Ico Опубликовано 2 ноября, 2016 Поделиться Опубликовано 2 ноября, 2016 Травма коронковой пульпы.Осюда и реакция на температурные раздражители,если бы на уровне середины корня все было,то зуб умер бы незаметно + дисколорит возможно.Средняя треть корня опять же,а не пришеечная его часть.Хочешь скину снимков тебе в ФБ сравнишь? Ссылка на комментарий
Kolchanov Опубликовано 2 ноября, 2016 Автор Поделиться Опубликовано 2 ноября, 2016 Так зуб целый, я покажу фото в субботу. Ссылка на комментарий
Ico Опубликовано 2 ноября, 2016 Поделиться Опубликовано 2 ноября, 2016 Так зуб целый, я покажу фото в субботу.Трещинки в коронке не видел,просвечивал? Ссылка на комментарий
Kolchanov Опубликовано 2 ноября, 2016 Автор Поделиться Опубликовано 2 ноября, 2016 Есть, в эмали, одна или две, но совсем не факт, что они появились в результате травмы. Ссылка на комментарий
Ico Опубликовано 2 ноября, 2016 Поделиться Опубликовано 2 ноября, 2016 Вертикальные при хронческой травме,косые при полимерицационной усадке композита а горизонтальные при острой травме(с) Радлинский С.В.Апекс локатор 100% выдает жирную дельту или трещину.Мало того на пине при просушке следы сбоку видны либо крови,либо серозные.Расширение периодонтальной щели отсутствует.Но соглашусь,что надо наблюдать. Ссылка на комментарий
Паращук Роман Опубликовано 3 ноября, 2016 Поделиться Опубликовано 3 ноября, 2016 Надо запломбировать корональный фрагмент с МТА, а апикальный оставить в покое. Что странно, апекс локатор работал четко.может то ангиография? Ссылка на комментарий
Kolchanov Опубликовано 5 ноября, 2016 Автор Поделиться Опубликовано 5 ноября, 2016 (изменено) Ренальду бальзам.Не стал полосочковать зуб. http://s017.radikal.ru/i436/1611/02/9146c4773490.jpghttp://s50.radikal.ru/i130/1611/bf/0fa817238bcc.jpghttp://s019.radikal.ru/i608/1611/3f/5810e9fa0ffd.jpghttp://s018.radikal.ru/i507/1611/ca/2f6f81f317cb.jpghttp://i075.radikal.ru/1611/63/3f27bba60ba3.jpghttp://s020.radikal.ru/i713/1611/b3/4b09d9693c50.jpgПациенткой озвучено было, что 25 лет назад лечен (даже если половиная этого срока, то меня устраивает). В полости зуба плотный фосфат, без признаков подтекания. Короче, вначале идя на ретрит, я по ходу переобулся и просто забилдапил. Ничего я там не смог бы улучшить... Изменено 5 ноября, 2016 пользователем Kolchanov Ссылка на комментарий
Л Ю С Я Опубликовано 5 ноября, 2016 Поделиться Опубликовано 5 ноября, 2016 Ренальду бальзам.Не стал полосочковать зуб. Пациенткой озвучено было, что 25 лет назад лечен (даже если половиная этого срока, то меня устраивает). В полости зуба плотный фосфат, без признаков подтекания. Короче, вначале идя на ретрит, я по ходу переобулся и просто забилдапил. Ничего я там не смог бы улучшить...И слава богу! Заболевания нет, ни клинических , ни рентгенологических признаков. Хорошо если Ваш ортопед это понимает))) Ссылка на комментарий
Л Ю С Я Опубликовано 5 ноября, 2016 Поделиться Опубликовано 5 ноября, 2016 (изменено) хотя я бы для перестраховки ещё и на кт бы отправила, знаете ли иногда бывают сюрпризы Изменено 5 ноября, 2016 пользователем Л Ю С Я Ссылка на комментарий
Kolchanov Опубликовано 5 ноября, 2016 Автор Поделиться Опубликовано 5 ноября, 2016 На КТ бывает и то чего нет. Ссылка на комментарий
Л Ю С Я Опубликовано 5 ноября, 2016 Поделиться Опубликовано 5 ноября, 2016 На КТ бывает и то чего нет.А Вы покрутите его вокруг сомнительного объекта и поймёте артефакт или нет. В преапикальной области чаще всего не врет. Преапикальные изменения чаще всего истинные. А вот по обычному снимку часто гранулём ге видно Ссылка на комментарий
Kolchanov Опубликовано 5 ноября, 2016 Автор Поделиться Опубликовано 5 ноября, 2016 (изменено) А бывает вроде гранулема по КТ, а зуб витальный. Изменено 5 ноября, 2016 пользователем Kolchanov Ссылка на комментарий
Л Ю С Я Опубликовано 6 ноября, 2016 Поделиться Опубликовано 6 ноября, 2016 А бывает вроде гранулема по КТ, а зуб витальный.Чаще всего такое бывает на обычных снимках. Позиционируете объект в разных плоскостях и все будет понятно. На кт периодонт видно достаточно четко Ссылка на комментарий
Jenechkin Опубликовано 9 ноября, 2016 Поделиться Опубликовано 9 ноября, 2016 ...такое вот ре-эндоваше мнение?Вкв+мк в работе Ссылка на комментарий
Kolchanov Опубликовано 12 января, 2017 Автор Поделиться Опубликовано 12 января, 2017 Зуб был не так давно по типу, как Каплан тут показал - http://forum.stom.ru/topic/34371-2017/?p=572789Пропущенный ММ канал со своим выходом посередке корняhttp://s013.radikal.ru/i323/1701/f5/68d652996212.jpghttp://s018.radikal.ru/i500/1701/b8/7c6205bbcf46.jpghttp://s020.radikal.ru/i716/1701/db/06ef1c465c7b.jpghttp://s019.radikal.ru/i626/1701/52/bf4b437a8455.jpghttp://s41.radikal.ru/i093/1701/76/3d73852c2a04.jpghttp://s001.radikal.ru/i193/1701/71/bb47b32b6958.jpg Обострение получил после первого визита. Резали и т.д. 3 Ссылка на комментарий
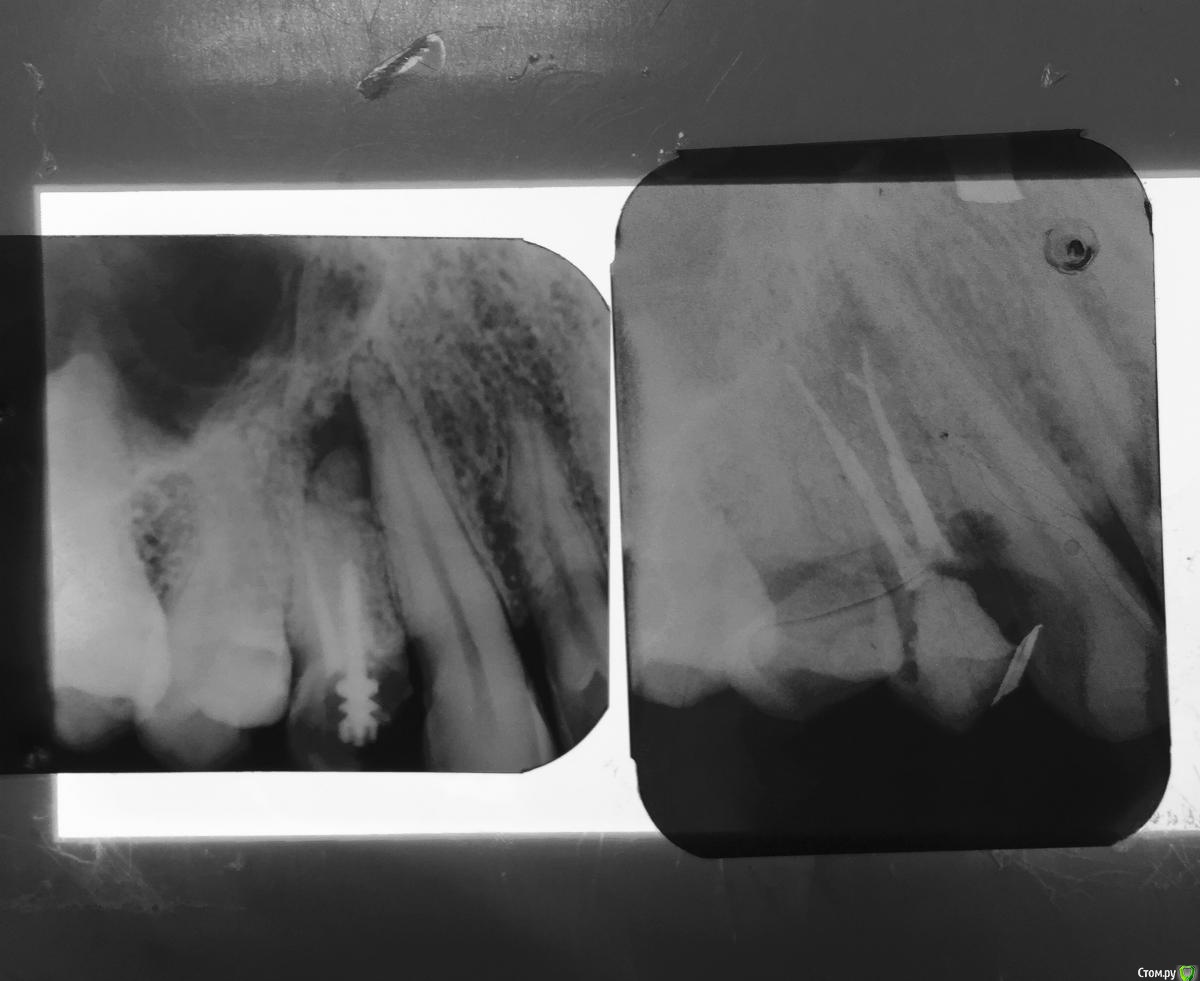
Kolchanov Опубликовано 12 января, 2017 Автор Поделиться Опубликовано 12 января, 2017 Сегодняшний зуб. Кажется я понял чего Соломонов советует СВШ на СИЦ фиксировать http://s020.radikal.ru/i705/1701/7e/12baaf0019d9.jpghttp://s018.radikal.ru/i500/1701/ce/28f347e5a0fa.jpgДействительно, вытаскивать гораздо проще. Гораздо! Главное не перепилить. Молодец Михаил Соломонов! Дельный совет!http://i066.radikal.ru/1701/88/70647ef634a0.jpgТеперь титанчик отпесоченный будет.http://s019.radikal.ru/i612/1701/60/8778e0c1ac33.jpghttp://s020.radikal.ru/i711/1701/ff/16af60074b3d.jpg 3 Ссылка на комментарий
shishok Опубликовано 12 января, 2017 Поделиться Опубликовано 12 января, 2017 Константин,здесь планируется только реставрация или будет коронка? Ссылка на комментарий
Kolchanov Опубликовано 12 января, 2017 Автор Поделиться Опубликовано 12 января, 2017 Где здесь? А вообще не важно, везде коронки Ссылка на комментарий
Паращук Роман Опубликовано 13 января, 2017 Поделиться Опубликовано 13 января, 2017 Как в 6ке пропустить мм его же не вооруженным глазом видно. Во втором зубе я бы ставил вкв,уменьшив к-во швов. Ссылка на комментарий
Kolchanov Опубликовано 13 января, 2017 Автор Поделиться Опубликовано 13 января, 2017 Это после того как я навес из дентина снял. По поводу ВКВ. В этой клинике работаю два года, данный вид восстановления - обычный. Ни разу не видел и не слышал о вывалившихся анкерах. Все будет хорошо. Не имею ничего против ВКВ, но, имхо, абсолютно лишняя трата времени. Ссылка на комментарий
dok1 Опубликовано 13 января, 2017 Поделиться Опубликовано 13 января, 2017 За вкв на крайнем фото. Ссылка на комментарий
Kolchanov Опубликовано 17 января, 2017 Автор Поделиться Опубликовано 17 января, 2017 Во какой достал. Редкий штифт!http://s020.radikal.ru/i702/1701/fd/6a675b5cea25.jpghttp://s019.radikal.ru/i632/1701/c4/34969c5b5257.jpg 2 Ссылка на комментарий
dok1 Опубликовано 17 января, 2017 Поделиться Опубликовано 17 января, 2017 Сложно выходил? У/звуком? Иль просто выкрутили? Ссылка на комментарий
vse32 Опубликовано 17 января, 2017 Поделиться Опубликовано 17 января, 2017 Он?Штифты Форма, Углич. http://s020.radikal.ru/i718/1701/0f/688fcd394489.jpg Ссылка на комментарий
Kolchanov Опубликовано 17 января, 2017 Автор Поделиться Опубликовано 17 января, 2017 Сложно выходил? У/звуком? Иль просто выкрутили?Не. Насадка E3 и любой выпрыгивает и уносит ноги аж свист стоит. Он? Штифты Форма, Углич. Похоже. Придумают же! Хочу в Углич. Ссылка на комментарий
Рекомендуемые сообщения
Для публикации сообщений создайте учётную запись или авторизуйтесь
Вы должны быть пользователем, чтобы оставить комментарий
Создать аккаунт
Зарегистрируйте новый аккаунт в нашем сообществе. Это очень просто!
Регистрация нового пользователяВойти
Уже есть аккаунт? Войти в систему.
Войти