Kotyara Опубликовано 15 января, 2012 Поделиться Опубликовано 15 января, 2012 Коррекции или поправки на всех остальных,в принципе,невозможны.Вопрос некорректен.Поэтому процент коррекций или поправок винтовых по отношению ко всем остальным будет равен общему количеству коррекций или поправок по отношению к 0.Если ты хотел спросить процент поправок по отношению к общему количеству единиц винтовой фиксации-то он колеблется в пределах 5-8% и на 90% связан со сколами,10%-остальное.Кстати,какой будет твоя тактика при визуализации 2-3 витков выше уровня десневого контура?Невозможность гигиены,налет,плотный,почти камень и все такое... уфф....самое сложное - принять адекватно-взвешенное решение.Сложно сказать. Но, если процитировать какого то гуру ( не помню кто конкретно) :если вы имеет проблему на своем имплантате- вы будете его лечить и спасать до последнегоесли на чужом- то естественно удаление и новый винт) Ссылка на комментарий
doctore Опубликовано 15 января, 2012 Поделиться Опубликовано 15 января, 2012 (изменено) уфф....самое сложное - принять адекватно-взвешенное решение.Сложно сказать. Но, если процитировать какого то гуру ( не помню кто конкретно) :если вы имеет проблему на своем имплантате- вы будете его лечить и спасать до последнегоесли на чужом- то естественно удаление и новый винт)На своем,конечно.И как спасать или лечить?Вопрос к теме фиксации.Тактик то немного.Вот ,например,в таком случае. Изменено 15 января, 2012 пользователем doctore Ссылка на комментарий
Kotyara Опубликовано 15 января, 2012 Поделиться Опубликовано 15 января, 2012 На своем,конечно.И как спасать или лечить?Вопрос к теме фиксации.Тактик то немногоа смысл снимать? в данном случае Ссылка на комментарий
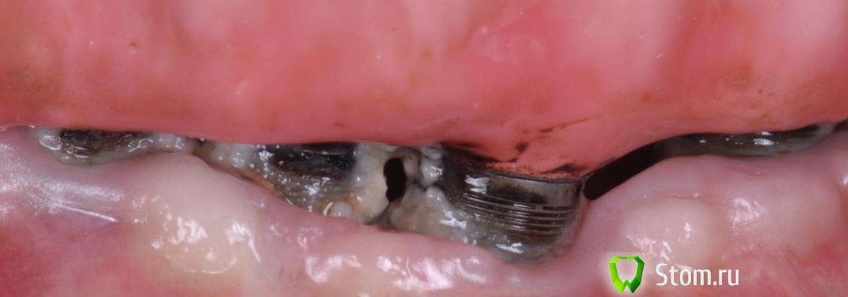
doctore Опубликовано 15 января, 2012 Поделиться Опубликовано 15 января, 2012 (изменено) а смысл снимать? в данном случаеФото наверху прикрепил-уже после твоего ответа.А что делать-ждать? Изменено 15 января, 2012 пользователем doctore Ссылка на комментарий
Kotyara Опубликовано 15 января, 2012 Поделиться Опубликовано 15 января, 2012 Вычистить и обработать винты можно и не снимая. По крайней мере тут. Ссылка на комментарий
Bobby Опубликовано 15 января, 2012 Автор Поделиться Опубликовано 15 января, 2012 Та же ситуация,только вместо интактного соседнего зуба-коронка на зубе же или на имплантате.Тактика? Переделываем одну коронку. Ссылка на комментарий
Bobby Опубликовано 15 января, 2012 Автор Поделиться Опубликовано 15 января, 2012 В чем причина недоверия,Александр? При необходимости,техник полностью убирает керамику или с метала или с циркона и наносит ее заново.С каркасом все в порядке,винт под замену.Сроки меньше,стоимость тоже,пациент доволен.Эту возможность дает винтовая-ее и нужно использовать.Ни я,ни,уверен,Эмиль,сами этим не занимаемся-есть специально обученные люди. Ясно. Никогда не занимался переоблицовками, мы всегда переделываем от каркаса, если требуется ремонт. Ссылка на комментарий
doctore Опубликовано 15 января, 2012 Поделиться Опубликовано 15 января, 2012 Вычистить и обработать винты можно и не снимая. По крайней мере тут.А смысл чистить? Ну хватит на пару недель-месяц.Согласись,единственный способ-заполировать по периметру всю визуально видимую часть от резьбы.Хуже уже не будет.А в таком виде,как на фото внизу,делать это гораздо удобней Ссылка на комментарий
Kotyara Опубликовано 15 января, 2012 Поделиться Опубликовано 15 января, 2012 (изменено) я бы откинул лоскуткюретажпескоструйная обработка поверхности имп-товне спорю, что когда конструкция снята, это сделать проще, доступ поудобнеено не критично и когда она не снята. P.S. забыл сказать, что зафиксировал бы кофердам)))) Изменено 15 января, 2012 пользователем Kotyara Ссылка на комментарий
doctore Опубликовано 15 января, 2012 Поделиться Опубликовано 15 января, 2012 (изменено) я бы откинул лоскуткюретажпескоструйная обработка поверхности имп-товне спорю, что когда конструкция снята, это сделать проще, доступ поудобнеено не критично и когда она не снята. P.S. забыл сказать, что зафиксировал бы кофердам))))Ты вспомни,примеры таких осложнений были на ЕАО в Монако,и у Эрика такая же тактика.Не рассматривая варианты попыток вырастить-пересадить изначально обреченные на неудачу.Здесь вариантов то нет-как ни крути.А что даст пескоструй?ПЫСЫ."Коффердам,априори,обязательно фиксировать даже при фиксации коронок/абатментов к имплантатам для сохранения стерильности в шахтах и на этапе закрытии технологического отверстия в коронке для доступа к винту.Это последний тренд уходящего года.Только тебе по секрету как другу )))))))" Изменено 15 января, 2012 пользователем doctore Ссылка на комментарий
Bobby Опубликовано 15 января, 2012 Автор Поделиться Опубликовано 15 января, 2012 ))))) Ссылка на комментарий
viruzzz Опубликовано 12 апреля, 2012 Поделиться Опубликовано 12 апреля, 2012 все утро убил на эту тему.. не угомонился пока не дочитал до концаЕсли по теме, то возможность снятия постоянных коронок - приятная альтернатива их распиливанию или сбиванию КОПом.Распиливать коронку на абатменте и коронку на зубе - не одно и тоже. На абатменте, как правило, слой металла/циркония потолще будет.с точки зрения возможности - да нужна. Если рассуждать "Необходима ли?" то скажу, что раньше не было винтовой фиксации и все замечательно обходились без нее. Для себя в винтовой фиксации вижу больше плюсов, чем минусов. Нравится, когда десна плотно прилегает - на винтах можно ее немножко прижать, что не всегда просто удается на цементной фиксации, не возможно так плотно придавить десну под протяженной конструкцией. По экономическим соображениям тоже - за абатменты нам не платят (да, вот так), а в винтовой фиксации - получаешь за всю работу, а не половину (да, да.. не этично, деньги не главное... но задумываться и подсчитывать тоже приходится). Внешний вид пломбы на жевательной пов-ти от шахты винта на зубах верней челюсти и нижних резцах пациент и окружающие могут видеть только в зеркало. Для себя в абатментах вижу плюс в плотности контакта абатмент-имплантат, что бы там не говорили о точности снятия слепка под винтовую фиксацию. Вопрос: если мы говорим о преимуществах абатментов в эстетике, о красивом контуре десны на индивидуальных абатментах, так почему нельза придать такую же форму коронке на винтовой фиксации? или всех только пломба смущает? Ссылка на комментарий
Bobby Опубликовано 14 апреля, 2012 Автор Поделиться Опубликовано 14 апреля, 2012 все утро убил на эту тему.. не угомонился пока не дочитал до концаЕсли по теме, то возможность снятия постоянных коронок - приятная альтернатива их распиливанию или сбиванию КОПом.Распиливать коронку на абатменте и коронку на зубе - не одно и тоже. На абатменте, как правило, слой металла/циркония потолще будет.с точки зрения возможности - да нужна. Если рассуждать "Необходима ли?" то скажу, что раньше не было винтовой фиксации и все замечательно обходились без нее. Для себя в винтовой фиксации вижу больше плюсов, чем минусов. Нравится, когда десна плотно прилегает - на винтах можно ее немножко прижать, что не всегда просто удается на цементной фиксации, не возможно так плотно придавить десну под протяженной конструкцией. По экономическим соображениям тоже - за абатменты нам не платят (да, вот так), а в винтовой фиксации - получаешь за всю работу, а не половину (да, да.. не этично, деньги не главное... но задумываться и подсчитывать тоже приходится). Внешний вид пломбы на жевательной пов-ти от шахты винта на зубах верней челюсти и нижних резцах пациент и окружающие могут видеть только в зеркало. Для себя в абатментах вижу плюс в плотности контакта абатмент-имплантат, что бы там не говорили о точности снятия слепка под винтовую фиксацию. Вопрос: если мы говорим о преимуществах абатментов в эстетике, о красивом контуре десны на индивидуальных абатментах, так почему нельза придать такую же форму коронке на винтовой фиксации? или всех только пломба смущает? Пломба смущает ) Ссылка на комментарий
Kotyara Опубликовано 15 апреля, 2012 Поделиться Опубликовано 15 апреля, 2012 Пломба смущает )ага, вот только в среду имел диалог с пациенткой, которая пришла с претензией на то ли скол, то ли что то на коронке с винтовой фиксацией.А пломба там ровно по центру жевательной поверхности...да еще и 36 зуб это.Для меня ответ в этой дискуссии однозначен: не хватает высоты для абатменты и коронки с цементом- винтовая фиксация.Все остальное- цементная!) Ссылка на комментарий
Рекомендуемые сообщения
Для публикации сообщений создайте учётную запись или авторизуйтесь
Вы должны быть пользователем, чтобы оставить комментарий
Создать аккаунт
Зарегистрируйте новый аккаунт в нашем сообществе. Это очень просто!
Регистрация нового пользователяВойти
Уже есть аккаунт? Войти в систему.
Войти