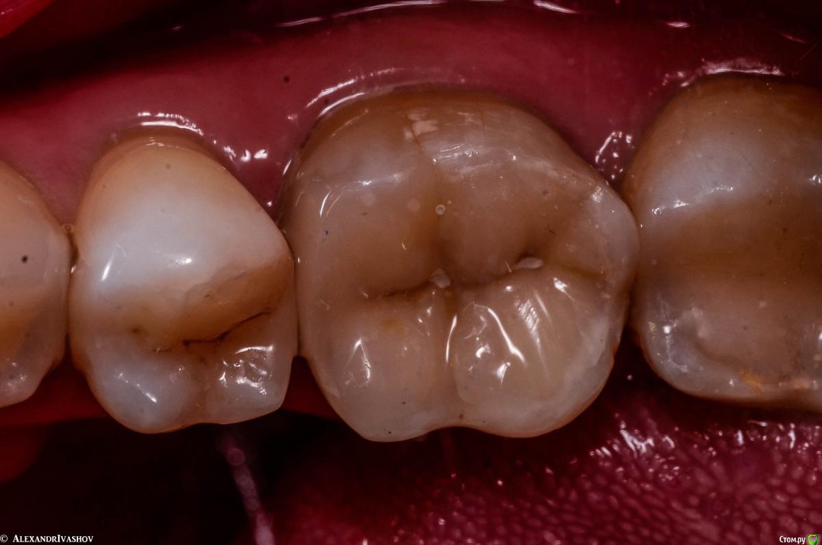
Alexandr Iv Опубликовано 22 апреля, 2015 Поделиться Опубликовано 22 апреля, 2015 Краски IPS.Direct Color. Материал filtek ultimate. A3D, A3E, AT 3 Ссылка на комментарий
St. Опубликовано 22 апреля, 2015 Поделиться Опубликовано 22 апреля, 2015 Краски IPS.Direct Color. Материал filtek ultimate. A3D, A3E, AT Коронка сюда просится, как по мне.. Ссылка на комментарий
Л Ю С Я Опубликовано 22 апреля, 2015 Поделиться Опубликовано 22 апреля, 2015 Я бы оверлей сделала Ссылка на комментарий
St. Опубликовано 22 апреля, 2015 Поделиться Опубликовано 22 апреля, 2015 Я бы оверлей сделалаНу или так. А пломба здесь - рисковано в прогнозе. Ссылка на комментарий
DmitrySH Опубликовано 23 апреля, 2015 Поделиться Опубликовано 23 апреля, 2015 + к оверлею.Трещина на дисталке может дать проблемы 2 Ссылка на комментарий
Паращук Роман Опубликовано 23 апреля, 2015 Поделиться Опубликовано 23 апреля, 2015 Я бы трещину на девитальном пилил. Рествраха зачетная! Ссылка на комментарий
DmitrySH Опубликовано 23 апреля, 2015 Поделиться Опубликовано 23 апреля, 2015 Да, реставрация хороша! Когда стараются, это видно. Ссылка на комментарий
Alexandr Iv Опубликовано 23 апреля, 2015 Поделиться Опубликовано 23 апреля, 2015 Согласен на 200% Ну или так. А пломба здесь - рисковано в прогнозе. Зуб был направлен на оверлей, но на рентгене перфа в области бифуркации и небольшая резорбция.Итог - пациентка готовится к удалению и имплантации (психологически ) Ссылка на комментарий
DmitrySH Опубликовано 23 апреля, 2015 Поделиться Опубликовано 23 апреля, 2015 Если зуб под удаление, тогда зачем тратить свои силы на реставрацию? Раз решили лепить, то можно было что-то монохромное, но с ревизией трещины и перекрытием всех бугров. Ссылка на комментарий
Alexandr Iv Опубликовано 23 апреля, 2015 Поделиться Опубликовано 23 апреля, 2015 Если зуб под удаление, тогда зачем тратить свои силы на реставрацию? Раз решили лепить, то можно было что-то монохромное, но с ревизией трещины и перекрытием всех бугров.Настроение было лепительное .. Трещина не прокрасилась кариесмаркером. Поэтому решил оставить и бугры.. хотя сейчас думаю может и зря... П.С. Сейчас прошло полгода.. скоро придет на контрольный осмотр.. посмотрю в каком состоянии Ссылка на комментарий
Л Ю С Я Опубликовано 23 апреля, 2015 Поделиться Опубликовано 23 апреля, 2015 Если зуб подлежит удалению , нечего такую красоту сделать. А то до хирурга так и не дойдет. А когда дойдет косточки то уже тютю)))) 1 Ссылка на комментарий
M@estro Опубликовано 23 апреля, 2015 Поделиться Опубликовано 23 апреля, 2015 Настроение было лепительное .. "Вдохновение - не селёдка, которую можно засолить на многие годы" (с) Гёте. Ссылка на комментарий
St. Опубликовано 23 апреля, 2015 Поделиться Опубликовано 23 апреля, 2015 Но всё-таки красиво же "лепите"!!! Ссылка на комментарий
Alexandr Iv Опубликовано 24 апреля, 2015 Поделиться Опубликовано 24 апреля, 2015 Но всё-таки красиво же "лепите"!!! Спасибо! Ссылка на комментарий
Наталия Бруцкая Опубликовано 2 мая, 2015 Поделиться Опубликовано 2 мая, 2015 Перечитала всю ветку, мозг закипает и руки чешутся☺ а на работу только в понелельник спасибо всем за вдохновение Ссылка на комментарий
Vladimirov Опубликовано 2 мая, 2015 Поделиться Опубликовано 2 мая, 2015 руки чешутся☺ можно и дома потренироваться на кошках на удалённых или на моделях Ссылка на комментарий
Danger Опубликовано 2 мая, 2015 Поделиться Опубликовано 2 мая, 2015 Ребят, глицерин на реставрацию наносить перед засветкой последней порции? Ссылка на комментарий
Каплан Опубликовано 2 мая, 2015 Поделиться Опубликовано 2 мая, 2015 Можно и после, но повторно засветить Ссылка на комментарий
Danger Опубликовано 2 мая, 2015 Поделиться Опубликовано 2 мая, 2015 а какой смысл после?я так понимю глицерин нужен что бы ингибированный слой не образрвался. Если мы засветили без глицерина он уже есть,чот изменит нанесение его после Ссылка на комментарий
LeFor Опубликовано 15 мая, 2015 Поделиться Опубликовано 15 мая, 2015 (изменено) ...решил потроллить реставраторов))) метод "флаг Габона"... твинки стар рулит)) Изменено 15 мая, 2015 пользователем LeFor 13 Ссылка на комментарий
Zlata-doctor Опубликовано 16 мая, 2015 Поделиться Опубликовано 16 мая, 2015 беру идею на вооружение, кул! Ссылка на комментарий
DOCTORARSEN Опубликовано 16 мая, 2015 Поделиться Опубликовано 16 мая, 2015 а какой смысл после?я так понимю глицерин нужен что бы ингибированный слой не образрвался. Если мы засветили без глицерина он уже есть,чот изменит нанесение его после Смысл в том, чтобы полимеризовать именно кислородом ингиброванный слой. Глицерин "закрывает доступ" каслорода, как это делает верхний слой композитной пломбы для нижнего слоя. Ссылка на комментарий
Джима Опубликовано 16 мая, 2015 Поделиться Опубликовано 16 мая, 2015 ...решил потроллить реставраторов))) метод "флаг Габона"... твинки стар рулит))А вестибулярно фиссуру кому оставили? Ссылка на комментарий
LeFor Опубликовано 16 мая, 2015 Поделиться Опубликовано 16 мая, 2015 А вестибулярно фиссуру кому оставили? не все сразу, это же ребенок.... Ссылка на комментарий
Гарриевич Опубликовано 17 мая, 2015 Поделиться Опубликовано 17 мая, 2015 Смысл в том, чтобы полимеризовать именно кислородом ингиброванный слой. Глицерин "закрывает доступ" каслорода, как это делает верхний слой композитной пломбы для нижнего слоя.а Вы пломбу не полируете? Ссылка на комментарий
Рекомендуемые сообщения
Для публикации сообщений создайте учётную запись или авторизуйтесь
Вы должны быть пользователем, чтобы оставить комментарий
Создать аккаунт
Зарегистрируйте новый аккаунт в нашем сообществе. Это очень просто!
Регистрация нового пользователяВойти
Уже есть аккаунт? Войти в систему.
Войти