CRAZYDUCK Опубликовано 5 сентября, 2016 Поделиться Опубликовано 5 сентября, 2016 Первые коронки фиксировал за 50-55 минут плюс разъяснения для родителей после фиксации= итого 1 час. Сейчас стараюсь уложиться в 30-35 минут, но трачу много времени на коррекцию высоты и адаптацию краев коронки , тк делаю это бором. До исх пор не разжился специальными ножницами.Большинство моих случаев применения коронок-лечение неосложненного кариеса и это действительно самая надежная реставрация (особенно у пациентов с ПЛОХОЙ гигиеной полости рта).Спасибо большое за фото! Давайте еще Ссылка на комментарий
Mikhail_29_rus Опубликовано 6 сентября, 2016 Поделиться Опубликовано 6 сентября, 2016 Спасибо большое за фото! Давайте еще Буду стараться здесь такие асы выкладывают свои работы, что предпочитаю больше читать других, вдохновляться смелыми подходами и работой коллег Ссылка на комментарий
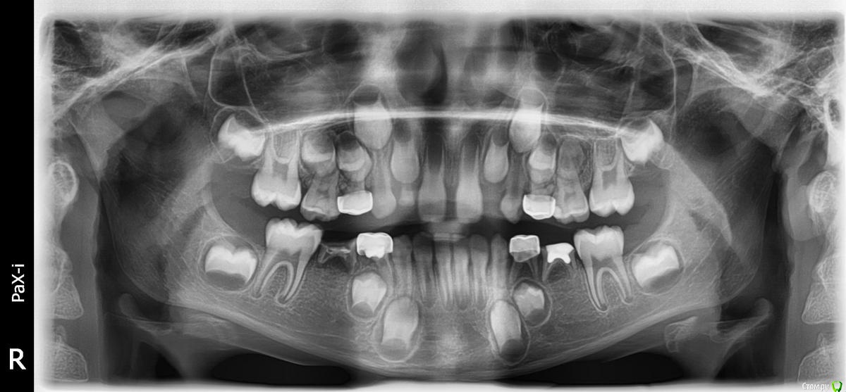
Mikhail_29_rus Опубликовано 6 сентября, 2016 Поделиться Опубликовано 6 сентября, 2016 Фиксация коронки на зубе 64 у этого же ребенка - тоже моих рук дело. Работа с зубом 64 прошла без осложнений со стороны пародонта и также функционирует по сей день.Вот как выглядит ситуация на ОПТГ почти через 3 года с вышеописанным кейсом с 3M коронками (сюрпризом стали выявленные адентии 35,45 зубов) Ссылка на комментарий
Lisan`ka Опубликовано 7 октября, 2016 Поделиться Опубликовано 7 октября, 2016 Доброй ночи. Подскажите где заказываете коронки? Ссылка на комментарий
Доктор Саша Опубликовано 15 октября, 2016 Поделиться Опубликовано 15 октября, 2016 (изменено) Опять перебои с этими коронками, черт побери...нет опять ходовых размеров!!!!!!!!! Неужели трудно их привезти, уважаемый 3М ???? Изменено 15 октября, 2016 пользователем Доктор Саша Ссылка на комментарий
Рекомендуемые сообщения
Для публикации сообщений создайте учётную запись или авторизуйтесь
Вы должны быть пользователем, чтобы оставить комментарий
Создать аккаунт
Зарегистрируйте новый аккаунт в нашем сообществе. Это очень просто!
Регистрация нового пользователяВойти
Уже есть аккаунт? Войти в систему.
Войти