Irouil Опубликовано 1 мая, 2020 Поделиться Опубликовано 1 мая, 2020 Да отвёртку четырехгранную правильной диагонали чтобы выточили Ссылка на комментарий
Марья Моревна Опубликовано 1 мая, 2020 Поделиться Опубликовано 1 мая, 2020 На заводах еще остались некоторые мастера,которые могут исполнить высокоточную работу.При этом важно,чтобы материал не ржавел при обработке и стерилизации. Ссылка на комментарий
Женька Опубликовано 10 ноября, 2020 Автор Поделиться Опубликовано 10 ноября, 2020 Собственно начало положено...Как мне кажется акелла снова промахнулся с углами...Последнее фото 14 дней и снятие швов...Через пень-колоду. Кидайтесь тапками пожалуйста 1 Ссылка на комментарий
Женька Опубликовано 13 ноября, 2020 Автор Поделиться Опубликовано 13 ноября, 2020 Собственно сегодня 3 недели от операции.Лунка гранулируетОбласть 1.3-1.2 заэпителизировалась... И пациентка на радостях начала покуривать (правда вместо пачки в день всего 4)... Теперь думаю, как же всё-таки имплантировать снизу... Ссылка на комментарий
Дмитрий М Опубликовано 13 ноября, 2020 Поделиться Опубликовано 13 ноября, 2020 возможно вы сильно перетягивайте края раны швами, как следствие ишемия - некроз- расхождение краев, Ссылка на комментарий
Женька Опубликовано 13 ноября, 2020 Автор Поделиться Опубликовано 13 ноября, 2020 возможно вы сильно перетягивайте края раны швами, как следствие ишемия - некроз- расхождение краев, Правильно сказать я просто не умею этого делать (НКР)... пока! Во время операции я сделал доп. вертикальный разрез в области единицы.Отслоился для визуализации, сделал послабляющий разрез надкостницы. Потянул лоскут, убедился что в нахлёст перекрытие. Дальше мембрана на швах к более апикальной надкостнице, графт. А на ушивании получилось в натяг Ссылка на комментарий
___49___ Опубликовано 13 ноября, 2020 Поделиться Опубликовано 13 ноября, 2020 На заводах еще остались некоторые мастера,которые могут исполнить высокоточную работу.При этом важно,чтобы материал не ржавел при обработке и стерилизации.Вариант колхоза пинозабивателя из ручки ненужного инструмента ( гладилка, зонд и тд.) http://forum.stom.ru/topic/14944-piny-dlia-fiksatcii-membran/?p=616464 1 Ссылка на комментарий
Nazim_NV86 Опубликовано 13 ноября, 2020 Поделиться Опубликовано 13 ноября, 2020 Если нет пинов под рукойИммобилизация рассасывающимися швами и надкостницей с расщеплением лоскута. Ссылка на комментарий
Женька Опубликовано 13 ноября, 2020 Автор Поделиться Опубликовано 13 ноября, 2020 Вариант колхоза пинозабивателя из ручки ненужного инструмента ( гладилка, зонд и тд.) http://forum.stom.ru/topic/14944-piny-dlia-fiksatcii-membran/?p=616464Ого Если нет пинов под рукойИммобилизация рассасывающимися швами и надкостницей с расщеплением лоскута. Так и делал собственно) Ссылка на комментарий
Женька Опубликовано 2 марта, 2021 Автор Поделиться Опубликовано 2 марта, 2021 Коллеги, стоит добавить десны в области 1.2? Как считаете?Имплантат в позиции 1.3, буду раскрывать в субботу. Конструкция будет с консолью в области 1.2. Ссылка на комментарий
bakagaidzin Опубликовано 2 марта, 2021 Поделиться Опубликовано 2 марта, 2021 Коллеги, стоит добавить десны в области 1.2? Как считаете?Имплантат в позиции 1.3, буду раскрывать в субботу. Конструкция будет с консолью в области 1.2.Десны много не бывает) Ссылка на комментарий
Женька Опубликовано 2 марта, 2021 Автор Поделиться Опубликовано 2 марта, 2021 Десны много не бывает)Лучшая операция та, которой не было Ссылка на комментарий
Irouil Опубликовано 2 марта, 2021 Поделиться Опубликовано 2 марта, 2021 Надо, но в день фиксации временного протеза, на мой взгляд Ссылка на комментарий
АнтонТЛТ Опубликовано 2 марта, 2021 Поделиться Опубликовано 2 марта, 2021 Для консоли нужен овоид. Роллом создать углубление для овоида и прибавить объем вестибулярно. 1 Ссылка на комментарий
Женька Опубликовано 3 марта, 2021 Автор Поделиться Опубликовано 3 марта, 2021 Надо, но в день фиксации временного протеза, на мой взглядзабыл добавить что времянок не будет то есть сразу через постоянную конструкцию Ссылка на комментарий
Женька Опубликовано 3 марта, 2021 Автор Поделиться Опубликовано 3 марта, 2021 Для консоли нужен овоид. Роллом создать углубление для овоида и прибавить объем вестибулярно.Антон, не могли бы нарисовать на фотке или схематично показать или кейс похожий показать пожалуйста? Ссылка на комментарий
АнтонТЛТ Опубликовано 3 марта, 2021 Поделиться Опубликовано 3 марта, 2021 (изменено) Антон, не могли бы нарисовать на фотке или схематично показать или кейс похожий показать пожалуйста?Как-то так. Красным эпителий, жёлтым соединительная ткань. П.с. форум сам фотки поворачивает. Изменено 3 марта, 2021 пользователем АнтонТЛТ 2 Ссылка на комментарий
Женька Опубликовано 3 марта, 2021 Автор Поделиться Опубликовано 3 марта, 2021 Как-то так. Красным эпителий, жёлтым соединительная ткань.П.с. форум сам фотки поворачивает.Спасибо большое, а окклюзионно нет фотографии? смотрел как делает Рикардо Керн, S - образный ролл-флэп. Можно также? И если временной конструкции не планируется, лучше оставить эту хирургию до установки постоянной конструкции? ведь иначе мягкие ткани поддержки от коронки не получат? И можно ли как-то этой консолью отдавить создать сосочек медиально в области 1.1? Ссылка на комментарий
АнтонТЛТ Опубликовано 3 марта, 2021 Поделиться Опубликовано 3 марта, 2021 На первой картинке линия разреза, пунктиром расщепление.На второй картинке пунктиром складка. 1 Ссылка на комментарий
АнтонТЛТ Опубликовано 3 марта, 2021 Поделиться Опубликовано 3 марта, 2021 Фиксация винтовая будет?Если винтовая, то техник делает протез с овойдной консолью. На модели выпиливает углубление под овоид. Потом делаете хирургию и сразу фиксируете протез, адаптирует пол под протез. И ждёте вырастания сосочка. Если цементная, то только через временный протез.В случае с винтовой, можно будет его снять и подкорректировать десну или протез. 1 Ссылка на комментарий
Женька Опубликовано 3 марта, 2021 Автор Поделиться Опубликовано 3 марта, 2021 (изменено) На первой картинке линия разреза, пунктиром расщепление. То есть выкраиваем ролл и с нёбно ещё кусочек как на ножке получается? Изменено 3 марта, 2021 пользователем Женька Ссылка на комментарий
АнтонТЛТ Опубликовано 3 марта, 2021 Поделиться Опубликовано 3 марта, 2021 То есть выкраиваем ролл и с нёбно ещё кусочек как на ножке получается?На картинке где отмечено красным и жёлтым должно быть понятно как выкраивать) Ссылка на комментарий
Женька Опубликовано 3 марта, 2021 Автор Поделиться Опубликовано 3 марта, 2021 Всё понял, благодарю.Значит открою имплантат в области клыка (там вроде без мягких тканей смогу обойтись) и на этапе прикручивания конструкции буду ролить в области 1.2.Спасибо ещё раз, Антон! Теперь другой вопрос, какой должна быть "десневая" часть понтика овоида при изготовлении металлокерамической конструкции? Полностью из керамики (облицовка) или же в области контакта десны лучше металлический каркас чтобы был? Ссылка на комментарий
АнтонТЛТ Опубликовано 3 марта, 2021 Поделиться Опубликовано 3 марта, 2021 На мой взгляд отполированная керамика без глазури. 1 Ссылка на комментарий
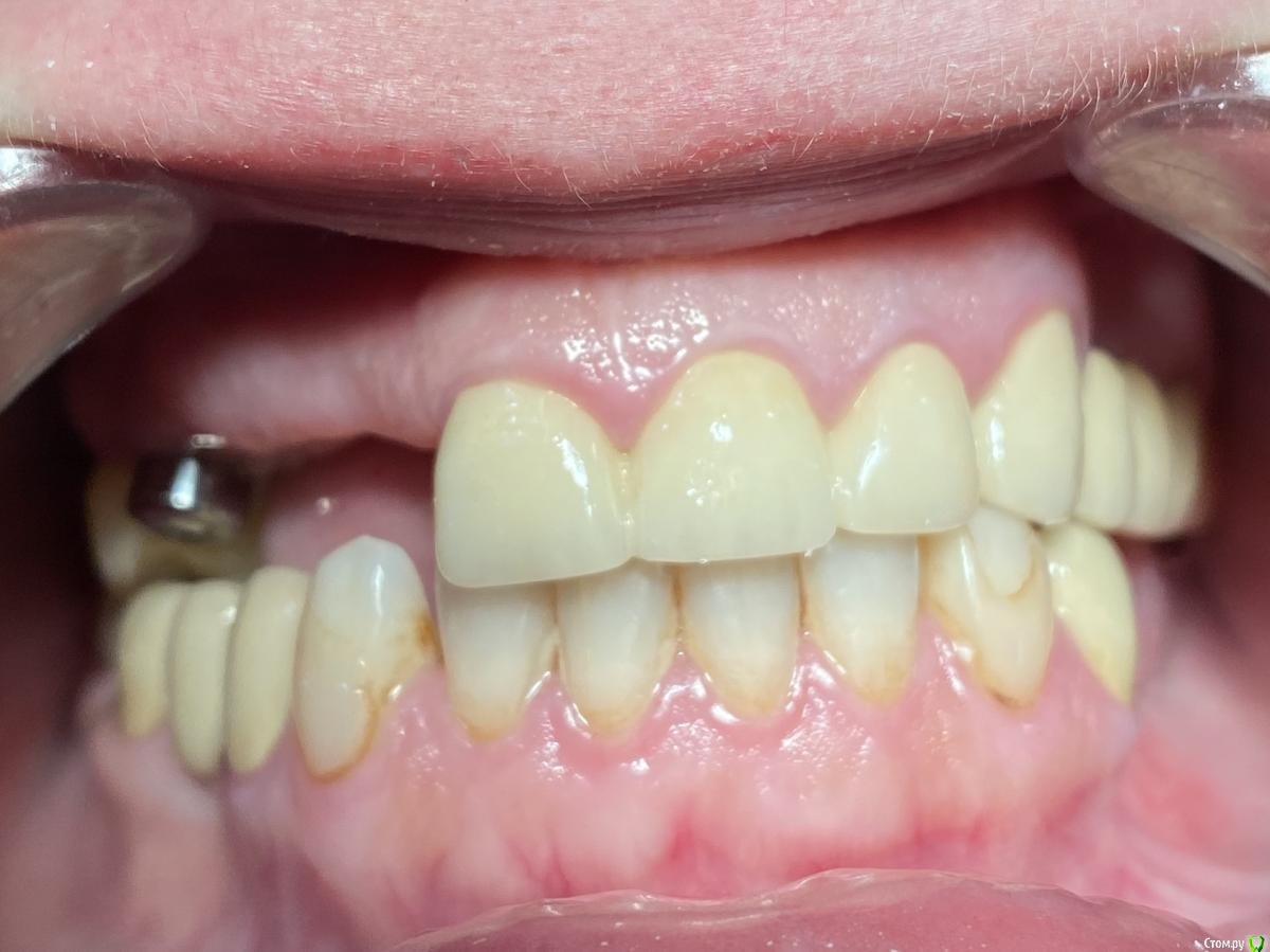
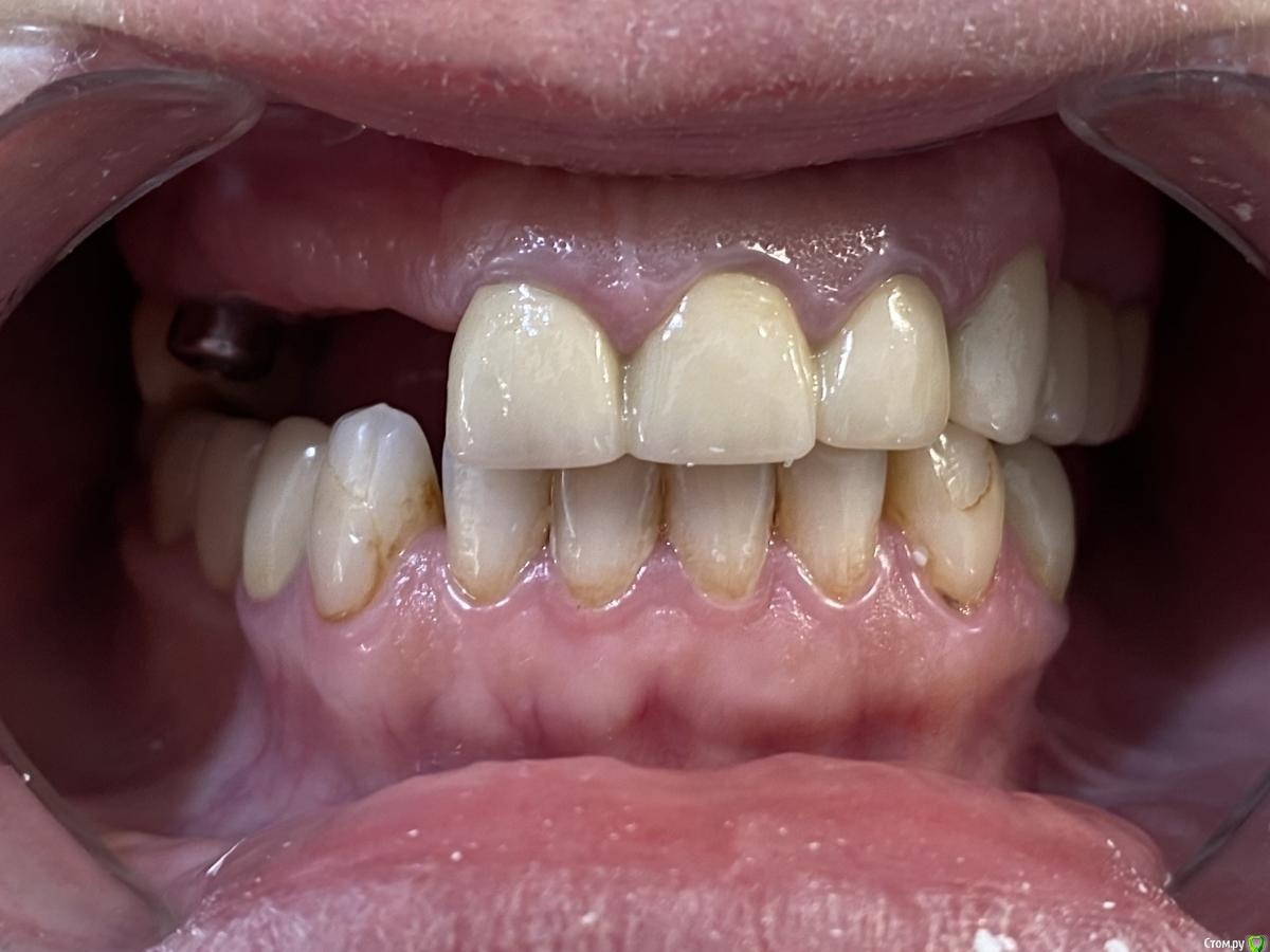
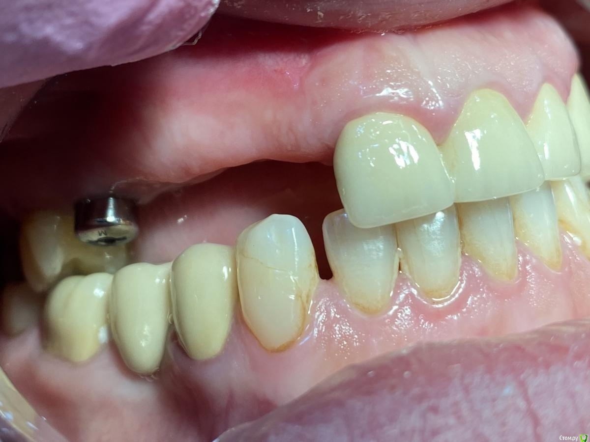
Женька Опубликовано 6 марта, 2021 Автор Поделиться Опубликовано 6 марта, 2021 В общем как-то рановато я начал спрашивать за понтики и консоли... Открыл сегодня 1.3. Я просто не понимаю, что не так и почему уже который раз проблема с позиционированнием... И напомню, тут был сделан шаблон под направляющие фрезы...но похоже здесь тоже "доктор был пьян"... Что думаете? Можно это как-то вывезти теперь нормально? Или пока оттиск с моделями не получим ничего не спрогнозировать? p.s. я расстроен и снова в самоедство начал Скрытый текст Ссылка на комментарий
Рекомендуемые сообщения
Для публикации сообщений создайте учётную запись или авторизуйтесь
Вы должны быть пользователем, чтобы оставить комментарий
Создать аккаунт
Зарегистрируйте новый аккаунт в нашем сообществе. Это очень просто!
Регистрация нового пользователяВойти
Уже есть аккаунт? Войти в систему.
Войти