Doctor Vlad Опубликовано 13 марта, 2021 Поделиться Опубликовано 13 марта, 2021 локально веточка шокирована. пройдет Ссылка на комментарий
Fatal Опубликовано 13 марта, 2021 Поделиться Опубликовано 13 марта, 2021 Доброго времени суток. Назрел такой вопрос по поводу мультиюнитов. Установлено 6 имплантов на вч, в дистальных отделах поставлены имплантат с невысоким торком, кость д4, финальная фреза 3-3,5мм, имплант установлен 4,5х8 с торком 20-25, ушиты и такая картина с другой стороны. Фронтальные 35-40Н и установлены мультиюниты ВопросКак вы поступаете в данной ситуации, когда низкий торк, ушивать ? Особенно если мультиюнит надо поставить угловой (возможно прикрутить его от руки к импланту, ушить и не нагружать). Или все таки под заглушку, потом открыть и поставить мю прямой или угловой (что будет достаточно травматично) Ссылка на комментарий
Irouil Опубликовано 13 марта, 2021 Поделиться Опубликовано 13 марта, 2021 Как говорится, ничего не понятно, но очень интересно. Что ушивать, что не нагружать? Что травматично? С торком 20-25 ставить мю и колпачок сверху, в норме он из десны не больше 2 мм выступать должен. Ссылка на комментарий
Fatal Опубликовано 14 марта, 2021 Поделиться Опубликовано 14 марта, 2021 Ниже какого торка вы не прикручиваете мультиюниты вообще, а ставите заглушку и потом на этапе раскрытия импланта вкручиваете мультиюнит? Ссылка на комментарий
Irouil Опубликовано 14 марта, 2021 Поделиться Опубликовано 14 марта, 2021 Используйте те же значения, что и для установки ФДМ Я не ориентируюсь на торк при установке фдм Ссылка на комментарий
Fatal Опубликовано 14 марта, 2021 Поделиться Опубликовано 14 марта, 2021 Спасибо. Это я понимаю. Но мультиюнит надо прикрутить с определённым торком порядка 30Н, что если торк самого импланта меньше, на момент установки? Сразу прикрутить мультиюнит от руки (не нагружая) и после интеграции импланта, затянуть мю на 30 Н? Ссылка на комментарий
Irouil Опубликовано 14 марта, 2021 Поделиться Опубликовано 14 марта, 2021 Спасибо. Это я понимаю. Но мультиюнит надо прикрутить с определённым торком порядка 30Н, что если торк самого импланта меньше, на момент установки? Сразу прикрутить мультиюнит от руки (не нагружая) и после интеграции импланта, затянуть мю на 30 Н?Да, конечно. Ну и протокол торка МЮ (как и любых других супраструктур) варьируется от системы к системе Ссылка на комментарий
zumanok Опубликовано 19 марта, 2021 Поделиться Опубликовано 19 марта, 2021 Добрый вечер коллеги. Заклыдываете ли Вы что то в образовавшийся дефект , когда по той или иной причине выкручивается имплант при проверке на остеоинтеграцию? Ссылка на комментарий
DrDimedrol Опубликовано 23 марта, 2021 Поделиться Опубликовано 23 марта, 2021 19.03.2021 в 21:59, zumanok сказал: Заклыдываете ли Вы что то в образовавшийся дефект , когда по той или иной причине выкручивается имплант при проверке на остеоинтеграцию? Я ничего не закладываю, жду 6 недель и повторная установка. Ссылка на комментарий
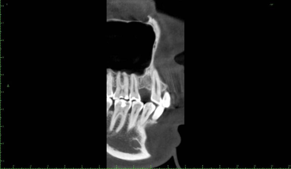
DrDimedrol Опубликовано 23 марта, 2021 Поделиться Опубликовано 23 марта, 2021 (изменено) Добрый день коллеги. Назрел такой вопрос. Есть пациент с 9 имплантами на нижней челюсти с МК мостами (3 моста на 3 имплантах).Есть верхняя беззубая челюсть, пациент хочет импланты и МК коронки. Но мне как то страшно делать полностью МК коронки друг против друга, боюсь что будет откол. У кого есть опыт в подобных ситуациях? Изменено 23 марта, 2021 пользователем DrDimedrol Ссылка на комментарий
Женька Опубликовано 23 марта, 2021 Поделиться Опубликовано 23 марта, 2021 54 минуты назад, DrDimedrol сказал: Я ничего не закладываю, жду 6 недель и повторная установка. Объёмы не теряются совсем? Ссылка на комментарий
Doc Опубликовано 23 марта, 2021 Поделиться Опубликовано 23 марта, 2021 52 минуты назад, DrDimedrol сказал: Добрый день коллеги. Назрел такой вопрос. Есть пациент с 9 имплантами на нижней челюсти с МК мостами (3 моста на 3 имплантах).Есть верхняя беззубая челюсть, пациент хочет импланты и МК коронки. Но мне как то страшно делать полностью МК коронки друг против друга, боюсь что будет откол. У кого есть опыт в подобных ситуациях? Добрый день. Если в прикусе ничего не наврано, то все будет хорошо. Полно таких пациентов бродит годами и все нормально. Ссылка на комментарий
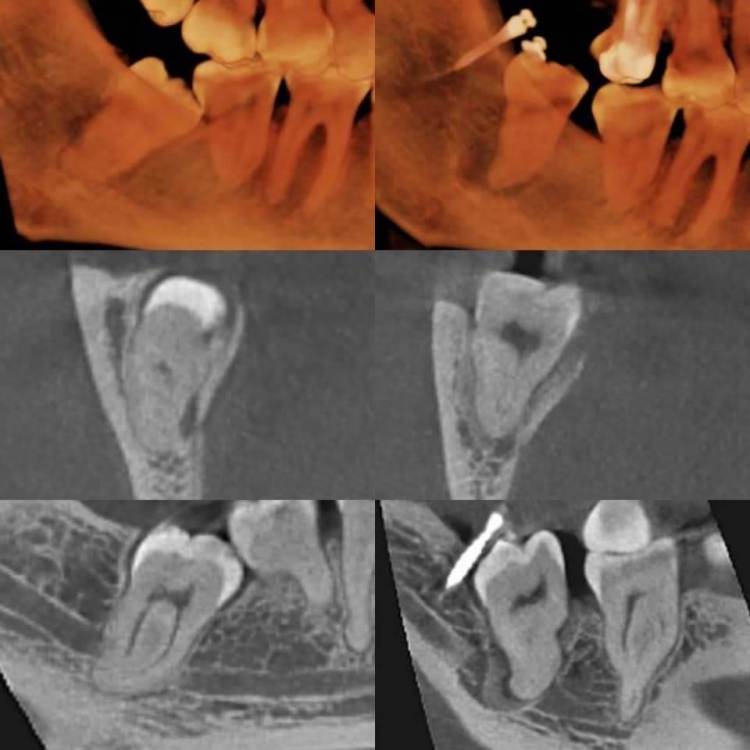
annda Опубликовано 23 марта, 2021 Поделиться Опубликовано 23 марта, 2021 05.03.2021 в 23:15, АнтонТЛТ сказал: Ещё есть вариант ортодонтический экструзии с последующим удалением. Антон, все читаю и думаю , как реализовать ортодонтическую экструзию у зуба мудрости? Поделитесь работающей конструкцией... Ссылка на комментарий
DrDimedrol Опубликовано 23 марта, 2021 Поделиться Опубликовано 23 марта, 2021 3 часа назад, Женька сказал: Объёмы не теряются совсем? На моей не богатой практике (пара сотен имплантов) такое было пару раз, причем один раз после открытого синус лифта. За 6 недель не замечал утраты кости. Ссылка на комментарий
АнтонТЛТ Опубликовано 23 марта, 2021 Поделиться Опубликовано 23 марта, 2021 (изменено) 1 час назад, annda сказал: Антон, все читаю и думаю , как реализовать ортодонтическую экструзию у зуба мудрости? Поделитесь работающей конструкцией... Ставим ортодонтический миниимплантат ретромолярно, на зуб клеится кнопка. Устанавливаем резиновую тягу. Изменено 23 марта, 2021 пользователем АнтонТЛТ 5 2 Ссылка на комментарий
Доктор Хаус Опубликовано 23 марта, 2021 Поделиться Опубликовано 23 марта, 2021 Сколько времени ушло на экструзию? Ссылка на комментарий
АнтонТЛТ Опубликовано 23 марта, 2021 Поделиться Опубликовано 23 марта, 2021 Это не мой кейс, у автора ушло около 3 месяцев. Обычно для экструзии скорость около 1мм/мес. Ссылка на комментарий
Доктор Хаус Опубликовано 23 марта, 2021 Поделиться Опубликовано 23 марта, 2021 (изменено) Возьму на вооружение. Наверняка для пациента это было не больно. Изменено 23 марта, 2021 пользователем Доктор Хаус Ссылка на комментарий
Doc Опубликовано 23 марта, 2021 Поделиться Опубликовано 23 марта, 2021 2 минуты назад, Доктор Хаус сказал: Возьму на вооружение. Наверняка для пациента это было не больно. Только чуть-чуть, финансово! Ссылка на комментарий
АнтонТЛТ Опубликовано 23 марта, 2021 Поделиться Опубликовано 23 марта, 2021 27 минут назад, Doc сказал: Только чуть-чуть, финансово! Финансовые вопросы на форуме не обсуждаются ? 1 Ссылка на комментарий
Doc Опубликовано 23 марта, 2021 Поделиться Опубликовано 23 марта, 2021 1 минуту назад, АнтонТЛТ сказал: Финансовые вопросы на форуме не обсуждаются ? Это была шутка, а не обсуждение. Но если Вы болезненно это восприняли, то могу удалить. Ссылка на комментарий
АнтонТЛТ Опубликовано 23 марта, 2021 Поделиться Опубликовано 23 марта, 2021 (изменено) Эта была шутка)) модераторы любят об этом напоминать Изменено 23 марта, 2021 пользователем АнтонТЛТ Ссылка на комментарий
АнтонТЛТ Опубликовано 23 марта, 2021 Поделиться Опубликовано 23 марта, 2021 По факту себестоимость такой экструзии небольшая, если как в этом кейсе использовать отечественный миниимплантат. Ссылка на комментарий
Doc Опубликовано 23 марта, 2021 Поделиться Опубликовано 23 марта, 2021 2 минуты назад, АнтонТЛТ сказал: Эта была шутка)) Минус на минус дало плюс 1 минуту назад, АнтонТЛТ сказал: По факту себестоимость такой экструзии небольшая, если как в этом кейсе использовать отечественный миниимплантат. Миниимплантаты свои задачи обычно выполняют вне зависимости от производителя. От них много не требуется и долго не требуется. Ссылка на комментарий
Женька Опубликовано 27 марта, 2021 Поделиться Опубликовано 27 марта, 2021 Коллеги, всегда задаюсь вопросом что делать в таких случаях? Пока никак сам не решал, потому что пациенты отказываются в пользу мостовидных и съёмных конструкций. Мини сосиска и и имплантат отсрочено с "мягким" синусом? Ссылка на комментарий
Рекомендуемые сообщения
Для публикации сообщений создайте учётную запись или авторизуйтесь
Вы должны быть пользователем, чтобы оставить комментарий
Создать аккаунт
Зарегистрируйте новый аккаунт в нашем сообществе. Это очень просто!
Регистрация нового пользователяВойти
Уже есть аккаунт? Войти в систему.
Войти