crown Опубликовано 12 июля, 2016 Поделиться Опубликовано 12 июля, 2016 (изменено) Попробовала установить коронки -интересно прямо так Несколько вопросов к Тане и Кроун(Вы же тоже устанавливать стандартные коронки)и к докторам ,работающим с этими коронками.Та же проблема. В последнее время перешел обратно на композиты. Изменено 12 июля, 2016 пользователем crown Ссылка на комментарий
Джима Опубликовано 12 июля, 2016 Автор Поделиться Опубликовано 12 июля, 2016 кламп мешает.снимаю зондом, если совсем туго - обхватываю пальцами марлей и раскачиваю. бывает, конечно, ваще засада на пятёрки чаще всё же пломбы, они крупнее четвёрок и с пломбами вполне себе стоят. На курсах давно когда-то в перерыве лектор признавалась, что так же делают, на четвёрки чаще коронки, на пятёрки чаще пломбы. 1 Ссылка на комментарий
CRAZYDUCK Опубликовано 14 июля, 2016 Поделиться Опубликовано 14 июля, 2016 (изменено) Таня, а какими щипцами подгибаешь края коронок ? Я пока крампонами, но хочу еще круглогубцами попробовать ,там вроде есть специальные щипцы для подгибания, нужны они вообще? Изменено 14 июля, 2016 пользователем CRAZYDUCK Ссылка на комментарий
CRAZYDUCK Опубликовано 14 июля, 2016 Поделиться Опубликовано 14 июля, 2016 Та же проблема. В последнее время перешел обратно на композиты.Не поняла кроун ,почему отказались от коронок ? Ссылка на комментарий
Джима Опубликовано 15 июля, 2016 Автор Поделиться Опубликовано 15 июля, 2016 Таня, а какими щипцами подгибаешь края коронок ? Я пока крампонами, но хочу еще круглогубцами попробовать ,там вроде есть специальные щипцы для подгибания, нужны они вообще?кромпонами тоже. спец.щипцы, думаю, стОят соответственно, не заморачивалась ещё. а у тебя в ортодонтических инструментах нет щипцов подходящих? у вас там много чего есть.. Ссылка на комментарий
CRAZYDUCK Опубликовано 16 июля, 2016 Поделиться Опубликовано 16 июля, 2016 (изменено) Есть ,я одними тоже пробовала ,хочу еще круглогубцы купить, попробовать ими Изменено 16 июля, 2016 пользователем CRAZYDUCK Ссылка на комментарий
crown Опубликовано 17 июля, 2016 Поделиться Опубликовано 17 июля, 2016 (изменено) В первое посещение делаю эндо, закрываю временной пломбой, во второе анестезия, фото, потом обтачиваю под коронку и сажаю на фуджи. Как делаете вы? И каким материалом восстанавливаете коронку? Изменено 17 июля, 2016 пользователем crown Ссылка на комментарий
CRAZYDUCK Опубликовано 17 июля, 2016 Поделиться Опубликовано 17 июля, 2016 Я всего несколько коронок фиксировала , но мне показалось очень удобно .в последний раз в одно посещение -анестезия ,витальная ампутация ,мта рутдент,изолирующая, культю восстановила композитом ,препарирую зуб, все в коффердаме. Беру коронку ,подрезаю бором ,крампонами подгибаю, меряю ,сняла коффердам и фиксация на айрекс цемент, заняло минут 45-50 ,зуб -раздолбанный 75. Перед этим ,когда тренировалась, училась -делала модель с обработанным зубом, в свободное время на модель сажала ,потом на приеме анестезия и фиксация . Ссылка на комментарий
Джима Опубликовано 18 июля, 2016 Автор Поделиться Опубликовано 18 июля, 2016 у-у-у, маньяки. я ничего не восстанавливаю в остатки зуба - тот же кетак или фуджи, на который сажаю, и вся любофь. лечение пульпита или периодонтита с пломбой у меня не отличается по стоимости от лечения с коронкой. 1 Ссылка на комментарий
Kota Опубликовано 19 июля, 2016 Поделиться Опубликовано 19 июля, 2016 у-у-у, маньяки. я ничего не восстанавливаю в остатки зуба - тот же кетак или фуджи, на который сажаю, и вся любофь. лечение пульпита или периодонтита с пломбой у меня не отличается по стоимости от лечения с коронкой.и я так же. ампутация, кетак или фуджи и коронка. все в одно посещение. по стоимости так как и пломба. 1 Ссылка на комментарий
CRAZYDUCK Опубликовано 19 июля, 2016 Поделиться Опубликовано 19 июля, 2016 Ладно ,девочки,я вас поняла ,спасибо ,так намного проще . Ссылка на комментарий
Джима Опубликовано 20 июля, 2016 Автор Поделиться Опубликовано 20 июля, 2016 Ксюш, иначе в принципе теряется смысл всей этой катавасии. Нам же надо, чтоб быстро и надолго. Не помню, писала или нет. Кажись, да, но повторю. Бывают детки с типичным цветущим кариесом, когда все верхние резцы и все четыре четвёрки, ну, знаете. Два годика, четвёрки разрушены до десны, но не вскрытые и не беспокоят. Такие удобно вообще чуть ли не в коридоре мерять, пока они с мамой играют в игровой зоне. Без препаровки. Померила, пошла обрезать-шлифовать-чуть подгибать, потом в кабинет пригласила, экскаватором попробовала отскрести то, что отскребётся, марлевый валик подложила, высушила и коронку на цемент. 5 минут. Милое дело, стоят-не болят, дитё жуёт, процесс законсервирован на неопределённый срок, подрастёт - желательно Рг-контроль иногда. А вы говорите, композитом восстанавливать...Смысл тогда? Ссылка на комментарий
Brigita Опубликовано 20 июля, 2016 Поделиться Опубликовано 20 июля, 2016 (изменено) Таня, спрошу тут, спасибо заранее. Часто ли ты используешь технологии Аrt - атравматмчное которое, ручное? Если да - поделитесь впечатлением, доктора.Еще слышала на эндомотор одевают машинный бор и тоже без звука работают. Изменено 20 июля, 2016 пользователем Brigita Ссылка на комментарий
CRAZYDUCK Опубликовано 20 июля, 2016 Поделиться Опубликовано 20 июля, 2016 Арт хотела попробовать, потому,что типа не больно,не понравилось ,нашим кариклинзом. Два геля кажется было -они должны пениться ,размягчать некродентин ,а потом специальными экскаваторами кариозный дентин убираешь и должно быть не больно .фигня полная .может кариесольв (зарубежный аналог ) и хорош , но все равно же больно .На эндомотор как-то одевала бор ,микромотор на установке барахлил. Но микромотор же особо и не шумит ,больше турбина , а там без вариантов .мне кажется эндомотором быстро сломается ,если так его постоянно использовать .Многие хвалят сандман (кажется) аналог аквакат, воздушно - абразивное препарирование ,хочу себе потом его купить . 1 Ссылка на комментарий
Джима Опубликовано 20 июля, 2016 Автор Поделиться Опубликовано 20 июля, 2016 у меня рондофлекс (точнее, он был, я пока работу сменила, но скоро опять сменю, там снова будет) - на безболезненность можешь не надеяться. подумай, если дефект в дентине, то по ЭДГ хоть чем, хоть экскаватором, хоть песком - один фиг больно. песок же ещё и с сильной холодной струёй. а так-то вещь классная, очень нравится мелкий фиссурный кариес им выдувать.экскаватором работаю вместе с бором или вместо бора, почти на каждом зубе.. растворители не использовала никогда, имхо, фигня. 1 Ссылка на комментарий
CRAZYDUCK Опубликовано 21 июля, 2016 Поделиться Опубликовано 21 июля, 2016 растворители не использовала никогда, имхо, фигня.Согласна полностью .Пробовала его сразу после института ,когда верила в рекламу и чудодейственные свойства почти всего предлагаемого, потом мозг стал все-таки думать Ссылка на комментарий
crown Опубликовано 21 июля, 2016 Поделиться Опубликовано 21 июля, 2016 народ сколько вы берете за коронку? Ссылка на комментарий
Kota Опубликовано 21 июля, 2016 Поделиться Опубликовано 21 июля, 2016 народ сколько вы берете за коронку?40 долларов. но это клиника берет. Ссылка на комментарий
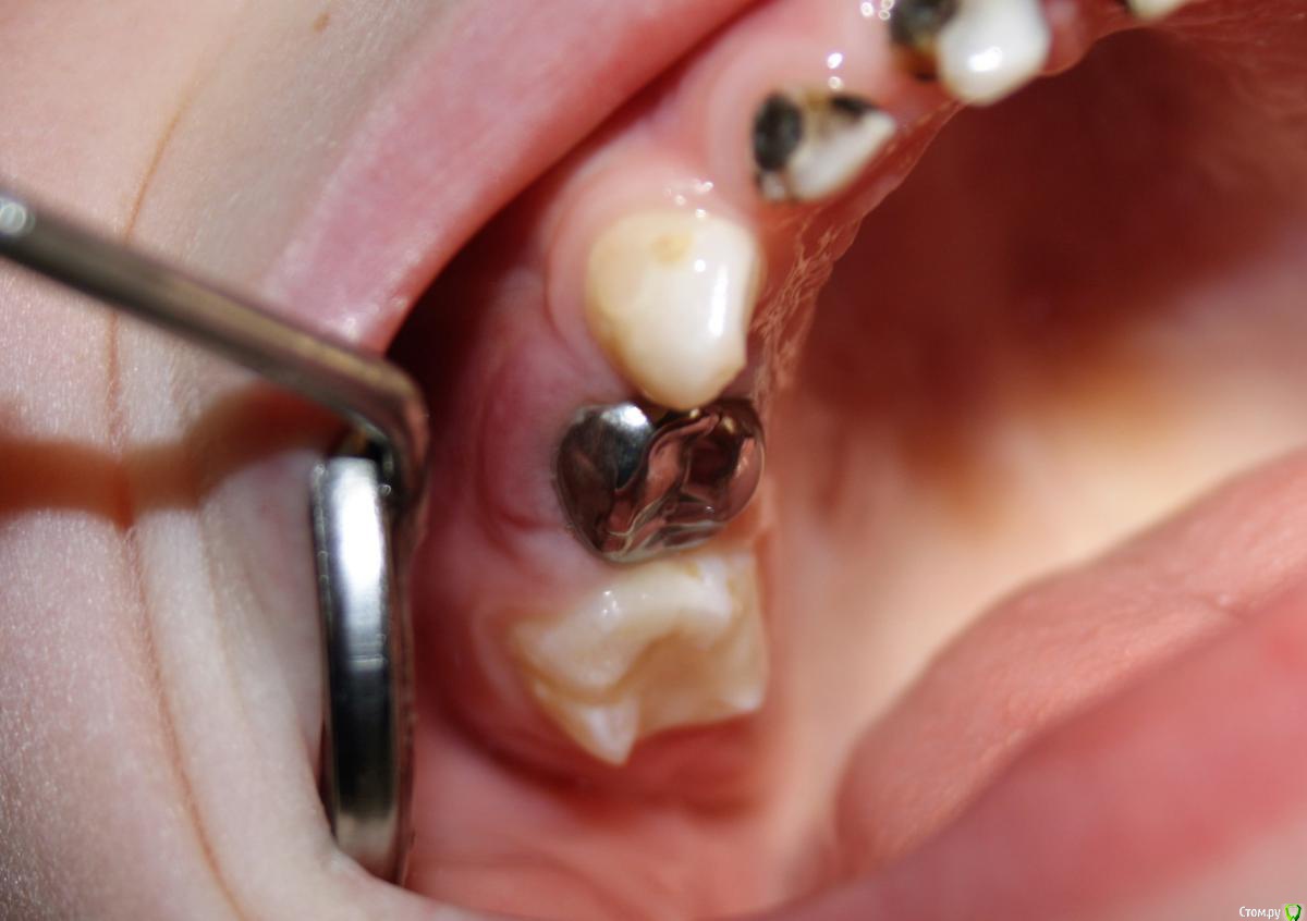
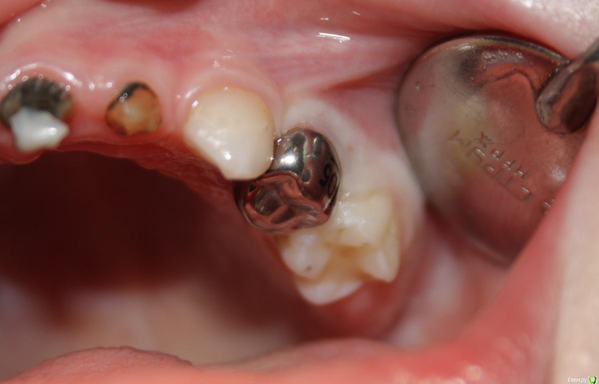
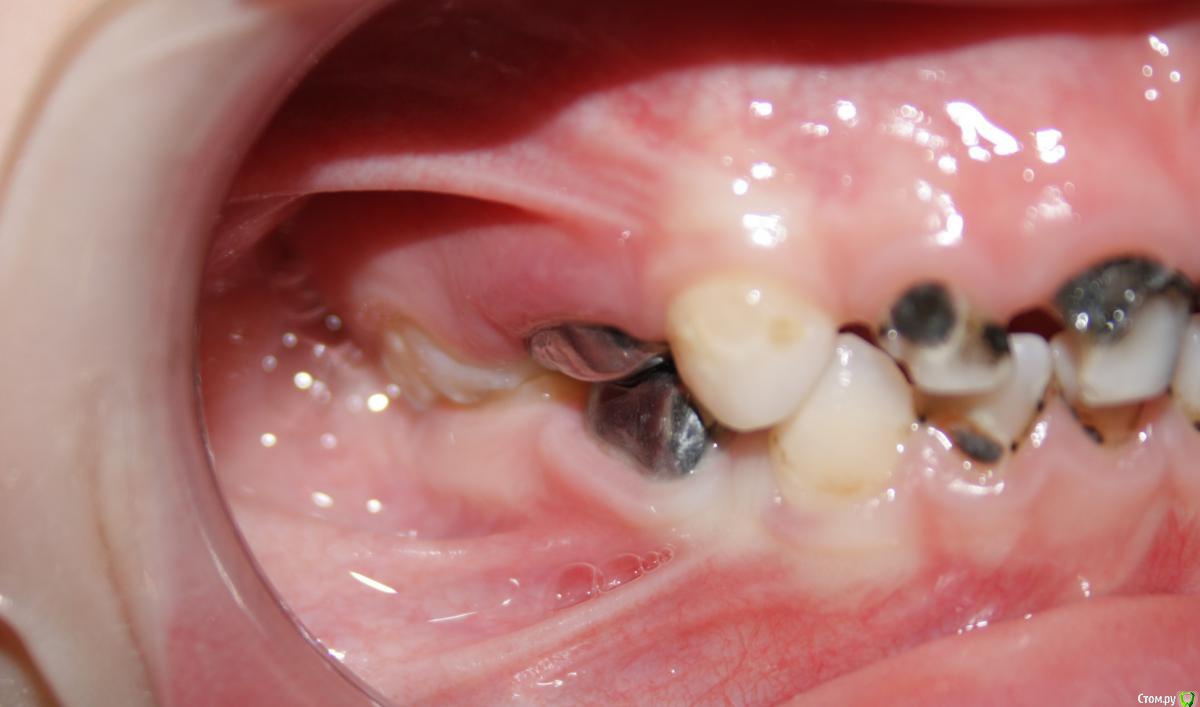
crown Опубликовано 5 августа, 2016 Поделиться Опубликовано 5 августа, 2016 Поставил коронку на 5.4, размер подобрал, укоротил, острые края сошлифовал, загнул, коронка на уровне десны, возможно немного под десну. 3 дня болела десна, мазали, полоскали, сегодня норм. Не пойму где ошибка. Ссылка на комментарий
Джима Опубликовано 5 августа, 2016 Автор Поделиться Опубликовано 5 августа, 2016 цемент под десной остался, не? Ссылка на комментарий
crown Опубликовано 8 августа, 2016 Поделиться Опубликовано 8 августа, 2016 цемент под десной остался, не?вариант Ссылка на комментарий
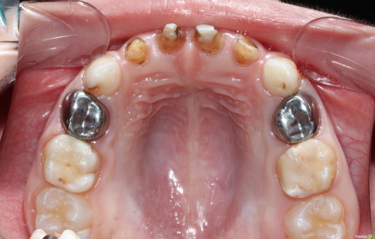
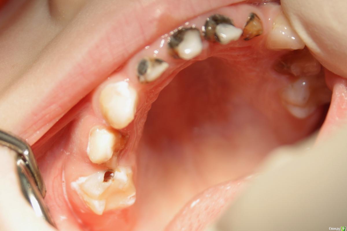
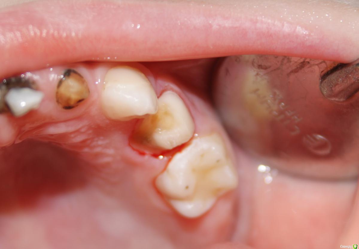
Mikhail_29_rus Опубликовано 3 сентября, 2016 Поделиться Опубликовано 3 сентября, 2016 Поставил коронку на 5.4, размер подобрал, укоротил, острые края сошлифовал, загнул, коронка на уровне десны, возможно немного под десну. 3 дня болела десна, мазали, полоскали, сегодня норм. Не пойму где ошибка. Поделюсь и я своими ошибками и первым опытом (осень 2013 г.) в работе с коронками также на примере зуба 54. Также как и Crown подобрал.....все по инструкции, что на сайте 3M, но через несколько дней после фиксации, которую проводил без анестезии получил десневой абсцесс и небольшой отек краевой десны. Вероятная причина- ошибки препарирования+ некорекктно провел адаптацию краев коронки и оставил большим медиально-щечный край коронки, а также возможно цемент....Но пациент не проявлял жалоб, не жаловался что болит, и в итоге все ОК. В компе нашел только фото через 1.5 года, хотя есть уже и через 2,5 год. Добавлю в чат, если будет интересно. Зуб продолжает функционировать 2 Ссылка на комментарий
Mikhail_29_rus Опубликовано 3 сентября, 2016 Поделиться Опубликовано 3 сентября, 2016 Фиксация коронки на зубе 64 у этого же ребенка - тоже моих рук дело. Работа с зубом 64 прошла без осложнений со стороны пародонта и также функционирует по сей день. 3 Ссылка на комментарий
crown Опубликовано 3 сентября, 2016 Поделиться Опубликовано 3 сентября, 2016 Самая надежная реставрация. Сколько времени уходит на установку коронки? Ссылка на комментарий
Mikhail_29_rus Опубликовано 4 сентября, 2016 Поделиться Опубликовано 4 сентября, 2016 Самая надежная реставрация. Сколько времени уходит на установку коронки?Первые коронки фиксировал за 50-55 минут плюс разъяснения для родителей после фиксации= итого 1 час. Сейчас стараюсь уложиться в 30-35 минут, но трачу много времени на коррекцию высоты и адаптацию краев коронки , тк делаю это бором. До исх пор не разжился специальными ножницами.Большинство моих случаев применения коронок-лечение неосложненного кариеса и это действительно самая надежная реставрация (особенно у пациентов с ПЛОХОЙ гигиеной полости рта). Ссылка на комментарий
Рекомендуемые сообщения
Для публикации сообщений создайте учётную запись или авторизуйтесь
Вы должны быть пользователем, чтобы оставить комментарий
Создать аккаунт
Зарегистрируйте новый аккаунт в нашем сообществе. Это очень просто!
Регистрация нового пользователяВойти
Уже есть аккаунт? Войти в систему.
Войти