zybnaya feya Опубликовано 30 января, 2011 Автор Поделиться Опубликовано 30 января, 2011 Я это каждый день наблюдаю- привезли браши отстойные(дешевка какая-то в целях экономии), их сгибаешь и 90% ломаются на перешейке, если большая полость, то даже нежно касаясь и быстро нанося бонд иногда приходится второй брать- облазят как ..... не знаю что.Да у нас иногда тоже такие попадаются. Только капнешь бонт-одина ручка остается))) Я тогда со спонжика отрываю поролон. Ссылка на комментарий
zybnaya feya Опубликовано 31 января, 2011 Автор Поделиться Опубликовано 31 января, 2011 http://i039.radikal.ru/1101/4d/8f82a3c67ff8.jpgЯ ж угомониться не могу с этим триоксидентом)))) Сегодня тоже замешала 2 (старый и новый) и сфоткала. Нормальная контрастность у обоих. Я наверное неправильно мешаю может,уже сама запуталась. Но тут тоже я сама замешивала до той же консистенции,а результат совершенно противоположный получился. Слева новая пачка,справа старая http://s007.radikal.ru/i301/1101/03/c7126ac037d7.jpg замес одинаковых шариков- по цвету новый серее и застыл быстрее. Толщина шариков 2 мм примерноhttp://s011.radikal.ru/i318/1101/d3/bf278307261c.jpg РВГ снимок показал в принципе одинаковую картину. Старый даже опаковее . Почему у меня на снимках все прозначно.... http://s48.radikal.ru/i122/1101/e5/8bcc607c9994.jpg Ссылка на комментарий
Alisa st Опубликовано 31 января, 2011 Поделиться Опубликовано 31 января, 2011 У меня в розовой упаковке-как слева. Снимок я выше выкладывала. Ссылка на комментарий
zybnaya feya Опубликовано 31 января, 2011 Автор Поделиться Опубликовано 31 января, 2011 У меня в розовой упаковке-как слева. Снимок я выше выкладывала.Да,я ваш видела снимок- опаковый. Мои вы видели Ссылка на комментарий
DokDent Опубликовано 31 января, 2011 Поделиться Опубликовано 31 января, 2011 'Kivilgar' date='31.1.2011, 0:53' post='219446'] Я это каждый день наблюдаю- привезли браши отстойные(дешевка какая-то в целях экономии), их сгибаешь и 90% ломаются на перешейке, если большая полость, то даже нежно касаясь и быстро нанося бонд иногда приходится второй брать- облазят как ..... не знаю что. А,вот оно что...А я второй день их ломаю (новые выложили,но упаковку не видела,они в контейнере-нажимаешь на кнопку,браш выскакивает).Сгибаю,а он чпок... Ссылка на комментарий
Джима Опубликовано 31 января, 2011 Поделиться Опубликовано 31 января, 2011 'Kivilgar' date='31.1.2011, 0:53' post='219446']А,вот оно что...А я второй день их ломаю (новые выложили,но упаковку не видела,они в контейнере-нажимаешь на кнопку,браш выскакивает).Сгибаю,а он чпок...жёлтенькие? Ссылка на комментарий
Magdalena Опубликовано 31 января, 2011 Поделиться Опубликовано 31 января, 2011 Это в одно посещение и СВШ поставила и каналы залепила Фея, подскажите, для распломбирования Софт-Кора боры Постспейс подойдут? А то у нас часть носителей от термофила, большая же часть - Софт Кор, и те и другие грею в Софткоровской печке. Ссылка на комментарий
DokDent Опубликовано 31 января, 2011 Поделиться Опубликовано 31 января, 2011 жёлтенькие?Жёлтые,белые и голубые,но у всех толщина поролона одинаковая,форма цилиндрическая Ссылка на комментарий
Kivilgar Опубликовано 31 января, 2011 Поделиться Опубликовано 31 января, 2011 Жёлтые,белые и голубые,но у всех толщина поролона одинаковая,форма цилиндрическаяГолубые и красные. Наверно производитель отечественный. Ссылка на комментарий
DokDent Опубликовано 31 января, 2011 Поделиться Опубликовано 31 января, 2011 'zybnaya feya' date='31.1.2011, 16:05' post='219518']Я ж угомониться не могу с этим триоксидентом)) Прям научно-исследовательская лаборатория для Владмивы .Нормальный у тебя замес и контрастность на рвг.Может просто слой тоньше.У Натальи и Андрея вон какие каналы широченные! Ссылка на комментарий
Alisa st Опубликовано 31 января, 2011 Поделиться Опубликовано 31 января, 2011 .Нормальный у тебя замес и контрастность на рвг.Может просто слой тоньше.У Натальи и Андрея вон какие каналы широченные!+1 тоже думаю, что в этом дело. Ссылка на комментарий
DokDent Опубликовано 31 января, 2011 Поделиться Опубликовано 31 января, 2011 Голубые и красные. Наверно производитель отечественный.Не знаю чьи,посмотрю если не забуду Ссылка на комментарий
Kivilgar Опубликовано 31 января, 2011 Поделиться Опубликовано 31 января, 2011 Не знаю чьи,посмотрю если не забудуВо,во, я тоже гляну и РАССКАЖУ. Ссылка на комментарий
DokDent Опубликовано 31 января, 2011 Поделиться Опубликовано 31 января, 2011 Во,во, я тоже гляну и РАССКАЖУ. Договорились Ссылка на комментарий
zybnaya feya Опубликовано 31 января, 2011 Автор Поделиться Опубликовано 31 января, 2011 Фея, подскажите, для распломбирования Софт-Кора боры Постспейс подойдут? А то у нас часть носителей от термофила, большая же часть - Софт Кор, и те и другие грею в Софткоровской печке.Подойдет.У нас тоже печка есть софт кор. Разницы особой нет . Грею ей,когда термафиловская занята Ссылка на комментарий
Magdalena Опубликовано 1 февраля, 2011 Поделиться Опубликовано 1 февраля, 2011 Подойдет.У нас тоже печка есть софт кор. Разницы особой нет . Грею ей,когда термафиловская занятаСпасибо. Ссылка на комментарий
zybnaya feya Опубликовано 1 февраля, 2011 Автор Поделиться Опубликовано 1 февраля, 2011 'zybnaya feya' date='31.1.2011, 16:05' post='219518']Прям научно-исследовательская лаборатория для Владмивы .Нормальный у тебя замес и контрастность на рвг.Может просто слой тоньше.У Натальи и Андрея вон какие каналы широченные!Да может слой и тоньше,но опаковость не должна исчезать. А на моих снимках вообще ее нет. Ссылка на комментарий
Стоматологша Опубликовано 3 февраля, 2011 Поделиться Опубликовано 3 февраля, 2011 (изменено) Мое эндо - звиняйте за четкость, но что есть. Визиограф Трофи. Снимки делают ассы, не знаем как их приучить делать снимки четче и с кламерами. 26 47 35 36 35 Изменено 3 февраля, 2011 пользователем Стоматологша Ссылка на комментарий
Ildarad Опубликовано 3 февраля, 2011 Поделиться Опубликовано 3 февраля, 2011 Вооот, другое дело 47 и 36 имхо недолет, латералка?.кламп не видно, 35 преэндо восстановление бы сделал,но в общем очень прилично Ссылка на комментарий
zybnaya feya Опубликовано 3 февраля, 2011 Автор Поделиться Опубликовано 3 февраля, 2011 (изменено) Мое эндо - звиняйте за четкость, но что есть. Визиограф Трофи. Снимки делают ассы, не знаем как их приучить делать снимки четче и с кламерами. А вы их конфеткой поманите))))) Или кламп не снимать просто не пробовали? Помогает Если честно я в недоумении Или АЛ ваш уже приговорил долго жить,или...? Не приймите за придирку,но на абсолютно каждом снимке серьезные "недолеты" http://s54.radikal.ru/i145/1102/f1/7c9a575f88f0.jpg 35 только ниче так,но он кадидат на удаление... Изменено 3 февраля, 2011 пользователем zybnaya feya Ссылка на комментарий
Kivilgar Опубликовано 3 февраля, 2011 Поделиться Опубликовано 3 февраля, 2011 (изменено) Если честно я в недоумении Или АЛ ваш уже приговорил долго жить,или...? Не приймите за придирку,но на абсолютно каждом снимке серьезные "недолеты" 35 только ниче так,но он кадидат на удаление...+1. Анкера-раскольники еще все портят. С таким апекслокатором всегда надо сначала прощупать пародонт. Изменено 3 февраля, 2011 пользователем Kivilgar Ссылка на комментарий
zybnaya feya Опубликовано 3 февраля, 2011 Автор Поделиться Опубликовано 3 февраля, 2011 С таким апекслокатором всегда надо сначала прощупать пародонт.Дык глаз же "микроскоп" как уже говорилось у доктора. Не понимаю тогда в чем проблема "надолетов"-руки есть,инструменты есть,МИКРОСКОП есть... мистика Ссылка на комментарий
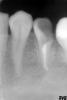
Carioznik Опубликовано 3 февраля, 2011 Поделиться Опубликовано 3 февраля, 2011 (изменено) А35 только ниче так,но он кадидат на удаление...От чего 35 зуб кандидат на удаление? Из-за апекса, вроде-как, чрезмерно расширенного ?Аааа, тут два каких то 35........ Изменено 3 февраля, 2011 пользователем Carioznik Ссылка на комментарий
Inspiration Опубликовано 3 февраля, 2011 Поделиться Опубликовано 3 февраля, 2011 Стоматологша...эээ...простите,а это вы как бэ удачные работы показали?более менее зуб 35(если закрыть глаза на соотношение коронка\корень и вообщем то сомнительные показания к сохранению зуба и отсутствие коффердама в принципе,вот что-то не верится мне что ассистент не сумел сделать снимок 35 с кламмером........)остальное на 3с плюсом,я сегодня добрая)))в 26 три канала чё та...больше нету?47 апекс приблизительно угадывается,тогда недолет36-видимо под короночку подготовка такая?аж 3 анкерочка)))пардонте,35 красавец,если бы не анкер..и отсутствие коффердама мадам,откуда наезды на Фею такие? Ссылка на комментарий
zybnaya feya Опубликовано 3 февраля, 2011 Автор Поделиться Опубликовано 3 февраля, 2011 От чего 35 зуб кандидат на удаление? Из-за апекса, вроде-как, чрезмерно расширенного ?Аааа, тут два каких то 35........ тот который был с анкером (не по каналу и возможной трещиной) и дно кариозной полости заканчивается на середине корня. http://i037.radikal.ru/1102/a8/7e93899579e5.jpghttp://s013.radikal.ru/i325/1102/1a/215245722636.jpg Ссылка на комментарий
Рекомендуемые сообщения
Для публикации сообщений создайте учётную запись или авторизуйтесь
Вы должны быть пользователем, чтобы оставить комментарий
Создать аккаунт
Зарегистрируйте новый аккаунт в нашем сообществе. Это очень просто!
Регистрация нового пользователяВойти
Уже есть аккаунт? Войти в систему.
Войти