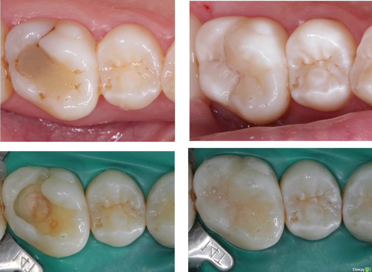
Сева северный Опубликовано 16 ноября, 2015 Поделиться Опубликовано 16 ноября, 2015 Старое на новое... 9 Ссылка на комментарий
igorstom Опубликовано 21 ноября, 2015 Автор Поделиться Опубликовано 21 ноября, 2015 Старое на новое...Достойная работа! 1 Ссылка на комментарий
Сева северный Опубликовано 22 ноября, 2015 Поделиться Опубликовано 22 ноября, 2015 Спасибо ..есть к чему стремиться.. Ссылка на комментарий
red_butler Опубликовано 2 февраля, 2016 Поделиться Опубликовано 2 февраля, 2016 Вклинюсь. Иногда терапией балуюсь.http://i003.radikal.ru/1602/15/52e500ed3e0e.jpg 6 Ссылка на комментарий
M@estro Опубликовано 3 февраля, 2016 Поделиться Опубликовано 3 февраля, 2016 Коффердам ! Ну с ним удобнее , млин! Ссылка на комментарий
Shaid Опубликовано 24 февраля, 2016 Поделиться Опубликовано 24 февраля, 2016 Что произошло с клином дистально от 5ки? Он живой вообще?))) Ссылка на комментарий
red_butler Опубликовано 24 февраля, 2016 Поделиться Опубликовано 24 февраля, 2016 Что произошло с клином дистально от 5ки? Он живой вообще?)))Дистальнее? Медиальный клин надломился. Ссылка на комментарий
Shaid Опубликовано 26 февраля, 2016 Поделиться Опубликовано 26 февраля, 2016 Ой, точно, медиальнее. Клинья - тор? Ссылка на комментарий
red_butler Опубликовано 26 февраля, 2016 Поделиться Опубликовано 26 февраля, 2016 Клинья - тор? ага, импортозамещам Ссылка на комментарий
MariaK Опубликовано 5 марта, 2016 Поделиться Опубликовано 5 марта, 2016 Неужели без коффердама работа не возможна? На эндо понятно зачем он, но для рутинного кариеса? Мне с ним иногда просто не удобно. Да и, наверно, косячу с постановкой, так как иногда из под него слюна все-таки подтекает и он же получается натянутым, руке не всегда удобно Ссылка на комментарий
Каплан Опубликовано 5 марта, 2016 Поделиться Опубликовано 5 марта, 2016 Неужели без коффердама работа не возможна? На эндо понятно зачем он, но для рутинного кариеса? Мне с ним иногда просто не удобно. Да и, наверно, косячу с постановкой, так как иногда из под него слюна все-таки подтекает и он же получается натянутым, руке не всегда удобно ошибки установки коффердама. не должно подтекать, все должно быть идеально. Как только научитесь ставить его правильно - поймете, что без него Ваша практика была полной ошибок))) шучу конечно. но с ним правда на много удобнее. 2 Ссылка на комментарий
DmitrySH Опубликовано 5 марта, 2016 Поделиться Опубликовано 5 марта, 2016 Бывают случаи когда действительно без коффердама удобнее, но это скорее исключения. 1 Ссылка на комментарий
MariaK Опубликовано 5 марта, 2016 Поделиться Опубликовано 5 марта, 2016 ошибки установки коффердама. не должно подтекать, все должно быть идеально. Как только научитесь ставить его правильно - поймете, что без него Ваша практика была полной ошибок))) шучу конечно. но с ним правда на много удобнее. Да, похоже, что не так ставлю(( но не пойму почему, и клампы хорошо на зуб встают, плотно, и сам платок вокруг зуба плотно держится, но нет-нет и начинает подсачиваться Ссылка на комментарий
MariaK Опубликовано 5 марта, 2016 Поделиться Опубликовано 5 марта, 2016 Бывают случаи когда действительно без коффердама удобнее, но это скорее исключения.Откровенно говоря, мне скорее чаще неудобно, чем удобно с ним, через силу и через "не хочу" ставлю(( Ссылка на комментарий
Kolchanov Опубликовано 5 марта, 2016 Поделиться Опубликовано 5 марта, 2016 Зачем же вы себя так истязаете? Ссылка на комментарий
MariaK Опубликовано 5 марта, 2016 Поделиться Опубликовано 5 марта, 2016 Зачем же вы себя так истязаете? Ну не зря же все в один голос твердят, что так правильнее) да и руководство требует Ссылка на комментарий
Kolchanov Опубликовано 5 марта, 2016 Поделиться Опубликовано 5 марта, 2016 Я довольно много хороших пломб видел без раббер дама сделанных. Это не важно, как сухость обеспечивать будете. Валики тасовать, изолайт какой-нибудь примените или раббер дам. Вот для эндо - вещь незаменимая. Ну, если руководство требует, то придется вам корячиться. Благо инфы полно. Может инверсию платка не делаете. Фотку бы наложенного раббер дама. Ссылка на комментарий
Сева северный Опубликовано 5 марта, 2016 Поделиться Опубликовано 5 марта, 2016 Кофердам -надежное, удобное, средство изоляции. Освоившему, его специалисту, оно серьезно экономит время.. Наложение, занимает ...пару минут, после которого можно спокойно работать, беря в визит, большее количество зубов для лечения. Если на визит выделяется час, а наложение кофердама занимает 15- 20 минут.... тогда конечно- это в тягость.. Ссылка на комментарий
federman Опубликовано 9 марта, 2016 Поделиться Опубликовано 9 марта, 2016 Зачем же вы себя так истязаете? Все мы немного мазохисты... Ссылка на комментарий
Shaid Опубликовано 14 марта, 2016 Поделиться Опубликовано 14 марта, 2016 через силу и через "не хочу" ставлю(( Это проходит через месяц практики ...или не прошло? 1 Ссылка на комментарий
Brigita Опубликовано 15 марта, 2016 Поделиться Опубликовано 15 марта, 2016 (изменено) Попробовала наложить коффердам, слетел кламп. Отчего это может быть? Делала вроде так же, как описано. Может надо на противоположной стороне зубы подключать или я сильно натянула? Штамповала без шаблона, у меня его нет. Изменено 15 марта, 2016 пользователем Brigita Ссылка на комментарий
horreodor Опубликовано 15 марта, 2016 Поделиться Опубликовано 15 марта, 2016 (изменено) шаблон бред имхо.кламп должен быть по размеру, с нужной формой щечек. когда одели его, пошевелите убедитесь в качестве установки. если все таки ползет, можно капнуть чуток жидкотекучего. если кламп болтается то не добиться необходимой изоляции.зубы с противоположной стороны не нужно включать. Изменено 15 марта, 2016 пользователем horreodor Ссылка на комментарий
Kolchanov Опубликовано 15 марта, 2016 Поделиться Опубликовано 15 марта, 2016 шаблон бред имхо. Брежу каждые день раз по 5-6, 6 дней в неделю. Очень много! 1 Ссылка на комментарий
Каплан Опубликовано 15 марта, 2016 Поделиться Опубликовано 15 марта, 2016 Шаблон бред, если устраивают "стринги". для меня это повод снять платок и перепробить все дырки по новой... Ссылка на комментарий
horreodor Опубликовано 15 марта, 2016 Поделиться Опубликовано 15 марта, 2016 (изменено) Вот уж привязались к шаблону... если раз в неделю ставить его, то наверное без него ни как... да тут я думаю и инструкцию по использованию фотополимера понадобиться держать перед глазами... а то вдруг чего... а если отвечать на вопрос Brigita, то мало вероятно что из за того что у нее нет шаблона у нее слетел кламп, как надо натянуть для этого... Изменено 15 марта, 2016 пользователем horreodor 1 1 Ссылка на комментарий
Рекомендуемые сообщения
Для публикации сообщений создайте учётную запись или авторизуйтесь
Вы должны быть пользователем, чтобы оставить комментарий
Создать аккаунт
Зарегистрируйте новый аккаунт в нашем сообществе. Это очень просто!
Регистрация нового пользователяВойти
Уже есть аккаунт? Войти в систему.
Войти