Alberto Опубликовано 16 октября, 2015 Поделиться Опубликовано 16 октября, 2015 (изменено) Соглашусь с Vlad,можно было больший диаметр применить. А также не сделан антиротационный фальц Изменено 16 октября, 2015 пользователем Alberto Ссылка на комментарий
Евгений Ходыкин Опубликовано 17 октября, 2015 Поделиться Опубликовано 17 октября, 2015 "Антиротацию" ещё даёт разная высота уступа на абатменте. Неужели в работе доктора десневая манжета по периметру одной высоты?? Ссылка на комментарий
carloss Опубликовано 17 октября, 2015 Поделиться Опубликовано 17 октября, 2015 (изменено) указали все недостатки, кроме конусности.. это правда не очень к вращению, но к общей ретенция.. что особенно важно при небольшой высоте http://savepic.ru/8025820.jpg Изменено 17 октября, 2015 пользователем carloss Ссылка на комментарий
chervoncevdaniil Опубликовано 18 октября, 2015 Поделиться Опубликовано 18 октября, 2015 Посмотрел стандартный абатмент,на оригинальных мис антиротационный фальц на всю высоту абатмента,а на не оригинальных(который мы и отправили технику)он только в верхней трети и когда по высоте абатмент укорачивается-техник его срезает.Надо будет техника попросить отфрезировать его самостоятельно.Carloss,а что вы имели ввиду по поводу конусности?я так понимаю при маленькой высоте она должна быть практически нулевой Ссылка на комментарий
carloss Опубликовано 18 октября, 2015 Поделиться Опубликовано 18 октября, 2015 У меня всегда на стандартных конусность ноль.. Хорошая ретенция позволяет использовать мин цемента и просто его контролировать Ссылка на комментарий
Aquarius Опубликовано 18 октября, 2015 Поделиться Опубликовано 18 октября, 2015 Карен, скажите, а то что пропил заходит на уступ, не критично? Ссылка на комментарий
carloss Опубликовано 18 октября, 2015 Поделиться Опубликовано 18 октября, 2015 не, абсолютно Ссылка на комментарий
Doc Опубликовано 18 октября, 2015 Поделиться Опубликовано 18 октября, 2015 Карен, скажите, а то что пропил заходит на уступ, не критично? Даже на своих родных зубах не всегда критично, а уж на абатменте и вовсе никакого значения не имеет. "Жизнь заставит - и не так раскорячишься!" (с) 1 Ссылка на комментарий
Aquarius Опубликовано 18 октября, 2015 Поделиться Опубликовано 18 октября, 2015 Эмиль Гургенович, а что сподвигло? Кариес корня? Ссылка на комментарий
Evikrol Опубликовано 18 октября, 2015 Поделиться Опубликовано 18 октября, 2015 Эмиль Гургенович а что это? Простите за глупый вопрос. Это керамика для перекрытия тёмной культи и создать конусность, эти колпачки будут ещё препарироваться на сколько я понял. Емеет ли название такая методика? Ссылка на комментарий
Doc Опубликовано 18 октября, 2015 Поделиться Опубликовано 18 октября, 2015 Эмиль Гургенович, а что сподвигло? Кариес корня?Да нет. Наследство от предыдущего доктора. Я где-то выкладывал этот кейс, когда запил был на глубину от 3-х до 5-ти мм. Это вот она. И на одном из зубов вот такой пропил был. Она у меня итак пять месяцев отходила после пародонтологии, если бы я еще раз ее туда послал, она бы точно не обрадовалась. Плюс получилось бы, что у одного зуба зенит выше, чем у другого. Техник сказал, что решит проблему. Вот решил. Заодно и диоксидом вкладки немного перекроем, ну а красоту потом керамикой доделаем. Ссылка на комментарий
Doc Опубликовано 18 октября, 2015 Поделиться Опубликовано 18 октября, 2015 Эмиль Гургенович а что это? Простите за глупый вопрос. Это керамика для перекрытия тёмной культи и создать конусность, эти колпачки будут ещё препарироваться на сколько я понял. Емеет ли название такая методика?Нет, обрабатываться не будет, просто примерка колпаков ДЦ перед нанесением, плюс слепки. Во рту я бы ничего не обрабатывал, если бы это было под обработку, техник бы все сделал в программе. Эта работа вообще уникальная со всех сторон. Первый раз в жизни снимал слепок, когда на одной челюсти два трансферчека, две системы имплантов, один трансфер для закрытой ложки и еще четыре своих зуба в придачу, которые к тому же запилены на 5 мм под десну были. В общем, легче удалить было все это, чем переделывать, но пациентка и двух лет не отходила с работой, которая ставилась на чуть ли не на интактный зубной ряд. Чисто психологически ей не перенести было бы тоталки, вот и выкручивались как могли. 1 Ссылка на комментарий
Prime Опубликовано 22 октября, 2015 Поделиться Опубликовано 22 октября, 2015 (изменено) Наткнулся в интернете на обсуждение, как лучше изолировать поле от цемента при цементной фиксации на имплантатах. Так там одним из вариантов был предложен метод предварительной фиксации на модели. Может кто объяснить, что это за метод? Вопрос: "Уважаемые доктора, какие еще методики защиты от подтекания цемента по шейке абатмента Вы еще знаете, иногда на стандартных абатментах не бывает возможности изоляции кофером."Ответы: "Пауль Вайгель предлагал метод первоначальной фиксации на модели, а дальше переносите в рот и очень очень мало фиксирующего материала"".. предварительно фиксация на силиконовом штампике. ." Изменено 22 октября, 2015 пользователем Prime Ссылка на комментарий
bugel Опубликовано 22 октября, 2015 Поделиться Опубликовано 22 октября, 2015 Ну внОсите цемент в коронки одеваете на штампик, затем снимаете и фиксируете на абатмент во рту. Я так понимаю.. Ссылка на комментарий
Doc Опубликовано 22 октября, 2015 Поделиться Опубликовано 22 октября, 2015 Чего-то бредовое! Как можно на модели на абатмент посадить на цемент, а потом вынуть, перенести в рот абатмент, на него коронку опять надеть? А шахту как изолировать, уже на модели или во рту? Если на модели, то как в рот переносить? В общем, чего-то я не догоняю, объясните кто может! Ссылка на комментарий
bugel Опубликовано 22 октября, 2015 Поделиться Опубликовано 22 октября, 2015 Нет. Я так понимаю изготавливается штампик от абатмент, т.е его копия, на него одевается коронки с цементом, быстро снимается и в рот, где стоит сам абатмент с закрытой шахтой. И видимо при этом не получается избытка цемента, который может остаться под десной. Конечно, спорно, но тоже где-то о таком читал. Ссылка на комментарий
Doc Опубликовано 22 октября, 2015 Поделиться Опубликовано 22 октября, 2015 Нет. Я так понимаю изготавливается штампик от абатмент, т.е его копия, на него одевается коронки с цементом, быстро снимается и в рот, где стоит сам абатмент с закрытой шахтой. И видимо при этом не получается избытка цемента, который может остаться под десной. Конечно, спорно, но тоже где-то о таком читал.Зато при этом получается много пор, поршневой эффект от них и непонятно зачем все это? 1 Ссылка на комментарий
bugel Опубликовано 22 октября, 2015 Поделиться Опубликовано 22 октября, 2015 Не спорю с вами, метод бредовый. Ссылка на комментарий
Prime Опубликовано 23 октября, 2015 Поделиться Опубликовано 23 октября, 2015 Действительно, получается странный метод... Думал, может есть какие-то нюансы. А так выходит, что излишки цемента убираются за счет модели, вместо того, чтобы сразу внести меньшее количество цемента... Ссылка на комментарий
Doc Опубликовано 23 октября, 2015 Поделиться Опубликовано 23 октября, 2015 Действительно, получается странный метод... Думал, может есть какие-то нюансы. А так выходит, что излишки цемента убираются за счет модели, вместо того, чтобы сразу внести меньшее количество цемента...Вот и я о том. Ради сомнительной и очень эфемерной выгоды в виде выдавливания излишков цемента получаем кучу возможных побочных осложнений. Ссылка на комментарий
DoctorSilver Опубликовано 24 марта, 2016 Поделиться Опубликовано 24 марта, 2016 + за цемент если он временныйИ + за винтовую, если на титановых основаниях, т.е. в правильных ортопедических позициях... на тит. Основах можно и временные "отжать" и сделать их как клееными временными так и винтовыми временными.. Ссылка на комментарий
Кит Опубликовано 8 июля, 2016 Поделиться Опубликовано 8 июля, 2016 Доктора!Цементная фиксация удобна, согласен.Вот такой пример: пришла пациентка у которой в обл. зубов 4.4;4.5;4.6 стоят коронки цем. фиксации на имплантах сис-мы"Конмет".Нам предстояла работа по протезированию других 3_х сегментов на имплантатах уже системы "Adin" (дороже-отказалась).Снял м/к справа снизу- вижу: шахты закрыты цементом(накануне купил "конметовскую" отвёртку). Расковырял. Начал откручивать пальцами кое-как поддалось. Ключа в клинике на эту систему нет. Взял крампоны. Осилил. Приступил к следующему-4.5- сорвал головку,хотя на полоборота открутил пальцами.Итог. Абатмент у обл. зуба 4.4 прикрутил, в обл.4.5-срезал,постепенно откручивая и ломая винт. Будем делать "мост" 4.4-4.6 с опорой промежуточной части на импл.4.5.Вся предыдущая конструкция-и абатмнеты,и винты,и коронки- всё на цементе.По-моему, назвать это "Перебор",будет крайне мягко.Слепок будем снимать с уровня батмента-з.4.6, с уровня импланта-з.4.4.Что не так? Подскажете? Ссылка на комментарий
Elen36nt Опубликовано 16 октября, 2016 Поделиться Опубликовано 16 октября, 2016 Я за винтовую фиксацию, деснновую краю с ней комфортнее. На цементной фиксации есть большая вероятность периимплантитов. А шахты можно закрыть композитом, фиссуры подкрасить красками. Ссылка на комментарий
suballex Опубликовано 17 декабря, 2016 Поделиться Опубликовано 17 декабря, 2016 Доктора!Цементная фиксация удобна, согласен.Вот такой пример: пришла пациентка у которой в обл. зубов 4.4;4.5;4.6 стоят коронки цем. фиксации на имплантах сис-мы"Конмет".Нам предстояла работа по протезированию других 3_х сегментов на имплантатах уже системы "Adin" (дороже-отказалась).Снял м/к справа снизу- вижу: шахты закрыты цементом(накануне купил "конметовскую" отвёртку). Расковырял. Начал откручивать пальцами кое-как поддалось. Ключа в клинике на эту систему нет. Взял крампоны. Осилил. Приступил к следующему-4.5- сорвал головку,хотя на полоборота открутил пальцами.Итог. Абатмент у обл. зуба 4.4 прикрутил, в обл.4.5-срезал,постепенно откручивая и ломая винт. Будем делать "мост" 4.4-4.6 с опорой промежуточной части на импл.4.5.Вся предыдущая конструкция-и абатмнеты,и винты,и коронки- всё на цементе.По-моему, назвать это "Перебор",будет крайне мягко.Слепок будем снимать с уровня батмента-з.4.6, с уровня импланта-з.4.4.Что не так? Подскажете?Все не так. Если Вам нужно было протезировать "другие три квадранта", на кой черт вы в четвертый полезли? Ну ладно, полезли и полезли, но, за каким абатменты пытались открутить? Слепок с абатментов снимаете и все. Нет же, поковырять нужно. Поковыряли? Какие показания были к удалению абатментов? 2 Ссылка на комментарий
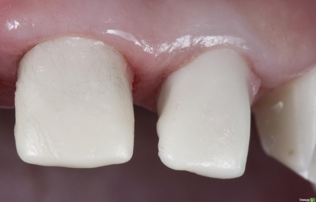
Andrey-D Опубликовано 15 февраля, 2017 Поделиться Опубликовано 15 февраля, 2017 (изменено) Вы всё ещё предпочитаете цементную фиксацию? Тогда мы идём к вам ))).Пример неудачной фиксации на "Improv" моего коллеги, после которой пришлось переделывать работу.Спустя года полтора-два в этой ситуации у неё разрослась десна почти выше экватора коронок. Изменено 15 февраля, 2017 пользователем Andrey-D 2 Ссылка на комментарий
Рекомендуемые сообщения
Для публикации сообщений создайте учётную запись или авторизуйтесь
Вы должны быть пользователем, чтобы оставить комментарий
Создать аккаунт
Зарегистрируйте новый аккаунт в нашем сообществе. Это очень просто!
Регистрация нового пользователяВойти
Уже есть аккаунт? Войти в систему.
Войти