CRAZYDUCK Опубликовано 10 февраля, 2020 Автор Поделиться Опубликовано 10 февраля, 2020 Диету соблюдаете? скорее привычка правильно питаться , не диета . Ссылка на комментарий
CRAZYDUCK Опубликовано 10 февраля, 2020 Автор Поделиться Опубликовано 10 февраля, 2020 (изменено) Моя Любимая диета - мясо и свежие овощи !!!мммммм Изменено 10 февраля, 2020 пользователем CRAZYDUCK 3 Ссылка на комментарий
red_butler Опубликовано 10 февраля, 2020 Поделиться Опубликовано 10 февраля, 2020 Пишите как дела у вас . У меня все по прежнему . Ссылка на комментарий
CRAZYDUCK Опубликовано 10 февраля, 2020 Автор Поделиться Опубликовано 10 февраля, 2020 Не могу смайлы вставлять . Думаю это комплимент , поэтому - спасибо 1 Ссылка на комментарий
Дмитрий Л. Опубликовано 10 февраля, 2020 Поделиться Опубликовано 10 февраля, 2020 Вы и ваши работы как всегда вызывают восторг!!! 2 Ссылка на комментарий
CRAZYDUCK Опубликовано 11 февраля, 2020 Автор Поделиться Опубликовано 11 февраля, 2020 Вы и ваши работы как всегда вызывают восторг!!! благодарю!!! Вот это стимул !!! Обязательно поделюсь ещё парой работ ( из неизданного 1 Ссылка на комментарий
CRAZYDUCK Опубликовано 11 февраля, 2020 Автор Поделиться Опубликовано 11 февраля, 2020 Лечение 3.6 , 7.5 Обратите внимание на десну дистально на 3.6 . Ее можно заправить флоссом и платком 4 Ссылка на комментарий
CRAZYDUCK Опубликовано 11 февраля, 2020 Автор Поделиться Опубликовано 11 февраля, 2020 Физиологическая смена зуба , восстановленного ранее стандартной коронкойtrim.EAB9F42F-C9D4-43B2-B836-171869F3A129.MOV 4 Ссылка на комментарий
CRAZYDUCK Опубликовано 11 февраля, 2020 Автор Поделиться Опубликовано 11 февраля, 2020 Случай перелечивания через год после лечения в наркозе . Появился кариес на контактных поверхностях . Лечили в ЗакС . Это лечение одного сегмента . Всего пролечила 4 сегмента в ЗакС .девочке 4 годика . На момент последнего лечения очень устала ,на контакт шла с трудом . Но смогли договориться . В наркозе я не лечу , только в ЗакС . В наркоз отправляю к врачам , в навыках и знаниях которых уверена .Лечили кариес клыка и пятого , четвёртый был в наркозе нарощен со всех сторон , поэтому - коронка . 2 Ссылка на комментарий
CRAZYDUCK Опубликовано 12 февраля, 2020 Автор Поделиться Опубликовано 12 февраля, 2020 По поводу анестезии . Моя ассистент Света делала фотографии в первый раз . Фото не очень чёткое , но понятно . 1. Аппликация ( с этим проблем нет , наносим на высушенную Пустером слизистую , зубы предварительно смазываю вкусной зубной пастой . Аппликационный анестетик не нравится детям ( его вкус ), поэтому зубная паста не даст попасть гелю аппликационному на язык ), закрываю анестетик марлевым тампоном или разрезанным ватным диском ( проавтоклавированным ). Сидим так несколько минут . Потом смываем , проводим инфильтрационную и депо из анестетика прижимаю ( как на фото ). После инфильтрации ввожу по сосочкам . Ввожу анестетик до стойкой ишемии с внутренней стороны 1 Ссылка на комментарий
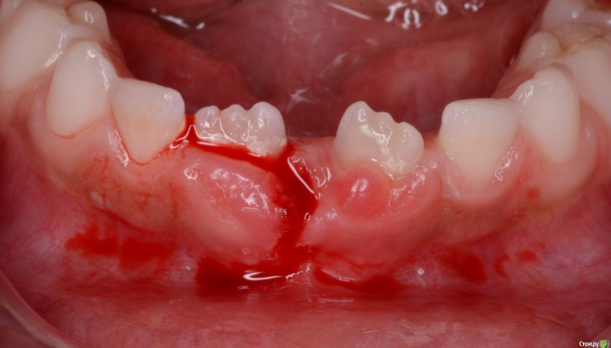
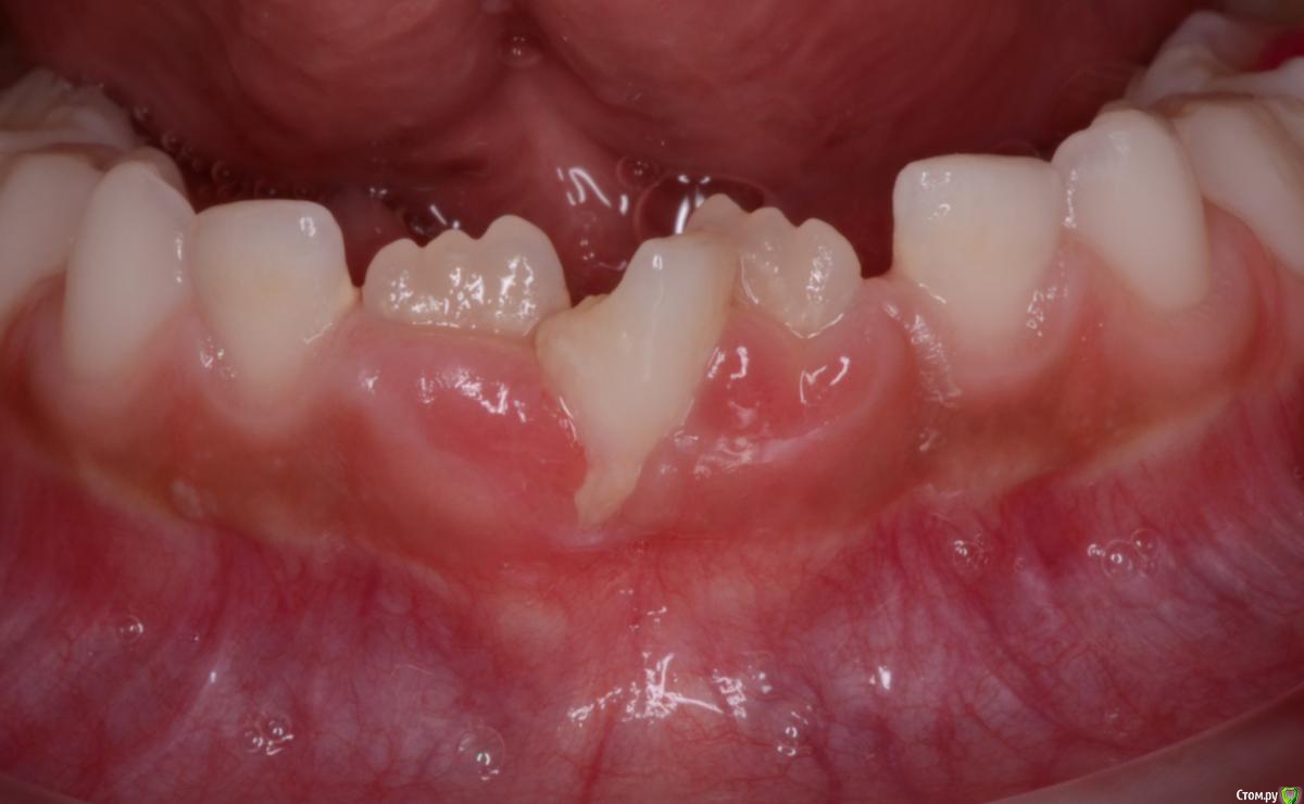
CRAZYDUCK Опубликовано 14 февраля, 2020 Автор Поделиться Опубликовано 14 февраля, 2020 Красивое красное фото ! Резорбция корня временного Резца почти полная , но уходить он не хочет . Удалила и жлеммна осмотр через месяц . Ссылка на комментарий
CRAZYDUCK Опубликовано 14 февраля, 2020 Автор Поделиться Опубликовано 14 февраля, 2020 Ребята , мои молчаливые ! Ау , ну напишите что-нибудь . Вопросы есть ? Скучаю по вопросикам 1 Ссылка на комментарий
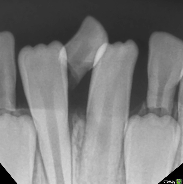
CRAZYDUCK Опубликовано 16 февраля, 2020 Автор Поделиться Опубликовано 16 февраля, 2020 Лечение обратимого пульпита 7.5 зуба . По этапам , на фото хорошо виден спонтанный гемостаз после ампутации .[url=https://radikal.ru] 2 Ссылка на комментарий
сергеевна Опубликовано 18 февраля, 2020 Поделиться Опубликовано 18 февраля, 2020 Оксана,здравствуйте.а возможно полечить необратимый пульпит без эндодонтии?пульподент на устья например Ссылка на комментарий
CRAZYDUCK Опубликовано 19 февраля, 2020 Автор Поделиться Опубликовано 19 февраля, 2020 Оксана,здравствуйте.а возможно полечить необратимый пульпит без эндодонтии?пульподент на устья напримерПульподент это я так понимаю аналог пульпотека . Состав один в один . Я негативно отношусь к этим препаратам . Формальдегид признан канцерогеном в июне 2004 года и его канцерогенность доказана в опытах на животных .также он является мутагеном , аллергеном,иммуносупрессором и вызывает раздражение кожи и слизистой . Фенол токсичен , используется в качестве антимикробного агента .В отличии от пульпотека пульподент не содержит гваякол , а эвгенол . Я понимаю , что все зависит от дозы , продолжительности воздействия и сенсибилизации организма . Формальдегид и в косметике и даже в некоторых зубных пастах есть . Но зачем лишний раз нагружать организм ребёнка . Я против этих девитализирующих препаратов . Ссылка на комментарий
сергеевна Опубликовано 19 февраля, 2020 Поделиться Опубликовано 19 февраля, 2020 Спасибо Ссылка на комментарий
Дмитрий Л. Опубликовано 19 февраля, 2020 Поделиться Опубликовано 19 февраля, 2020 А каким материалом проводите герметизацию? Я к примеру противник герметизации и серебрения. Ссылка на комментарий
CRAZYDUCK Опубликовано 20 февраля, 2020 Автор Поделиться Опубликовано 20 февраля, 2020 А каким материалом проводите герметизацию? Я к примеру противник герметизации и серебрения.Против метода серебрения против , герметизация - за . Почему Вы против герметизации ?Мне нравится CLEAN PRO SEALANT 3M. Но сейчас фиссурит ( он слишком пористый , но я приноровилась ) Ссылка на комментарий
red_butler Опубликовано 20 февраля, 2020 Поделиться Опубликовано 20 февраля, 2020 Я к примеру противник герметизации почему? 1 Ссылка на комментарий
Дмитрий Л. Опубликовано 20 февраля, 2020 Поделиться Опубликовано 20 февраля, 2020 А что будет с герметиком этим через год-два, если мы говорим о герметизации постоянного зуба? Ссылка на комментарий
krokomot Опубликовано 20 февраля, 2020 Поделиться Опубликовано 20 февраля, 2020 А что будет с герметиком этим через год-два, если мы говорим о герметизации постоянного зуба?и через 10 лет качественно проведенная герметизация сохраняется 3 Ссылка на комментарий
CRAZYDUCK Опубликовано 20 февраля, 2020 Автор Поделиться Опубликовано 20 февраля, 2020 А что будет с герметиком этим через год-два, если мы говорим о герметизации постоянного зуба?Дмитрий , задача герметизации - защитить эмаль фиссур в период третичной минерализации ( это происходит в течении года после прорезывания ). Если тщательно очищать в коффердаме методом эйр флоу с контролем очистки от налёта красителем , то герметик действительно держится достаточно долго . Если щеткой с пастой , то часто выпадает . Выпадение герметика связано ещё с тем , что эмаль в фиссурах недостаточно минерализованная из-за этого адгезивный протокол не работает как положено . Некоторые коллеги предпочитают СИЦ в фиссуры вносить . Я исследований не проводила , так читала немного на этот счёт . Но детям своим постоянные герметизирую. И пациентам предлагаю . Метод профилактики хороший . Только относиться к нему нужно очень ответственно . 1 Ссылка на комментарий
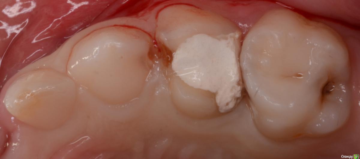
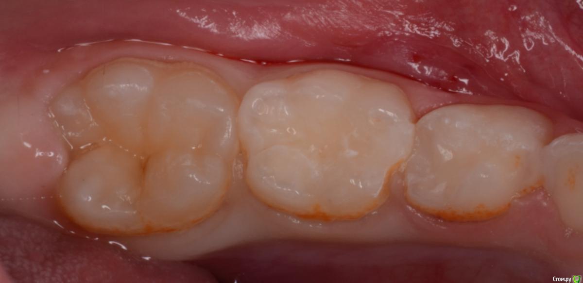
CRAZYDUCK Опубликовано 20 февраля, 2020 Автор Поделиться Опубликовано 20 февраля, 2020 Верхнее фото - зуб с герметиком . Со слов мамы перед герметизацией зуб не чистили , врач сразу нанёс герметик ( по виду похоже на жидкотекучий композит ).под жидкотекучим был кариес . Убрала жидкотекучий композит рондофлекс , препарирование и восстановление пакуемым и герметиком . 2 Ссылка на комментарий
CRAZYDUCK Опубликовано 21 февраля, 2020 Автор Поделиться Опубликовано 21 февраля, 2020 Почему-то не по порядку фото грузятся . Ребёнок 4 года , ранее был опыт лечения в наркозе , 7.5 восстановлен окклюзионно и вестибулярно , 7.4 окклюзионно . На фото «до» видно налёт в пришеечной зоне . Восстановила коронками в ЗакС 1 Ссылка на комментарий
Дмитрий Л. Опубликовано 21 февраля, 2020 Поделиться Опубликовано 21 февраля, 2020 (изменено) Я пересмотрю свои взгляды на герметизацию, спасибо. Креизидак, было бы очень интересно посмотреть на вашу работу в формате видео. Хоть я и не веду детский приём. К примеру как вы короночки подгоняете или эндо делаете. Если качественно сумеете отснять то могу помочь с монтажом на первых этапах. Думаю при определённых условиях вы бы могли создать топовый канал на ютубе в своей тематике. Изменено 21 февраля, 2020 пользователем Дмитрий Л. Ссылка на комментарий
Рекомендуемые сообщения
Для публикации сообщений создайте учётную запись или авторизуйтесь
Вы должны быть пользователем, чтобы оставить комментарий
Создать аккаунт
Зарегистрируйте новый аккаунт в нашем сообществе. Это очень просто!
Регистрация нового пользователяВойти
Уже есть аккаунт? Войти в систему.
Войти