Evikrol Опубликовано 27 августа, 2015 Поделиться Опубликовано 27 августа, 2015 А открытая то почему? Ссылка на комментарий
Doc Опубликовано 28 августа, 2015 Поделиться Опубликовано 28 августа, 2015 А открытая то почему?Да потому, что под мосты снимать закрытой неправильно. 2 Ссылка на комментарий
Evikrol Опубликовано 6 сентября, 2015 Поделиться Опубликовано 6 сентября, 2015 Был пациент который на отрез отказывался от винтовой. Говорил не хочет чтобы на новой работе ещё какие то заплатки были. 1 Ссылка на комментарий
Doc.IQ Опубликовано 6 сентября, 2015 Поделиться Опубликовано 6 сентября, 2015 Все зависит от того,как вы это приподнесете..а именно плюсы и минусы..после этого на заплатки никто не обращает внимания.. 1 Ссылка на комментарий
Evikrol Опубликовано 6 сентября, 2015 Поделиться Опубликовано 6 сентября, 2015 Я всем ставлю винтовую, порой даже если шахта выходит на вестибулярную поверхность премоляров. Но этот упёрся. Ссылка на комментарий
Doc.IQ Опубликовано 6 сентября, 2015 Поделиться Опубликовано 6 сентября, 2015 Можете показать с "заплаткой" на вестиб.пов-ти??не видно ее??P.S.рогами уперся и копытом бьет 1 Ссылка на комментарий
Doc Опубликовано 7 сентября, 2015 Поделиться Опубликовано 7 сентября, 2015 Теперь есть возможность наоборот, спрятать шахту на небную поверхность, даже если она торчит в вестибулярную. В известных пределах, конечно, угол должен быть не больше 25 градусов, но больше 25-ти градусов это уже косоглазие у хирурга, либо всякое отсутствие присутствия мозгов и опыта. Ссылка на комментарий
carloss Опубликовано 7 сентября, 2015 Поделиться Опубликовано 7 сентября, 2015 Теперь есть возможность наоборот, спрятать шахту на небную поверхность, даже если она торчит в вестибулярную. В известных пределах, конечно, угол должен быть не больше 25 градусов, но больше 25-ти градусов это уже косоглазие у хирурга, либо всякое отсутствие присутствия мозгов и опыта. Скажите, а это можно сделать с любой системой, то есть дела только в отвертках, или и винты другие? И может заодно кто знает где их взять? Ссылка на комментарий
Doc Опубликовано 7 сентября, 2015 Поделиться Опубликовано 7 сентября, 2015 Скажите, а это можно сделать с любой системой, то есть дела только в отвертках, или и винты другие? И может заодно кто знает где их взять?К сожалению пока это есть только у Нобеля на коронках ASC, которые были представлены в мае 2015 года и FCZ, которые будут представлены на ближайшей выставке в сентябре. Я уже год их делаю и пока кроме восторга ничего не чувствую. Ссылка на комментарий
Doc Опубликовано 7 сентября, 2015 Поделиться Опубликовано 7 сентября, 2015 Кстати, не вижу препятствий к тому, чтобы это делала любая система, кроме авторских прав, конечно. Там все предельно просто. Ссылка на комментарий
Evikrol Опубликовано 7 сентября, 2015 Поделиться Опубликовано 7 сентября, 2015 Можете показать с "заплаткой" на вестиб.пов-ти??не видно ее??P.S.рогами уперся и копытом бьетhttp://s003.radikal.ru/i204/1509/fa/f3fbfbbb329e.jpg Интересно по истечению двух лет как сейчас выглядит 4 Ссылка на комментарий
GIZ Опубликовано 8 сентября, 2015 Поделиться Опубликовано 8 сентября, 2015 К сожалению пока это есть только у Нобеля на коронках ASC, которые были представлены в мае 2015 года и FCZ, которые будут представлены на ближайшей выставке в сентябре. Я уже год их делаю и пока кроме восторга ничего не чувствую. Посмотрел видео на их сайте. Впечатляет. Наверное,скоро и другие запустят подобные варианты Ссылка на комментарий
k.t.m. Опубликовано 8 сентября, 2015 Поделиться Опубликовано 8 сентября, 2015 У необиотейч такой ключ есть, Антон где то на форуме даже видео выкладывал. Ссылка на комментарий
АнтонТЛТ Опубликовано 8 сентября, 2015 Поделиться Опубликовано 8 сентября, 2015 (изменено) К сожалению пока это есть только у Нобеля на коронках ASC, которые были представлены в мае 2015 года и FCZ, которые будут представлены на ближайшей выставке в сентябре. Я уже год их делаю и пока кроме восторга ничего не чувствую. http://www.youtube.com/watch?v=z2AzrVyIFMQВидео еще в феврале 2013 года выложили)))В отвертке заложен максимальный торк, чтобы не повредить головку винта, отвертка ломается при большом торке http://www.youtube.com/watch?v=fphiNVAyQbY А это еще в 2012)) Кто у кого спер идею?)) Изменено 8 сентября, 2015 пользователем АнтонТЛТ Ссылка на комментарий
Doc Опубликовано 8 сентября, 2015 Поделиться Опубликовано 8 сентября, 2015 Видео еще в феврале 2013 года выложили)))В отвертке заложен максимальный торк, чтобы не повредить головку винта, отвертка ломается при большом торке А это еще в 2012)) Кто у кого спер идею?))Да нет, это у нас в России они только в этом году представлены были, а у них с 2013-14 годов уже вовсю идут.Что касается авторских прав, то вообще непонятно как они там эти права защищают, если учесть, что только ленивый не делает супраструктуры ко всем видам имплантов и даже импланты воруют через раз. Ссылка на комментарий
udgine1990 Опубликовано 9 сентября, 2015 Поделиться Опубликовано 9 сентября, 2015 Шахту не сложно закрыть пломбировочным материалом и эстетика хорошая,с цементной одно время замучались с расцементировками мис цемент пробовали, темп Бонд,даже фуджи ( Ссылка на комментарий
Doc Опубликовано 9 сентября, 2015 Поделиться Опубликовано 9 сентября, 2015 Шахту не сложно закрыть пломбировочным материалом и эстетика хорошая,с цементной одно время замучались с расцементировками мис цемент пробовали, темп Бонд,даже фуджи (Расцементировка, как правило, говорит о неправильно выбранной тактике, неправильной подготовке абатментов, низкой клинической коронке и много о чем еще. Качественно сделанная конструкция стоит десятилетия даже на временном цементе. Это далеко не главный недостаток цементируемой конструкции, это скорее недостаток качества работы врача и техника, а есть гораздо более весомые недостатки. 4 Ссылка на комментарий
Evikrol Опубликовано 9 сентября, 2015 Поделиться Опубликовано 9 сентября, 2015 Расцементировка, как правило, говорит о неправильно выбранной тактике, неправильной подготовке абатментов, низкой клинической коронке и много о чем еще. Качественно сделанная конструкция стоит десятилетия даже на временном цементе. Это далеко не главный недостаток цементируемой конструкции, это скорее недостаток качества работы врача и техника, а есть гораздо более весомые недостатки. Смайлик в конце такой ехидный :-) Ссылка на комментарий
Doc.IQ Опубликовано 9 сентября, 2015 Поделиться Опубликовано 9 сентября, 2015 Интересно по истечению двух лет как сейчас выглядитСупер...если стык хорошо заполирован,то ничего не изменилось..При случае попробую.. Ссылка на комментарий
Doc Опубликовано 14 сентября, 2015 Поделиться Опубликовано 14 сентября, 2015 Смайлик в конце такой ехидный :-)Вы тоже заметили? )) Ссылка на комментарий
Доктор Андрей Опубликовано 25 сентября, 2015 Поделиться Опубликовано 25 сентября, 2015 Расцементировка, как правило, говорит о неправильно выбранной тактике, неправильной подготовке абатментов, низкой клинической коронке и много о чем еще. Качественно сделанная конструкция стоит десятилетия даже на временном цементе. Это далеко не главный недостаток цементируемой конструкции, это скорее недостаток качества работы врача и техника, а есть гораздо более весомые недостатки. Док, растолкуйте для глупого человека (я понимаю, у Вас уже это тыщу раз спрашивали), в чем эти недостатки. Работаю в основном на цементе, уступы в половине случаев наддесневые, поэтому гингивитов вокруг конструкций практически нет. Откручивать свои старые конструкции приходится от силы пару раз в год. Зато все детали на складах в наличии, легко уточняется окклюзия при примерке каркасов и подгонке готовой керамики (потому что не надо каждый раз откручивать), легко заказать технику транфер-чеки и индив.ложку, чтобы во рту не заниматься полдня соединением трансферов под мост; ну и пломбировать шахту нет нужды. А на винтиках приходится для каждой работы заказывать гору деталек, половину из которых ждешь по два месяца, открутить десять раз, пока по прикусу все проверишь, и раз в год-два подклеивать пломбы в шахтах. Объясните, в чем я не прав, мне правда хочется стать умнее. Ссылка на комментарий
Doc Опубликовано 26 сентября, 2015 Поделиться Опубликовано 26 сентября, 2015 Док, растолкуйте для глупого человека (я понимаю, у Вас уже это тыщу раз спрашивали), в чем эти недостатки. Работаю в основном на цементе, уступы в половине случаев наддесневые, поэтому гингивитов вокруг конструкций практически нет. Откручивать свои старые конструкции приходится от силы пару раз в год. Зато все детали на складах в наличии, легко уточняется окклюзия при примерке каркасов и подгонке готовой керамики (потому что не надо каждый раз откручивать), легко заказать технику транфер-чеки и индив.ложку, чтобы во рту не заниматься полдня соединением трансферов под мост; ну и пломбировать шахту нет нужды. А на винтиках приходится для каждой работы заказывать гору деталек, половину из которых ждешь по два месяца, открутить десять раз, пока по прикусу все проверишь, и раз в год-два подклеивать пломбы в шахтах. Объясните, в чем я не прав, мне правда хочется стать умнее.Хм... Половину того, что Вы написали, я даже не совсем понимаю. Какие-такие запчасти на складах, к примеру? У нас 90 процентов работ идет через сканер и никаких запчастей к ним не требуется. Слепки снимаются одинаковые что под винтовую, что под цементируемую конструкцию, а стандартные обтачиваемые абатменты я уже лет пять как в руках не держал. Какие еще запчасти нужны? Видимо потому, что работа в основном идет кадкамовская, по прикусу подгонять тоже особо не приходится. Попробуй, к примеру, подогнать по прикусу коронку FCZ, которая сделана полностью из циркония, задолбаешься пилить. Если у меня по прикусу что-то не подгоняется простой резинкой во рту, то отдаю в лабораторию на переделку, либо коррекцию. Про какую гору деталек для винтиков Вы говорите я вообще не понимаю, у нас оттиск снял, получил готовую работу из лабы и все. Подклеивать раз в год-два пломбы в шахтах тоже не приходилось никогда, т.к. если высота шахты нормальная, то пломба там простоит столько, сколько сама коронка, а если высоты сильно не хватает и пломбу ставить некуда, то придумываем другие варианты. В общем, думаю, что проблема в разных подходах, системах имплантатов и постановке работы. Если интересно, то давайте конкретно разберем Вашу гору запчастей. Какие запчасти и для чего Вы используете при винтовой фиксации? Ссылка на комментарий
Евгений Ходыкин Опубликовано 27 сентября, 2015 Поделиться Опубликовано 27 сентября, 2015 А на винтиках приходится для каждой работы заказывать гору деталек, половину из которых ждешь по два месяца, открутить десять раз, пока по прикусу все проверишь, и раз в год-два подклеивать пломбы в шахтах. Объясните, в чем я не прав, мне правда хочется стать умнее. Тоже не понял с горой деталек и выпадением пломб. Прикрутив коронку, кидаю коффер, далее "адгезивно" пломба. Ни разу не выпадала... Ссылка на комментарий
Doc Опубликовано 27 сентября, 2015 Поделиться Опубликовано 27 сентября, 2015 Тоже не понял с горой деталек и выпадением пломб. Прикрутив коронку, кидаю коффер, далее "адгезивно" пломба. Ни разу не выпадала... У меня все еще более заформализованно. Я в день сдачи ставлю времянку и отпускаю на две-три недели - тестовый период. Если за две недели не будет никаких проблем, жалоб, сколов, просьб и пожеланий, то пациент назначается к терапевту на установку постоянной пломбы, но с обязательным присутствием меня в клинике. Терапевт убирает времянку и зовет меня. Я проверяю динамометрическим ключом натяжение, если все хорошо, то терапевт со всеми приседаниями, коферами и прочими ужимками ставит адгезивно пломбу. В результате пломбы не вываливаются практически никогда, я не трачу кучу времени на ерунду, т.к. если сдал верх-низ полный, то это надо штук 14 шахт позакрывать, причем качественно, чтобы потом не вылетали два раза в году, как тут жаловались, а мне на это время тратить лень. 14 дырок по любому займет минут по 5-10 на дырку, вот и сиди полтора часа лишних, оно мне надо?! Терапевт ни разу не в обиде, т.к. в наше время от работы никто не бегает, ее все ищут, а я не трачу драгоценное время на то, что за меня лучше, качественнее и быстрее могут сделать другие. Пациент не бегает на переделку пломб, не тратит свое время, не ругается на клинику и на меня. Все в счастье. Чем не идиллия?! 4 Ссылка на комментарий
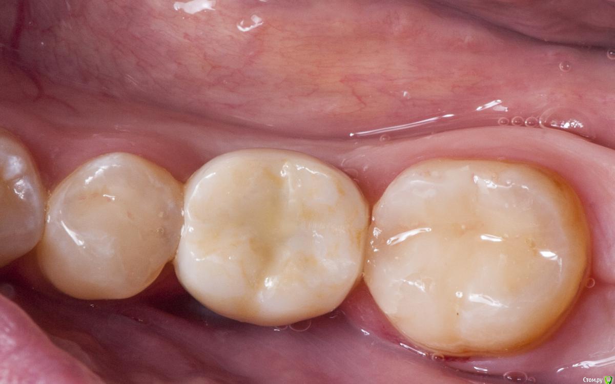
Doc Опубликовано 27 сентября, 2015 Поделиться Опубликовано 27 сентября, 2015 На той неделе сдал четыре работы с FCZ, вот фотки. Работа бесплатная, сотруднице. Полноциркониевая коронка, методом окрашивания. Шахта простой композит. Даже под увеличением смотрится неплохо, угадать шахту можно только специалисту. Во рту еще меньше видно. Единственный упрек в "ужасающей эстетике" винтовой фиксации возможно и оправдан, но он компенсируется многими другими положительными моментами. В этой конкретной работе по мне так мяса хирург пожалел вестибулярно, но похоже сама пациентка не очень стремилась к идеальной розовой эстетике, ее все устраивает, а я ее получил только на стадии, когда формирователь уже много месяцев простоял (с ее слов удаляла за год до этого). Других претензий к работе не имею. Что касается "горы деталек", то еще раз готов подробно обсудить этот вопрос, т.к. в данной работе использовался только трансфер и дублер (аналог имплантата), которые ничем не отличаются от таковых для цементной фиксации. 2 Ссылка на комментарий
Рекомендуемые сообщения
Для публикации сообщений создайте учётную запись или авторизуйтесь
Вы должны быть пользователем, чтобы оставить комментарий
Создать аккаунт
Зарегистрируйте новый аккаунт в нашем сообществе. Это очень просто!
Регистрация нового пользователяВойти
Уже есть аккаунт? Войти в систему.
Войти