Джима Опубликовано 15 июля, 2018 Поделиться Опубликовано 15 июля, 2018 Гипохлорит бывает 1,25 концентрации.. в шприц для промывки набираешь 2мл воды и 1мл 3% гипохлор. 1%.не, перчатки снимать не могу, время дорого. Ссылка на комментарий
Джима Опубликовано 15 июля, 2018 Поделиться Опубликовано 15 июля, 2018 в плёнку , пожалуй, идея))) Спасибо! Ссылка на комментарий
CRAZYDUCK Опубликовано 15 июля, 2018 Автор Поделиться Опубликовано 15 июля, 2018 На самом деле не так и много времени на это уходит - но не снимать перчатки , Канеш быстрее Ссылка на комментарий
CRAZYDUCK Опубликовано 15 июля, 2018 Автор Поделиться Опубликовано 15 июля, 2018 https://c.radikalНе хочется коронку , но дистальная стенка очень тонкая , почти прозрачная (указала стрелкой ), даже голубой платок через неё видно. Ребёнку 5 лет , значит -пломба должна простоять ещё лет 5. А пломба такого размера не простоит 2 Ссылка на комментарий
Джима Опубликовано 15 июля, 2018 Поделиться Опубликовано 15 июля, 2018 не переживаешь за такие недо? Ссылка на комментарий
CRAZYDUCK Опубликовано 15 июля, 2018 Автор Поделиться Опубликовано 15 июля, 2018 Недо ли ? Щелчок был, а снимок двухмерен Ссылка на комментарий
Джима Опубликовано 15 июля, 2018 Поделиться Опубликовано 15 июля, 2018 неее, я не про коронку, коронка я про ампутацию в мезиальной части. Ссылка на комментарий
CRAZYDUCK Опубликовано 15 июля, 2018 Автор Поделиться Опубликовано 15 июля, 2018 Ампутация на уровне устьев . Мта не додавила . Ссылка на комментарий
CRAZYDUCK Опубликовано 15 июля, 2018 Автор Поделиться Опубликовано 15 июля, 2018 Для общего развития .Иглы для анестезии ( по типу внутрикостной ) для временного прикуса .они толстые и короткие , заточены лазером и входят в кость как по маслу . Это если проводниковую по какой-либо причине не можете сделать во временном прикусе . 3 Ссылка на комментарий
CRAZYDUCK Опубликовано 25 июля, 2018 Автор Поделиться Опубликовано 25 июля, 2018 Лечение 3.7 , глубокий кариес. Восстановление градиа АО3,эстелайт А2. Краситель фиссур положила глубоко и на выходе его не видно .Только фото с кариес -маркёром надо местами поменять . Фото препа перед пломбированием не окончательное , я делаю фото рассматриваю его и ещё препарирую ( убираю то, что ещё на фото увидела), а потом мне лень делать фото . 3 Ссылка на комментарий
сирена Опубликовано 25 июля, 2018 Поделиться Опубликовано 25 июля, 2018 Для общего развития .Иглы для анестезии ( по типу внутрикостной ) для временного прикуса .они толстые и короткие , заточены лазером и входят в кость как по маслу . Это если проводниковую по какой-либо причине не можете сделать во временном прикусе .Да,очень хорошие иглы,делала ими инфильтрацию(у меня подлиннее были),вообще дети прокола не чувствуют. 2 Ссылка на комментарий
CRAZYDUCK Опубликовано 26 июля, 2018 Автор Поделиться Опубликовано 26 июля, 2018 Лечение 8.5 ( в каналах йодотин , коронка), удаление 8.4.Удаляю в коффердаме ( если в это же посещение лечение , если запись только на удаление - специально коффердам не одеваю. Изолирую , лечим 8.5, фиксирую коронку , растягиваю платок и удаляю 8.4 , потом снимаю коффердам . В коффердаме не видно щипцов . Ещё перед удалением в коффердаме же добавляю анестезию . 1 Ссылка на комментарий
Тань Опубликовано 26 июля, 2018 Поделиться Опубликовано 26 июля, 2018 Удаляю в коффердаме ( если в это же посещение лечение , если запись только на удаление - специально коффердам не одеваю. Изолирую , лечим 8.5, фиксирую коронку , растягиваю платок и удаляю 8.4 , потом снимаю коффердам . В коффердаме не видно щипцов . Ещё перед удалением в коффердаме же добавляю анестезию .Как это анестезию в коффердаме? Ссылка на комментарий
CRAZYDUCK Опубликовано 27 июля, 2018 Автор Поделиться Опубликовано 27 июля, 2018 Как это анестезию в коффердаме? платок отодвигаю и по сосочкам добавляю анестезию . На фото стрелочкой показала. Ссылка на комментарий
CRAZYDUCK Опубликовано 3 августа, 2018 Автор Поделиться Опубликовано 3 августа, 2018 Немного скрытого кариеса Ссылка на комментарий
CRAZYDUCK Опубликовано 3 августа, 2018 Автор Поделиться Опубликовано 3 августа, 2018 И ещё Ссылка на комментарий
CRAZYDUCK Опубликовано 3 августа, 2018 Автор Поделиться Опубликовано 3 августа, 2018 Насчёт кофердама двух последних случаев - был сложный день ( в плане налаживаниям контакта с пациентами - мальчишки 4 года и 6 лет), поэтому изоляция так себе . В такие дни думаешь , что все как-то сложно и тяжело ( в моральном плане ), но после лечения ребёнок улыбается тебе , тараторит про подарок , который он себе выбрал и что выберет в следующий раз . И радостный идёт домой . Ссылка на комментарий
Mura777 Опубликовано 3 августа, 2018 Поделиться Опубликовано 3 августа, 2018 Всем привет , у меня такая беда.. когда ставлю мта при ампутации иногда чуть кровь просачивается по бокам это нормальное явление или же это не допустимо и возможно какое то обострение после этого ?! Полностью мта не заливает , но бывает по бокам просачивается Ссылка на комментарий
Mura777 Опубликовано 3 августа, 2018 Поделиться Опубликовано 3 августа, 2018 И ещёЕсть фотки с матрицами и чем полируете контакты ? Если без воды полировать возможно ли перегреть зуб? 1 Ссылка на комментарий
CRAZYDUCK Опубликовано 4 августа, 2018 Автор Поделиться Опубликовано 4 августа, 2018 Есть фотки с матрицами и чем полируете контакты ? Если без воды полировать возможно ли перегреть зуб? нет , фото с матрицами не делаю . Без воды ? Наверное , смотря как - если дым коромыслом , то будет перегрев . Я полирую борами , дисками полировочными , и карбидными щеточками Керр. Я попозже сфотографирую, если надо . Ссылка на комментарий
CRAZYDUCK Опубликовано 4 августа, 2018 Автор Поделиться Опубликовано 4 августа, 2018 Всем привет , у меня такая беда.. когда ставлю мта при ампутации иногда чуть кровь просачивается по бокам это нормальное явление или же это не допустимо и возможно какое то обострение после этого ?! Полностью мта не заливает , но бывает по бокам просачивается не должно подтекать в идеале . Если кровит - то лучше экстирпацию сделать. Ссылка на комментарий
Mura777 Опубликовано 4 августа, 2018 Поделиться Опубликовано 4 августа, 2018 нет , фото с матрицами не делаю . Без воды ? Наверное , смотря как - если дым коромыслом , то будет перегрев . Я полирую борами , дисками полировочными , и карбидными щеточками Керр. Я попозже сфотографирую, если надо .Буду ждать) Ссылка на комментарий
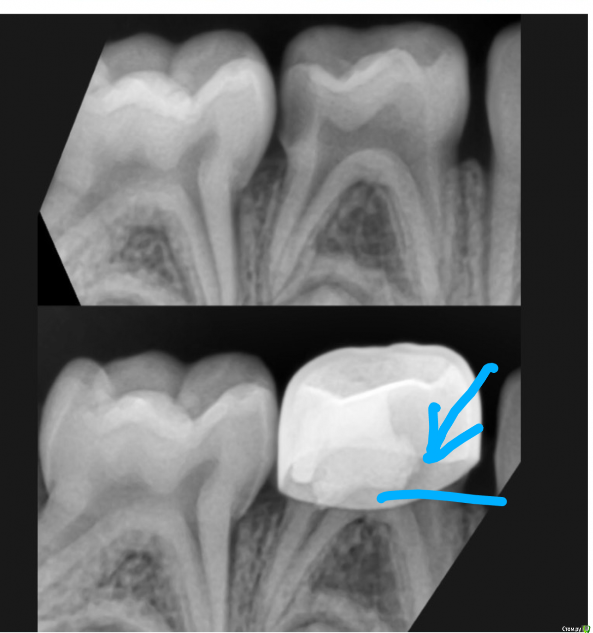
CRAZYDUCK Опубликовано 5 августа, 2018 Автор Поделиться Опубликовано 5 августа, 2018 8 лет Ксюша,4.6 глубокий кариес , анестезия проводниковая , коффердам , преп турбиной и микромотором , рондофлекс 27 мкм , точек вскрытия нет , но дно полости глубокое , градиа и эстелайт Восстановление . На снимке обвела кариозную полость и рога пульпы . 2 Ссылка на комментарий
Vladimirov Опубликовано 7 августа, 2018 Поделиться Опубликовано 7 августа, 2018 Док,а не будете ли вы так любезны выложить описание R-снимков молочных зубов Ссылка на комментарий
Рекомендуемые сообщения
Для публикации сообщений создайте учётную запись или авторизуйтесь
Вы должны быть пользователем, чтобы оставить комментарий
Создать аккаунт
Зарегистрируйте новый аккаунт в нашем сообществе. Это очень просто!
Регистрация нового пользователяВойти
Уже есть аккаунт? Войти в систему.
Войти