Kolchanov Опубликовано 13 сентября, 2014 Автор Поделиться Опубликовано 13 сентября, 2014 Тоже так думаю. Скорее всего под стекловолокно готовили и протерли корешок, а может и еще чего. Ссылка на комментарий
Bratok Опубликовано 13 сентября, 2014 Поделиться Опубликовано 13 сентября, 2014 (изменено) Вот вам в тему эндосвалки Изменено 13 сентября, 2014 пользователем Bratok Ссылка на комментарий
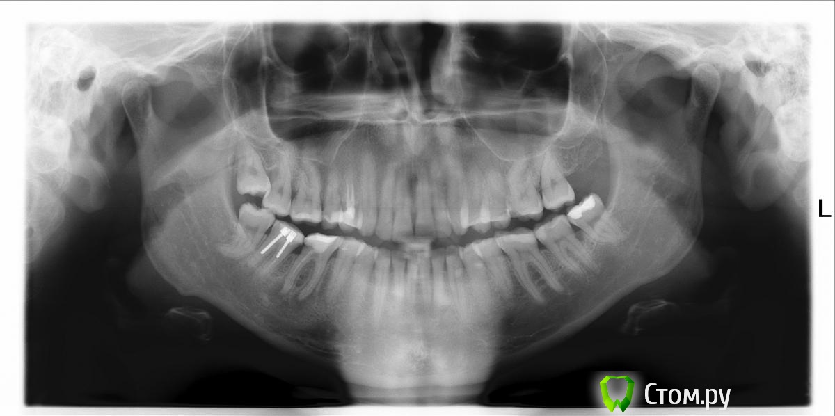
Stomart Опубликовано 13 сентября, 2014 Поделиться Опубликовано 13 сентября, 2014 (изменено) Как думаете, 6ку лучше сразу выдернуть или все-таки залезть и посмотреть? Смущает какой-то процесс между корнями. Планируется мост, но если удалять, то мосту уже не быть. Я бы залез ради интереса и глянул на дно пульповой. Вот вам в тему эндосвалки Это лучше в тему про врачей-водителей трамваев. Изменено 13 сентября, 2014 пользователем Stomart Ссылка на комментарий
Kolchanov Опубликовано 13 сентября, 2014 Автор Поделиться Опубликовано 13 сентября, 2014 Вот вам в тему эндосвалки Ну, что, ничего необычного. Левый случай поправим, в правом же, если симптоматики нет, то и фиг с ним. Ссылка на комментарий
Kolchanov Опубликовано 13 сентября, 2014 Автор Поделиться Опубликовано 13 сентября, 2014 Я бы залез ради интереса и глянул на дно пульповой. Единственный метод извлечения стекловолокна, которым я владею, это высверливание его. Тут на полкорня... Короч, если там перфы и нет, то она может запросто появиться Тем более, что пациент и не против имплантации, как оказалось. Ссылка на комментарий
M@estro Опубликовано 13 сентября, 2014 Поделиться Опубликовано 13 сентября, 2014 Единственный метод извлечения стекловолокна, которым я владею, это высверливание его. Я опиливаю стекловолокно аккуратно - и тяну его ,направляя вектор силы строго по оси. Всё ,что извлёк - извлёк так, спасибо коллегам, фиксирующим в слюни. Ссылка на комментарий
Kolchanov Опубликовано 13 сентября, 2014 Автор Поделиться Опубликовано 13 сентября, 2014 Пока помогал только мелкий алмазный щарик на длинной ноге. Ссылка на комментарий
Bratok Опубликовано 13 сентября, 2014 Поделиться Опубликовано 13 сентября, 2014 (изменено) Ну, что, ничего необычного. Левый случай поправим, в правом же, если симптоматики нет, то и фиг с ним. Это снимок женщины 40 лет, с момента пломбировки прошло 6 лет. Жалобы на отсутствие чувствительности нижней губы слева, части подбородка.. Как ей помочь? Стационар? Изменено 13 сентября, 2014 пользователем Bratok Ссылка на комментарий
Kolchanov Опубликовано 13 сентября, 2014 Автор Поделиться Опубликовано 13 сентября, 2014 Никак. Ссылка на комментарий
Shaid Опубликовано 13 сентября, 2014 Поделиться Опубликовано 13 сентября, 2014 Вот и я выстреливаю. Коллеги на all dental(Вконтакте) пишут, что в этом деле хорошо помогает ультразвук. У меня так не получается. Ссылка на комментарий
Kolchanov Опубликовано 13 сентября, 2014 Автор Поделиться Опубликовано 13 сентября, 2014 Если есть хорошие алмазные насадки типа Pro Ultra, то можно. Эндочаком пробовал, но не получается. Просто тупится конец файла и все. Ссылка на комментарий
Slaggy Опубликовано 13 сентября, 2014 Поделиться Опубликовано 13 сентября, 2014 (изменено) Это снимок женщины 40 лет, с момента пломбировки прошло 6 лет. Жалобы на отсутствие чувствительности нижней губы слева, части подбородка.. Как ей помочь? Стационар? Бедненькая, как же она целуется? Если согласится - то стационар. Если хирург реально гламурен.6 лет срок, но человеческий организм врачи не смогли победить уже несколько тысяч лет. Выживает несмотря на наши старания.На все воля творца. А от операции хуже уже не станет. Лишь бы не резорцинка.Хотя и с ней выживают.Каюсь, был за мной такой косяк когда-то - через год восстановилась чувствительность. А я кроме эмоциональной накачки и массажа ничего тогда и не придумал. Изменено 13 сентября, 2014 пользователем Slaggy Ссылка на комментарий
krasnyi Опубликовано 15 сентября, 2014 Поделиться Опубликовано 15 сентября, 2014 Это снимок женщины 40 лет, с момента пломбировки прошло 6 лет. Жалобы на отсутствие чувствительности нижней губы слева, части подбородка.. Как ей помочь? Стационар?Однозначно - хир.стом.вмешательство. Мое мнение. Ссылка на комментарий
_omega- Опубликовано 17 сентября, 2014 Поделиться Опубликовано 17 сентября, 2014 Вот вам в тему эндосвалки это надо же... Печаль! Ссылка на комментарий
Kolchanov Опубликовано 30 октября, 2014 Автор Поделиться Опубликовано 30 октября, 2014 Одолел, блин, стекловолокно. Как хорошо, что доктор метапекс в качестве силера использовал. Вся задача состояла в том, чтобы оставить за что ухватиться.http://s020.radikal.ru/i709/1410/32/d113acd3a59a.jpghttp://i008.radikal.ru/1410/f4/365fbbe8f6ef.jpghttp://i062.radikal.ru/1410/83/cf18693fa37c.jpg 5 Ссылка на комментарий
Ico Опубликовано 30 октября, 2014 Поделиться Опубликовано 30 октября, 2014 Молодец!! Ссылка на комментарий
Гарриевич Опубликовано 30 октября, 2014 Поделиться Опубликовано 30 октября, 2014 Отлично др. Колчанов, теперь делитесь последовательностью действий) Ссылка на комментарий
M@estro Опубликовано 30 октября, 2014 Поделиться Опубликовано 30 октября, 2014 Отлично др. Колчанов, теперь делитесь последовательностью действий) опили да вынул Штиглицами) Я так делаю,судя по фото - Константин тоже Ссылка на комментарий
Гарриевич Опубликовано 30 октября, 2014 Поделиться Опубликовано 30 октября, 2014 опили да вынул Штиглицами) Я так делаю,судя по фото - Константин тоже А я то думал ... http://images.vfl.ru/ii/1414702898/e832a8c7/6801191_m.jpg Про прощения за офтоп) 10 Ссылка на комментарий
Доктор Саша Опубликовано 31 октября, 2014 Поделиться Опубликовано 31 октября, 2014 А я то думал ...http://images.vfl.ru/ii/1414702898/e832a8c7/6801191_m.jpg Про прощения за офтоп) Ссылка на комментарий
M@estro Опубликовано 31 октября, 2014 Поделиться Опубликовано 31 октября, 2014 Про прощения за офтоп) Юр, настрой поднял 1 Ссылка на комментарий
229KAMA Опубликовано 2 ноября, 2014 Поделиться Опубликовано 2 ноября, 2014 (изменено) Силер ADSEAL фирмы meta biomed (южн. кор.) на основе эпоксидной смолы. Возникли вопросы по незнанию. 1.Пломбировать (на постоянку) с использованием гуты или без.? 2.Вобщем при использовании любых силеров на осн. эпок. смол обязат., рекомендовано или категорически нельзя использовать гут.? 3. Если по ошибке (понимаю что нельзя) вывести за верхушку приблизительно 1-мм или меньше смол. за верх. это слишком критично или нет. 4. Если критично, что можно предпринять по этому поводу.? (или поздно каится) Вопросы возникли с учетом возможной (нежелательной) ошибки в будущем. Если вопросы неправильно адресовал(извиняюсь) укажи направление. Спасибо. Изменено 2 ноября, 2014 пользователем 229KAMA Ссылка на комментарий
Kolchanov Опубликовано 2 ноября, 2014 Автор Поделиться Опубликовано 2 ноября, 2014 Только с гуттаперчей. Лучше не выводить ничего, но если выйдет немного, то катастрофы не будет. Вносите просто на бумажном или гуттаперчевом штифте пару-тройку раз и потом латеральте классически.Мне он не очень нравится. Довольно быстро густеет. Два канала отлатералить я еще успеваю, а вот в третьем гуттаперчины дополнительные уже залипать начинают.Не вздумайте каналонаполнителем пломбировать, пожалейте тех, кто будет перелечивать Эпоксидку выковыривать Очень сложно! Ссылка на комментарий
Ирина Игоревна Опубликовано 2 ноября, 2014 Поделиться Опубликовано 2 ноября, 2014 Использование гуттаперчи обязательно,причем силлера ддолжно быть минимальное колличество,в основном одна гуттаперча. Ссылка на комментарий
229KAMA Опубликовано 3 ноября, 2014 Поделиться Опубликовано 3 ноября, 2014 Понял. Теперь убедился что не показалось , что быстро стынет. При работе на пробниках из хирургии было такое впечатление. Ваш ответ убедил оканчательно. (может неработать им.?) Попросить начальство что нибудь другое подкинуть. Про коллег понял , постараюсь не косячить. Чтоб тапками не закидали. Тогда из вашего опыта прохождения нескольких тысяч километров тунелей . какому силеру отдаете предпочтение.( понимаю что все индивидуально.) Но все же есть наиболее часто эксплуатируемые в работе. Ссылка на комментарий
Рекомендуемые сообщения
Для публикации сообщений создайте учётную запись или авторизуйтесь
Вы должны быть пользователем, чтобы оставить комментарий
Создать аккаунт
Зарегистрируйте новый аккаунт в нашем сообществе. Это очень просто!
Регистрация нового пользователяВойти
Уже есть аккаунт? Войти в систему.
Войти