koreandr Опубликовано 21 сентября, 2017 Поделиться Опубликовано 21 сентября, 2017 А почему сеткой рискованно? Ссылка на комментарий
kamranchick Опубликовано 21 сентября, 2017 Поделиться Опубликовано 21 сентября, 2017 А почему сеткой рискованно?если нагноится, все выкручивать, долго по времени, попробую найти в чебнике было написано что не надо окна закрывать сетью Ссылка на комментарий
koreandr Опубликовано 21 сентября, 2017 Поделиться Опубликовано 21 сентября, 2017 (изменено) если нагноится, все выкручивать, долго по времени, попробую найти в чебнике было написано что не надо окна закрывать сетью так не из-за сетки же нагнаивается) она же риск нагноения не увеличивает) я ни в коем случае не рекомендую использовать сетку! Просто, два раза получилось так что поставка подвела и в клинике мембраны не было, либо был пародонкол. Так вот и пришлось сеткой закрывать. По-моему нет смысла искать альтернативные бюджетные мембраны для закрытия окна синуса. Изменено 21 сентября, 2017 пользователем koreandr Ссылка на комментарий
kriokov Опубликовано 21 сентября, 2017 Поделиться Опубликовано 21 сентября, 2017 чебнике было написано что не надо окна закрывать сетью если перфо здоровое, и решили закончить без синус лифта, на окно можно фольгу титановую, под ней точно кортикальная будет через 6 мес Ссылка на комментарий
kriokov Опубликовано 21 сентября, 2017 Поделиться Опубликовано 21 сентября, 2017 Так вот и пришлось сеткой закрывать. По-моему нет смысла искать альтернативные бюджетные мембраны для закрытия окна синуса. задачи при синусе какие?1/ только синус лифт2. синус лифт + болт3. синус лифт + горизонтально НКР4. синус лифт + горизонтально НКР + болт(все прочие варианты с вертикальным увеличением для простоты не берем)Первые два -- если выбор графта ксено, какая разница какая мембрана будет? Там нет давления , стеночные дефекты, задача разобщить ксено от мягких тканей. Делал с любой резорбируемой, и с алло тоже. Если пациент платит, еволюшн или аналог. Нет - любаяТретий вариант -- ксено хорошего производителя и его же коллагеновая мембрана, или кортикальная ксено, ну и варианты возможны.Синус с НКР и болтами сразу не делаю, старорежимная закалка давлеет. 1 Ссылка на комментарий
kamranchick Опубликовано 21 сентября, 2017 Поделиться Опубликовано 21 сентября, 2017 задачи при синусе какие?1/ только синус лифт2. синус лифт + болт3. синус лифт + горизонтально НКР4. синус лифт + горизонтально НКР + болт(все прочие варианты с вертикальным увеличением для простоты не берем)Первые два -- если выбор графта ксено, какая разница какая мембрана будет? Там нет давления , стеночные дефекты, задача разобщить ксено от мягких тканей. Делал с любой резорбируемой, и с алло тоже. Если пациент платит, еволюшн или аналог. Нет - любаяТретий вариант -- ксено хорошего производителя и его же коллагеновая мембрана, или кортикальная ксено, ну и варианты возможны.Синус с НКР и болтами сразу не делаю, старорежимная закалка давлеет. Что насчет закрытия окна ПРФками? Ссылка на комментарий
kriokov Опубликовано 21 сентября, 2017 Поделиться Опубликовано 21 сентября, 2017 Что насчет закрытия окна ПРФками?не пробовал Ссылка на комментарий
koreandr Опубликовано 21 сентября, 2017 Поделиться Опубликовано 21 сентября, 2017 задачи при синусе какие?1/ только синус лифт2. синус лифт + болт3. синус лифт + горизонтально НКР4. синус лифт + горизонтально НКР + болт(все прочие варианты с вертикальным увеличением для простоты не берем)Первые два -- если выбор графта ксено, какая разница какая мембрана будет? Там нет давления , стеночные дефекты, задача разобщить ксено от мягких тканей. Делал с любой резорбируемой, и с алло тоже. Если пациент платит, еволюшн или аналог. Нет - любаяТретий вариант -- ксено хорошего производителя и его же коллагеновая мембрана, или кортикальная ксено, ну и варианты возможны.Синус с НКР и болтами сразу не делаю, старорежимная закалка давлеет. я вас понимаю. Возможно вы меня не поняли. Я имел ввиду что пародонкол ужасен) его размачиваешь 40 минут, он не клеится к кости, при ушивании смещается вообщем буээ) смысл искать сомнительную выгоду, если платит пациент все равно. Тем более сейчас для небольших синусов можно купить половинчатую мембрану) Ссылка на комментарий
kamranchick Опубликовано 21 сентября, 2017 Поделиться Опубликовано 21 сентября, 2017 Мембраны сейчас около 7000 как минимум стоят, и хочется найти какие то аналоги... Ссылка на комментарий
kriokov Опубликовано 21 сентября, 2017 Поделиться Опубликовано 21 сентября, 2017 Мембраны сейчас около 7000 как минимум стоят, и хочется найти какие то аналоги... согласен, но альтернатив не много.- синус без мембраны если уверены, (не часто но делаю, особенно если доступ не большой)- эксперименты с отечественным производителем- алло ТМО Самара, но там алло, и пациенты по разному относятся к нему, и она не тонкая, толшина под 2 мм если размочишь как следует. - Эксперименты с соплями, кто работает Возможно вы меня не поняли. Я имел ввиду что пародонкол ужасен) его размачиваешь 40 минут, он не клеится к кости, при ушивании смещается вообщем буээ) смысл искать сомнительную выгоду, если платит пациент все равно. Тем более сейчас для небольших синусов можно купить половинчатую мембрану) Пародонкол не пользовал, Если пациент платит , я даже думать не буду, (и это факт, как хотите к этому относитесь), я просто буду применять то, что работает штатно ( в моих руках) Ссылка на комментарий
kamranchick Опубликовано 22 сентября, 2017 Поделиться Опубликовано 22 сентября, 2017 Парасорб резодент от фирмы Резорба как вариант 9000р и разделить ее на 3 части.С алло вообще не получается работать, как только пациенты спрашивают а что за кость и откуда она, сразу у них лицо становится как будто сьели лимон) Ссылка на комментарий
Evikrol Опубликовано 22 сентября, 2017 Автор Поделиться Опубликовано 22 сентября, 2017 Я видел закрываю окна гемостатической губкой смоченной в физрастворе. А Альвостазом закрывал кто? 2 1 Ссылка на комментарий
kriokov Опубликовано 22 сентября, 2017 Поделиться Опубликовано 22 сентября, 2017 Я видел закрываю окна гемостатической губкой смоченной в физрастворе. губка- почему бы и нет, смочил без фанатизма и между двух стекол сплющил, если окно не здоровое и без нкр, думаю прокатит, надо попробовать , она просто не даст графту из окна вывалиться пока шьем рану. Вообще то удобно обычной, чуть смоченной губкой уплотнять графт в субантральном пространстве. Альвостаз-- не готов использовать, там хрень всякая типа йдоформа. Ссылка на комментарий
АнтонТЛТ Опубликовано 22 сентября, 2017 Поделиться Опубликовано 22 сентября, 2017 Камран, рассмотри конектбиофарм. Мне очень понравились их материалы и графты и мембраны. По цене очень приятные. 3 Ссылка на комментарий
kamranchick Опубликовано 22 сентября, 2017 Поделиться Опубликовано 22 сентября, 2017 Камран, рассмотри конектбиофарм. Мне очень понравились их материалы и графты и мембраны. По цене очень приятные.Спасибо, глянем-с)) Ссылка на комментарий
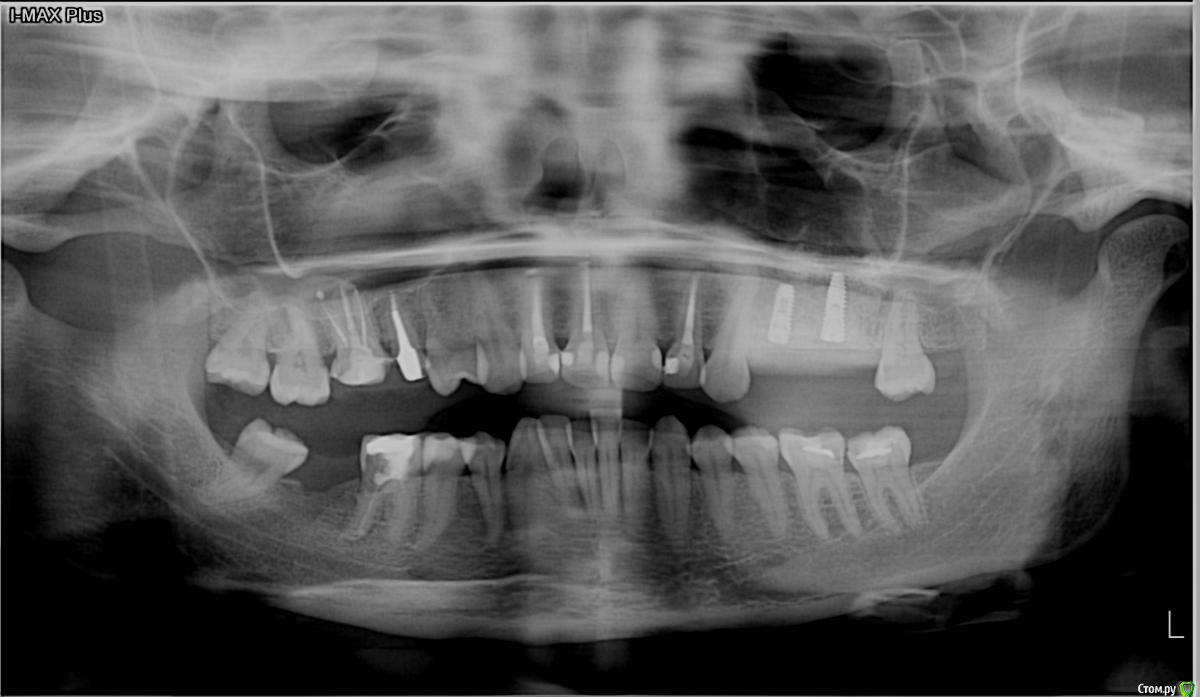
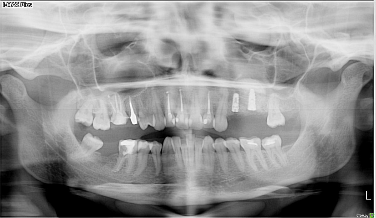
kamranchick Опубликовано 29 сентября, 2017 Поделиться Опубликовано 29 сентября, 2017 Господа, имеется проблема.Синус лифтинг с имплантацией произведено 7 сентябряНа этапе снятия швов все было хорошо.сегодня 29 сентября пациентка пришла с отеком, и говорит пару дней была температура... со стороны полости рта, гиперемия слизистой оболочки и боли в области проекции окнакакая тактика? Ссылка на комментарий
kriokov Опубликовано 29 сентября, 2017 Поделиться Опубликовано 29 сентября, 2017 сегодня 29 сентября пациентка пришла с отеком, и говорит пару дней была температура... со стороны полости рта, гиперемия слизистой оболочки и боли в области проекции окна какая тактика? разрез бы по прикрепленной сделал, с ревизией зоны, если каша отмыл бы графт, имплантаты удалять не стал бы. Антибактериальная и НПВС. Только разрез для ревизии ни в коем случае не по переходной. ИЗ носа бежит? Ссылка на комментарий
kamranchick Опубликовано 29 сентября, 2017 Поделиться Опубликовано 29 сентября, 2017 Из носа нет. Ничего не течёт.Антибиотики назначил, и нпвс,Жалко прикрепленную трогать, так клаассно затянулось.( Ссылка на комментарий
kriokov Опубликовано 29 сентября, 2017 Поделиться Опубликовано 29 сентября, 2017 по переходной нельзя , надо всегда в таких случаях через кератинизированную идти, чтоб потом лоскут не болтался а лежал, опирался на кость. 2 Ссылка на комментарий
Evikrol Опубликовано 29 сентября, 2017 Автор Поделиться Опубликовано 29 сентября, 2017 Такое же было, разрез, получил гной и выпавшие крупинки графта их отмыл ХГ, остальное оставил. Сейчас вроде норм, жду. В вашем случае сделал бы без открытого. Ссылка на комментарий
kamranchick Опубликовано 29 сентября, 2017 Поделиться Опубликовано 29 сентября, 2017 Такое же было, разрез, получил гной и выпавшие крупинки графта их отмыл ХГ, остальное оставил. Сейчас вроде норм, жду. В вашем случае сделал бы без открытого.Без открытого?Там в обломим 2.6 2 или 3 мм кости после удаления осталось... Ссылка на комментарий
kamranchick Опубликовано 29 сентября, 2017 Поделиться Опубликовано 29 сентября, 2017 по переходной нельзя , надо всегда в таких случаях через кератинизированную идти, чтоб потом лоскут не болтался а лежал, опирался на кость. Отправил пока на неделю таблеточки попить...Интересно, откуда инфицирование пошло... Ссылка на комментарий
Bier Опубликовано 29 сентября, 2017 Поделиться Опубликовано 29 сентября, 2017 можно вертикальный разрез делать и через него мыть 4 Ссылка на комментарий
kamranchick Опубликовано 30 сентября, 2017 Поделиться Опубликовано 30 сентября, 2017 Понял, спасибо.отслаиваться также как и на синусе, широко? Ссылка на комментарий
Evikrol Опубликовано 30 сентября, 2017 Автор Поделиться Опубликовано 30 сентября, 2017 Без открытого?Там в обломим 2.6 2 или 3 мм кости после удаления осталось...Значит показалось Ссылка на комментарий
Рекомендуемые сообщения
Для публикации сообщений создайте учётную запись или авторизуйтесь
Вы должны быть пользователем, чтобы оставить комментарий
Создать аккаунт
Зарегистрируйте новый аккаунт в нашем сообществе. Это очень просто!
Регистрация нового пользователяВойти
Уже есть аккаунт? Войти в систему.
Войти