krokomot Опубликовано 26 июля, 2016 Поделиться Опубликовано 26 июля, 2016 А че?, такая ДЖима с фиксой)) Ссылка на комментарий
Джима Опубликовано 26 июля, 2016 Поделиться Опубликовано 26 июля, 2016 вот видишь, Кость, уже Крокомот прикалывается. не, пусть оно пляшет куда угодно, это золото, может, и красиво, но не в таком количестве Ссылка на комментарий
Kolchanov Опубликовано 26 июля, 2016 Автор Поделиться Опубликовано 26 июля, 2016 Я тебе скинул видео одно, там дядька ссорокалетние работы показывает, все как вчера сделано. С керамикой даже 10 летних работ днем с огнем. Соглашайся на золото! Благородный металл, хороший вклад Ссылка на комментарий
Джима Опубликовано 26 июля, 2016 Поделиться Опубликовано 26 июля, 2016 (изменено) ну да... можно внукам свой трупик завещать.. ну или сокамерникам по концлагерю, это как повезёт.а куда скинул? вроде всё везде проверила - нигде нет ничего. помню, давно ещё фотки с золотом на контакте показывал, там ещё сепаратор такой прикольный был.и вообще. золото, керамика.. у свекрови вон три моих штамповки десять лет уже стоят и не чирикают. упс.. это не сюда, это в тему "Покайся" надо было.. Изменено 26 июля, 2016 пользователем Джима Ссылка на комментарий
Kolchanov Опубликовано 27 июля, 2016 Автор Поделиться Опубликовано 27 июля, 2016 Просто пломбасы. Наполняем форум, а то все в отпусках, либо на фейсбук посваливали.http://s019.radikal.ru/i641/1607/f4/263f48514f97.jpghttp://i062.radikal.ru/1607/a2/f5d6fd902fc1.jpghttp://s020.radikal.ru/i709/1607/9f/e5a68bd00bc5.jpghttp://s018.radikal.ru/i515/1607/0c/59d9eb94adb8.jpghttp://s05.radikal.ru/i178/1607/b7/1e29d3bef5fb.jpghttp://s019.radikal.ru/i620/1607/9d/00fce104ff64.jpghttp://i075.radikal.ru/1607/a0/65e2e89c0415.jpghttp://s017.radikal.ru/i432/1607/24/58b038d10c16.jpg 2 Ссылка на комментарий
Kolchanov Опубликовано 27 июля, 2016 Автор Поделиться Опубликовано 27 июля, 2016 Классика. Теперь уже при малейшем подозрении на поддесневик препарирую без коффера, сразу сношу десну и т.д. Раньше еще что-то пытался дурака валять, а теперь нафиг. Пациенты все нормально переносят, видимо, это не такая уж и проблема.http://s48.radikal.ru/i122/1607/fb/e1cc9cf993e0.jpghttp://s017.radikal.ru/i427/1607/35/4e53e374c9f6.jpghttp://s017.radikal.ru/i435/1607/a7/609e5ae96316.jpghttp://s018.radikal.ru/i522/1607/d6/ce0a92688420.jpghttp://s019.radikal.ru/i635/1607/60/d349b4e2be2a.jpghttp://s008.radikal.ru/i303/1607/ef/e4c81ec32ba7.jpghttp://s41.radikal.ru/i093/1607/1d/fb66aabb38ae.jpg На одной работе доктор есть, который умудряется такие работы делать без коагуляции и т.п. Как!? Как у него это выходит? Надо бы на мастер-класс попасть... 4 Ссылка на комментарий
anvladd Опубликовано 27 июля, 2016 Поделиться Опубликовано 27 июля, 2016 зажимаете десну клином и все дела Ссылка на комментарий
Kolchanov Опубликовано 27 июля, 2016 Автор Поделиться Опубликовано 27 июля, 2016 Да. И все дела. Как же я сразу не догадался? Ссылка на комментарий
anvladd Опубликовано 27 июля, 2016 Поделиться Опубликовано 27 июля, 2016 не знаю. я зтак делаю и ничего не течет совсем Ссылка на комментарий
anvladd Опубликовано 27 июля, 2016 Поделиться Опубликовано 27 июля, 2016 (изменено) салова еще рассказывала в далеком 2005 ,можно пластиковым клином проткнуть десну,сосочек ниже уровня дефекта и вуаля. заживает норм. Изменено 27 июля, 2016 пользователем anvladd Ссылка на комментарий
Kolchanov Опубликовано 27 июля, 2016 Автор Поделиться Опубликовано 27 июля, 2016 Матрицу ведь надо зажать клином ниже края полости, а если там десна, она ведь тоже может сжиматься до известных пределов. У меня при более-менее глубокой контактной полости клин просто выпирает и все.Потом, матрицу важно не только прижать, но и чтобы анатомия была, чтобы не промялась матрица клином. Короче, мне и к вам надо на мастер-класс. Сколько денег и куда ехать? 3 Ссылка на комментарий
Kolchanov Опубликовано 27 июля, 2016 Автор Поделиться Опубликовано 27 июля, 2016 Пластиковые не использую. Муть а не клинья. Это я про монолитные прозрачные такие. 1 Ссылка на комментарий
krokomot Опубликовано 27 июля, 2016 Поделиться Опубликовано 27 июля, 2016 При глубоком поддесневые тромбую фумку под матрицу, клин не реально туда засунуть, иногда бывает сначала восстанавливают придесневую стенку главное без подтикания, потом допрепарирую ее до анатомии, снова матрица, реставрация уже из наддесневого расположения с клином Ссылка на комментарий
Kolchanov Опубликовано 27 июля, 2016 Автор Поделиться Опубликовано 27 июля, 2016 С фумкой очень редко получается. Чаще она выдавливает матрицу и вылазит под нее. Я видел на фейсбуке какую-то хитрую конструкцию из флосса обмотанного фумкой, но так и не допер, как ее делать и что с ней делать. Поднятие стенки делал, но, это случаи когда совсем все плохо. Где-то был случай, покажу, если найду. Ссылка на комментарий
parallax Опубликовано 27 июля, 2016 Поделиться Опубликовано 27 июля, 2016 Константин, при глубоких поддесневых дефектах единственное реальное средство - матрицедержатель Тоффльмайра. Ссылка на комментарий
Kolchanov Опубликовано 27 июля, 2016 Автор Поделиться Опубликовано 27 июля, 2016 (изменено) Причем не обычный, а под углом изогнутый и матрицы greater curve они же banana bands. Только тащить надо издалече. Я пытался ТОР ВМ удочку закинуть, они мне наплели с три короба, но ничего не сделали. Изменено 27 июля, 2016 пользователем Kolchanov Ссылка на комментарий
parallax Опубликовано 27 июля, 2016 Поделиться Опубликовано 27 июля, 2016 Да, под углом изогнутый - Senior - вообще кошерный. На все случаи. Ссылка на комментарий
Kolchanov Опубликовано 29 июля, 2016 Автор Поделиться Опубликовано 29 июля, 2016 Решил за рыбу деньги не платить. Сам согнулhttp://s018.radikal.ru/i503/1607/01/581550f076c1.jpg 2 Ссылка на комментарий
Kolchanov Опубликовано 1 августа, 2016 Автор Поделиться Опубликовано 1 августа, 2016 Билд-ап этого случая - http://forum.stom.ru/topic/21885-endosvalka/?p=557871http://s017.radikal.ru/i415/1607/61/a5534e38251e.jpghttp://s020.radikal.ru/i714/1608/8a/b12716ed31d5.jpgЖаль не в смыкусе на километр , а то так бы оставил ходить 5 Ссылка на комментарий
Паращук Роман Опубликовано 1 августа, 2016 Поделиться Опубликовано 1 августа, 2016 Костя,можешь сделать пару фото после колчанирования десны через неделю вторую? Спасибо. Ссылка на комментарий
Kolchanov Опубликовано 1 августа, 2016 Автор Поделиться Опубликовано 1 августа, 2016 Хорошо. Вот тут где-то месяц - http://forum.stom.ru/topic/31450-chto-delat-s-zubom/?p=532517И в этой теме фото в сообщениях 104 и 156 принадлежат одной пациентке. Там между 6кой и 7кой десну убирал. Ссылка на комментарий
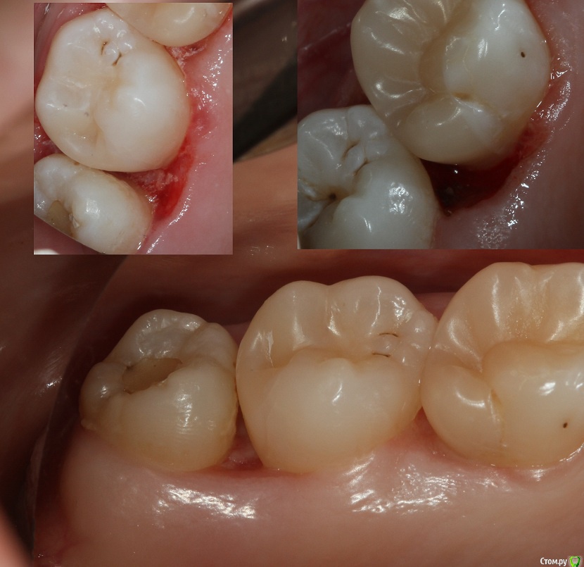
Kolchanov Опубликовано 3 августа, 2016 Автор Поделиться Опубликовано 3 августа, 2016 Вот.Между 6 и 7 примерно месяц десне. Между 7 и 8 примерно недели две. 7 Ссылка на комментарий
Kolchanov Опубликовано 7 августа, 2016 Автор Поделиться Опубликовано 7 августа, 2016 Смотрите, как лихо кольца зубы двигают! Я даже не знал. Надо взять на вооружение. Это за три дняhttp://s018.radikal.ru/i520/1608/57/7d97a9d48e7c.jpghttp://s018.radikal.ru/i520/1608/0b/a57b74f1f7e6.jpghttp://s017.radikal.ru/i430/1608/85/622071bcf47c.jpg 3 Ссылка на комментарий
Джима Опубликовано 7 августа, 2016 Поделиться Опубликовано 7 августа, 2016 чё, я пользуюсь иногда. только сама эти кольца когда носила, 12 лет назад, когда брекеты первый раз надела - думала, за эти три дня с голоду помру. очень больно, кушать вообще невозможно. может, просто болевой порог низкий, не знаю.. 1 Ссылка на комментарий
vse32 Опубликовано 7 августа, 2016 Поделиться Опубликовано 7 августа, 2016 Смотрите, как лихо кольца зубы двигают! Я даже не знал. Надо взять на вооружение. Это за три дня Так.А теперь расскажите мне пожалуйста.1. Что за кольца.2. Для чего раздвигать.3. Как вставлять. 2 Ссылка на комментарий
Рекомендуемые сообщения
Для публикации сообщений создайте учётную запись или авторизуйтесь
Вы должны быть пользователем, чтобы оставить комментарий
Создать аккаунт
Зарегистрируйте новый аккаунт в нашем сообществе. Это очень просто!
Регистрация нового пользователяВойти
Уже есть аккаунт? Войти в систему.
Войти