Evikrol Опубликовано 24 марта, 2015 Автор Поделиться Опубликовано 24 марта, 2015 Сегодня ставил сразу после удаления. Появилось много вопросов, особенно в планировании. Если ставить во фронте то заглубляться надо на 3 мм от эцс, а вбоковом отделе тоже правило? Ссылка на комментарий
Евгений Ходыкин Опубликовано 25 марта, 2015 Поделиться Опубликовано 25 марта, 2015 Сегодня ставил сразу после удаления. Появилось много вопросов, особенно в планировании. Если ставить во фронте то заглубляться надо на 3 мм от эцс, а вбоковом отделе тоже правило?И в боковом тоже. Не всегда получается только... Ссылка на комментарий
Bier Опубликовано 25 марта, 2015 Поделиться Опубликовано 25 марта, 2015 Сегодня ставил сразу после удаления. Появилось много вопросов, особенно в планировании. Если ставить во фронте то заглубляться надо на 3 мм от эцс, а вбоковом отделе тоже правило?Если имплантат с конусом, то 3-3,5мм от шейки будущего зуба, если плоскостной, то 2 мм Ссылка на комментарий
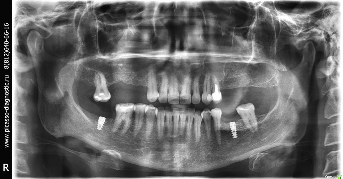
Evikrol Опубликовано 29 марта, 2015 Автор Поделиться Опубликовано 29 марта, 2015 (изменено) открытый синус лифтинг или 8 мм? Изменено 29 марта, 2015 пользователем Evikrol Ссылка на комментарий
Tabula Rasa Опубликовано 29 марта, 2015 Поделиться Опубликовано 29 марта, 2015 (изменено) можно отстучать и поставить 8,правда по ширине не очень Изменено 29 марта, 2015 пользователем IlyaPM Ссылка на комментарий
bullbull Опубликовано 30 марта, 2015 Поделиться Опубликовано 30 марта, 2015 8888.jpgоткрытый синус лифтинг или 8 ммЗакрытый и 10 1 Ссылка на комментарий
Евгений Ходыкин Опубликовано 30 марта, 2015 Поделиться Опубликовано 30 марта, 2015 8888.jpgоткрытый синус лифтинг или 8 мм? Вы в замер высоты кортикальную пластинку то вообще не включили. Ссылка на комментарий
Evikrol Опубликовано 30 марта, 2015 Автор Поделиться Опубликовано 30 марта, 2015 А есть смысл 10 толкать, может лучше 8 заглубить? Ссылка на комментарий
Evikrol Опубликовано 2 апреля, 2015 Автор Поделиться Опубликовано 2 апреля, 2015 (изменено) Сегодня ставил имплантат на верхней челюсти, кость скорей всего D3/4. Все имплантаты заякорились хорошо, а один прокручивается. Как правильно поступать в таком случае? И почему так вышло? Или где можно про такие нюансы почитать? Adin touareg S Изменено 2 апреля, 2015 пользователем Evikrol Ссылка на комментарий
Евгений Ходыкин Опубликовано 2 апреля, 2015 Поделиться Опубликовано 2 апреля, 2015 В одном случае Вы резьбу сорвали значит. Ушивайте и 4мес смотрите. Должен прижиться. 1 Ссылка на комментарий
Evikrol Опубликовано 2 апреля, 2015 Автор Поделиться Опубликовано 2 апреля, 2015 Уф. Успокоили Ссылка на комментарий
Bier Опубликовано 2 апреля, 2015 Поделиться Опубликовано 2 апреля, 2015 Если имплантат хоть как то держится в кости и не выпадает, он с большой долей вероятности приживется. 4 Ссылка на комментарий
Evikrol Опубликовано 2 апреля, 2015 Автор Поделиться Опубликовано 2 апреля, 2015 Вчера приходила пациентка на консультацию, ей в госке поставили имплантаты которые через две недеги выпали. Если вдруг такое произойдёт какая правильная тактика, взять шире или длиннее (при условии что есть куда углублятся) и тут же поставить новый. Либо ждать месяц, если нет куда расширятся и ставить снова? Ссылка на комментарий
Evikrol Опубликовано 2 апреля, 2015 Автор Поделиться Опубликовано 2 апреля, 2015 (изменено) спасибо. Я очень благодарен всем кто откликается, благодарен Эмилю Гургеноаичу за форум. У меня нет опытного коллеги который мог бы подсказать, форум и коллеги которые делятся своим опытом сильно выручают. Ещё раз огромное спасибо.Если имплантат хоть как то держится в кости и не выпадает, он с большой долей вероятности приживется. спасибо. Я очень благодарен всем кто откликается, благодарен Эмилю Гургеновичу за форум. У меня нет опытного коллеги который мог бы подсказать, форум и коллеги которые делятся своим опытом сильно выручают. Ещё раз огромное спасибо. Изменено 2 апреля, 2015 пользователем Evikrol 2 Ссылка на комментарий
Военный Врач Опубликовано 2 апреля, 2015 Поделиться Опубликовано 2 апреля, 2015 Вчера приходила пациентка на консультацию, ей в госке поставили имплантаты которые через две недеги выпали. Если вдруг такое произойдёт какая правильная тактика, взять шире или длиннее (при условии что есть куда углублятся) и тут же поставить новый. Либо ждать месяц, если нет куда расширятся и ставить снова? В любом случае смотреть и успокоиться. При отсутствии опыта-я бы выкрутил дождался заживления и поставить новый. Сейчас бы поступил -заменив на больший диаметр и длину при условии отсутствия гнойного отделяемого. Про адин можете спрашивать-поделюсь чем богат Ссылка на комментарий
syrovovec Опубликовано 3 апреля, 2015 Поделиться Опубликовано 3 апреля, 2015 Вчера приходила пациентка на консультацию, ей в госке поставили имплантаты которые через две недеги выпали. Если вдруг такое произойдёт какая правильная тактика, взять шире или длиннее (при условии что есть куда углублятся) и тут же поставить новый. Либо ждать месяц, если нет куда расширятся и ставить снова?Подождал бы минимум месяц и поставил новый, либо шире и длиннее либо с компрессорами.сразу переставлять не рискнул, он же не просто так выпали Ссылка на комментарий
Bier Опубликовано 3 апреля, 2015 Поделиться Опубликовано 3 апреля, 2015 важно сделать кюретаж лунки. Выпадение возможно произошло из-за фиброинтеграции и в лунке может образоваться рубцовая ткань. Ее надо выскрести до голой кости. я жду месяц после этого и ставлю Ссылка на комментарий
JDS Опубликовано 4 апреля, 2015 Поделиться Опубликовано 4 апреля, 2015 Здравствуйте! А в лунке как при удалении создаете сгусток и все?? Ссылка на комментарий
syrovovec Опубликовано 4 апреля, 2015 Поделиться Опубликовано 4 апреля, 2015 Так точно! 1 Ссылка на комментарий
Evikrol Опубликовано 9 апреля, 2015 Автор Поделиться Опубликовано 9 апреля, 2015 На нашем форуме пациентка выкладывала снимок этот. Какова тактика ведения в таких ситуациях? Освежить края и занаво ушить? И почему так происходит? у меня тоже было что то похожее. Или можно оставить и наблюдать? Ссылка на комментарий
red_butler Опубликовано 9 апреля, 2015 Поделиться Опубликовано 9 апреля, 2015 На нашем форуме пациентка выкладывала снимок этот. Какова тактика ведения в таких ситуациях? Освежить края и занаво ушить? И почему так происходит? у меня тоже было что то похожее. Или можно оставить и наблюдать?Снимок и ставить ФДМ. Причина в плохой мобилизации/ушивании, субкрестальной установке импланта или не достаточном объеме твердых и мягких тканей 2 Ссылка на комментарий
Evikrol Опубликовано 21 апреля, 2015 Автор Поделиться Опубликовано 21 апреля, 2015 Спасибо. Ссылка на комментарий
Evikrol Опубликовано 21 апреля, 2015 Автор Поделиться Опубликовано 21 апреля, 2015 Подскажите пожалуйста, почему такие кучки неаккуратные получились? Я не качественно отслоился? Может надо было две дырки сделать, потому что отслаивал куда хватало длины куреты. И справа скорей придётся ещё доложить в обл 14 при установки имплантатов. Через пол года обязательно сделаю кт перед имплантацией. Ссылка на комментарий
KIS Опубликовано 22 апреля, 2015 Поделиться Опубликовано 22 апреля, 2015 (изменено) image.jpgПодскажите пожалуйста, почему такие кучки неаккуратные получились? Я не качественно отслоился? Может надо было две дырки сделать, потому что отслаивал куда хватало длины куреты. И справа скорей придётся ещё доложить в обл 14 при установки имплантатов. Через пол года обязательно сделаю кт перед имплантацией.окно можно сделать более овальным (шире). При введении графта, нужно его не просто свалить как асфальт с самосвала, а распределить в стороны. А чтобы распределить в стороны, хорошо отслоится в стороны. Через месяца 3-4 сделаете кт, может и пневмотизация сделает свое дело в вашу пользу. И возможно при имплантации сделаете закрытый синус и все. У меня так было в работе. Изменено 22 апреля, 2015 пользователем KIS Ссылка на комментарий
Magomed Опубликовано 23 апреля, 2015 Поделиться Опубликовано 23 апреля, 2015 Снимок и ставить ФДМ. Причина в плохой мобилизации/ушивании, субкрестальной установке импланта или не достаточном объеме твердых и мягких тканейа если был синус и одномоментно имплантация!что меняет формирователь? Ссылка на комментарий
Рекомендуемые сообщения
Для публикации сообщений создайте учётную запись или авторизуйтесь
Вы должны быть пользователем, чтобы оставить комментарий
Создать аккаунт
Зарегистрируйте новый аккаунт в нашем сообществе. Это очень просто!
Регистрация нового пользователяВойти
Уже есть аккаунт? Войти в систему.
Войти