St. Опубликовано 27 октября, 2014 Автор Поделиться Опубликовано 27 октября, 2014 Но полгода назад была барыня с отеком Квинке в анамнезе,от анастетика, и острым пульпитом так через девит и вел. Токмо такие варианты раз в год и бывают. Поэтому считаю девитализаторы мат-ми выбора. Поддерживаю.При таком раскладе точно лучше Девит, чем бригада реаниматологов.. 2 Ссылка на комментарий
Гарриевич Опубликовано 27 октября, 2014 Поделиться Опубликовано 27 октября, 2014 Так что бы вы совсем меня тапками не забросали,я девитализаторами не работаю. Но полгода назад была барыня с отеком Квинке в анамнезе,от анастетика, и острым пульпитом так через девит и вел. Токмо такие варианты раз в год и бывают. Поэтому считаю девитализаторы мат-ми выбора. есть правила, а есть исключенияи главное их не путать) 4 Ссылка на комментарий
Zlata-doctor Опубликовано 27 октября, 2014 Поделиться Опубликовано 27 октября, 2014 Доктора, не забывайте, все эти препараты разрешены к использованию, поэтому формально говоря мы все имеем право ими работать (так же, как не запрещен и резорцин-формалиновый метод). Вот когда все это запретят, как это сейчас имеет место быть в странах, где стоматологические ассоциации живы и медицина нормально функционирует, тогда и будем здесь писать страшилки для пациентов. К сожалению, в настоящее время все это активно используется, особенно на госприеме. Ссылка на комментарий
Ico Опубликовано 27 октября, 2014 Поделиться Опубликовано 27 октября, 2014 (изменено) Специально поинтересовался что такое Каустинерв и прочитал его инструкцию,по нескольким ссылкам,ну нет там о переходе пульпита в периодонтит.Вы правы,про переход там не написано,но там описан"Механизм действия-девитализация и мумификация зубов".Вас не смущает само понятие - "девитальная пульпа"она в каких зубах встречается?А по качеству она какая?Конкретныи переход от витальной пульпы в девитальную в большинстве случаев это инфекционный процесс.Такие препараты способствуют проникновению инфекции дальше по каналу,когда нормальная,еще витальная пульпа этому препятствует. Изменено 27 октября, 2014 пользователем Ico Ссылка на комментарий
Паращук Роман Опубликовано 27 октября, 2014 Поделиться Опубликовано 27 октября, 2014 Вы правы,про переход там не написано,но там описан"Механизм действия-девитализация и мумификация зубов".Вас не смущает само понятие - "девитальная пульпа"она в каких зубах встречается?А по качеству она какая?Конкретныи переход от витальной пульпы в девитальную в большинстве случаев это инфекционный процесс.Такие препараты способствуют проникновению инфекции дальше по каналу,когда нормальная,еще витальная пульпа этому препятствует.А как же асептический некроз? Что бы не было проникновения инфекции туда впихнули параформ. Ссылка на комментарий
Бардо Опубликовано 27 октября, 2014 Поделиться Опубликовано 27 октября, 2014 (изменено) Такие препараты способствуют проникновению инфекции дальше по каналу,когда нормальная,еще витальная пульпа этому препятствует.меня вот тоже этот аспект смущает гораздо больше, чем какое-то общее действие параформальдегида в этих дозах. То есть при витальном протоколе я понимаю, что канал стерилен, надеваем коффердам, заливаем хлоркой и даже в случае сложной анатомии, отломов инструментов и прочих неудач шансы, в общем, неплохие. А при девит методе уже не знаешь чего там под твою времяшку натекло. Но какая фактическая клиническая разница - бог его знает, как заметил Роман, может и вовсе ее нет. ).Когда пользую девит метод, на следующий день назначаю, успокаивая себя тем, что пульпа еще живая. Изменено 27 октября, 2014 пользователем Бардо Ссылка на комментарий
Ico Опубликовано 27 октября, 2014 Поделиться Опубликовано 27 октября, 2014 А как же асептический некроз? Что бы не было проникновения инфекции туда впихнули параформ.Ассептический некроз получится в очень редких случаях.Параформ деиствует час,может два,его антисептическое деиствие прекратится раньше,чем вы начнете полноценное эндо.Вы не знаете сколько бактерий в канале и тем более - вы им не прикажете умереть всем эти два часа.Это инфекция(!) которую нужно устранять в данном случае только радикально и чем она дольше присутствует в канале,тем хуже прогноз.Не поленитесь на Паб Меде и эндоэкспириенсе поискать исследования о преимуществах витального эндо над девитальным,в плане прогнозов. Ссылка на комментарий
Ico Опубликовано 27 октября, 2014 Поделиться Опубликовано 27 октября, 2014 Но какая фактическая клиническая разница - бог его знает, как заметил Роман, может и вовсе ее нет. ).Когда пользую девит метод, на следующий день назначаю, успокаивая себя тем, что пульпа еще живая.Время покажет Ссылка на комментарий
Паращук Роман Опубликовано 27 октября, 2014 Поделиться Опубликовано 27 октября, 2014 Ассептический некроз получится в очень редких случаях.Параформ деиствует час,может два,его антисептическое деиствие прекратится раньше,чем вы начнете полноценное эндо.Вы не знаете сколько бактерий в канале и тем более - вы им не прикажете умереть всем эти два часа.Это инфекция(!) которую нужно устранять в данном случае только радикально и чем она дольше присутствует в канале,тем хуже прогноз.Не поленитесь на Паб Меде и эндоэкспириенсе поискать исследования о преимуществах витального эндо над девитальным,в плане прогнозов.Было читано давно может что и новое есть.То что витальное лучше никто не спорит,но есть хоть один матанализ клинический не гистологический? Я наверное повторюсь,но кто в здравом уме будет ставить д-тор при некротической форме пульпита? Тогда да никакой параформ ничего не удержит и будет цветущий периодонтит,а при начальных формах и пару часов будет достаточно. Ссылка на комментарий
Ico Опубликовано 27 октября, 2014 Поделиться Опубликовано 27 октября, 2014 Было читано давно может что и новое есть.http://www.ncbi.nlm.nih.gov/pubmed/23474578 Ссылка на комментарий
Паращук Роман Опубликовано 27 октября, 2014 Поделиться Опубликовано 27 октября, 2014 http://www.ncbi.nlm.nih.gov/pubmed/23474578Что это? Дети,пульпотомия,сульфат железа? Имхо не в ту степь. Ссылка на комментарий
Ico Опубликовано 27 октября, 2014 Поделиться Опубликовано 27 октября, 2014 Что это? Дети,пульпотомия,сульфат железа? Имхо не в ту степь.Формокрезол пропустили.Ну не суть,удачи. Ссылка на комментарий
St. Опубликовано 7 ноября, 2014 Автор Поделиться Опубликовано 7 ноября, 2014 Покритикуйте, кому не лень ! Пациентка, в другом учреждении поставили пломбу. Предупредили, что если разболится депульпировать. Разболелся ночью. Попала ко мне по острой боли. Пульпит.Вскрыла - под пломбой чуть мягкого дентина и провалилась в камеру. Ковровая дорожка 10, 15, 20. Мб2 нашла устье, пройти не смогла. Протейперы до Ф1. Хлорка. Кальций. Вр.пломба.Второй визит. Лимонная к-та, гипохлорит. Попыталась ещё пройти мб2 - не смогла. Ещё хлорка, перекись, вода, хлоргексидин. Пломбировка латералкой АН+ и гутта. Апикально мщ -25, дщ - 30.02, небный -35.02.З.ы. смушает средняя треть мщ канала и непройденный мб2.. Ссылка на комментарий
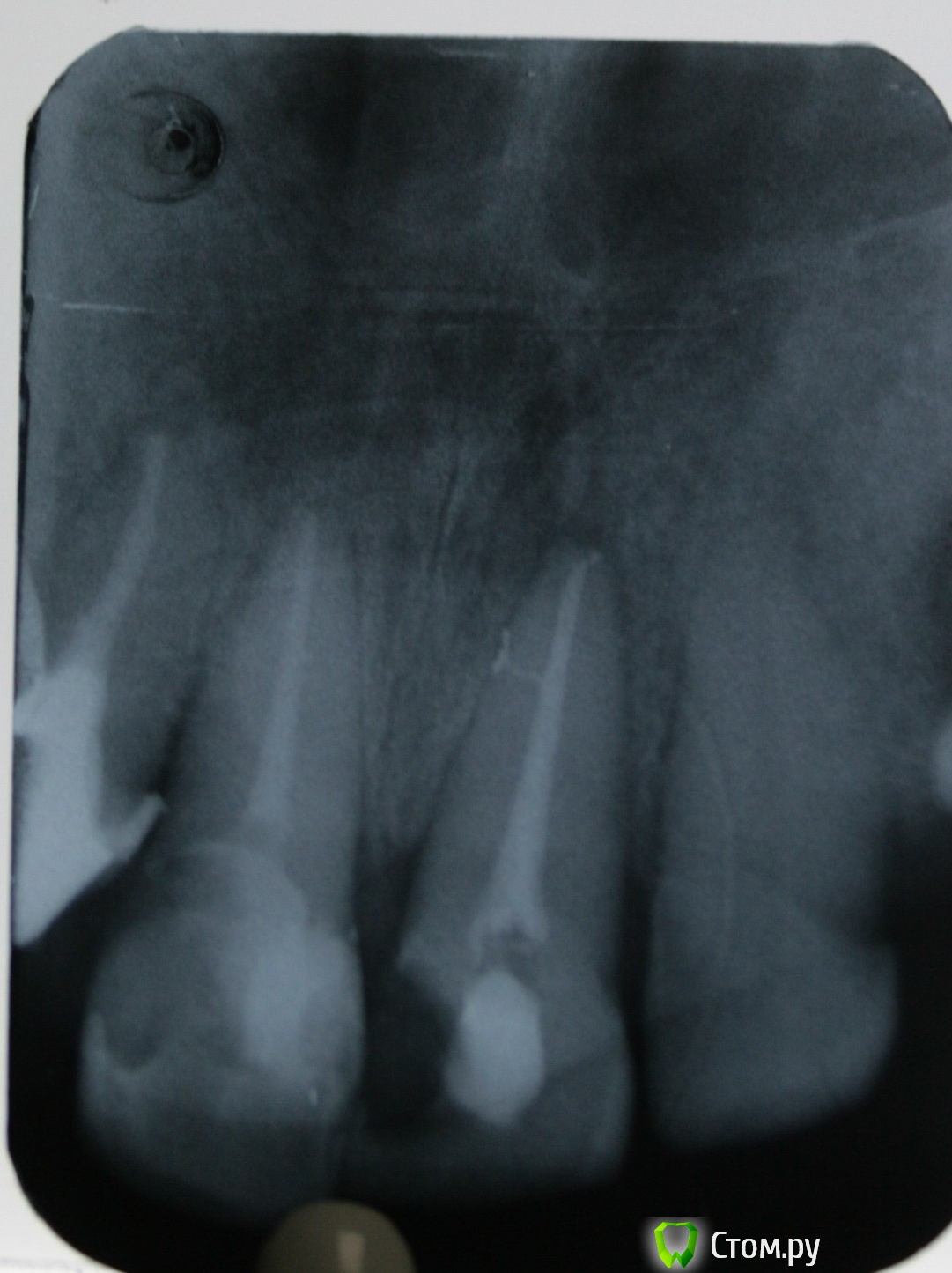
St. Опубликовано 7 ноября, 2014 Автор Поделиться Опубликовано 7 ноября, 2014 Вот ещё. Тут вроде симпатично вышло. Жалобы на боли при накусывании. Перкуссия +++. Термопроба -.Зуб на половину состоит из пломбы. лечен со слов несколько лет назад. Симптоматический апикальный периодонтит 21.Ковровая дорожка. ПроТейпры до ф1. Апикально 50.02. Гипохлорит, перекись, хлоргексидин, эдта. Пломбировка Латералкой. Думала триоксидентом сперва, но получила хороший апмкальный упор и канал высушился без проблем. Поэтому гутта. 6 Ссылка на комментарий
ger_berra Опубликовано 7 ноября, 2014 Поделиться Опубликовано 7 ноября, 2014 Покритикуйте, кому не лень ! Пациентка, в другом учреждении поставили пломбу. Предупредили, что если разболится депульпировать. Разболелся ночью. Попала ко мне по острой боли. Пульпит.Вскрыла - под пломбой чуть мягкого дентина и провалилась в камеру. Ковровая дорожка 10, 15, 20. Мб2 нашла устье, пройти не смогла. Протейперы до Ф1. Хлорка. Кальций. Вр.пломба.Второй визит. Лимонная к-та, гипохлорит. Попыталась ещё пройти мб2 - не смогла. Ещё хлорка, перекись, вода, хлоргексидин. Пломбировка латералкой АН+ и гутта. Апикально мщ -25, дщ - 30.02, небный -35.02.З.ы. смушает средняя треть мщ канала и непройденный мб2.. Не смогли пройти мб2,но нашли,да? С мб2 бывает так,что ход его идет более гризонтально,по сравнению с мб1.Поэтому старайтесь расширить сначала устье,а далее направляйте файл мезиально,как бы к премолярам) ... Файл потихоньку пойдёт) 1 Ссылка на комментарий
St. Опубликовано 7 ноября, 2014 Автор Поделиться Опубликовано 7 ноября, 2014 Не смогли пройти мб2,но нашли,да? С мб2 бывает так,что ход его идет более гризонтально,по сравнению с мб1.Поэтому старайтесь расширить сначала устье,а далее направляйте файл мезиально,как бы к премолярам) ... Файл потихоньку пойдёт)да, устье вроде как нашла. точечкой темной рядом с мб1. но у меня туда даже 6 больше чем на 1мм не влезла. Может и правда с направлением промахнулась. Спасибо, приму к сведению)). А чем Вы устье расширяете, чтобы лишнего не убрать? Я гейцем 3 пользуюсь... Ссылка на комментарий
ger_berra Опубликовано 8 ноября, 2014 Поделиться Опубликовано 8 ноября, 2014 да, устье вроде как нашла. точечкой темной рядом с мб1. но у меня туда даже 6 больше чем на 1мм не влезла. Может и правда с направлением промахнулась. Спасибо, приму к сведению)). А чем Вы устье расширяете, чтобы лишнего не убрать? Я гейцем 3 пользуюсь...Мой любимый устьевик флекс мастер 20/11.Протейпер тоже пойдёт))) 1 Ссылка на комментарий
Shaid Опубликовано 9 ноября, 2014 Поделиться Опубликовано 9 ноября, 2014 Для устьев Protaper Sx(правда щас будут ругать за его чрезмерную конусность), PreRace 35.08(зелененький с короткой рабочей частью). Еще видел такие же Профайлы(с такой же короткой рабочей частью) 1 Ссылка на комментарий
Гарриевич Опубликовано 9 ноября, 2014 Поделиться Опубликовано 9 ноября, 2014 Поэтому гутта.классная латералька ) Ссылка на комментарий
St. Опубликовано 9 ноября, 2014 Автор Поделиться Опубликовано 9 ноября, 2014 классная латералька )Спасибо! Ссылка на комментарий
St. Опубликовано 9 ноября, 2014 Автор Поделиться Опубликовано 9 ноября, 2014 Для устьев Protaper Sx(правда щас будут ругать за его чрезмерную конусность), А он ничего лишнего не выпилит? ну или в сторону не уйдет от хода канала если рука дрогнет? Ссылка на комментарий
St. Опубликовано 9 ноября, 2014 Автор Поделиться Опубликовано 9 ноября, 2014 Мой любимый устьевик флекс мастер 20/11.Протейпер тоже пойдёт)))то есть для устьевика конусность подходящая10-12, и короткая рабочая длина основные характеристики, я правильно понимаю? А что по поводу верхушки, агрессивная должна быть или нет? Ссылка на комментарий
Shaid Опубликовано 10 ноября, 2014 Поделиться Опубликовано 10 ноября, 2014 А он ничего лишнего не выпилит? ну или в сторону не уйдет от хода канала если рука дрогнет? Ступеньку может сделать. Ссылка на комментарий
ger_berra Опубликовано 11 ноября, 2014 Поделиться Опубликовано 11 ноября, 2014 Ступеньку может сделать.Покажите ступень в коронковой трети при обработке флектом 20/11 или sx протейпер)))) Ссылка на комментарий
ger_berra Опубликовано 11 ноября, 2014 Поделиться Опубликовано 11 ноября, 2014 Шэйд,максимум,что может сделать флекс мастер,указанный мной,это сломаться) достать-ноу проблем) даже без скопа) Ссылка на комментарий
Рекомендуемые сообщения
Для публикации сообщений создайте учётную запись или авторизуйтесь
Вы должны быть пользователем, чтобы оставить комментарий
Создать аккаунт
Зарегистрируйте новый аккаунт в нашем сообществе. Это очень просто!
Регистрация нового пользователяВойти
Уже есть аккаунт? Войти в систему.
Войти