CRAZYDUCK Опубликовано 9 июня, 2018 Автор Поделиться Опубликовано 9 июня, 2018 Ребят , вы испытываете стресс во время работы с детьми ? Как справляетесь со стрессом ? Я раньше сильно волновалась если что-то шло не по плану моему и кофе пила МНОГО , а теперь спокойнее стала , мудрее - поняла , что кофе без сладенького вредно . Теперь кофе со сладеньким борются со стрессом 1 2 Ссылка на комментарий
Mura777 Опубликовано 9 июня, 2018 Поделиться Опубликовано 9 июня, 2018 Доброй ночи , как научится делать анестезию на н/ч чтоб обезболить молочные 5ки? Кто поможет мне , делаю инфильтрат в проекцию корней и добавляю в сосочки , но как только вскрываюсь ребенок начинает плакать((( и так каждый раз.. Вроде десна вокруг беленькая ишемия есть , но опять же провал.. Есть кто сможет помочь в этой проблеме или же снять видео с подробными этапами? Очень прошу о помощи Ссылка на комментарий
CRAZYDUCK Опубликовано 10 июня, 2018 Автор Поделиться Опубликовано 10 июня, 2018 Доброй ночи , как научится делать анестезию на н/ч чтоб обезболить молочные 5ки? Кто поможет мне , делаю инфильтрат в проекцию корней и добавляю в сосочки , но как только вскрываюсь ребенок начинает плакать((( и так каждый раз.. Вроде десна вокруг беленькая ишемия есть , но опять же провал.. Есть кто сможет помочь в этой проблеме или же снять видео с подробными этапами? Очень прошу о помощи сколько вводите анестетика ? Ссылка на комментарий
crown Опубликовано 10 июня, 2018 Поделиться Опубликовано 10 июня, 2018 Доброй ночи , как научится делать анестезию на н/ч чтоб обезболить молочные 5ки? Кто поможет мне , делаю инфильтрат в проекцию корней и добавляю в сосочки , но как только вскрываюсь ребенок начинает плакать((( и так каждый раз.. Вроде десна вокруг беленькая ишемия есть , но опять же провал.. Есть кто сможет помочь в этой проблеме или же снять видео с подробными этапами? Очень прошу о помощиЯ проводниковую делаю на пятерки Ссылка на комментарий
сирена Опубликовано 10 июня, 2018 Поделиться Опубликовано 10 июня, 2018 Доброй ночи , как научится делать анестезию на н/ч чтоб обезболить молочные 5ки? Кто поможет мне , делаю инфильтрат в проекцию корней и добавляю в сосочки , но как только вскрываюсь ребенок начинает плакать((( и так каждый раз.. Вроде десна вокруг беленькая ишемия есть , но опять же провал.. Есть кто сможет помочь в этой проблеме или же снять видео с подробными этапами? Очень прошу о помощи А Вы 1:100 делаете?Вон Е.Скатова на ФБ пишет,что у неё 100 проц берёт инфильтрация на н/ч пятёрки.Я в последнее время делала по типу ментальной,создавала основное депо между 4-5 и просила ребёнка(или маму) поджать "шарик" пальцами к челюсти.Кстати,у нас же есть тема про анестезиюhttp://forum.stom.ru/topic/32396-kakim-anestetikom-polzuetes-v-detskoj-stoma/ Ссылка на комментарий
Mura777 Опубликовано 10 июня, 2018 Поделиться Опубликовано 10 июня, 2018 А Вы 1:100 делаете?Вон Е.Скатова на ФБ пишет,что у неё 100 проц берёт инфильтрация на н/ч пятёрки.Я в последнее время делала по типу ментальной,создавала основное депо между 4-5 и просила ребёнка(или маму) поджать "шарик" пальцами к челюсти.Кстати,у нас же есть тема про анестезиюhttp://forum.stom.ru/topic/32396-kakim-anestetikom-polzuetes-v-detskoj-stoma/да, и как результат? Ссылка на комментарий
Mura777 Опубликовано 10 июня, 2018 Поделиться Опубликовано 10 июня, 2018 сколько вводите анестетика ?больше половины уходит на инфильтрат , делаю в проекции 4 и 5 и вот остаток пытаюсь сделать между 4 и 5 в сосочки. Все бывает хорошо , но как только дохожу до рога пульпы там начинается истерика Ссылка на комментарий
Mura777 Опубликовано 10 июня, 2018 Поделиться Опубликовано 10 июня, 2018 То , что правильно делать между 5 и 4 в проекции корня чуть ниже там находится ментальное отверстие получается? Как в него попасть ? И бывают ли осложнения? Я просто пытаюсь понять неужели одной инфильтрацией можно обезболить молочку 5 на 100% как пишут коллеги Ссылка на комментарий
St. Опубликовано 10 июня, 2018 Поделиться Опубликовано 10 июня, 2018 вы испытываете стресс во время работы с детьми ? Еще какой!Я кстати, сегодня благодаря Вашему видео сделала анестезию детю ( достаточно взрослому, аж 11 лет) совсем безболезненно. Барышня даже не заметила что укол был)))) 1 Ссылка на комментарий
CRAZYDUCK Опубликовано 10 июня, 2018 Автор Поделиться Опубликовано 10 июня, 2018 (изменено) Mura777 В зависимости от возраста внутрисосочковую анестезию можно назвать внутрикостной. При введении точно не выливается анестетик и белеет полностью язычно десна ( на всю поверхность 5 зуба )? Изменено 10 июня, 2018 пользователем CRAZYDUCK Ссылка на комментарий
CRAZYDUCK Опубликовано 10 июня, 2018 Автор Поделиться Опубликовано 10 июня, 2018 Еще какой!Я кстати, сегодня благодаря Вашему видео сделала анестезию детю ( достаточно взрослому, аж 11 лет) совсем безболезненно. Барышня даже не заметила что укол был)))) это клёво !!!! Ссылка на комментарий
сирена Опубликовано 10 июня, 2018 Поделиться Опубликовано 10 июня, 2018 То , что правильно делать между 5 и 4 в проекции корня чуть ниже там находится ментальное отверстие получается? Как в него попасть ? И бывают ли осложнения? Я просто пытаюсь понять неужели одной инфильтрацией можно обезболить молочку 5 на 100% как пишут коллегиНе надо в него попадать,само продиффундирует.Делаю просто инфильтрацию.Ну,всё равно не 100 проц. 1 Ссылка на комментарий
Mura777 Опубликовано 10 июня, 2018 Поделиться Опубликовано 10 июня, 2018 Mura777 В зависимости от возраста внутрисосочковую анестезию можно назвать внутрикостной. При введении точно не выливается анестетик и белеет полностью язычно десна ( на всю поверхность 5 зуба )?побелело , но полного ишемического кольца не было . Я могу лечить глубокий кариес прям все отлично с анестезией , но как только вскрываю рог появляется боль. Может вы посоветуете литературу где описаны эти методы обезболивания или же видео про анестезию? С 4ками проблем вообще нет , вот именно 5ки когда рядом нет ещё 6 в основном они проблемные. Ссылка на комментарий
Mura777 Опубликовано 10 июня, 2018 Поделиться Опубликовано 10 июня, 2018 У кого сколько времени уходит на анестезию коллеги? Ссылка на комментарий
CRAZYDUCK Опубликовано 10 июня, 2018 Автор Поделиться Опубликовано 10 июня, 2018 У кого сколько времени уходит на анестезию коллеги? почитайте тему про анестезию , Вам выше ссылку написали . Я анестезию делаю медленно - не засекала точно , вместе с аппликационной - поэтапно минут 7 до одевания коффердама. У меня всегда полное белое кольцо даже дистально за 5 , есть ещё способ добавлять анестетик за 5 кой , я постараюсь во вторник снять видео . Ссылка на комментарий
CRAZYDUCK Опубликовано 10 июня, 2018 Автор Поделиться Опубликовано 10 июня, 2018 В этой книге все доступно описано .еще много проводится вебинаров по детской стоматологии , поищите . 1 Ссылка на комментарий
Mura777 Опубликовано 10 июня, 2018 Поделиться Опубликовано 10 июня, 2018 Спасибо большое за разъяснение щас скачаю , по поводу видео было бы вообще идеально Ссылка на комментарий
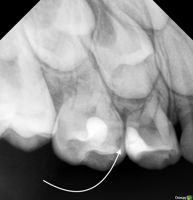
CRAZYDUCK Опубликовано 13 июня, 2018 Автор Поделиться Опубликовано 13 июня, 2018 Можно добавлять дистально за 6 или 5 временным , стрелочкой показала место вкола , вдоль продольной борозды . Срез иглы направляем медиально к поверхности корня 6 или 5 временного. , видео проблематично оказалось снять - нужен третий человек. Но по фото хорошо видео и понятно ( на мой взгляд ). На фото - побелевшая десна , но этой анестезии хватит только для 4 временного -я для 5 ещё добавлю( уходит примерно пол-торы карпулы) . Можете проводниковую попробовать - найдёте свой способ . Ссылка на комментарий
CRAZYDUCK Опубликовано 13 июня, 2018 Автор Поделиться Опубликовано 13 июня, 2018 Гипоплазия 4.6 - врожденный дефект развития эмали . На третьем фото - после обработки 27 мкм песком оксида алюминия kavorondoflex - здоровая эмаль так не «уходит» от рондофлекса. Восстановление - Gradia Direct A2. Ссылка на комментарий
CRAZYDUCK Опубликовано 14 июня, 2018 Автор Поделиться Опубликовано 14 июня, 2018 Очередная история про скрытый кариес . Все зубы пролечили и успокоились . Пропали на год -два . А кариес растёт и радуется . Коллеги ,часто так бывает ? Часто . Но не в этом случае . Осмотр спустя 7 месяцев помог выявить скрытую кариозную полость на 5.5 зубе . RVG ( хочу diagnocam Ссылка на комментарий
CRAZYDUCK Опубликовано 14 июня, 2018 Автор Поделиться Опубликовано 14 июня, 2018 (изменено) Герметизация - тоже лучше в коффердаме после рондофлексаC82099FE-DDED-46BA-B092-CB8899DC634C.MOV Изменено 14 июня, 2018 пользователем CRAZYDUCK 1 Ссылка на комментарий
CRAZYDUCK Опубликовано 14 июня, 2018 Автор Поделиться Опубликовано 14 июня, 2018 Кариес 1.6 зуба - кариес маркер использую для наглядности ( и простое развитая сочетание нежно-голубого и розового ).последнее фото - не дополировала ещё .6C4F9AB7-3CCC-4EC9-A9B5-A41CEBE5260B.MOV 2 Ссылка на комментарий
Тань Опубликовано 14 июня, 2018 Поделиться Опубликовано 14 июня, 2018 Кариес 1.6 зуба - кариес маркер использую для наглядности ( и простое развитая сочетание нежно-голубого и розового ).последнее фото - не дополировала ещё .Красота!!! Только вот кламп: какой кламп Вы фиксируете в таких случаях (герметизация и преп рондофлексом) ?, чтобы десну не давил и не больно? Или анестезию всё таки делаете? Ссылка на комментарий
CRAZYDUCK Опубликовано 14 июня, 2018 Автор Поделиться Опубликовано 14 июня, 2018 Красота!!! Только вот кламп: какой кламп Вы фиксируете в таких случаях (герметизация и преп рондофлексом) ?, чтобы десну не давил и не больно? Или анестезию всё таки делаете? делаю анестезию , не умею пока безболезненно . В этом вся соль , так сказать . Детям постарше можно и рондофлексом аккуратно без платка , но я разлюбила без коффердама работать . Ссылка на комментарий
Тань Опубликовано 14 июня, 2018 Поделиться Опубликовано 14 июня, 2018 Да вот же, даже софткламп иногда тоже больно Ссылка на комментарий
Рекомендуемые сообщения
Для публикации сообщений создайте учётную запись или авторизуйтесь
Вы должны быть пользователем, чтобы оставить комментарий
Создать аккаунт
Зарегистрируйте новый аккаунт в нашем сообществе. Это очень просто!
Регистрация нового пользователяВойти
Уже есть аккаунт? Войти в систему.
Войти