Перейти к содержанию
Стоматология для всех

Всегда хотел спросить, но стеснялся...


Рекомендуемые сообщения

Всех с Наступившим !! 

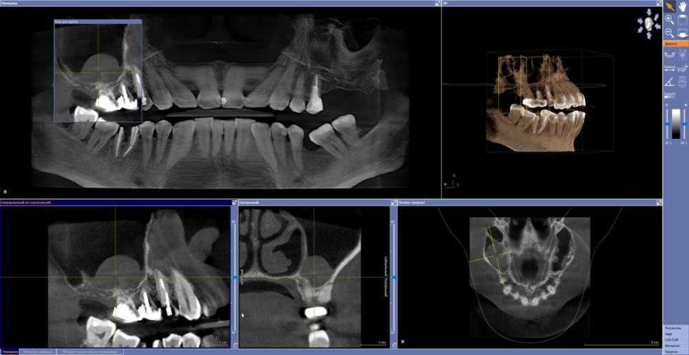
Есть вот такая ситуация  -  удалили летом 16,15. Пациентка пролечилась у ЛОР, сделали КТ вот перед новым годом - ситуация внутри гайморовой пазухи не изменилась (снимок КТ этот еще до удаления, но на новом все внутри так же, не прихватил с собой новое кт)

Сейчас необходимо провести открытый синуслифтинг в области (17) 16 (15). Вызывает опасения образование в пазухе - не помешает ли? Нужно ли убирать эту кисту или достаточно просто синуслифтинг провести?  Или это вообще не киста а разрастание слизистой?

киста.jpg

Изменено пользователем Estes
Ссылка на комментарий
  • Ответов 559
  • Создана
  • Последний ответ

Топ авторов темы

  • Женька

    77

  • Fin

    75

  • Irouil

    74

  • АнтонТЛТ

    47

1 час назад, Estes сказал:

Всех с Наступившим !! 

Есть вот такая ситуация  -  удалили летом 16,15. Пациентка пролечилась у ЛОР, сделали КТ вот перед новым годом - ситуация внутри гайморовой пазухи не изменилась (снимок КТ этот еще до удаления, но на новом все внутри так же, не прихватил с собой новое кт)

Сейчас необходимо провести открытый синуслифтинг в области (17) 16 (15). Вызывает опасения образование в пазухе - не помешает ли? Нужно ли убирать эту кисту или достаточно просто синуслифтинг провести?  Или это вообще не киста а разрастание слизистой?

киста.jpg

вот думаю поможет

Ссылка на комментарий
  • 1 год спустя...

Коллеги подскажите, у меня совсем вылетело из головы, напомните пожалуйста.

Сколько должно пройти времени после пересадки трансплантата с неба, перед открытием имплантов и установкой ФДМ?

Ссылка на комментарий

@Fin я стараюсь ждать 2 месяца. До полного созревания, если можно так сказать.

Раньше через 2 недели уже в путь пускал)

Ссылка на комментарий
36 минут назад, Женька сказал:

@Fin я стараюсь ждать 2 месяца. До полного созревания, если можно так сказать.

Раньше через 2 недели уже в путь пускал)

Да я вот через месяц пустил, подкинул ССТ еще и получил некроз. Есть вариант что там я сам накосячил.

Решил  уточнить кто как делает. Видел кто то через 4 недели открывает.

Ссылка на комментарий
  • 2 недели спустя...

Если мне не изменяет память , Анастасия Смолякова говорила на своем курсе, что для полноценного восстановления циркуляции в тканях требуется минимум 3 мес. Подобные сроки и на этом форуме озвучивались.  Сам тоже их придерживаюсь.  

P.S. Расперини вообще часто напоминает докторам- уважайте время для заживления тканей. Не спешите!!

  • Like 1
  • Спасибо 1
Ссылка на комментарий

В экстраоральной хирургии я всегда исходил из 3 месяцев на формирование соединительнотканного рубца, ещё 3 месяца - на созревание. Проще говоря, через 3 месяца определяется финальный объем рубца, через 3 месяца оформляется цвет и консистенция. При переходе в рот придерживаюсь тех же сроков)

@IvanK Иван Курдюмов в одном из своих семинаров отмечал, что время формирования соединительно-тканного прикрепления вокруг имплантов - 8 недель.

В 18.04.2025 в 15:18, Fin сказал:

Да я вот через месяц пустил, подкинул ССТ еще и получил некроз. Есть вариант что там я сам накосячил.

А есть фото этапов? На первом этапе рана велась ушитой наглухо? На втором этапе какая отслойка велась?

 

В целом, риски раннего (более 5 дней, но менее 2-3 месяцев) вмешательства в рану чреваты рисками неточностей в финальном объёме тканей, а не некрозов. После завершения воспалительной фазы (для закрытых соединительно-тканных ран это 4-7 суток обычно) там уже активно пролиферируют сосуды и запитать новый трансплант тканям есть чем

  • Спасибо 1
Ссылка на комментарий
В 27.04.2025 в 17:06, Irouil сказал:

В экстраоральной хирургии я всегда исходил из 3 месяцев на формирование соединительнотканного рубца, ещё 3 месяца - на созревание. Проще говоря, через 3 месяца определяется финальный объем рубца, через 3 месяца оформляется цвет и консистенция. При переходе в рот придерживаюсь тех же сроков)

@IvanK Иван Курдюмов в одном из своих семинаров отмечал, что время формирования соединительно-тканного прикрепления вокруг имплантов - 8 недель.

А есть фото этапов? На первом этапе рана велась ушитой наглухо? На втором этапе какая отслойка велась?

 

В целом, риски раннего (более 5 дней, но менее 2-3 месяцев) вмешательства в рану чреваты рисками неточностей в финальном объёме тканей, а не некрозов. После завершения воспалительной фазы (для закрытых соединительно-тканных ран это 4-7 суток обычно) там уже активно пролиферируют сосуды и запитать новый трансплант тканям есть чем

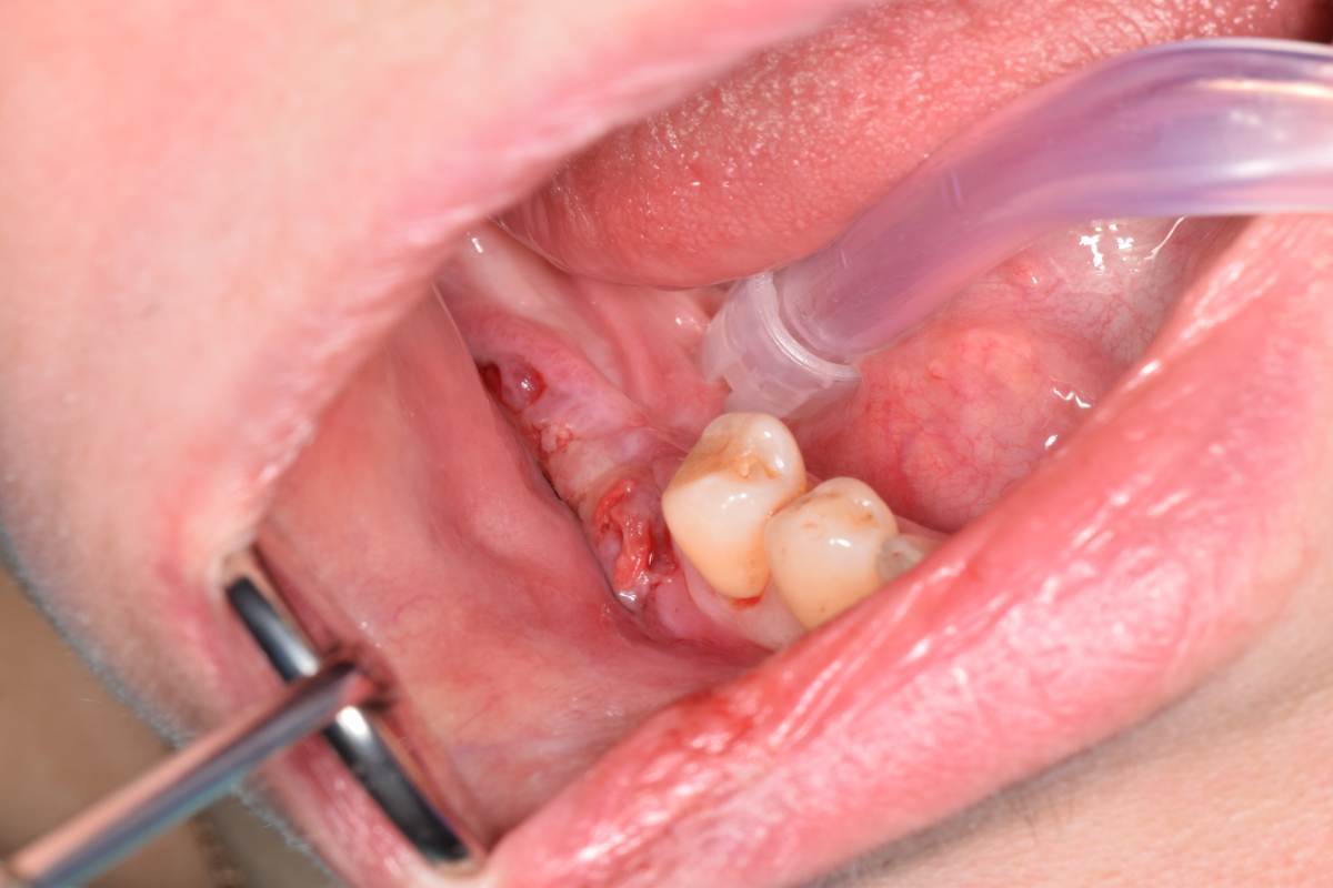
Да, фото есть. Но вспоминаю клин случай, там на первом этапе уже были проблемы.

СдТ по Едранову, видимо получил воспалительный процесс. В результате СДТ усело более чем на 50%.  Потом через 1.5 мес. открытие имплантов и ССТ. Некроз у одного импланта.Думаю связано с неполным ушиванием и ССТ с эпителием. Восстановление слизистой после некроза 2 мес и временное протезирование. Сейчас все выглядит достойно, но лишние нервы.

DSC_0905.JPG.d80af1f969af81edaec8fcb8e56af9dd.JPGDSC_0918.JPG.8053b3712edc335c60fe1603758c57c0.JPGDSC_0961.JPG.d7322462935746ed55516c1f2f016178.JPGDSC_1033.JPG.4e248180e536c308f43b21f90c8d7f39.JPGIMG_20250429_233136.jpg.c4afee93d2d2d38c68fd0335f7814cf2.jpgIMG_20250429_233013.jpg.58a7d5dc49b818431505d37c6561f01e.jpgDSC_0468(1)_d4542c.JPG.507134270c79baa6b79b4eb40f621175.JPG

  • Like 3
Ссылка на комментарий
23 часа назад, Fin сказал:

Да, фото есть. Но вспоминаю клин случай, там на первом этапе уже были проблемы.

СдТ по Едранову, видимо получил воспалительный процесс. В результате СДТ усело более чем на 50%.  Потом через 1.5 мес. открытие имплантов и ССТ. Некроз у одного импланта.Думаю связано с неполным ушиванием и ССТ с эпителием. Восстановление слизистой после некроза 2 мес и временное протезирование. Сейчас все выглядит достойно, но лишние нервы.

 

Нашел фото результата на времянках. Оно конечно не очень информативное,  был один и поэтому так получилось сфоткать

IMG_20250430_214632.jpg

Изменено пользователем Fin
  • Like 3
Ссылка на комментарий

Для публикации сообщений создайте учётную запись или авторизуйтесь

Вы должны быть пользователем, чтобы оставить комментарий

Создать аккаунт

Зарегистрируйте новый аккаунт в нашем сообществе. Это очень просто!

Регистрация нового пользователя

Войти

Уже есть аккаунт? Войти в систему.

Войти
×
×
  • Создать...
Вверх