Shaid Опубликовано 28 января, 2014 Поделиться Опубликовано 28 января, 2014 Здравствуйте, уважаемые коллеги! Читаю форум с сентября 2011 года по настоящее время. За это время узнал больше, чем за всю учебу в ВУЗе. До сих пор не решался выложить что-либо на ваш суд. Но надо развиваться дальше и то подтолкнуло меня на создание данной темы, в которой я буду выкладывать удачные и не очень случаи из моей практики.Буду благодарен за любую критику. Итак, неделю назад пришла пациентка с желанием "подлечить все". После ОПТГ было решено начать с 4.6 зуба(кроме того, этот зуб начали лечить месяц назад, положив мышьяк, но не долечили). Глянув на снимок и ужаснувшись от длины корней этого зуба(30 мм по замерам оптг), я начал лечение, в первое посещение - ампутировал(да-да, он был живой несмотря на рентгенологич.картину) пульпу и создал доступ в каналы, сделал билд-ап из Vitremer. Во второе - первично прошел каналы и поставил Метапасту(не хватило времени). В третье, сколол клампом свой билд-ап мех, мед.обр-ка Протейперами до f2 насколько хватило длины инструмента, дальше - ручные. Мыл гипохлоритом, гуттой перемешивал. Обтурация - латералка .02 конусными. 10 Ссылка на комментарий
Kivilgar Опубликовано 28 января, 2014 Поделиться Опубликовано 28 января, 2014 Здравствуйте, уважаемые коллеги! Читаю форум с сентября 2011 года по настоящее время. За это время узнал больше, чем за всю учебу в ВУЗе. До сих пор не решался выложить что-либо на ваш суд. Но надо развиваться дальше и то подтолкнуло меня на создание данной темы, в которой я буду выкладывать удачные и не очень случаи из моей практики.Буду благодарен за любую критику. Итак, неделю назад пришла пациентка с желанием "подлечить все". После ОПТГ было решено начать с 4.6 зуба(кроме того, этот зуб начали лечить месяц назад, положив мышьяк, но не долечили). Глянув на снимок и ужаснувшись от длины корней этого зуба(30 мм по замерам оптг), я начал лечение, в первое посещение - ампутировал(да-да, он был живой несмотря на рентгенологич.картину) пульпу и создал доступ в каналы, сделал билд-ап из Vitremer. Во второе - первично прошел каналы и поставил Метапасту(не хватило времени). В третье, сколол клампом свой билд-ап мех, мед.обр-ка Протейперами до f2 насколько хватило длины инструмента, дальше - ручные. Мыл гипохлоритом, гуттой перемешивал. Обтурация - латералка .02 конусными. Из любого ненужного композита билдап надо. Нормально получилось, молодец. 2 Ссылка на комментарий
Чертков Александр Опубликовано 28 января, 2014 Поделиться Опубликовано 28 января, 2014 Отлично! Мм канал не искали? Просто теней мезиальных много...не исключено что он там есть. Ссылка на комментарий
DmitrySH Опубликовано 28 января, 2014 Поделиться Опубликовано 28 января, 2014 Серьезная длина Молодец, хорошо справился Ссылка на комментарий
Shaid Опубликовано 29 января, 2014 Автор Поделиться Опубликовано 29 января, 2014 Отлично! Мм канал не искали? Просто теней мезиальных много...не исключено что он там есть. Если честно, конкретной цели: "найти!" не было. А так - по умолчанию, ультразвуком ковырял в стороны от устьев каналов. Ссылка на комментарий
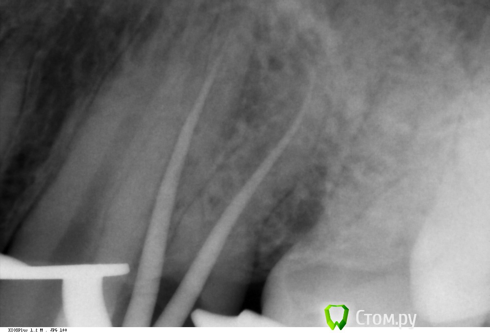
Shaid Опубликовано 29 января, 2014 Автор Поделиться Опубликовано 29 января, 2014 (изменено) Рис.1 Пульпит 2.5. Ничего необычного нет, просто понравился снимок) Возможно, кому-то покажется, что каналы перерасширены?Рис.2,3 Тоже пульпит пятерки. Тот случай, когда спредер залезает в канал, а 15 штифты - нет, гнутся , в результате чего картинка вызывает ассоциации, будто в каналы засунули по две дренажной трубки из хирургии. Изменено 29 января, 2014 пользователем Shaid Ссылка на комментарий
Shaid Опубликовано 9 февраля, 2014 Автор Поделиться Опубликовано 9 февраля, 2014 Первый сломанный Протейпер.Ds: хронический пульпит 46. После ковровой 25 ломанул S1 в мезиально-щечном. Обошел ручными кое-как) Отломок заклинил на стенке канала. Подцепляю H-файлом, не идет. Ультразвуком тоже пытался.Коллеги, если попробовать клеем и он заклеит обходной путь к апексу, его можно будет потом пройти файлами?Посоветуйте! Ссылка на комментарий
Kolchanov Опубликовано 9 февраля, 2014 Поделиться Опубликовано 9 февраля, 2014 Оставь его в покое, раз обходится. Он в перешейке, пусть там и остается. Будешь долбить, потом он в апекс упадет и вообще фиг достанешь. А в дистальном что раскорячилось? Ссылка на комментарий
Shaid Опубликовано 9 февраля, 2014 Автор Поделиться Опубликовано 9 февраля, 2014 А в дистальном что раскорячилось? Хах! Знал, что кто-нибудь спросит Самому интересно) После снимка посмотрел дистальные - все норм) Ссылка на комментарий
Cleric Опубликовано 9 февраля, 2014 Поделиться Опубликовано 9 февраля, 2014 Здравствуйте, уважаемые коллеги! Читаю форум с сентября 2011 года по настоящее время. За это время узнал больше, чем за всю учебу в ВУЗе. До сих пор не решался выложить что-либо на ваш суд. Но надо развиваться дальше и то подтолкнуло меня на создание данной темы, в которой я буду выкладывать удачные и не очень случаи из моей практики.Буду благодарен за любую критику. Для периодонтитов рекомендуется апикальное расширение не ниже 35, а лучше 45-50. Ручными. На эту тему куча литературы и опыта коллег Ссылка на комментарий
Kivilgar Опубликовано 9 февраля, 2014 Поделиться Опубликовано 9 февраля, 2014 Для периодонтитов рекомендуется апикальное расширение не ниже 35, а лучше 45-50. Ручными. На эту тему куча литературы и опыта коллег45-50 не для всех каналов подходит. Не причесывайте все под одну гребенку. Ссылка на комментарий
Shaid Опубликовано 9 февраля, 2014 Автор Поделиться Опубликовано 9 февраля, 2014 Согласен, что сильнее расширить можно было, но работая в апик.трети, доставал файлы с загнутым почти на 90 градусов кончиком. Побоялся, наверное, что сломаю. Ссылка на комментарий
Cleric Опубликовано 9 февраля, 2014 Поделиться Опубликовано 9 февраля, 2014 45-50 не для всех каналов подходит. Не причесывайте все под одну гребенку.пользуйтесь нитиноловыми кфайлами и будет счастье Ссылка на комментарий
Kivilgar Опубликовано 9 февраля, 2014 Поделиться Опубликовано 9 февраля, 2014 пользуйтесь нитиноловыми кфайлами и будет счастьеСпасибо, и как я без этого жил? Ссылка на комментарий
Каплан Опубликовано 9 февраля, 2014 Поделиться Опубликовано 9 февраля, 2014 пользуйтесь нитиноловыми кфайлами и будет счастьеТам где обычный к-файл раскрутится, нитиноловый сломается. Мне хватило двух раз, что бы без повода их не использовать. Не все так просто. 1 Ссылка на комментарий
Cleric Опубликовано 9 февраля, 2014 Поделиться Опубликовано 9 февраля, 2014 Там где обычный к-файл раскрутится, нитиноловый сломается. Мне хватило двух раз, что бы без повода их не использовать.Не все так просто.периодонтит - повод! после 40.04 апекс очень легко доводиться до 50.02 обычным стальным Ссылка на комментарий
Каплан Опубликовано 9 февраля, 2014 Поделиться Опубликовано 9 февраля, 2014 периодонтит - повод! после 40.04 апекс очень легко доводиться до 50.02 обычным стальнымОткрою вам страшную тайну- даже после 30.04 не сложно довести апекс до 50 номера даже в первичной эндодонтии. И периодонтит периодонтиту рознь. Одно дело когда в каналах паста до середины и апикальную треть никто не трогал, то там и смысла в доведении до 50 номера нет, при условии что нет рентгенологических признаков апикальной резорбции. Другое дело, когда там гуттаперча и обработка была до апекса протейперами. Ссылка на комментарий
DmitrySH Опубликовано 9 февраля, 2014 Поделиться Опубликовано 9 февраля, 2014 Другое дело, когда там гуттаперча и обработка была до апекса протейперами. Вот самое не любимое занятие. Разбитый апекс, и гутта прям в нем торчит. Достать гутту = разбить апекс еще больше. Ссылка на комментарий
Shaid Опубликовано 4 мая, 2014 Автор Поделиться Опубликовано 4 мая, 2014 (изменено) Пациентов в праздники мало, сижу, балуюсь:http://imageshack.com/a/img845/5382/q7i1.jpg http://imageshack.com/a/img841/457/bo6n.jpg http://imageshack.com/a/img841/7686/2j1g.jpg Изменено 4 мая, 2014 пользователем Shaid 10 Ссылка на комментарий
Гарриевич Опубликовано 4 мая, 2014 Поделиться Опубликовано 4 мая, 2014 Отлично справились мех, мед.обр-ка Протейперами до f2 насколько хватило длины инструмента, дальше - ручные.Купите протейперы 31мм длины Ссылка на комментарий
Shaid Опубликовано 4 мая, 2014 Автор Поделиться Опубликовано 4 мая, 2014 Купите протейперы 31мм длины Я даже короткие боюсь сломать Сейчас чаще прохожу профайлами, у апекса - длинными стальными. Ссылка на комментарий
Гарриевич Опубликовано 4 мая, 2014 Поделиться Опубликовано 4 мая, 2014 честно сказать не понимаю почему боитесь (может на ты?)Я нещадно работаю протейпера, и за 3 года сломал 13 протейперов! и большая часть из них это f2. Так что, не бойся. Вот ковровую дорожку я кфайлами не делаю, их реальнее сломать Ссылка на комментарий
Shaid Опубликовано 4 мая, 2014 Автор Поделиться Опубликовано 4 мая, 2014 Еще ни один ручной файл не сломал Зато ломаются S1. Поэтому перешел на Профайлы и теперь ничего не боюсь. Ссылка на комментарий
Гарриевич Опубликовано 4 мая, 2014 Поделиться Опубликовано 4 мая, 2014 Следущий хак Перед использованием s1 поработать патфайлами и sx. Основная причина поломки s1 это заклинивание ( может еще контрафакт). Поэтому когда sx поработает, s1 не ломается. Профайлы тоже купил, пользуюсь когда конусность уже достаточная я апикальный размер нужен больше Ссылка на комментарий
Shaid Опубликовано 4 мая, 2014 Автор Поделиться Опубликовано 4 мая, 2014 (может на ты?) Конечно, можно. Основная причина поломки s1 это заклинивание ( может еще контрафакт) Sx и Pathfile(хотя пасфайлы не всегда) использую, естественно. Про контрафакт - в точку. Правда, что если маркировочное кольцо, указывающее размер протейпера, нанесено не ровно и выходит за пределы кольца - значит это подделка? У нас больше половины таких. Ссылка на комментарий
Рекомендуемые сообщения
Для публикации сообщений создайте учётную запись или авторизуйтесь
Вы должны быть пользователем, чтобы оставить комментарий
Создать аккаунт
Зарегистрируйте новый аккаунт в нашем сообществе. Это очень просто!
Регистрация нового пользователяВойти
Уже есть аккаунт? Войти в систему.
Войти