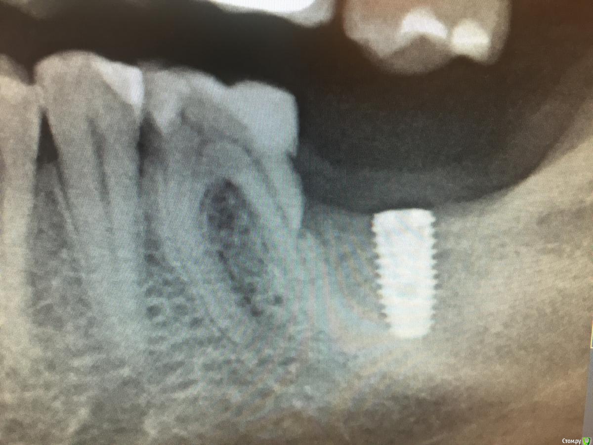
АнтонТЛТ Опубликовано 31 мая, 2020 Поделиться Опубликовано 31 мая, 2020 Был не давно фейл. Шестерка с пропилом дистального корня. Решили рискнуть и поставили 7ку. Всё было ок. Но потом кость ушла до уровня пропила и имплантат начал оголяться. В итоге шестерка и имплантат удалены. Буду ставить 2 имплантата. Если будет в той клинике смена на следующей неделе, то скину снимки. 2 Ссылка на комментарий
Irouil Опубликовано 31 мая, 2020 Поделиться Опубликовано 31 мая, 2020 Был не давно фейл. Шестерка с пропилом дистального корня. Решили рискнуть и поставили 7ку. Всё было ок. Но потом кость ушла до уровня пропила и имплантат начал оголяться. В итоге шестерка и имплантат удалены. Буду ставить 2 имплантата. Если будет в той клинике смена на следующей неделе, то скину снимки.А лунку как вели? ФДМ/ИФДМ/ВК? Графтинг? Ссылка на комментарий
Женька Опубликовано 13 июня, 2020 Поделиться Опубликовано 13 июня, 2020 Тоже спрошу. Почему при удалении НЧ моляров при инфильтрации пациент испытывает боль (ну понятно, толстая кортика не даёт адекватно диффундировать анестетику к тканям зуба и нерву), а при имплантации в адентичных участках моляров НЧ мы используем инфильтрацию намеренно и она работает?? И как вы поступаете, если идёте одномоментно? Торусалочку и РГ контроль + планирование длины имплантата? или есть способы обхода проводниковой при удалении? Ссылка на комментарий
kramer Опубликовано 13 июня, 2020 Поделиться Опубликовано 13 июня, 2020 Почему при удалении НЧ моляров при инфильтрации пациент испытывает боль (ну понятно, толстая кортика не даёт адекватно диффундировать анестетику к тканям зуба и нерву), а при имплантации в адентичных участках моляров НЧ мы используем инфильтрацию намеренно и она работает?? При удалении реагируют рецепторы периодонта, в случае имплантации требуется обезболить только десну и надкостницу. А в чем проблема сделать ради имплантации проводниковую? Кто-то говорит, что если имплантировать под инфильтрацией нет шанса повредить нерв и т.п. Как по мне это ерунда, пациент может почувствовать дискомфорт при сверлении, вы подумаете, что уже карябаете по нерву, а на самом деле до него еще километр. В итоге имплантат не заглублен. Зачем это нужно? 1 Ссылка на комментарий
Irouil Опубликовано 13 июня, 2020 Поделиться Опубликовано 13 июня, 2020 Тоже спрошу. Почему при удалении НЧ моляров при инфильтрации пациент испытывает боль (ну понятно, толстая кортика не даёт адекватно диффундировать анестетику к тканям зуба и нерву), а при имплантации в адентичных участках моляров НЧ мы используем инфильтрацию намеренно и она работает?? И как вы поступаете, если идёте одномоментно? Торусалочку и РГ контроль + планирование длины имплантата? или есть способы обхода проводниковой при удалении?Семь бед (вопросов), один ответ - интралигаментарная Ссылка на комментарий
Женька Опубликовано 13 июня, 2020 Поделиться Опубликовано 13 июня, 2020 Семь бед (вопросов), один ответ - интралигаментарнаяПо мне так, для удаления моляра её всё равно маловато...По крайней мере иногда приходят полечить периодонтит, терапевт ставит инфильтрацию и лигаментарку и берёт, но не полноценно и это всего лишь лечение А в чем проблема сделать ради имплантации проводниковую? Кто-то говорит, что если имплантировать под инфильтрацией нет шанса повредить нерв и т.п. Как по мне это ерунда, пациент может почувствовать дискомфорт при сверлении, вы подумаете, что уже карябаете по нерву, а на самом деле до него еще километр. В итоге имплантат не заглублен. Зачем это нужно? Непроблема... мой старший коллега, у которого я многому научился, например, нижнюю челюсть имплантирует только под проводниковой (дистальные отделы конечно же). Аргументируя тем, что он работает по шаблонам, где глубина препа ограничена. Зачем подвергать человека лишним болевым ощущениям - его слова. Ссылка на комментарий
Irouil Опубликовано 14 июня, 2020 Поделиться Опубликовано 14 июня, 2020 По мне так, для удаления моляра её всё равно маловато...По крайней мере иногда приходят полечить периодонтит, терапевт ставит инфильтрацию и лигаментарку и берёт, но не полноценно и это всего лишь лечение Удаляю под интралигаментаркой ретенированные восьмёрки Ну, и все остальное внизу. Никто не жалуется Ссылка на комментарий
Irouil Опубликовано 14 июня, 2020 Поделиться Опубликовано 14 июня, 2020 Зачем подвергать человека лишним болевым ощущениям - его слова.Странные приоритеты: сам по себе проводник достаточно болезненный + его действие (когда немеет пол головы на длительное время) очень дискомфортно Ради банальной имплантации логичнее кольнуть десенку и через 15 минут отправить человека есть мороженку Ссылка на комментарий
It'sGeorgy Опубликовано 15 июня, 2020 Поделиться Опубликовано 15 июня, 2020 (изменено) Собсно буду краток.Подскажите пожалуйста, просверливает ли костный трепан вроде такого кортикалку? Или предварительно необходима декортикация, а уже потом забор?Может ли такой трепан полностью заменить одноразовые скребки в клинике? Экономическая ситуация сложная, боюсь, скоро со скребками прощаться буду... Изменено 15 июня, 2020 пользователем It'sGeorgy Ссылка на комментарий
АнтонТЛТ Опубликовано 15 июня, 2020 Поделиться Опубликовано 15 июня, 2020 Скребками не пользуюсь лет 6. Лучше брать ACM neobiotech, удобнее во многих отношениях. 1 Ссылка на комментарий
It'sGeorgy Опубликовано 15 июня, 2020 Поделиться Опубликовано 15 июня, 2020 Скребками не пользуюсь лет 6. Лучше брать ACM neobiotech, удобнее во многих отношениях.Спасибо за ответ.Погуглил этот Нео Трепан. Правильно ли понял, что кортикалку он проходит и технически декортикация не нужна? Ссылка на комментарий
АнтонТЛТ Опубликовано 15 июня, 2020 Поделиться Опубликовано 15 июня, 2020 Он сделан так, чтобы брать только кортикалку, пружинка-стопер ограничивает погружение на 4мм вроде. Из губки много кости не получится из-за её пористости. И работать им нужно без сильного давления. А то некоторые начинают им работать как трепаном и он в итоге может сломаться. В отличии от jeil он берет стружку как скребок, а не кашу. Отличие от того, что Вы выкладывали, заключается в том, что есть визуализация полученного объёма. Плюс менее жесткое проваливание из-за амортизирующей пружинки. Если надумайте брать, то поищите ACM старого образца с непрозрачной пружиной, она многоразовая и её можно автоклавировать. 1 Ссылка на комментарий
It'sGeorgy Опубликовано 15 июня, 2020 Поделиться Опубликовано 15 июня, 2020 Он сделан так, чтобы брать только кортикалку, пружинка-стопер ограничивает погружение на 4мм вроде. Из губки много кости не получится из-за её пористости. И работать им нужно без сильного давления. А то некоторые начинают им работать как трепаном и он в итоге может сломаться. В отличии от jeil он берет стружку как скребок, а не кашу. Отличие от того, что Вы выкладывали, заключается в том, что есть визуализация полученного объёма. Плюс менее жесткое проваливание из-за амортизирующей пружинки. Если надумайте брать, то поищите ACM старого образца с непрозрачной пружиной, она многоразовая и её можно автоклавировать.Спасибо большое, понял. Ссылка на комментарий
АнтонТЛТ Опубликовано 16 июня, 2020 Поделиться Опубликовано 16 июня, 2020 Был не давно фейл. Шестерка с пропилом дистального корня. Решили рискнуть и поставили 7ку. Всё было ок. Но потом кость ушла до уровня пропила и имплантат начал оголяться. В итоге шестерка и имплантат удалены. Буду ставить 2 имплантата. Если будет в той клинике смена на следующей неделе, то скину снимки.Постоянно забывал сфоткать 1 Ссылка на комментарий
Bier Опубликовано 19 июня, 2020 Поделиться Опубликовано 19 июня, 2020 Постоянно забывал сфоткатьмне кажется я даже знаю, кто его пропилил )) Ссылка на комментарий
АнтонТЛТ Опубликовано 19 июня, 2020 Поделиться Опубликовано 19 июня, 2020 мне кажется я даже знаю, кто его пропилил ))Это пациент из клиники, в которой ты тоже раньше работал)) Ссылка на комментарий
Bier Опубликовано 19 июня, 2020 Поделиться Опубликовано 19 июня, 2020 Это пациент из клиники, в которой ты тоже раньше работал))Я узнал ) Но так люди могут подумать, что я это сделал ) Ссылка на комментарий
Женька Опубликовано 27 июня, 2020 Поделиться Опубликовано 27 июня, 2020 Ещё вопрос назрел. Иногда при ушивании получаются так называемые асиметричные узлы...как этого избежать? Ссылка на комментарий
Irouil Опубликовано 27 июня, 2020 Поделиться Опубликовано 27 июня, 2020 Это что такое? Ссылка на комментарий
Женька Опубликовано 27 июня, 2020 Поделиться Опубликовано 27 июня, 2020 Он затягивается не ровно, а именно не симметрично.Будет возможность покажу. Ссылка на комментарий
Irouil Опубликовано 27 июня, 2020 Поделиться Опубликовано 27 июня, 2020 Он затягивается не ровно, а именно не симметрично.Будет возможность покажу.Симметрично относительно чего? Краев раны? Ссылка на комментарий
Fin Опубликовано 1 июля, 2020 Поделиться Опубликовано 1 июля, 2020 Он затягивается не ровно, а именно не симметрично.Будет возможность покажу.Вы имеете что он тянет слизистую с одной стороны больше чем с другой?Или о том что расположение узла получается не по середине? Ссылка на комментарий
Fin Опубликовано 1 июля, 2020 Поделиться Опубликовано 1 июля, 2020 У меня вот назрел еще один вопрос. Уважаемые коллеги разъясните мне по поводу кератенизированной слизистой вокруг импланта. Встречаюсь с такой ситуацией, что мы имеем минимальные 2-3мм кератенизированной слизистой, а общую высоту слизистой около 3-4 мм. Получается что у нас керат. слизистая подвижная (после выкручивания формика, при движении подвижной слизистой так же двигается). Что делаем а таком случае? Подсаживаем ССТ или СДТ? Ссылка на комментарий
Irouil Опубликовано 1 июля, 2020 Поделиться Опубликовано 1 июля, 2020 Ставим формик пошире) Ссылка на комментарий
Fin Опубликовано 2 июля, 2020 Поделиться Опубликовано 2 июля, 2020 Ставим формик пошире)Если я правильно понимаю то у нас получится просто более плотная манжетка при этом скорее всего мы потеряем часть объема КС, но она останется подвижной. Ссылка на комментарий
Рекомендуемые сообщения
Для публикации сообщений создайте учётную запись или авторизуйтесь
Вы должны быть пользователем, чтобы оставить комментарий
Создать аккаунт
Зарегистрируйте новый аккаунт в нашем сообществе. Это очень просто!
Регистрация нового пользователяВойти
Уже есть аккаунт? Войти в систему.
Войти