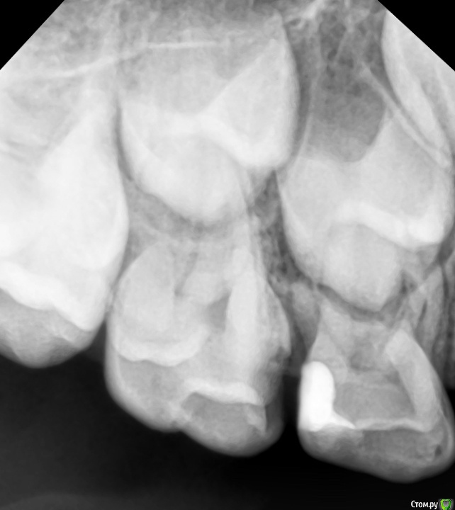
CRAZYDUCK Опубликовано 2 июня, 2018 Автор Поделиться Опубликовано 2 июня, 2018 (изменено) Кариес 7.4 . Инвазивная герметизация 7.5. Кате в августе будет 4 годика . Розового микроба , которого достали из ее зуба решила забрать домой .( маленькая ваточка с хвостиком , окрашенная кариес-маркером). На последнем фото - работу сдаём Катюше 476EC563-00EA-41F7-B7A3-0BB53C51D04F.bmp Изменено 2 июня, 2018 пользователем CRAZYDUCK 4 Ссылка на комментарий
Тань Опубликовано 2 июня, 2018 Поделиться Опубликовано 2 июня, 2018 Кариес 7.4 . Инвазивная герметизация 7.5. Кате в августе будет 4 годика . Розового микроба , которого достали из ее зуба решила забрать домой .( маленькая ваточка с хвостиком , окрашенная кариес-маркером). На последнем фото - работу сдаём Катюше Молодцы вы с Катюшей, справились с червячком Так получается, что и на герметизацию изолируетесь? А как же им в этом случае анестезию там где кламп делаете или он такой что не давит? 1 Ссылка на комментарий
CRAZYDUCK Опубликовано 3 июня, 2018 Автор Поделиться Опубликовано 3 июня, 2018 (изменено) ]Так получается, что и на герметизацию изолируетесь? А как же им в этом случае анестезию там где кламп делаете или он такой что не давит? спасибо ! Анестезия здесь была проведена - лечили же кариес 7.4 зуба. Насчет анестезии - я практически всегда лечу с обезболиванием . Ведь постановка клампа, матрицы , клина неприятные процедуры. Анестезию делаю по книжке Даггала. Сначала инфильтрация , прижимаю создавшееся депо анестетика ватным валиком ненадолго и ввожу по сосочкам медиально и дистально от нужного зуба. На фото анестезия 5.5 зуба. Иголка 30 G 12 мм. После такой анестезии делаю проводниковую если нужно лечить верхние или нижние 6. На такую плавную анестезию уходит карпула, иногда полторы. Изменено 3 июня, 2018 пользователем CRAZYDUCK 1 Ссылка на комментарий
CRAZYDUCK Опубликовано 3 июня, 2018 Автор Поделиться Опубликовано 3 июня, 2018 (изменено) Я стараюсь в одно посещение вылечить как можно больше зубов в одном сегменте ( но это не всегда возможно - из-за сложности лечения , контактности ребёнка), два зуба чаще всего ( иногда три, но бывает , что один ). Психологический момент . Да может быть больно даже после аппликации геля. Но , если нет уверенности в том , что ребёнку НЕ БОЛЬНО во время лечения - я не смогу качественно вылечить. . Ещё одно время на многих сайтах стоматологий ( в которых лечат детей ) агрессивно настаивали на том , что их доктора АБСОЛЮТНО БЕЗБОЛЕЗНЕННО сделают анестезию ребёнку ( ещё фея на розовом единороге прилетит , дитё мультик посмотрит и за 5 минут уйдёт с КАЧЕСТВЕННО вылеченным зубом ). Да , анестезия может быть безболезненна , но может быть и чувствительна. Это индивидуально все. Дети часто волнуются , даже плачут во время анестезии , но чаще всего мало кто испытывает сильную боль . Недавно случай был - 8 лет девчонке . Ранее лечилась у меня , в последний раз со слезами пришла - боится укола ( а мама - классика жанра - говорит , «да не плачь , тебе малюсенький укольчик сделают и все». Ну девчонка ещё больше в слезы , понятное дело . Анестезию делала инфильтрацию , по сосочкам и проводниковую для 1.6 зуба. Это по-шагово все было - втерли Гель , немного ввела инфильтрации, придавила подождала , медленно добавляю по сосочкам , нежно проводниковую ( минут 5-7). Она все время тихонько стонет и плачет ( думаю , что больно ) . После анестезии спрашивает - « сейчас не больно было , а укол обязательно нужно делать ?» чуть не сказала , что уже сделала ей много уколов . Но вслух сказала , что дырочка небольшая и укол не нужен . Все .стонала и плакала от ожидания боли . Изменено 3 июня, 2018 пользователем CRAZYDUCK Ссылка на комментарий
CRAZYDUCK Опубликовано 3 июня, 2018 Автор Поделиться Опубликовано 3 июня, 2018 Итак , фотки . Во время проведения по сосочкам ВАЖНО найти эту точку вкола , чтобы шло так , что на поршень давишь , но умеренно . Бывает вводишь в сосочек, давишь , а анестетик не идёт . А бывает , что наоборот выливается . Ищем другое место вкола , как правило выше ( на верхней челюсти ) и ниже ( на нижней )от первоначального вкола. Это с опытом прийдет . Например , 7.4 кариозная полость дистально и забита пищей , десна воспалена , если вводить в дистальный сосочек , то все будет выливаться из-за воспалённой десны. Нам важно получить побеление ( ишемию кольцевую) . У иглы есть срез . Мы можем после инфильтрации согнуть иглу срезом дистально или медиально . На примере 7.4 - срез иглы направляем дистально и колем в сосочек между 7.3 и 7.4 и десна белеет от клыка к четверке.десна белеет язычно внизу и небно вверху. Это дело практики , и это несложно совсем . 1 Ссылка на комментарий
CRAZYDUCK Опубликовано 3 июня, 2018 Автор Поделиться Опубликовано 3 июня, 2018 (изменено) Фото. Ватные валики рвём напополам и одеваем на иголку , чтобы ее не было видно ( валики проавтоклавированы );перед герметизацией стараюсь одевать коффердам , безболезненно пока одевать не умею , поэтому сначала делаю анестезию . Я перед герметизацией чищу глицином ( каво профифлекс , и ещё рондофлексом могу пройтись 27 мкм оксид алюминия , а без платка - ощущения неприятные Изменено 3 июня, 2018 пользователем CRAZYDUCK 3 Ссылка на комментарий
Audutor Опубликовано 3 июня, 2018 Поделиться Опубликовано 3 июня, 2018 Добавить с палатинальной стороны, очень не помешает. Ссылка на комментарий
CRAZYDUCK Опубликовано 3 июня, 2018 Автор Поделиться Опубликовано 3 июня, 2018 Добавить с палатинальной стороны, очень не помешает. если только непрямым методом , но я никогда не добавляю . Ссылка на комментарий
CRAZYDUCK Опубликовано 5 июня, 2018 Автор Поделиться Опубликовано 5 июня, 2018 Про эктопию верхних 6 зубов ( импактные шестые зубы). Встречается не так уж и редко . Для общего развития всем будет полезно . Эктопия ( импактные верхние 6 зубы).просто говоря - верхние 6 зубы из-за дефицита места на верхней челюсти или из-за оси прорезывания направленной медиально , способствуют резорбции корня 6.5 или 5.5. Эктопия может быть обратимой и необратимой . Но после 8 лет ( но возраст зубной может отличаться от антропометрического, поэтому смотрим на сроки прорезывания других постоянных зубов у конкретного ребёнка ) ортодонтическая коррекция нужна ( процесс необратимый). Методы устранения -Без удаления временного 5 возможно применение частичной брекет-системы , которая нормализует ось прорезывания 6 зуба ( в литературе можете найти всякие латунные сепараторы , но это история и мне кажется сложнее брекет-системы ). На первых двух фото показан случай эктопии 1.6 , который не требует удаления 5.5 . А вот дальше показан случай эктопии 2.6 , требующий удаления 6.5. Каждый случай индивидуален . ‼️коллеги , важно помнить , что 2.6 в случае удаления 6.5 полностью заблокирует зачаток 2.5 ‼️здесь обязательно нужна будет помощь ортодонта ( немедленная или отсроченная ортодонт с родителями решат ). Ну а 5 временные зубы после такой подлости со стороны шестёрок могут быть причиной воспаления ( хотя сами пятые могут быть инактными ). 2 Ссылка на комментарий
CRAZYDUCK Опубликовано 5 июня, 2018 Автор Поделиться Опубликовано 5 июня, 2018 (изменено) Про эктопию верхних 6 зубов . Изменено 5 июня, 2018 пользователем CRAZYDUCK Ссылка на комментарий
St. Опубликовано 5 июня, 2018 Поделиться Опубликовано 5 июня, 2018 Ватные валики рвём напополам и одеваем на иголку , чтобы ее не было видно О, спасибо за идею!А карпульного шприца ваши не боятся? У меня пугаются даже без иглы самого его вида, так я инсулинкой стараюсь колоть, она не такая массивная с виду. Хотя честно говоря в процессе все равно часто хныкают Ссылка на комментарий
CRAZYDUCK Опубликовано 6 июня, 2018 Автор Поделиться Опубликовано 6 июня, 2018 О, спасибо за идею!А карпульного шприца ваши не боятся? У меня пугаются даже без иглы самого его вида, так я инсулинкой стараюсь колоть, она не такая массивная с виду. Хотя честно говоря в процессе все равно часто хныкают с ассистентом хорошо прятать шприц . Я втираю аппликационный анестетик , потом говорю , что эту пасту нужно смыть водой , чтобы вода в нос не попала ( могу брызнуть из пустера , чтобы поверили на губу верхнюю) ассистент ставит ладонь выше верхней губы - так не видно шприц , особенно если лежит ребёнок . Но если доверия нет у ребёнка или стойкий страх , это не сработает . Сейчас попробую видео вставить, если не зальётся видос - дайте знать . Это моя старшая дочь на видео .3E331499-F4D2-4DC3-8DBE-53BE824FDB5F.MOV 1 Ссылка на комментарий
CRAZYDUCK Опубликовано 6 июня, 2018 Автор Поделиться Опубликовано 6 июня, 2018 У меня не показывает , а у вас ? Ссылка на комментарий
St. Опубликовано 6 июня, 2018 Поделиться Опубликовано 6 июня, 2018 (изменено) все открывается, спасибо!З.Ы. у Вас очень позитивная рабочая форма)) Изменено 6 июня, 2018 пользователем St. Ссылка на комментарий
CRAZYDUCK Опубликовано 6 июня, 2018 Автор Поделиться Опубликовано 6 июня, 2018 все открывается, спасибо!З.Ы. у Вас очень позитивная рабочая форма)) спасибо ! Ссылка на комментарий
CRAZYDUCK Опубликовано 7 июня, 2018 Автор Поделиться Опубликовано 7 июня, 2018 Восстановление десны после фиксации коронки происходит примерно за неделю . Ниже фото в день фиксации и через 10 дней . 1 Ссылка на комментарий
CRAZYDUCK Опубликовано 8 июня, 2018 Автор Поделиться Опубликовано 8 июня, 2018 Родиончик , 6 лет . Познакомились больше двух лет назад ,были разные встречи . Веселые и грустные . Но Родиончик молодец ! Выбрал два подарка . Лечение обратимого пульпита 5.5 зуба, старалась сфотать ампутацию и МТА на устьях. 1 Ссылка на комментарий
CRAZYDUCK Опубликовано 8 июня, 2018 Автор Поделиться Опубликовано 8 июня, 2018 Просто чистка с целью адаптации 4 -х летнего мальчишки. Ссылка на комментарий
crown Опубликовано 8 июня, 2018 Поделиться Опубликовано 8 июня, 2018 Восстановление десны после фиксации коронки происходит примерно за неделю . Ниже фото в день фиксации и через 10 дней .Коронка вне прикуса. Как вам идея снимать слепки и отдавать техникам для изготовления штамповок? Ссылка на комментарий
crown Опубликовано 8 июня, 2018 Поделиться Опубликовано 8 июня, 2018 Родиончик , 6 лет . Познакомились больше двух лет назад ,были разные встречи . Веселые и грустные . Но Родиончик молодец ! Выбрал два подарка .Лечение обратимого пульпита 5.5 зуба, старалась сфотать ампутацию и МТА на устьях.А вы всю пульпу коронковую удалили? Здесь такой доступ интересный, я все сношу) Еще вопрос, вы пульпу в устьевой части чем нибудь удаляете, экскаватором или бором например? а то бывает после ампутации кусок нерва торчит из устья. Ссылка на комментарий
crown Опубликовано 8 июня, 2018 Поделиться Опубликовано 8 июня, 2018 если только непрямым методом , но я никогда не добавляю .Что такое палатинальная анестезия непрямым методом?? Ссылка на комментарий
CRAZYDUCK Опубликовано 8 июня, 2018 Автор Поделиться Опубликовано 8 июня, 2018 Что такое палатинальная анестезия непрямым методом?? да, та же самая внутрисосочковая. В небо же больно адски сразу колоть . С вестибулярной поверхности вводишь иглу и вводишь анестетик - белеет небно, потом если считаешь нужным , то добавляешь в эту побелевшую на небе часть . Ссылка на комментарий
CRAZYDUCK Опубликовано 8 июня, 2018 Автор Поделиться Опубликовано 8 июня, 2018 Коронка вне прикуса. Как вам идея снимать слепки и отдавать техникам для изготовления штамповок? ну и что , что вне прикуса , тремы тоже бывают , это же стандартные коронки . Насчет техника - нет , я за одно посещение . Бывает завышает немного , но за неделю все нормализуется . Проблем с суставом не будет . Ссылка на комментарий
CRAZYDUCK Опубликовано 8 июня, 2018 Автор Поделиться Опубликовано 8 июня, 2018 А вы всю пульпу коронковую удалили? Здесь такой доступ интересный, я все сношу) Еще вопрос, вы пульпу в устьевой части чем нибудь удаляете, экскаватором или бором например? а то бывает после ампутации кусок нерва торчит из устья. это здесь доступ такой получился , но чаще убираю окклюзионно больше , чтобы удобнее ампутацию сделать было и МТА внести.Пульпу только микромотором убираю , можно экскаватором срезать , но я не пробовала . Если вижу ошмётки ( простите мой французский), то ещё микромотором прохожу . Ссылка на комментарий
CRAZYDUCK Опубликовано 9 июня, 2018 Автор Поделиться Опубликовано 9 июня, 2018 Коронка вне прикуса. Как вам идея снимать слепки и отдавать техникам для изготовления штамповок? я пробовала с техником - нет гарантии , что коронка будет идеально сидеть ( ну у меня так было ), а анестезию два раза делать и два визита нужно. Не стоит придираться сильно к коронкам. Я сначала тоже снимки смотрела , по высоте прикуса , ко всему придиралась и волновалась . Но сейчас я понимаю , что некоторые погрешности ( точнее неидеальности ) в коронках не могут навредить . Это же не индивидуальные все-таки конструкции. В общем я за стандартные коронки двумя руками. Ссылка на комментарий
Рекомендуемые сообщения
Для публикации сообщений создайте учётную запись или авторизуйтесь
Вы должны быть пользователем, чтобы оставить комментарий
Создать аккаунт
Зарегистрируйте новый аккаунт в нашем сообществе. Это очень просто!
Регистрация нового пользователяВойти
Уже есть аккаунт? Войти в систему.
Войти