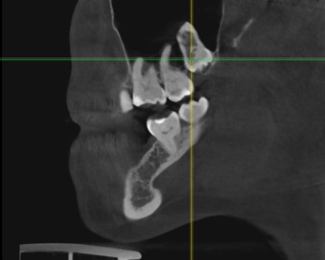
red_butler Опубликовано 28 марта, 2021 Поделиться Опубликовано 28 марта, 2021 22 часа назад, Женька сказал: Коллеги, всегда задаюсь вопросом что делать в таких случаях? формировать ложе остеотомами или эспандерами Ссылка на комментарий
Женька Опубликовано 28 марта, 2021 Поделиться Опубликовано 28 марта, 2021 7 часов назад, red_butler сказал: формировать ложе остеотомами или эспандерами но не единственный вариант же? Ссылка на комментарий
Женька Опубликовано 30 марта, 2021 Поделиться Опубликовано 30 марта, 2021 28.03.2021 в 13:15, red_butler сказал: формировать ложе остеотомами или эспандерами что то даже 3.6 на 7 (с 1.5мм полированной шейкой) с эспандерами мне кажется без нкр не обойдётся. Ссылка на комментарий
red_butler Опубликовано 1 апреля, 2021 Поделиться Опубликовано 1 апреля, 2021 30.03.2021 в 20:59, Женька сказал: что то даже 3.6 на 7 (с 1.5мм полированной шейкой) с эспандерами мне кажется без нкр не обойдётся. заглубить с проведением ЗСЛ у все пройдет 1 1 Ссылка на комментарий
Доктор Хаус Опубликовано 1 апреля, 2021 Поделиться Опубликовано 1 апреля, 2021 (изменено) 31.03.2021 в 00:59, Женька сказал: что то даже 3.6 на 7 (с 1.5мм полированной шейкой) с эспандерами мне кажется без нкр не обойдётся. Если Вы правильно выбрали форму зуба, то в вашей схеме ошибка . Между имплантатом и зубом должно быть пространство для Биологической Ширины. Если сделать так как вы говорите то кость со временем все равно уйдет. Отсюда и следует что имплантат надо заглублять на 3-4 мм, и НКР здесь не нужна, а нужен Синус Лифтинг. Ну и с Синусом можно поставить 36-10. Изменено 1 апреля, 2021 пользователем Доктор Хаус 2 Ссылка на комментарий
Женька Опубликовано 1 апреля, 2021 Поделиться Опубликовано 1 апреля, 2021 Значит придётся пациентке отказать... Не понимаю пока куда тут можно зслить и как. Про бш помню-знаю. Но топить нужно же не в кости 3-4 мм? Ссылка на комментарий
Доктор Хаус Опубликовано 1 апреля, 2021 Поделиться Опубликовано 1 апреля, 2021 От зенита будущего зуба, если кость мешает, ее надо подпилить. Ссылка на комментарий
annda Опубликовано 1 апреля, 2021 Поделиться Опубликовано 1 апреля, 2021 Тишью левел еще есть так- то, это если про биологическую ширину речь вести и не топить и припилить кость. Но ЗСЛ нужен в любом случае, либо бикортикальная фиксация( на 1-2 мм без графта приподнять). А между зубами для коронки места достаточно? 1 Ссылка на комментарий
It'sGeorgy Опубликовано 4 апреля, 2021 Поделиться Опубликовано 4 апреля, 2021 @АнтонТЛТ , сможете подсказать какие миниимплантаты вы имеете ввиду? 23.03.2021 в 22:47, АнтонТЛТ сказал: По факту себестоимость такой экструзии небольшая, если как в этом кейсе использовать отечественный миниимплантат. Ссылка на комментарий
АнтонТЛТ Опубликовано 4 апреля, 2021 Поделиться Опубликовано 4 апреля, 2021 Конмет 1 Ссылка на комментарий
It'sGeorgy Опубликовано 4 апреля, 2021 Поделиться Опубликовано 4 апреля, 2021 53 минуты назад, АнтонТЛТ сказал: Конмет Благодарю. Ссылка на комментарий
Женька Опубликовано 6 апреля, 2021 Поделиться Опубликовано 6 апреля, 2021 01.04.2021 в 22:47, annda сказал: Тишью левел еще есть так- то, это если про биологическую ширину речь вести и не топить и припилить кость. Но ЗСЛ нужен в любом случае, либо бикортикальная фиксация( на 1-2 мм без графта приподнять). А между зубами для коронки места достаточно? тот что на срезе это 7мм с 1.5мм полированной шейки, я же правильно понимаю, что это подобие тишью левел и с ним можно также обращаться? Да, между зубами премоляр проходит. Ссылка на комментарий
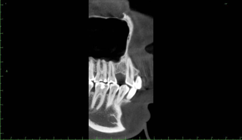
It'sGeorgy Опубликовано 13 апреля, 2021 Поделиться Опубликовано 13 апреля, 2021 Добрый день. Какие особенности будут при удалении подобного зуба? Какова вероятность анкилоза или это здесь вообще не при чем? Ссылка на комментарий
red_butler Опубликовано 13 апреля, 2021 Поделиться Опубликовано 13 апреля, 2021 15 минут назад, It'sGeorgy сказал: Какие особенности будут при удалении подобного зуба? перфорация и возможно миграция зуба в синус 2 Ссылка на комментарий
It'sGeorgy Опубликовано 13 апреля, 2021 Поделиться Опубликовано 13 апреля, 2021 6 минут назад, red_butler сказал: перфорация и возможно миграция зуба в синус Спасибо, это само собой. Меня интересует затемнение на зубе, влияет ли оно на что-то? Ссылка на комментарий
red_butler Опубликовано 13 апреля, 2021 Поделиться Опубликовано 13 апреля, 2021 8 минут назад, It'sGeorgy сказал: Меня интересует затемнение на зубе, влияет ли оно на что-то? похоже на внутреннюю резорбцию, не вижу с ней проблем 1 Ссылка на комментарий
It'sGeorgy Опубликовано 13 апреля, 2021 Поделиться Опубликовано 13 апреля, 2021 2 минуты назад, red_butler сказал: похоже на внутреннюю резорбцию, не вижу с ней проблем Спасибо. Ссылка на комментарий
annda Опубликовано 13 апреля, 2021 Поделиться Опубликовано 13 апреля, 2021 06.04.2021 в 13:48, Женька сказал: тот что на срезе это 7мм с 1.5мм полированной шейки, я же правильно понимаю, что это подобие тишью левел и с ним можно также обращаться? Да, между зубами премоляр проходит. Насколько я в курсе, у ТЛ нет подобия, либо он либо внешний шестигранник могут быть над уровнем гребня( мы не говорим про неразборные моноимплантаты) Все остальное обязано быть либо вровень с гребнем , либо погружаться субкортикально. Возможно, я чего- то и не знаю. Ссылка на комментарий
Женька Опубликовано 14 апреля, 2021 Поделиться Опубликовано 14 апреля, 2021 @annda всё верно, но получается, что полированную шею, мы погружать не можем ибо к ней не прирастёт никакая кость. а это в случае данного имплантата 1.5мм, получается что вровень мы ставим с гребнем до уровня этой шейки. Потому и говорю, что это подобие ТЛ. Или у меня недостаточно данных в понимании) Ссылка на комментарий
annda Опубликовано 15 апреля, 2021 Поделиться Опубликовано 15 апреля, 2021 (изменено) Вот и я этого не понимаю. Если мы говорим про новый Суперлайн с полированной шеей, я спрашивала про него на каком- то из курсов. Там лектор утверждал- да , погружаем , да еще и заглубляем по протоколу конусников. У меня когнитивный диссонанс на эту тему, о чем я выше уже писала, почему я стараюсь его не пользовать, почему я его не понимаю. Изменено 15 апреля, 2021 пользователем annda 1 Ссылка на комментарий
Женька Опубликовано 1 мая, 2021 Поделиться Опубликовано 1 мая, 2021 01.04.2021 в 13:26, red_butler сказал: заглубить с проведением ЗСЛ у все пройдет Ну что же. Пациентка согласилась на синус и имплантацию...а я надеялся что нет Только планирую пойти через открытый все-таки. Тк во-первых это можно сказать первый синус, во-вторых боюсь что при зсл я получу перфо ввиду анатомии синуса. Ссылка на комментарий
Irouil Опубликовано 1 мая, 2021 Поделиться Опубликовано 1 мая, 2021 (изменено) Вы тут с открытым синусом в 10 раз вероятнее накосячите, чем с закрытым Потому что даже если просто перфорнуть тут пазуху при ЗСЛ с очень высокой долей вероятности произойдёт чуть менее чем ничего А если начать отслаивать слизистую пазухи отдельным доступом, да еще и прямо по медиальной границе альвеолярной бухты, да еще и так высоко, да еще и планировать натолкать туда графта или еще какой-нибудь дряни... сразу ЛОРа хорошего номер ищите) Изменено 1 мая, 2021 пользователем Irouil 2 1 Ссылка на комментарий
Женька Опубликовано 2 мая, 2021 Поделиться Опубликовано 2 мая, 2021 А я думал наоборот. Открытый проще во всех смыслах Предлагаете просто зсл, губку если перфо внутрь, если нет то просто поднять пазуху и всё? без графтов чисто на сгустке? Ссылка на комментарий
Irouil Опубликовано 2 мая, 2021 Поделиться Опубликовано 2 мая, 2021 Без графтов, преп на -1-1.5 мм от высоты гребня пилотном, потом конденсация до 3.2 (или какой там у Вас диаметр вогнутого остеотома), дальше стук, по необходимости конденсинг и профайлинг крестального модуля либо реверс-препинг всей длины (в зависимости от планируемого винта) потом просто крутить 8 мм в этой ситуации на мой взгляд ничем графтить не нужно Ссылка на комментарий
Женька Опубликовано 4 мая, 2021 Поделиться Опубликовано 4 мая, 2021 02.05.2021 в 21:07, Irouil сказал: дальше стук, Объясните, не понимаю. Если будет стук не будет ли перфорации как раз в месте где бухта меняет своё положение? Ссылка на комментарий
Рекомендуемые сообщения
Для публикации сообщений создайте учётную запись или авторизуйтесь
Вы должны быть пользователем, чтобы оставить комментарий
Создать аккаунт
Зарегистрируйте новый аккаунт в нашем сообществе. Это очень просто!
Регистрация нового пользователяВойти
Уже есть аккаунт? Войти в систему.
Войти