Джима Опубликовано 19 июня, 2018 Поделиться Опубликовано 19 июня, 2018 Зашла на форум, нашла эту тему. Оксан, ты супер-мега молодец. Большое тебе спасибо за эту тему, прям почитала и порадовалась чёт я подустала за этот год, выгорела, а тут сразу жить захотелось 2 Ссылка на комментарий
Джима Опубликовано 19 июня, 2018 Поделиться Опубликовано 19 июня, 2018 Супер-гипер-мега-экстра-квадро-тера-МОЛОДЕЧИЩЕ! Ссылка на комментарий
CRAZYDUCK Опубликовано 19 июня, 2018 Автор Поделиться Опубликовано 19 июня, 2018 Супер-гипер-мега-экстра-квадро-тера-МОЛОДЕЧИЩЕ! урааа!!! Таня вернулась !! Я так рада ! Спасибо за поддержку , я все думаю - ну когда же ты вернёшься ?!!! Ссылка на комментарий
Тань Опубликовано 19 июня, 2018 Поделиться Опубликовано 19 июня, 2018 Девчата! Оксана и Таня! Какие вы хорошие и молодцы! Я ваш фанат! 3 Ссылка на комментарий
CRAZYDUCK Опубликовано 19 июня, 2018 Автор Поделиться Опубликовано 19 июня, 2018 Девчата! Оксана и Таня! Какие вы хорошие и молодцы! Я ваш фанат! спасибо Ссылка на комментарий
CRAZYDUCK Опубликовано 19 июня, 2018 Автор Поделиться Опубликовано 19 июня, 2018 Обратимый пульпит 7.5 1 Ссылка на комментарий
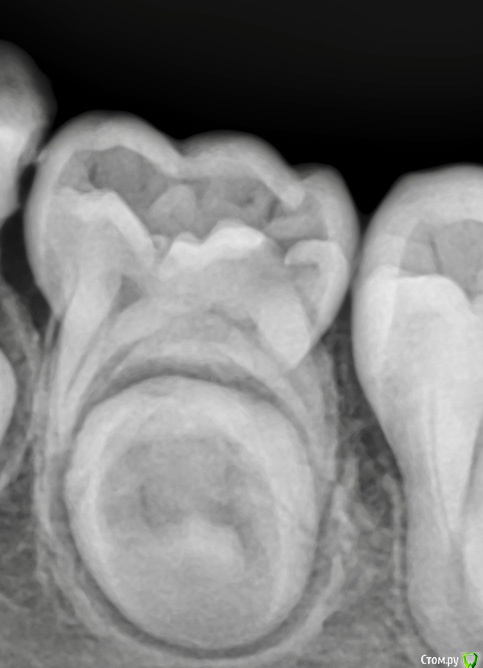
CRAZYDUCK Опубликовано 20 июня, 2018 Автор Поделиться Опубликовано 20 июня, 2018 Мысли вслух Отношение к периодонтитам у меня радикальное . Не было у меня положительных наблюдений. Девочке 4 года , лечение предстоит сложное и длительное . 8.5 зуб разница между первым фото и вторым почти три недели , точка вскрытия указана стрелкой . На момент лечения зуб болит , подвижен. Попытка лечения предпринята - экссудация из корневых каналов бешеная. Удалишь - нужно обязательно сделать распорку ( предотвратить медиальное смещение 6), но можно легко пропустить момент прорезывания 6 и он быстро встанет на место удалённого 8.5. Предпринять попытку лечения - 50/50 успех , заменить кальций даст ребёнок в 4 года .? В общем нет одного решения для всех похожих клинических ситуаций . 84 лечение обратимого пульпита , 8.5 удаление . 1 Ссылка на комментарий
crown Опубликовано 20 июня, 2018 Поделиться Опубликовано 20 июня, 2018 Я не очень понял, что было сделано с зубом 8.5? Вылечить его реально, периодонтиты у детей заживают очень быстро, быстрее чем у взрослых. Только вот возраст это да это проблема, в 4 года лечить очень тяжело. Ссылка на комментарий
CRAZYDUCK Опубликовано 21 июня, 2018 Автор Поделиться Опубликовано 21 июня, 2018 Я не очень понял, что было сделано с зубом 8.5? Вылечить его реально, периодонтиты у детей заживают очень быстро, быстрее чем у взрослых. Только вот возраст это да это проблема, в 4 года лечить очень тяжело. а я и не написала , что делала -экстирпация , обработка каналов Гх , в такой ситуации начинаю с 5 зуба . Если экссудации из корневых каналов нет ( после мед обработки Каналов), то лечим -кальций в каналах с последующей заменой . Все время пока я лечила 8.4 ( вит ампутацией ) полость 85 быстро заполнилась кровью - это минут 20-30), успех лечения можно ожидать . Все зависит от того , что считать успехом . Несколько лет назад я пробовала лечить периодонтиты , с последующим контролем rvg .максимум год , бывало , что внешне ( состояние десны) было хорошо, а на снимке -резорбция, бывало , что свищи появлялись все равно . Все снимки я не могу показать ( остались на прежней работе и фото я тогда не делала ). Для меня важный критерий- защита зачатка . Есть сомнения во временном - лучше удалить . 1 Ссылка на комментарий
Джима Опубликовано 21 июня, 2018 Поделиться Опубликовано 21 июня, 2018 Оксан, два момента.Это первый:Проверяешь ли ты в таких зубах состояние культи пульпы в каналах? Просто снимок ведь ещё ни о чём не говорит, сама понимаешь.Я в повторных зубах обычно убираю лечебную прокладку и смотрю культю пульпы. Иногда бывает так, что пульпа - сухой труп, и тогда я радуюсь, что вовремя заметила и лечу каналы)))Второй момент - логическое продолжение первого:Твоя фотка просто для примера. Я хотела бы поговорить об экономном доступе с контакта при интактной окклюзионной поверхности. Вот здесь экономный доступ для ампутации, иногда бывают и очень экономные, и вообще нинзя-доступы с контакта. Ты здесь раскрыла дистальную фиссуру, отпрепарировала там небольшой кариесик, но ведь бывают и полностью интактные поверхности, их просто жалко трогать! Ты делаешь герметизацию на такие поверхности? Инвазивную? Я спрашиваю об этом потому, что при очень экономном доступе с контакта практически вся дистальная часть полости зуба заполняется лечебной прокладкой (МТА), а в идеале прокладка должна быть только на устьях, а выше она должна быть перекрыта СИЦ. МТА со временем протекает (2 месяца!). Всё со временем протекает, кроме СИЦ)) И получается, что если через год-два в интактной ранее дистальной фиссуре начинается кариес, то он попадает сразу на негерметичный уже МТА. По мёртвым дентинным трубочкам микробы ходят, как по пешеходному переходу.Или у тебя всегда МТА только на устьях, а выше перекрыто?Если вспомню фамилию, покажу снимок. Года 2-3 назад лечила витально ампутационно пульпит 8.5, нинзя-доступ с мезиального контакта. Пришёл недели две назад - кариес в фиссуре над дистальными каналами в пределах собственного дентина. Решила всё-таки отпрепарировать глубже и снять лечебную прокладку, проверить - в дистальных каналах труп. Именно в дистальных. Сделала эндо в одно посещение, всё хорошо. Но реально я понимаю, что месяца через 2-3-6 оно могло рвануть. Ссылка на комментарий
red_butler Опубликовано 21 июня, 2018 Поделиться Опубликовано 21 июня, 2018 Ураааа, Джима вернулась))) 2 Ссылка на комментарий
CRAZYDUCK Опубликовано 21 июня, 2018 Автор Поделиться Опубликовано 21 июня, 2018 (изменено) Оксан, два момента.. Таня , меня первый вопрос волнует также . Ведь если герметизм пломбы нарушен , то в каналах проблема , я убираю остатки пломбы - смотрю глазами насколько глубоко вторичный кариес и скол старой реставрации , иногда делаю экстирпацию ( если раньше ампутация была ), если визуально плотно все - не иду в каналы . Тут или поддаться максимализму и все радикально очищать или не поддаваться исходя из состояния старой реставрации . По поводу второго - да , бывает , что МТА на дистальной стенке , перекрываю его кальцимолом . Герметизирую всегда . Особенно когда появился рондофлекс - всегда им перед пломбированием композитом обрабатываю и все интактное герметизирую. Изменено 21 июня, 2018 пользователем CRAZYDUCK 1 Ссылка на комментарий
CRAZYDUCK Опубликовано 21 июня, 2018 Автор Поделиться Опубликовано 21 июня, 2018 МТА лучше чтобы не только устья перекрывал , а на дне полости тоже , чтобы лежал . Периодонтиты часто по бифуркации в молочных - там центральный или срединный микроканал ( не могу грамотно сформулировать ), поэтому не только устья , но и дно пульпарной камеры нужно перекрывать (Гецман Антонина на семинаре говорила или Небольсина Елена). 1 Ссылка на комментарий
Джима Опубликовано 21 июня, 2018 Поделиться Опубликовано 21 июня, 2018 на фуркацию тоже, да, верно. я имею в виду, что мта по потолку и стенкам не должно быть. Герметизация - это гуд))) рондофлекс рулит) а качество старой реставрации хорошо кариес-маркер показывает, я тоже не всегда в устья лезу. но почти всегда)) 1 Ссылка на комментарий
Джима Опубликовано 21 июня, 2018 Поделиться Опубликовано 21 июня, 2018 Ураааа, Джима вернулась)))Антон Палыч, я в ординатуре же, на старости лет. спать некогда, не то, что на форуме сидеть. Просто мимо Оксаниной темы не смогла пройти, уж очень здорово))) Ссылка на комментарий
CRAZYDUCK Опубликовано 22 июня, 2018 Автор Поделиться Опубликовано 22 июня, 2018 Антон Палыч, я в ординатуре же, на старости лет. спать некогда, не то, что на форуме сидеть. Просто мимо Оксаниной темы не смогла пройти, уж очень здорово))) а я решила - может тоже третьего родили у тебя ординатура по ортодонтии? Ссылка на комментарий
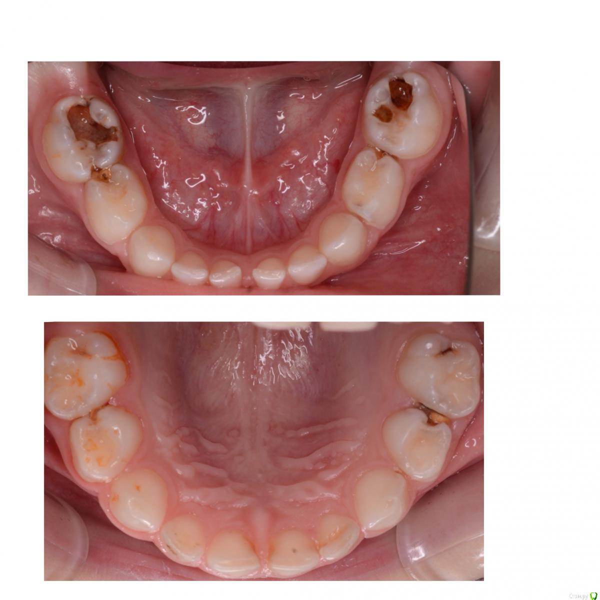
CRAZYDUCK Опубликовано 23 июня, 2018 Автор Поделиться Опубликовано 23 июня, 2018 Обратимый пульпит 6.4 и 6.5 зубов . 4 Ссылка на комментарий
CRAZYDUCK Опубликовано 23 июня, 2018 Автор Поделиться Опубликовано 23 июня, 2018 Дополнение к предыдущему https://radikal.ru/video/JtS7bTIHKaI 2 Ссылка на комментарий
CRAZYDUCK Опубликовано 24 июня, 2018 Автор Поделиться Опубликовано 24 июня, 2018 В минувшую пятницу я впервые пробовала сделать реставрации более натуральными . Доктора 4 Ссылка на комментарий
CRAZYDUCK Опубликовано 24 июня, 2018 Автор Поделиться Опубликовано 24 июня, 2018 Доктора не судите строго - работать есть над чем ,не styleitaliano , конечно же , но и не уродство страшное -я сама себе супер -критик . Последнее «зубное»фото-реставрация с красителем фиссур ( Охра ) и вид в полости рта .Олеся готовится к ортодонтическому лечению - устраняем кариес и фиксируем брекеты ( обязательно с высокой фиксацией !) создаём дугу улыбки Ссылка на комментарий
CRAZYDUCK Опубликовано 24 июня, 2018 Автор Поделиться Опубликовано 24 июня, 2018 Немного фитнесс-спама . Девчонки -девчушечки ( коллеги мои)- идите в зал ! Стресс снять и так просто - пофоткаться . Ваше тело скажет вам «спасибо».Фоточки перед «рабочими буднями». П.С. Вверху запятую забыла после «доктора» :/ 3 Ссылка на комментарий
Vladimirov Опубликовано 24 июня, 2018 Поделиться Опубликовано 24 июня, 2018 Док,снимаю шляпу!!!! Так да с детишками это что то 2 Ссылка на комментарий
St. Опубликовано 24 июня, 2018 Поделиться Опубликовано 24 июня, 2018 Последнее «зубное»фото-реставрация с красителем фиссур ( Охра ) хочется чуть меньше краски и четче ее линию по самому дну фиссуры. сейчас она как бы смазана. Но это для нас стоматологов, если придираться. Пациентка, я думаю, очень довольна Ссылка на комментарий
CRAZYDUCK Опубликовано 25 июня, 2018 Автор Поделиться Опубликовано 25 июня, 2018 хочется чуть меньше краски и четче ее линию по самому дну фиссуры. сейчас она как бы смазана. Но это для нас стоматологов, если придираться. Пациентка, я думаю, очень довольна надо тренироваться , спасибо за совет ! Я думаю нужно глубже было продавить фиссуру , чтобы краситель не растёкся таким пятном и излишки Краски брашем убрать - в общем есть над чем работать . А тут внесла - растеклось , убрала , опять внесла - опять , блиин растеклось ;-/ Ссылка на комментарий
Рекомендуемые сообщения
Для публикации сообщений создайте учётную запись или авторизуйтесь
Вы должны быть пользователем, чтобы оставить комментарий
Создать аккаунт
Зарегистрируйте новый аккаунт в нашем сообществе. Это очень просто!
Регистрация нового пользователяВойти
Уже есть аккаунт? Войти в систему.
Войти