SSTi Опубликовано 20 мая, 2014 Автор Поделиться Опубликовано 20 мая, 2014 Хруст- фирменная фишка протейперов))) Ссылка на комментарий
Каплан Опубликовано 20 мая, 2014 Поделиться Опубликовано 20 мая, 2014 (изменено) Не только протейперов ) Профайлы тоже хрустят. Изменено 20 мая, 2014 пользователем Каплан Ссылка на комментарий
SSTi Опубликовано 20 мая, 2014 Автор Поделиться Опубликовано 20 мая, 2014 У меня профайлы не скрипят, а сразу погибают смертью храбрых.)) мне они не очень нравятся. Может не умею просто их готовить) использую только после протейперов Ссылка на комментарий
DmitrySH Опубликовано 20 мая, 2014 Поделиться Опубликовано 20 мая, 2014 Спасают ромашки от РейСи, и тщательный визуальный контроль. Ссылка на комментарий
SSTi Опубликовано 20 мая, 2014 Автор Поделиться Опубликовано 20 мая, 2014 У вас бывает такое, что вы работаете пассивно эндонаконечником, не давите, просто идете за файлом, и тут файл начинает "засасывать" апикально ( при изгибе)очень быстро и в этот момент велик шанс на поломку? С профайлами такое было чаще, чем с протейперами. Ссылка на комментарий
DmitrySH Опубликовано 20 мая, 2014 Поделиться Опубликовано 20 мая, 2014 Да редко бывает. Предпочитаю работать максимально пассивно на большой скорости и минимальном торке. + хорошая ковровая дорожка Ссылка на комментарий
SSTi Опубликовано 20 мая, 2014 Автор Поделиться Опубликовано 20 мая, 2014 Какую скорость предпочитаете( первичное эндо и распломбировка)? Ссылка на комментарий
M@estro Опубликовано 20 мая, 2014 Поделиться Опубликовано 20 мая, 2014 Да редко бывает. Предпочитаю работать максимально пассивно на большой скорости и минимальном торке. + хорошая ковровая дорожка То же самое ,но без ковра - тоже работает Ссылка на комментарий
komar56 Опубликовано 20 мая, 2014 Поделиться Опубликовано 20 мая, 2014 Вот нравится мне! А если неудача? Показали бы? Ссылка на комментарий
faity Опубликовано 20 мая, 2014 Поделиться Опубликовано 20 мая, 2014 Вот нравится мне! А если неудача? Показали бы? показали бы) У вас бывает такое, что вы работаете пассивно эндонаконечником, не давите, просто идете за файлом, и тут файл начинает "засасывать" апикально ( при изгибе)очень быстро и в этот момент велик шанс на поломку? С профайлами такое было чаще, чем с протейперами.мту всегда так делает, 350 оборотов, торк 0,6-0,8 главное резко не стопить, я пока разобрался- инструментов 10 потерял(к вопросу о неудачах) в канал разумеется, достал к сожалению не все, один такой в жене торчит, в её случае безопаснее было оставить. протейперы не люблю, злые они и хрупкие, протейперы, мту, рейсы. Ссылка на комментарий
SSTi Опубликовано 20 мая, 2014 Автор Поделиться Опубликовано 20 мая, 2014 В данном случае наверно удобней были бы path file. В основном ими в начале работаю в таких изгибах. Но в этот раз что то забыл про них)) Ссылка на комментарий
SSTi Опубликовано 20 мая, 2014 Автор Поделиться Опубликовано 20 мая, 2014 Вот нравится мне! А если неудача? Показали бы? Я здесь выкладываю то, что поинтересней. Будет "крутой ляп" выложу конечно) Я уже достал одного доктора с форума снимками ежедневными))) и удачными , и неудачными. Ссылка на комментарий
DmitrySH Опубликовано 20 мая, 2014 Поделиться Опубликовано 20 мая, 2014 Какую скорость предпочитаете( первичное эндо и распломбировка)? А у меня эндонаконечник на установке стоит, там нет скоростей в цифровом варианте. Ссылка на комментарий
Гарриевич Опубликовано 22 мая, 2014 Поделиться Опубликовано 22 мая, 2014 Да редко бывает. Предпочитаю работать максимально пассивно на большой скорости и минимальном торке. + хорошая ковровая дорожкаЭто речь про протейперы или все нити?Один матерый протейперщик говорил, что торк лучше ставить по больше (сам он работает на 5), и поломок будет меньше, так как основной вред интсрументу приходится на момент стопа-автореверса, когда очень большая нагрузка на скручивание. А при большом торке легче проходит трудные места и стопавтореверс не срабатывает Ссылка на комментарий
Shaid Опубликовано 22 мая, 2014 Поделиться Опубликовано 22 мая, 2014 Один матерый протейперщик говорил, что торк лучше ставить по больше Я такого же матерого послушал, выставил 5, сломал сразу S1)) Теперь торк 0,8 ставлю))А Протейперы на самом деле неприятно хрустят) с Профайлами такого не наблюдаю. Кстати, стыдно признаться - в феврале заказал 2 пачки профайлов(.04 и .06) и они до сих пор ходят(и даже не сломались, тьфу-тьфу). Ссылка на комментарий
SSTi Опубликовано 22 мая, 2014 Автор Поделиться Опубликовано 22 мая, 2014 Кстати, стыдно признаться - в феврале заказал 2 пачки профайлов(.04 и .06) и они до сих пор ходят(и даже не сломались, тьфу-тьфу). Не сглазьте)) Ссылка на комментарий
M@estro Опубликовано 22 мая, 2014 Поделиться Опубликовано 22 мая, 2014 Кстати, стыдно признаться - в феврале заказал 2 пачки профайлов(.04 и .06) и они до сих пор ходят(и даже не сломались, тьфу-тьфу). Не сглазьте)) Да,мне профайлы (после м-ту) вообще брёвнами показались . Ходят на "ура" ! Ссылка на комментарий
Shaid Опубликовано 22 мая, 2014 Поделиться Опубликовано 22 мая, 2014 Каждый находит свой инструмент Кому-то и ручной протейпер кажется идеальным инструментом. 1 Ссылка на комментарий
SSTi Опубликовано 22 мая, 2014 Автор Поделиться Опубликовано 22 мая, 2014 Каждый находит свой инструмент Кому-то и ручной протейпер кажется идеальным инструментом.а кому-то корневой иглы достаточно 1 Ссылка на комментарий
DmitrySH Опубликовано 22 мая, 2014 Поделиться Опубликовано 22 мая, 2014 Каждый находит свой инструмент Кому-то и ручной протейпер кажется идеальным инструментом. Кстати, периодически ими пользуюсь. И испытываю к ним определенные симпатии. Мало кто знает, но их реально можно согнуть и придать небольшой изгиб. Когда надо сгладить ступеньку по большой кривизне - прям спасают.Да и ломаются крайне редко. Ссылка на комментарий
SSTi Опубликовано 22 мая, 2014 Автор Поделиться Опубликовано 22 мая, 2014 Как вы их сгибаете( чтобы держали форму)? Сгибаете s1 или f? Ссылка на комментарий
DmitrySH Опубликовано 22 мая, 2014 Поделиться Опубликовано 22 мая, 2014 Как вы их сгибаете( чтобы держали форму)? Сгибаете s1 или f? s1,s2,f1, редко f2Желательно новые или почти новые. Упираю кончик в стол, сгибаю в дугу на 90-120 градусов, держу секунд 30-60, отпускаю( повторяю при необходимости), получаю угол в 5-15 градусов ( ну примерно) Ни одной поломки, но после лечения предпочитаю скинуть в утиль Ссылка на комментарий
Shaid Опубликовано 23 мая, 2014 Поделиться Опубликовано 23 мая, 2014 Еще есть специальные инструменты для сгибания(как они называются? кривогубцы? ) имеют полусферическую форму рабочей части, тем самым создают нужный изгиб. Принцип такой же, как описал Дмитрий - согнуть сильно и подержать нект.время. Ссылка на комментарий
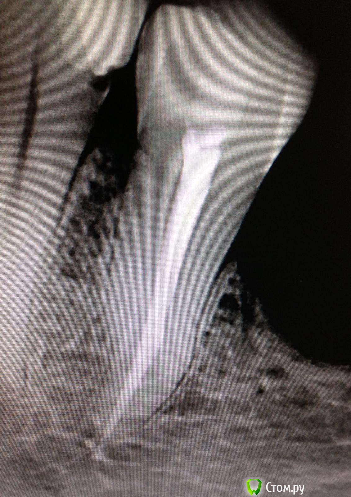
SSTi Опубликовано 26 мая, 2014 Автор Поделиться Опубликовано 26 мая, 2014 " Керамические "пульпиты( депульпировал по мк). 45. Дистально старая пломба. Доступ. Коффер. Протейперы машинные до ф2, профайлы, стоп упор 30.02. Гипохлор, аш два о, хлоргексидин. Уз. Латералка. 35. Стоп упор 40.02. Ссылка на комментарий
Shaid Опубликовано 26 мая, 2014 Поделиться Опубликовано 26 мая, 2014 Один вопрос. Зачем H20 и хлоргексидин, УЗ? Какую флору собираетесь убивать в витальном зубе? Ссылка на комментарий
Рекомендуемые сообщения
Для публикации сообщений создайте учётную запись или авторизуйтесь
Вы должны быть пользователем, чтобы оставить комментарий
Создать аккаунт
Зарегистрируйте новый аккаунт в нашем сообществе. Это очень просто!
Регистрация нового пользователяВойти
Уже есть аккаунт? Войти в систему.
Войти