SSTi Опубликовано 4 февраля, 2015 Автор Поделиться Опубликовано 4 февраля, 2015 И еще сборная солянка 6 Ссылка на комментарий
shishok Опубликовано 5 февраля, 2015 Поделиться Опубликовано 5 февраля, 2015 А на третьем кейсе это точно один и тот же зуб?(среднее фото) Ссылка на комментарий
SSTi Опубликовано 5 февраля, 2015 Автор Поделиться Опубликовано 5 февраля, 2015 А на третьем кейсе это точно один и тот же зуб?(среднее фото)Один и тот же. 1 Ссылка на комментарий
SSTi Опубликовано 9 февраля, 2015 Автор Поделиться Опубликовано 9 февраля, 2015 4 Ссылка на комментарий
Kolchanov Опубликовано 9 февраля, 2015 Поделиться Опубликовано 9 февраля, 2015 Блок-резекция альвотроса с зубом для более удобного доступа? Оригинально! Ссылка на комментарий
SSTi Опубликовано 28 февраля, 2015 Автор Поделиться Опубликовано 28 февраля, 2015 стандартный аар с пропущенными канальями 10 Ссылка на комментарий
SSTi Опубликовано 24 марта, 2015 Автор Поделиться Опубликовано 24 марта, 2015 http://s009.radikal.ru/i308/1503/9d/e681337d1bf1.png 6 Ссылка на комментарий
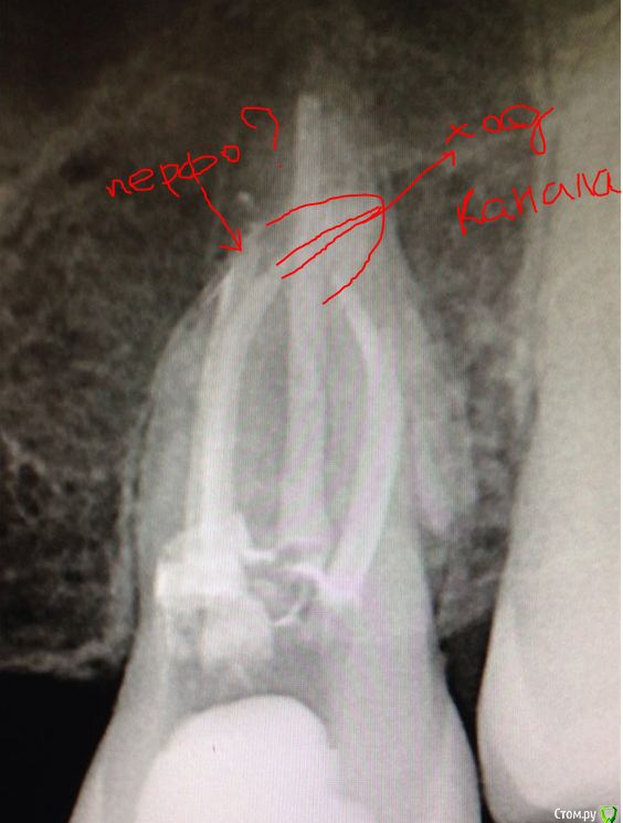
SSTi Опубликовано 25 марта, 2015 Автор Поделиться Опубликовано 25 марта, 2015 вот такой вот мм) http://s018.radikal.ru/i505/1503/8d/23fbb0550df0.png 8 Ссылка на комментарий
SSTi Опубликовано 9 мая, 2015 Автор Поделиться Опубликовано 9 мая, 2015 ищем клад) кто нашел косяк?http://s008.radikal.ru/i303/1505/00/12db93a3e1ef.jpg Ссылка на комментарий
Паращук Роман Опубликовано 9 мая, 2015 Поделиться Опубликовано 9 мая, 2015 апикальное перфо Ссылка на комментарий
SSTi Опубликовано 9 мая, 2015 Автор Поделиться Опубликовано 9 мая, 2015 нет. это мб и мб2 Кажется так.. Ссылка на комментарий
SSTi Опубликовано 9 мая, 2015 Автор Поделиться Опубликовано 9 мая, 2015 это меньшее из зол. здесь есть еще "3 в одном")апикальное перфо Ссылка на комментарий
Каплан Опубликовано 10 мая, 2015 Поделиться Опубликовано 10 мая, 2015 я бы даже сказал 3 в двух) Ссылка на комментарий
Руслан Рамазанов Опубликовано 10 мая, 2015 Поделиться Опубликовано 10 мая, 2015 Кажется так..согласен Ссылка на комментарий
Гарриевич Опубликовано 10 мая, 2015 Поделиться Опубликовано 10 мая, 2015 Покажи снимок с мш) Ссылка на комментарий
Kolchanov Опубликовано 10 мая, 2015 Поделиться Опубликовано 10 мая, 2015 Там в устье МВ что-ли перфа еще?Вот до чего эти поиски доводят. Либо потом пропадают и отламывают стенку подрытую. Надо билдапить сразу прям. Будет вот, как здесь и привет. Ссылка на комментарий
SSTi Опубликовано 10 мая, 2015 Автор Поделиться Опубликовано 10 мая, 2015 перфо нет Там в устье МВ что-ли перфа еще?Вот до чего эти поиски доводят. Либо потом пропадают и отламывают стенку подрытую. Надо билдапить сразу прям. Будет вот, как здесь и привет.смотрите в дб Ссылка на комментарий
Л Ю С Я Опубликовано 10 мая, 2015 Поделиться Опубликовано 10 мая, 2015 (изменено) Ступень или транспортация канала ? Изменено 10 мая, 2015 пользователем Л Ю С Я Ссылка на комментарий
_omega- Опубликовано 10 мая, 2015 Поделиться Опубликовано 10 мая, 2015 (изменено) перфо нет смотрите в дбМожет еще 1канал в дб? Там очертания есть?! И ступенька по моему Изменено 10 мая, 2015 пользователем _omega- Ссылка на комментарий
St. Опубликовано 10 мая, 2015 Поделиться Опубликовано 10 мая, 2015 Ну рассказывайте! Интересно же Ссылка на комментарий
SSTi Опубликовано 10 мая, 2015 Автор Поделиться Опубликовано 10 мая, 2015 http://s56.radikal.ru/i151/1505/59/5a53efc9e1e1.jpg http://s019.radikal.ru/i639/1505/9c/8e6d63304701.jpg в первое посещение был сломан профайл 20,04 в дб ( каналы были оооооочень узкие ), на кой черт я его взял в руки.оставлена гидроокись. во второе - обломок обошел 10, и сломал рядом 15 начал обходить 2 обломка. обошел) начал расширяться и ломанул 25. итого - 3 обломка в дб. вот такой я криворук) если честно - меня в конце уже бесил этот зуб и я сам Ссылка на комментарий
Ico Опубликовано 10 мая, 2015 Поделиться Опубликовано 10 мая, 2015 вот такой я криворук) если честно - меня в конце уже бесил этот зуб и я сам Опыт - ценное приобретение.У всех такое было Ссылка на комментарий
Kolchanov Опубликовано 10 мая, 2015 Поделиться Опубликовано 10 мая, 2015 Да, бывало Пусть пинают, но я применяю неназываемый в таких случаях. Точнее только жидкую его составляющую. Ссылка на комментарий
SSTi Опубликовано 10 мая, 2015 Автор Поделиться Опубликовано 10 мая, 2015 Да, бывало Пусть пинают, но я применяю неназываемый в таких случаях. Точнее только жидкую его составляющую.А зачем? Канал неинфицирован. Что там будет то?) пусть закроется цементом и живет спокойно) Ссылка на комментарий
Рекомендуемые сообщения
Для публикации сообщений создайте учётную запись или авторизуйтесь
Вы должны быть пользователем, чтобы оставить комментарий
Создать аккаунт
Зарегистрируйте новый аккаунт в нашем сообществе. Это очень просто!
Регистрация нового пользователяВойти
Уже есть аккаунт? Войти в систему.
Войти