Irouil Опубликовано 22 января, 2021 Поделиться Опубликовано 22 января, 2021 работал в др.Ким - свет хороший не спорю, но бины не айс, да и на затылок давит сильно за целый день, не понравилось Свет у Ким не очень для стоматологии, в полости рта один из фонариков часто затеняет, особенно если работать в глубокой лунке или в пазухе, к примеру. Гораздо неудобнее, чем обычный фонарик, установленный соосно. Новый кимовский шлем - наоборот, никуда не давит, очень комфортный. Эта проблема у них решена. Ссылка на комментарий
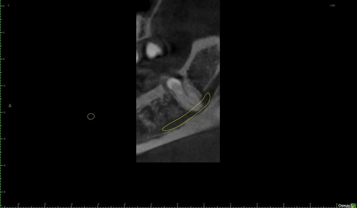
zumanok Опубликовано 15 февраля, 2021 Поделиться Опубликовано 15 февраля, 2021 Коллеги достаточно часто встречаюсь с такой картинкой на КТ в области ментального отверстия . Считаете ли вы это частью тройничного нерва или не обращать внимания? Ссылка на комментарий
Doctor Vlad Опубликовано 15 февраля, 2021 Поделиться Опубликовано 15 февраля, 2021 Коллеги достаточно часто встречаюсь с такой картинкой на КТ в области ментального отверстия . Считаете ли вы это частью тройничного нерва или не обращать внимания там что угодно может быть, больше похоже на пору кости. в этом случае до канала далеко. вы же не собираетесь так глубить? Ссылка на комментарий
zumanok Опубликовано 15 февраля, 2021 Поделиться Опубликовано 15 февраля, 2021 (изменено) там что угодно может быть, больше похоже на пору кости. в этом случае до канала далеко. вы же не собираетесь так глубить?Интересно может быть такая форма канала или стоит взять винт подлиньше? Примерно так и собирался, мб на пол мм выше. Объясните пожалуйста почему не стоит? Кроме того что коронка на 1 мм подлиньше будет. Изменено 15 февраля, 2021 пользователем zumanok Ссылка на комментарий
Doctor Vlad Опубликовано 16 февраля, 2021 Поделиться Опубликовано 16 февраля, 2021 Интересно может быть такая форма канала или стоит взять винт подлиньше? Примерно так и собирался, мб на пол мм выше. Объясните пожалуйста почему не стоит? Кроме того что коронка на 1 мм подлиньше будет.скорей всего там нерва нет и это не канал. Но. А если есть)? Ссылка на комментарий
zumanok Опубликовано 16 февраля, 2021 Поделиться Опубликовано 16 февраля, 2021 (изменено) скорей всего там нерва нет и это не канал. Но. А если есть)?Да вот,для этого и выбрал 3.5 на 8.5. Сам склоняюсь к тому что костный рисунок, информации о таком строении нерва не нашел. Думаю в процессе препарирования ложа посмотреть, если будет чувствительность то не лезть дальше.Подскажите чем Вас смутила глубина установки имплантата? Только этим образованием?По КТ 1.5мм до него. Изменено 16 февраля, 2021 пользователем zumanok Ссылка на комментарий
Raystom Опубликовано 16 февраля, 2021 Поделиться Опубликовано 16 февраля, 2021 Там будет не чувствительность, а резкий провал фрезы после определенного момента препарирования, если не отслеживать момент с глубиной, чем напугаете и себя и пациента. По поводу рисунка может быть как и костный рисунок, так и петля нижнелуночкого канала, зачем проверять? Ссылка на комментарий
Doctor Vlad Опубликовано 16 февраля, 2021 Поделиться Опубликовано 16 февраля, 2021 Да вот,для этого и выбрал 3.5 на 8.5. Сам склоняюсь к тому что костный рисунок, информации о таком строении нерва не нашел. Думаю в процессе препарирования ложа посмотреть, если будет чувствительность то не лезть дальше.Подскажите чем Вас смутила глубина установки имплантата? Только этим образованием?По КТ 1.5мм до него.как он нарисован норм, длиннее не стал бы, чтобы запас был. Просто, по вашим фото не совсем видно где канал. иногда и по кт все очень смутно. особенно когда огромные поры. Ссылка на комментарий
Nazim_NV86 Опубликовано 16 февраля, 2021 Поделиться Опубликовано 16 февраля, 2021 Просто пора. Меня больше размер 3.5-8.5 смущает. Я бы отогнул вогнутую вестибулярную часть и поставил. Заодно и десны мб накинул. Ссылка на комментарий
zumanok Опубликовано 16 февраля, 2021 Поделиться Опубликовано 16 февраля, 2021 (изменено) Там будет не чувствительность, а резкий провал фрезы после определенного момента препарирования, если не отслеживать момент с глубиной, чем напугаете и себя и пациента. По поводу рисунка может быть как и костный рисунок, так и петля нижнелуночкого канала, зачем проверять?Благодарю за ответ. Проверять не собираюсь, ставить буду по шаблону поэтому и выбрал этот размер что бы не задеть. Но решил уточнить правильно ли я делаю или все таки таких вещей не стоит остерегаться. как он нарисован норм, длиннее не стал бы, чтобы запас был. Просто, по вашим фото не совсем видно где канал. иногда и по кт все очень смутно. особенно когда огромные поры.Длиннее не буду. Спасибо. Но все таки докопаюсь до Вас . Чем Вас смутило само заглубление? Очень глубоко? Просто пора. Меня больше размер 3.5-8.5 смущает. Я бы отогнул вогнутую вестибулярную часть и поставил. Заодно и десны мб накинул. Меня немного тоже. Думал поставить 4х8.5 но как то совсем в притык получается. Параллельно в области 4.6 буду ставить 4,5х10 планирую их спаять. Поидее проблем быть не должно. ССТ у 4.5.вестибулярно. Изменено 16 февраля, 2021 пользователем zumanok Ссылка на комментарий
Nazim_NV86 Опубликовано 17 февраля, 2021 Поделиться Опубликовано 17 февраля, 2021 Меня немного тоже. Думал поставить 4х8.5 но как то совсем в притык получается. Параллельно в области 4.6 буду ставить 4,5х10 планирую их спаять. Поидее проблем быть не должно. ССТ у 4.5.вестибулярно.1. Смотря какая протетика потом будет. Если будет абатмент без 6гр оригинал( хоть винтовую делайте на нём), то не парьтесь - ставьте 3.5 и связывайте. Если всякая дребедень, типа премилов, оснований, то рискуете увидеть перелом шейки. Тогда см. 22. Базальная часть челюсти весьма широкая. Тут даже НКР+имплант на ура зайдёт. Как я уже писал, отогнуть фрагмент и поставить хоть 4.5 можно. Это мой субъективный опыт. Ссылка на комментарий
zumanok Опубликовано 17 февраля, 2021 Поделиться Опубликовано 17 февраля, 2021 1. Смотря какая протетика потом будет. Если будет абатмент без 6гр оригинал( хоть винтовую делайте на нём), то не парьтесь - ставьте 3.5 и связывайте. Если всякая дребедень, типа премилов, оснований, то рискуете увидеть перелом шейки. Тогда см. 22. Базальная часть челюсти весьма широкая. Тут даже НКР+имплант на ура зайдёт. Как я уже писал, отогнуть фрагмент и поставить хоть 4.5 можно. Это мой субъективный опыт.Благодарю Вас за ответ. Работаю только с оригиналами. Ссылка на комментарий
Doctor Vlad Опубликовано 18 февраля, 2021 Поделиться Опубликовано 18 февраля, 2021 Но все таки докопаюсь до Вас . Чем Вас смутило само заглубление? Очень глубоко? не то что бы я так не делал))) но глубоковато. мое мнение. опять же в связке с другим имплантом рычаг будет компенсирован 1 Ссылка на комментарий
Женька Опубликовано 24 февраля, 2021 Поделиться Опубликовано 24 февраля, 2021 Коллеги, как поступаете, если во время операции с отслаиванием лоскута пациент начинает чувствовать боль? К примеру при открытом синусе. Когда мембрану уже подняли, и начинаете препарировать ложе под имплантат. Куда докалывать в этом случае? Понимаю, что многие здесь работают достаточно быстро и таких проблем не испытывают, но теоретически хотя бы, что делать? Ссылка на комментарий
АнтонТЛТ Опубликовано 24 февраля, 2021 Поделиться Опубликовано 24 февраля, 2021 Коллеги, как поступаете, если во время операции с отслаиванием лоскута пациент начинает чувствовать боль? К примеру при открытом синусе. Когда мембрану уже подняли, и начинаете препарировать ложе под имплантат. Куда докалывать в этом случае? Понимаю, что многие здесь работают достаточно быстро и таких проблем не испытывают, но теоретически хотя бы, что делать?Выше в лоскут и небно, если не помогает, то туберальная анестезия. 2 Ссылка на комментарий
Irouil Опубликовано 24 февраля, 2021 Поделиться Опубликовано 24 февраля, 2021 Проводники 1 Ссылка на комментарий
Зубоволок 36 Опубликовано 25 февраля, 2021 Поделиться Опубликовано 25 февраля, 2021 Коллеги что Вы закладываете в шахту имплантата перед фиксированием формиков, коронок? Раньше закладывал Gapseal, но сейчас закончился и думаю, может что то другое заложить.Банеоцин мазь Ссылка на комментарий
It'sGeorgy Опубликовано 1 марта, 2021 Поделиться Опубликовано 1 марта, 2021 Доброго времени суток!Подскажите, когда используются ФДМ такой формы? В чем отличия и преимущества над обычными, конусовидными? Ссылка на комментарий
АнтонТЛТ Опубликовано 1 марта, 2021 Поделиться Опубликовано 1 марта, 2021 Доброго времени суток!Screenshot_1.pngПодскажите, когда используются ФДМ такой формы? В чем отличия и преимущества над обычными, конусовидными?В протоколе протезирования написано 3 Ссылка на комментарий
It'sGeorgy Опубликовано 1 марта, 2021 Поделиться Опубликовано 1 марта, 2021 В протоколе протезирования написаноБлагодарю. 1 Ссылка на комментарий
Женька Опубликовано 3 марта, 2021 Поделиться Опубликовано 3 марта, 2021 Коллеги, при коронэктомии есть какие-то нюансы? Или тупо отпиливаем коронку, сглаживаем острые края и зашиваемся? Или удалили бы полностью такого зверя? Ссылка на комментарий
kramer Опубликовано 3 марта, 2021 Поделиться Опубликовано 3 марта, 2021 Полностью конечно 1 Ссылка на комментарий
Женька Опубликовано 3 марта, 2021 Поделиться Опубликовано 3 марта, 2021 Полностью конечноПобаиваюсь что пучок травмирую пока доставать буду Ссылка на комментарий
kramer Опубликовано 3 марта, 2021 Поделиться Опубликовано 3 марта, 2021 Побаиваюсь что пучок травмирую пока доставать буду "Боишься - не делай, делаешь - не бойся" (с) Ссылка на комментарий
Raystom Опубликовано 3 марта, 2021 Поделиться Опубликовано 3 марта, 2021 Коллеги, при коронэктомии есть какие-то нюансы? Или тупо отпиливаем коронку, сглаживаем острые края и зашиваемся? Или удалили бы полностью такого зверя?Полностью, без вариантов. Ссылка на комментарий
Рекомендуемые сообщения
Для публикации сообщений создайте учётную запись или авторизуйтесь
Вы должны быть пользователем, чтобы оставить комментарий
Создать аккаунт
Зарегистрируйте новый аккаунт в нашем сообществе. Это очень просто!
Регистрация нового пользователяВойти
Уже есть аккаунт? Войти в систему.
Войти