Паращук Роман Опубликовано 3 декабря, 2014 Поделиться Опубликовано 3 декабря, 2014 Насколько я понимаю диаметр апекального упора,на картинке,рекомендован при работе вторым конусом. 1 Ссылка на комментарий
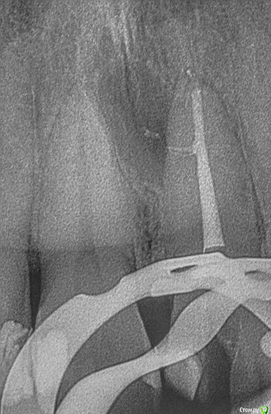
M@estro Опубликовано 3 декабря, 2014 Автор Поделиться Опубликовано 3 декабря, 2014 Мне в увеличении хорошо видно, работала ли апикальная часть инструмента , и с какого размера она работала.По поводу всяких общих рекомендаций - сколько каналов в премоляре ? На "подумать" скину картинку : http://s020.radikal.ru/i704/1412/d1/2eaf7d816fea.jpg 2 Ссылка на комментарий
Чертков Александр Опубликовано 4 декабря, 2014 Поделиться Опубликовано 4 декабря, 2014 сколько каналов в премоляре ? 3 Ссылка на комментарий
M@estro Опубликовано 4 декабря, 2014 Автор Поделиться Опубликовано 4 декабря, 2014 3 Четыре , Саша ) Четыре ) Но дело не в этом ) Ссылка на комментарий
Чертков Александр Опубликовано 4 декабря, 2014 Поделиться Опубликовано 4 декабря, 2014 Но дело не в этом -В чем суть?-В чем-не знаю, а где-знаю...в соседнем подъезде! 2 Ссылка на комментарий
Ico Опубликовано 4 декабря, 2014 Поделиться Опубликовано 4 декабря, 2014 Четыре , Саша ) Четыре ) Но дело не в этом )Дело в том,что трабл это все красиво сфотать)) Паша даваи,не тяни интригу!Показываи финал!!!!! Ссылка на комментарий
M@estro Опубликовано 4 декабря, 2014 Автор Поделиться Опубликовано 4 декабря, 2014 Паша,запакую-покажу) но красиво не будет,3 соединяются )) но сам факт) Ссылка на комментарий
Гарриевич Опубликовано 19 декабря, 2014 Поделиться Опубликовано 19 декабря, 2014 Мне в увеличении хорошо видно, работала ли апикальная часть инструмента , и с какого размера она работала. По поводу всяких общих рекомендаций - сколько каналов в премоляре ? На "подумать" скину картинку : о-ф-и-г-е-т-ьмне в 3.3 нифига не видно) 1 Ссылка на комментарий
M@estro Опубликовано 21 декабря, 2014 Автор Поделиться Опубликовано 21 декабря, 2014 о-ф-и-г-е-т-ьмне в 3.3 нифига не видно)Ты что,опилки на витках не видишь? Ссылка на комментарий
Гарриевич Опубликовано 27 декабря, 2014 Поделиться Опубликовано 27 декабря, 2014 Ты что,опилки на витках не видишь?)))) убил 1 Ссылка на комментарий
M@estro Опубликовано 19 марта, 2015 Автор Поделиться Опубликовано 19 марта, 2015 (изменено) Ну вот как - то так. Жалобы на эстетику. Зуб асимптоматичен, но я перебрал, уж сильно неплотно там было. В анамнезе резекция верхушки корня лет 7 назад. http://s016.radikal.ru/i334/1503/78/5a6341839e0c.jpg http://s013.radikal.ru/i323/1503/04/31d3729756de.jpg http://s018.radikal.ru/i524/1503/a9/79248c45e74b.jpg Изменено 19 марта, 2015 пользователем M@estro 13 Ссылка на комментарий
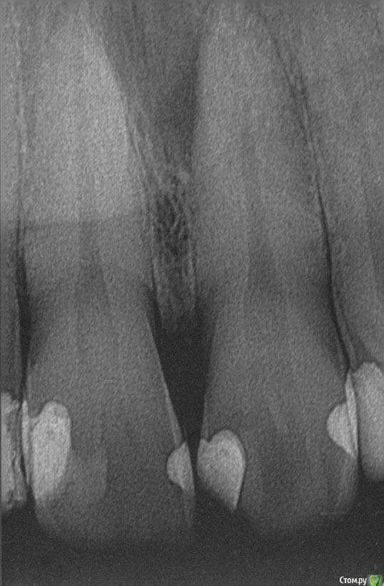
M@estro Опубликовано 9 июля, 2015 Автор Поделиться Опубликовано 9 июля, 2015 Тоже подниму тему. Травму отрицает, жалобы на потемнение. Витальность "-", перкуссия "-" , на рентгене подсказка - есть латераль. Вперёд, мыть ! 60 апекс, гибрид паковка. 1 час с пломбой 7 Ссылка на комментарий
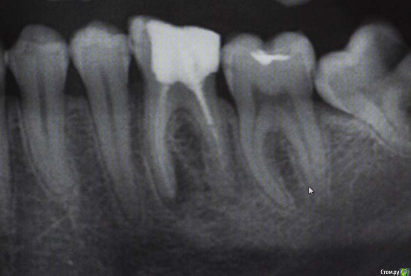
M@estro Опубликовано 23 июля, 2015 Автор Поделиться Опубликовано 23 июля, 2015 И сюда закину Жалобы на боли, КЕСТУ и желание " удалить " . Зуб 3.6 . Пациент - парнишка 16 лет. Зуб ранее пытались лечить,парень признался, что было больно, и больше он туда не вернулся, а в другой клинике предложили удалить зуб , ибо "кЕста". Перкуссия - резко-болезненна , в полости зуба - остатки ватки. В первое посещение - билд, обработка каналов ( дистальный 70/02 , медиальные 50 / 02) , антисептика, кальций на 2 недели . Второе посещение - обтурация , в дистальном -" неаккуратненько", плюнул силер. Следом бюджетная мк коронка. Контрольный через 4 месяца. 9 Ссылка на комментарий
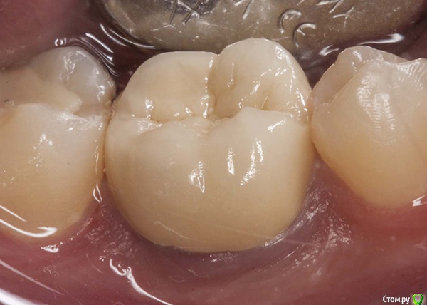
Гарриевич Опубликовано 23 июля, 2015 Поделиться Опубликовано 23 июля, 2015 молодец же)закономерный результатно коронка не бюджет вот бюджет 2 Ссылка на комментарий
M@estro Опубликовано 23 июля, 2015 Автор Поделиться Опубликовано 23 июля, 2015 молодец же)закономерный результатно коронка не бюджет вот бюджет IMG_2951.JPG На самом деле у меня фото лучше просто ) А коронка реально хуже, чем на твоей фотке ) Ссылка на комментарий
Zlata-doctor Опубликовано 24 июля, 2015 Поделиться Опубликовано 24 июля, 2015 Павел, такой-же кейс был несколько лет назад-прям один в один ( только там была девушка 16 лет). Контроль через 3 мес, 6 мес,1год, 2 года-все нормально, Через 2,5 года-ухудшение по снимку, жалоб не было, через 3 года зуб удалили. Думаю, что трещина. но хирург точно не подтвердил. 1 Ссылка на комментарий
Паращук Роман Опубликовано 24 июля, 2015 Поделиться Опубликовано 24 июля, 2015 молодец же)закономерный результатно коронка не бюджет вот бюджет IMG_2951.JPGУ меня фото через зеркало часто двоит,что за зеркало у вас? Снимок получился четкий.ПиСи, Вопрос ко всем,через какие зеркала снимаете? Ссылка на комментарий
M@estro Опубликовано 26 июля, 2015 Автор Поделиться Опубликовано 26 июля, 2015 У Гарриевича обычное стекло с резиновой ручкой, насколько вижу, у меня полированный металл. Двоит потому что несколько источников света . Лампой подсвечиваешь ? Ссылка на комментарий
Паращук Роман Опубликовано 27 июля, 2015 Поделиться Опубликовано 27 июля, 2015 У Гарриевича обычное стекло с резиновой ручкой, насколько вижу, у меня полированный металл. Двоит потому что несколько источников света . Лампой подсвечиваешь ? Да иногда,потому как темные снимки получаются. Я думал дело в качестве стекол? Нет?А что за металл,где эти купить можно? Ссылка на комментарий
M@estro Опубликовано 27 июля, 2015 Автор Поделиться Опубликовано 27 июля, 2015 Не,стекло по-любому двоить будет,если с двумя источниками света. Купить у ибэя я за 50 баксов брал Ссылка на комментарий
Паращук Роман Опубликовано 28 июля, 2015 Поделиться Опубликовано 28 июля, 2015 Не,стекло по-любому двоить будет,если с двумя источниками света. Купить у ибэя я за 50 баксов бралок.сенкс Ссылка на комментарий
Гарриевич Опубликовано 28 июля, 2015 Поделиться Опубликовано 28 июля, 2015 (изменено) У меня фото через зеркало часто двоит,что за зеркало у вас? Снимок получился четкий.ПиСи, Вопрос ко всем,через какие зеркала снимаете?Вот мое, точнее оборотная сторона моего зеркала. Про то, что двоит не замечал, ни разу такого не было http://s017.radikal.ru/i406/1507/10/d77c1e7099fe.jpg Изменено 28 июля, 2015 пользователем Гарриевич 1 Ссылка на комментарий
M@estro Опубликовано 27 января, 2016 Автор Поделиться Опубликовано 27 января, 2016 Повторное эндо ( ре-колл 7 месяцев) . 5 каналов в 3.6 . Обтурация - CWCT . Мех.обработка - Profile + m2 . Ca(OH)2 на 2 недели 12 Ссылка на комментарий
IvanK Опубликовано 28 января, 2016 Поделиться Опубликовано 28 января, 2016 Повторное эндо ( ре-колл 7 месяцев) . 5 каналов в 3.6 . Обтурация - CWCT . Мех.обработка - Profile + m2 . Ca(OH)2 на 2 неделикудесник 2 Ссылка на комментарий
M@estro Опубликовано 28 января, 2016 Автор Поделиться Опубликовано 28 января, 2016 кудесник Пасиба, дорогой 1 Ссылка на комментарий
Рекомендуемые сообщения
Для публикации сообщений создайте учётную запись или авторизуйтесь
Вы должны быть пользователем, чтобы оставить комментарий
Создать аккаунт
Зарегистрируйте новый аккаунт в нашем сообществе. Это очень просто!
Регистрация нового пользователяВойти
Уже есть аккаунт? Войти в систему.
Войти