Doc.IQ Опубликовано 17 июля, 2015 Поделиться Опубликовано 17 июля, 2015 Все ли фиксируют ВКВ с кофером? Оправдано ли это. Поделитесь опытом. Опишите свой алгоритм мед обработки перед фиксацией.1.чистка полости зуба пастой2.вода3.гипохлорит натрия4.вода5.гидроль6.фиксация До недавнего момента стал юзать,а точнее сказать учиться работать с коффердамом,но не всегда получается,возникают некоторые сложности(на все нужно время)..а так использую оптрагейты,как по мне,очень удобная штука,провожу все манипуляции от препарирования и снятия оттиска до фиксации готовой работы с оптрагейтом... 2 Ссылка на комментарий
Doc.IQ Опубликовано 17 июля, 2015 Поделиться Опубликовано 17 июля, 2015 Значит это единственное зло?Видел и сломанные вкладки из кхс..я думаю вкладка изготовленная из любого материала будет прекрасно работать(композитные не в счет),главное правильно подготовить канал и ложе,и делать ее там,где этого требует клиническая ситуация..имхо... Ссылка на комментарий
Doc.IQ Опубликовано 17 июля, 2015 Поделиться Опубликовано 17 июля, 2015 Я сразу подготавливаю уступ под коронковую реставрацию и полость под вкв, потом не нужно стачивать металл, техник сразу понимает что я хочу и просто продливает мои стенки.Я думаю сдесь еще все зависит от техника,ка он все видит в целом..работая со своим техником,никогда не приходилось стачивать вкладку по периметру..в некоторых случаях рисую на модели границу вкладки..а так соглашусь,ваш метод удобнее и оправдан на все 100% Ссылка на комментарий
Danger Опубликовано 19 июля, 2015 Поделиться Опубликовано 19 июля, 2015 1.чистка полости зуба пастой2.вода3.гипохлорит натрия4.вода5.гидроль6.фиксация До недавнего момента стал юзать,а точнее сказать учиться работать с коффердамом,но не всегда получается,возникают некоторые сложности(на все нужно время)..а так использую оптрагейты,как по мне,очень удобная штука,провожу все манипуляции от препарирования и снятия оттиска до фиксации готовой работы с оптрагейтом...вы пастой для полировки композитов чистите полость зуба? Ссылка на комментарий
Doc.IQ Опубликовано 20 июля, 2015 Поделиться Опубликовано 20 июля, 2015 вы пастой для полировки композитов чистите полость зуба?Пользуюсь Detartrine Z Ссылка на комментарий
chervoncevdaniil Опубликовано 9 сентября, 2015 Поделиться Опубликовано 9 сентября, 2015 Коллеги,вопрос к тем,кто делает вкладки прямым методом,обрабатываете ли вы полость перед моделировкой вкладки глицерином или вазелином,и если да,то нет ли у вас проблемы с вращением вкладки,во время обработки и коррекции ее бором?На видео у Сергея Максимова она в полости неподвижна Ссылка на комментарий
k.t.m. Опубликовано 9 сентября, 2015 Поделиться Опубликовано 9 сентября, 2015 Коллеги,вопрос к тем,кто делает вкладки прямым методом,обрабатываете ли вы полость перед моделировкой вкладки глицерином или вазелином,и если да,то нет ли у вас проблемы с вращением вкладки,во время обработки и коррекции ее бором?На видео у Сергея Максимова она в полости неподвижнаглицерин водорастворим Ссылка на комментарий
chervoncevdaniil Опубликовано 9 сентября, 2015 Поделиться Опубликовано 9 сентября, 2015 глицерин водорастворимОна у вас не вращяется во время препарирования? Ссылка на комментарий
k.t.m. Опубликовано 9 сентября, 2015 Поделиться Опубликовано 9 сентября, 2015 Она у вас не вращяется во время препарирования? антиротациоонный преп(антиротационная площадка) Ссылка на комментарий
CHEREDNICHENCO Опубликовано 10 сентября, 2015 Поделиться Опубликовано 10 сентября, 2015 Она у вас не вращяется во время препарирования?Если соблюдена анатомия канала, то и антиротационная площадка не нужна. Иногда с трудом извлекаю от моделированную вкладку, прямым пинцетом. Единственная трудность с которой сталкиваюсь- это не твердеет самый кончик штифта. Ссылка на комментарий
CHEREDNICHENCO Опубликовано 10 сентября, 2015 Поделиться Опубликовано 10 сентября, 2015 глицерин водорастворимА вазелин??? Ссылка на комментарий
CHEREDNICHENCO Опубликовано 10 сентября, 2015 Поделиться Опубликовано 10 сентября, 2015 Как говорит Википедия, вазелин растворим в эфире и хлороформе. Так что лучше глицерин. Однажды где-то нашел фотку в инете, где с патрезиной в комплекте шел тюбик с названием- cocoa что-то там, какое-то масло! Если его найдете, то можно и его Ссылка на комментарий
Петрович Опубликовано 10 сентября, 2015 Поделиться Опубликовано 10 сентября, 2015 С какой силой (в кг) давите при работе с разверткой(ларго)? Примерно. Ссылка на комментарий
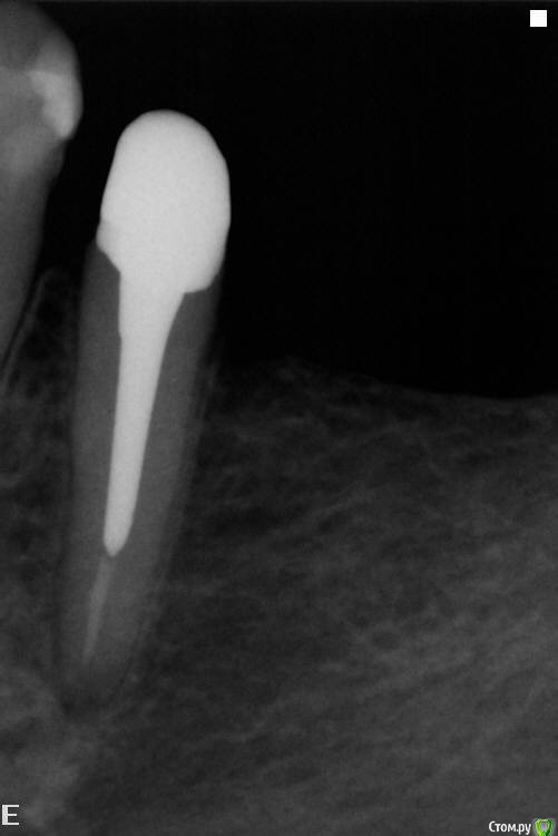
Slaggy Опубликовано 10 сентября, 2015 Поделиться Опубликовано 10 сентября, 2015 паттерн отлипает от стенок. Ему только застыть надо дать время. И кончики твердеют. Не спешите просто.Вазелины шмазелины снизят точность - как вы проконтролируете толщину слоя вазелина в глубине канала?Не пересушивайте канал и будет щастье вам.Вот вопрос чем извлекать вкладку после примерки возникает иногда. Садятся-то они без зазора.... пришло из лабы - ленивые удалено администратором литник не убрали даже, фуджи прилип немного в апроксималке, контрольповерхность завальцована ультразвуком - извлекал после примеркикорень был скрыт под десной- удлинял, отсюда такой вид По поводу врещения - есть 2 вида геморроя:1- паттерн застыл и вы извлекли недовкладку - будет вертеться при обработке, нужно придерживать2- паттерн застыл и сразу обрабатываем - сложно извлечь готовую вкладку не сделав на ней следавыбираем как сегодня будем страдать и начинаем ))))) 1 Ссылка на комментарий
chervoncevdaniil Опубликовано 10 сентября, 2015 Поделиться Опубликовано 10 сентября, 2015 Доктора,вы делаете вкладки прямым методом потому что это для вас экономически выгоднее или объективно прилегание получаете лучше?Временные затраты на прямой метод выше,плюс если мне нужна временная коронка вместе с вкладкой,то слепок все равно отдельно снимать приходится.После курса доктора Рыбалка решил пробовать прямым,он утверждает,что прилегание и точность несопоставимо с непрямым методом Ссылка на комментарий
Slaggy Опубликовано 10 сентября, 2015 Поделиться Опубликовано 10 сентября, 2015 Я много лет делал непрямым - был отличный техник, садилось все великолепно.Сейчас в лабе хорошее литье (на фото) и кривые руки (там-же), поэтому стал делать прямым.Точность одинаковая - цемент не виден по шву.Я часто уступ точу уже по вкладке, поэтому толщина/нависание края меня мало занимают. Ссылка на комментарий
art700 Опубликовано 10 сентября, 2015 Поделиться Опубликовано 10 сентября, 2015 Прилегание лучше, поэтому иногда делаю, дополнительно снимаю слепок под вокс ап. Оплата больше, если это вас интересует, оплачивают как тех работу. Ссылка на комментарий
Каплан Опубликовано 11 сентября, 2015 Поделиться Опубликовано 11 сентября, 2015 Доктора,вы делаете вкладки прямым методом потому что это для вас экономически выгоднее или объективно прилегание получаете лучше?Временные затраты на прямой метод выше,плюс если мне нужна временная коронка вместе с вкладкой,то слепок все равно отдельно снимать приходится.После курса доктора Рыбалка решил пробовать прямым,он утверждает,что прилегание и точность несопоставимо с непрямым методомДаниил, ну во-первых, слепок под временную можно в снять уже не супер точный, а даже спидексом одноэтапно, и даже если альгинатом хорошо снять, ничего критичного не будет - все равно после отжатия делать перебазироку времяшки... во-вторых... можно и без слепка обойтись.. что касается временных затрат - у меня на это уходит +15-20 минут после обтурации. с учетом того что обтурация с появлением вертикалки стала занимать меньше времени, я почти не ощущаю временных потерь... так что все относительно, если оптимизировать время приема 2 Ссылка на комментарий
chervoncevdaniil Опубликовано 11 сентября, 2015 Поделиться Опубликовано 11 сентября, 2015 Каплан,у вас нет проблем с тем,что вкладку из паттерна на этапе моделировки приходится придерживать,чтобы она не двигалась во время обработки бором в полости рта? Ссылка на комментарий
DOCTORARSEN Опубликовано 11 сентября, 2015 Поделиться Опубликовано 11 сентября, 2015 (изменено) паттерн отлипает от стенок. Ему только застыть надо дать время. И кончики твердеют. Не спешите просто.Вазелины шмазелины снизят точность - как вы проконтролируете толщину слоя вазелина в глубине канала?Не пересушивайте канал и будет щастье вам.Вот вопрос чем извлекать вкладку после примерки возникает иногда. Садятся-то они без зазора.... пришло из лабы - ленивые твари литник не убрали даже, фуджи прилип немного в апроксималке, контрольповерхность завальцована ультразвуком - извлекал после примеркикорень был скрыт под десной- удлинял, отсюда такой вид По поводу врещения - есть 2 вида геморроя:1- паттерн застыл и вы извлекли недовкладку - будет вертеться при обработке, нужно придерживать2- паттерн застыл и сразу обрабатываем - сложно извлечь готовую вкладку не сделав на ней следавыбираем как сегодня будем страдать и начинаем )))))вопрос не по теме, но через сколько времени после операции вы начинаете ортопедические работы? Изменено 11 сентября, 2015 пользователем DOCTORARSEN Ссылка на комментарий
Каплан Опубликовано 11 сентября, 2015 Поделиться Опубликовано 11 сентября, 2015 Каплан,у вас нет проблем с тем,что вкладку из паттерна на этапе моделировки приходится придерживать,чтобы она не двигалась во время обработки бором в полости рта?крайне редко. но вопро решается легко последовательностью препаровки... щечная-оральная стенки... потом только перехожу на проксималки. т.е излишки на проксималках удерживают конструкцию. если после препаровки проксималок начинает вращаться - просто высушиваю максимально щечную/язычную стенку и ставлю капельку паттерна на суху, которую потом легко будет убрать. Ссылка на комментарий
chervoncevdaniil Опубликовано 11 сентября, 2015 Поделиться Опубликовано 11 сентября, 2015 Спасибо,интересный материал,надо взять на заметку Ссылка на комментарий
CHEREDNICHENCO Опубликовано 11 сентября, 2015 Поделиться Опубликовано 11 сентября, 2015 Доктора,вы делаете вкладки прямым методом потому что это для вас экономически выгоднее или объективно прилегание получаете лучше?Временные затраты на прямой метод выше,плюс если мне нужна временная коронка вместе с вкладкой,то слепок все равно отдельно снимать приходится.После курса доктора Рыбалка решил пробовать прямым,он утверждает,что прилегание и точность несопоставимо с непрямым методом . Прямой метод по прейскуранту дешевле. Поэтому при прямом методе заказываю времянку в лабе! При непрямом сам моделирую. Итог: для пациента цена одна!!! Это что бы не путаться в расценках! Прилегание на полпорядка лучше!!! при моделировке в полости рта!!! Ссылка на комментарий
CHEREDNICHENCO Опубликовано 11 сентября, 2015 Поделиться Опубликовано 11 сентября, 2015 Сегодня техник принес вкв. Пациенту сдал!!! Он с ухмылкой спрашивает: как села? Как прилегание??? Говорю- все супер, вообщем даже лучше чем обычно!!! На двух моделях просаживал??? Молвит он: кризис, будь он неладен, патрезин закончился, так я рефайн приспособил!!! вот такая вот антикризисная сказка! Ссылка на комментарий
Danger Опубликовано 23 сентября, 2015 Поделиться Опубликовано 23 сентября, 2015 посоветуйте развертки для формирования корневого канала для вкладки Ссылка на комментарий
Рекомендуемые сообщения
Для публикации сообщений создайте учётную запись или авторизуйтесь
Вы должны быть пользователем, чтобы оставить комментарий
Создать аккаунт
Зарегистрируйте новый аккаунт в нашем сообществе. Это очень просто!
Регистрация нового пользователяВойти
Уже есть аккаунт? Войти в систему.
Войти