Kolchanov Опубликовано 16 декабря, 2014 Поделиться Опубликовано 16 декабря, 2014 08 и 10 штифтами Я бы брал за это дополнительную плату и откладывал ее в копилку. Поверь, пригодятся... На таблетки. А! Знаешь что. Давай эксперимент проведем. Залатераль моляр удаленный, ну, такой, нормальный, среднестатистический, не с совсем прямыми корнями. Если хочешь, я пришлю. Лучше с каким-нибудь силером попрозрачнее. Хоть с обычной эпоксидкой. А потом сделаешь коррозионный препарат и глянем, далеко ли твои 008 идут У меня есть громадные сомнения на этот счет.И еще у меня есть коробочка спредеров № 10. Могу тоже выслать. Ссылка на комментарий
Shaid Опубликовано 16 декабря, 2014 Поделиться Опубликовано 16 декабря, 2014 Костя решил стать моим спонсором И спредеры, и зубы удаленные прислать хочет.Половина из этих штифтов гнется и выкидывается. Я раньше тоже думал, как это вообще - латералить 15ыми, они же согнутся там в канале, слишком тонкие. С 08 я, конечно, перегнул, ими пользовался пару раз, а вот 10ки в ход пошли, это да. Ссылка на комментарий
Shaid Опубликовано 16 декабря, 2014 Поделиться Опубликовано 16 декабря, 2014 Нарыл фотку(извиняюсь за качество)http://s009.radikal.ru/i309/1412/56/8804e380b022.jpg 1 Ссылка на комментарий
Shaid Опубликовано 16 декабря, 2014 Поделиться Опубликовано 16 декабря, 2014 А вообще, гуттакор(он на другой работе) нравится больше Засунул и все красиво Ссылка на комментарий
Kolchanov Опубликовано 16 декабря, 2014 Поделиться Опубликовано 16 декабря, 2014 Увиливаешь?Ладно, я сам сделаю. Есть у меня и 15ки и 10ки найду. Не говори потом, что я специально не глядя их совал. Ссылка на комментарий
Shaid Опубликовано 16 декабря, 2014 Поделиться Опубликовано 16 декабря, 2014 Предчувствую, это будет фиаско(мое) Обычно четко чувствуется, загнулся кончик или нет(точнее, чувствуется тот самый момент, когда штифт уткнулся в тупик. Ссылка на комментарий
Ico Опубликовано 16 декабря, 2014 Поделиться Опубликовано 16 декабря, 2014 Shaid,Вы каллибруете мастер штифт из гутты меньших размеров? Ссылка на комментарий
SSTi Опубликовано 16 декабря, 2014 Автор Поделиться Опубликовано 16 декабря, 2014 Так. Только стоило отвлечься- понакидали снимков своих. Негодяи Ссылка на комментарий
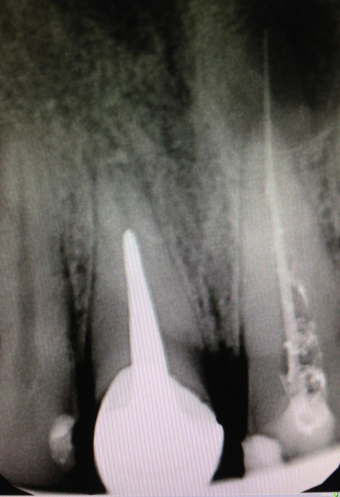
SSTi Опубликовано 16 декабря, 2014 Автор Поделиться Опубликовано 16 декабря, 2014 44 зуб страшилка. Все стандартно. Упор 45. 6 Ссылка на комментарий
Natalia :) Опубликовано 16 декабря, 2014 Поделиться Опубликовано 16 декабря, 2014 Так. Только стоило отвлечься- понакидали снимков своих. НегодяиСорри,я парочку выложу,потому что мне срочно нужно понять,что я не так делаю...Принимаю самую жесткую критику,потому что и сама все вижу,сравнивая свои с вашими красивыми картинками)работаю первый год,но хочется,конечно, сразу хорошо работать...Про спредеры и гутту поняла,завтра буду выполнять рекомендацию,спасибо)На этом снимке не понимаю,что за хрень нечеткая по стенкам к.к?и тут хрень какая-то пористая,еще и в апикальной трети(здесь полость раскрыта ужасно,знаю,плохой обзор был.Спасибо за внимание 3 Ссылка на комментарий
Паращук Роман Опубликовано 16 декабря, 2014 Поделиться Опубликовано 16 декабря, 2014 Как на первый год так "шикарный вид"(с). 1 Ссылка на комментарий
SDC Опубликовано 16 декабря, 2014 Поделиться Опубликовано 16 декабря, 2014 Сорри,я парочку... хрень... и тут хрень Спасибо за внимание Не ругайтесь, мадемуазель 1 Ссылка на комментарий
Ico Опубликовано 16 декабря, 2014 Поделиться Опубликовано 16 декабря, 2014 (изменено) Да все нормально!Осбенно для первого года.Не заморачиваитесь(пока) с паковкой,все внимание на соблюдение мед мех обработки,картинка сама придет)) неожиданно.Если хотите конкретики,то пошаговыи протокол озвучиваите,тогда коллегам будет проще Вам подсказать. Изменено 16 декабря, 2014 пользователем Ico Ссылка на комментарий
SSTi Опубликовано 16 декабря, 2014 Автор Поделиться Опубликовано 16 декабря, 2014 А чтобы подсказать - давно бы уже в шапке "терапии" написали протокол ирригации пульпитов и периодонтитов , последовательно. Народ путается. ) Ссылка на комментарий
Natalia :) Опубликовано 17 декабря, 2014 Поделиться Опубликовано 17 декабря, 2014 Не ругайтесь, мадемуазель простите,пожалуйста,мои гадкие слова-паразиты,я так больше не буду. Ссылка на комментарий
Natalia :) Опубликовано 17 декабря, 2014 Поделиться Опубликовано 17 декабря, 2014 Да все нормально!Осбенно для первого года.Не заморачиваитесь(пока) с паковкой,все внимание на соблюдение мед мех обработки,картинка сама придет)) неожиданно.Если хотите конкретики,то пошаговыи протокол озвучиваите,тогда коллегам будет проще Вам подсказать.протокол мой такой :определяю РД 8-10 к-файлами,расширяю устье sx,прохожу кк10.02 мту на РД,парканю,дальше обрабатываю до мту 25-35.04,финально промываю кк ГХ-ЭДТА-ГХ-вода-ХГ 2%,редко озвучиваю ГХ эндочаком,сушу,АН+ на бум.штифте вношу в кк,мастер,штифт 25-35.02на РД и дальше начинаю спредером 15 паковать,потом 20. Ссылка на комментарий
Shaid Опубликовано 17 декабря, 2014 Поделиться Опубликовано 17 декабря, 2014 А вот эндочаком зря редко пользуетесь, озвучив пару раз канал, можно еще пару какулек, выходящих из устья увидеть Ico, кстати, раньше калибровал дополнительные штифты. Последние месяцы ленюсь. В основном калибруется мастер и 1ый дополнительный.Тут дело не в калибровке. Ведь проблема и в том, что спредеры не лезут до конца(1-2мм не доходя мастер).Автора темы прошу извинить за флуд в его теме. И хочу спросить - в том кейсе, где пропаковалась латераль - чем промывал? Эндожи, Ларгал? Был только УЗ?Давно таких латералей не было - грешу на Эндожи №2(на предыдущей работе был MD-Cleanser, сейчас Эндожи - так он даже не "пшшшшикает" при смешивании с NaOCl. Ссылка на комментарий
SSTi Опубликовано 17 декабря, 2014 Автор Поделиться Опубликовано 17 декабря, 2014 Гх, эдта 18% ( ультрадент, такой шприц огромный, синий, прикольный), гх + звук до чистого раствора на выходе( 4-5 раз по 20 секунд). , перекись, вода, хг, спирт. Ссылка на комментарий
Ico Опубликовано 17 декабря, 2014 Поделиться Опубликовано 17 декабря, 2014 Тут дело не в калибровке. Ведь проблема и в том, что спредеры не лезут до конца(1-2мм не доходя мастер).Они могут просто в стенку упираться,если изгиб у канала имеется,а если изгиб в верхнеи трети как тутhttp://imhocloud.com/images/2014/12/17/2013-08-28-209c390c.th.jpg то латералить можно только маленькими размерами до 25 Ни-Ти. Ссылка на комментарий
Shaid Опубликовано 19 декабря, 2014 Поделиться Опубликовано 19 декабря, 2014 Да, изгибы бывают Но в дистальном? Ссылка на комментарий
Ico Опубликовано 19 декабря, 2014 Поделиться Опубликовано 19 декабря, 2014 (изменено) Да, изгибы бывают Но в дистальном?Либо уже хорошо спрессовали,либо блокируют стенки.Можно проверить меняя спереддер на меньший размер быстро подкручивая туды - сюды с давлением))).Можно поменять угол введения и стенку к.канала.Латералка не идеальна,где-то лучше гуттакором,где-то латералить,либо латералить и немного ее подвертикалить.Фанатично добиваться нужнои глубины,это чревато овером,либо появлению микротрещин.Бопробуите ни-ти спреддеры,пересмОтрите взгляды на латералку однозначно.Манишные более круглые на кончике,у других фирм они остые. Изменено 19 декабря, 2014 пользователем Ico Ссылка на комментарий
SSTi Опубликовано 20 декабря, 2014 Автор Поделиться Опубликовано 20 декабря, 2014 Теме пол года. Сейчас перечитал. Мне кажется , что хоть немного, но я вырос) 5 Ссылка на комментарий
Чертков Александр Опубликовано 25 декабря, 2014 Поделиться Опубликовано 25 декабря, 2014 Теме пол года. Сейчас перечитал. Мне кажется , что хоть немного, но я вырос)Сергей, ты где то писал что у тебя рост под 2 метра...куда ещё то? ...шутка...Конечно вырос! Так держать! 1 Ссылка на комментарий
SSTi Опубликовано 26 декабря, 2014 Автор Поделиться Опубликовано 26 декабря, 2014 Сергей, ты где то писал что у тебя рост под 2 метра...куда ещё то? ...шутка...Конечно вырос! Так держать! Я кстати измерил рост на днях. Я уменьшился на 3 см. ....(( старость такая старость Ссылка на комментарий
SSTi Опубликовано 27 декабря, 2014 Автор Поделиться Опубликовано 27 декабря, 2014 Вот так бывает. Красота. 21 оставил пока кальций. 11 запаковал. 2 Ссылка на комментарий
Рекомендуемые сообщения
Для публикации сообщений создайте учётную запись или авторизуйтесь
Вы должны быть пользователем, чтобы оставить комментарий
Создать аккаунт
Зарегистрируйте новый аккаунт в нашем сообществе. Это очень просто!
Регистрация нового пользователяВойти
Уже есть аккаунт? Войти в систему.
Войти