CRAZYDUCK Опубликовано 25 мая, 2018 Автор Поделиться Опубликовано 25 мая, 2018 Просто вы продвинутый детский стоматолог, так мало кто лечит, все резорцинят и лепят цемент, поэтому и нет вопросов. спасибо , я сделаю пост про резорцин попозже , давно хотела . Ссылка на комментарий
St. Опубликовано 25 мая, 2018 Поделиться Опубликовано 25 мая, 2018 в основном тут ортопеды хирурги и терапевты, детей лечат большинство, но не рутинно. 100%, а Вы кажетесь со стороны волшебницей!)) Я эпизодически лечу детей, но крайне редко, и чаще более старшего возраста. Не представляю как заболтать малышей 3-5 лет чтоб они дали сделать анестезию и высидели час в кресле. Ссылка на комментарий
CRAZYDUCK Опубликовано 26 мая, 2018 Автор Поделиться Опубликовано 26 мая, 2018 100%, а Вы кажетесь со стороны волшебницей!)) Я эпизодически лечу детей, но крайне редко, и чаще более старшего возраста. Не представляю как заболтать малышей 3-5 лет чтоб они дали сделать анестезию и высидели час в кресле. на самом деле , это все совсем не сложно , если захотеть . Даже просто . Я накидаю ещё в тему методику анестезии ( в смысле , как мы ее от детей прячем ) , ещё какие-то фишечки . Я могу и другие доктора при желании смогут . Это только кажется сложным . Ссылка на комментарий
St. Опубликовано 26 мая, 2018 Поделиться Опубликовано 26 мая, 2018 Спасибо, было бы здорово! Ссылка на комментарий
Тань Опубликовано 28 мая, 2018 Поделиться Опубликовано 28 мая, 2018 Большое спасибо Вам , что делитесь с нами своими наработками, у Вас картинки как у Даггала в учебнике! Меня лично заинтересовали некоторые моменты ваших протоколов и хочу спросить (например в этом посте с Вероничкой): 1)"...Инструментальная обработка Sx ( устьевик)" - реально экстирпируется пульпа и не надо пульпэкстракторов? 2). ".....перекрываю кальцимолом устья.." - что это даёт? 3)"... Фиксация коронки" -а чем ее подрезаете и полируете? С уважением, Татьяна. Ссылка на комментарий
CRAZYDUCK Опубликовано 30 мая, 2018 Автор Поделиться Опубликовано 30 мая, 2018 (изменено) Большое спасибо Вам , что делитесь с нами своими наработками, у Вас картинки как у Даггала в учебнике! Меня лично заинтересовали некоторые моменты ваших протоколов и хочу спросить (например в этом посте с Вероничкой): 1)"...Инструментальная обработка Sx ( устьевик)" - реально экстирпируется пульпа и не надо пульпэкстракторов? 2). ".....перекрываю кальцимолом устья.." - что это даёт? 3)"... Фиксация коронки" -а чем ее подрезаете и полируете? С уважением, Татьяна. Здравствуйте, я хочу , чтобы коллеги поняли , что «детство» может быть несложным, поэтому делюсь .Sx устьевик не убирает пульпу , просто я никогда пульпоэкстракторами не работала , пульпа убирается в процессе обработки корневого канала ( расширения) ручными инструментами, но многие доктора убирают пульпоэкстракторами .Кальцимол - как изолирующая , можно СИЦ ( йоносит, например). Но изолирующую использую , если будет пломба . А под коронку - сразу IRM в полость после пломбирования каналов .Про коронки- сейчас я их не подрезаю и не подгибаю , все гораздо проще . Подобрал размер , обработал зуб и примерил коронку - если все Ок, то фиксируешь , если не садится коронка , то зуб препарируем ещё . Я позже постараюсь описать преп под коронки.Хочу перейти на полностью машинную обработку каналов . Позже поделюсь. Изменено 30 мая, 2018 пользователем CRAZYDUCK 1 Ссылка на комментарий
CRAZYDUCK Опубликовано 30 мая, 2018 Автор Поделиться Опубликовано 30 мая, 2018 (изменено) В этом случае немного видно преп под коронку . Описание случая ниже .B9CDEEE8-69F9-4F9D-B72C-1663ADE5EECD.bmp Изменено 30 мая, 2018 пользователем CRAZYDUCK 7 Ссылка на комментарий
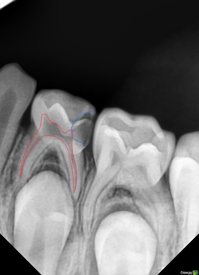
CRAZYDUCK Опубликовано 30 мая, 2018 Автор Поделиться Опубликовано 30 мая, 2018 Лечение 7.4 . Необратимый пульпит 7.4 зуба . В данном случае хорошо видно , что после ампутации гемостаз не наступает ( полость зуба заполнена кровью). Позже выложу случай со спонтанным гемостазом . Одного критерия , который бы со 100% вероятностью помогал понять , что нужна экстирпация нет . ❗Жалобы —если была самопроизвольная боль , которая не была связана с приемом пищи или выраженное последействие после пищи, боль купировалась приемом обезболивающего . Болит так , что ребёнок плачет . Самопроизвольная боль есть - скорее всего экстирпация ( если не удаление зуба).❗RVG если полость пульпы сообщается с кариозной полостью , то скорее всего экстирпация - учитывать проекцию тоже нужно .❗Гемостаз должен наступить через 4-5 минут после ампутации, если его нет - экстирпация .В данном случае боль была только кратковременная после приёма жесткой пищи . Преп, экстирпация ( Sxмашинный протейпер ), потом до 25.02 ручными , гипохлорит 3%, Йодотин в каналы , IRM культя , коронка фиксирована на Айрекс Цем . Обратите внимание - во время обработки зуба под Коронку - все в хлам и платок и десна . Предупреждаем родителей о дискомфорте , связанном с травмированием десны. 7 Ссылка на комментарий
Тань Опубликовано 30 мая, 2018 Поделиться Опубликовано 30 мая, 2018 Спасибо большое, Вы вдохновляете! У меня с коронками стопор вышел, надо опять начинать! Ссылка на комментарий
CRAZYDUCK Опубликовано 30 мая, 2018 Автор Поделиться Опубликовано 30 мая, 2018 Эстетика в детской стоматологии. Речь о методах лечения , которые влияют на «красоту» зубов. Коронки .Поставила бы я своему ребёнку такую коронку ?! Да, если бы это требовалось для сохранения зуба до смены . Да, они некрасивые и металлические, но функцию сохранения зуба выполнят лучше , чем обширная пломба ( зато беленькая). Срок службы временного зуба ( как правило ) максимум лет 5 -7( больше , если лечили совсем кроху ). Вспомните свои «взрослые» реставрации ( средний срок службы «световой» пломбы 5-7 лет ( если все выполнено в рамках показаний ). Коронки пришли к нам из более развитых стран Европы ( США) , в этих странах коронками покрывают временные зубы уже лет 30( если не больше). Есть Коронки с облицовкой ( но это дороже из-за себестоимости коронок), в будущем будут у нас на приеме и белые Коронки . 4 Ссылка на комментарий
CRAZYDUCK Опубликовано 30 мая, 2018 Автор Поделиться Опубликовано 30 мая, 2018 продолжение Резорцин-формалин . ‼фото этих зубов мои - но работа не моя ‼Этот метод приводит к окрашиванию зуба в грязно-розовый цвет( тоже не эстетично , а так себе). Этот метод подразумевает ‼‼три посещения для лечения одного зуба ‼‼ зачем ?! Если можно вылечить в одно ( ну бывает за два посещения , но крайне редко). ‼фото резорциненных -это не моя работа ‼РФ( резорцин-формалиновый) метод - это использование мышьяка ( его аналогов) для некроза (гибели) нерва. Создают влажный( коликвационный) некроз, а потом переводят его в сухой некроз ( создавая в идеале асептический мумифицированный тяж из остатков нерва). Этот метод чаще встречается в гос учреждениях, на большом конвейерном потоке. Я не считаю этот метод злом , он неудобен на практике ( зубов 5 за всю свою практику я этим методом лечила)Самые красивые - беленькие и гладенькие пломбочки , но это не всегда возможно 1 Ссылка на комментарий
CRAZYDUCK Опубликовано 30 мая, 2018 Автор Поделиться Опубликовано 30 мая, 2018 Про обратимый пульпит .( ампутацию) Лечение методом витальной АМПУТАЦИИ. Даше в июле 6 лет . Познакомились мы полтора года назад , но сотрудничать не получилось , направлены для лечения в условиях общего обезболивания ( наркоз ) к ☺ @toothfairymila После лечения в условиях наркоза дети легче идут на контакт . Ребёнка не узнать - если до лечения в наркозе Даша даже в кресло садилась со слезами , то после - милые подарки , осторожно , но готова сотрудничать . Даша внимательно смотрит на моих ассистентов , взгляд изучающий ( можно этому человеку доверять или нет ). Маме Даши огромное спасибо - очень ответственно относится к регулярным осмотрам . Выявили скрытые кариозные полости и Даша доверилась лечиться в обычных условиях ( без наркоза ). 6.4 - обратимый пульпит , изначально было обширное разрушение , восстановлено пломбой в наркозе , поэтому лепить там пломбу ещё больше нет смысла. После ампутации -спонтанный гемостаз ( сравните с предыдущим случаем). Промываем ХГ 2% , мта на устья , IRM , коронка. 6.5 - обширная реставрация окклюзионно и начался кариес на медиальной контактной поверхности . Зуб должен меняться примерно в 10 лет ( 9-11 лет средний срок), то есть хочется , чтобы он постоял ещё года четыре , поэтому покрываем коронкой . Ждём Дашу на осмотр через 3-4 месяца.П.С. На заметку молодым коллегам - На снимке обвела зелёным нерентгенконтрастную реставрацию на зубе 6.3 , похоже на кариес , но это очень хорошая реставрация ! 1 Ссылка на комментарий
CRAZYDUCK Опубликовано 30 мая, 2018 Автор Поделиться Опубликовано 30 мая, 2018 Продолжительность лечения двух зубов меньше часа . 4 Ссылка на комментарий
CRAZYDUCK Опубликовано 30 мая, 2018 Автор Поделиться Опубликовано 30 мая, 2018 Мне так нравятся эти голубые платки ( три смайлика с сердечками в глазах ) 1 Ссылка на комментарий
krokomot Опубликовано 30 мая, 2018 Поделиться Опубликовано 30 мая, 2018 Вы просто молодец)) 1 Ссылка на комментарий
CRAZYDUCK Опубликовано 30 мая, 2018 Автор Поделиться Опубликовано 30 мая, 2018 Вы просто молодец))спасибо ! Ссылка на комментарий
crown Опубликовано 30 мая, 2018 Поделиться Опубликовано 30 мая, 2018 Док, такая эндодонтия приемлема? Все условия соблюдены, коффердам, гипохлорит, ничего не кровило. Ссылка на комментарий
CRAZYDUCK Опубликовано 31 мая, 2018 Автор Поделиться Опубликовано 31 мая, 2018 Док, такая эндодонтия приемлема? Все условия соблюдены, коффердам, гипохлорит, ничего не кровило. смущают медиальные каналы - один кажется совсем мало запломбирован , а второй не так плотно , как дистальный ? Скорее всего , что все будет хорошо . Паста может рассосаться в медиальных быстрее , чем в дистальном, но если патологических изменений ( разрежения) не будет , то это норма . Каналы могут быть пустыми до смены . Сделайте снимки каждые 3-4 месяца в течение года . Я поняла , что хорошо заполняются пастой сухие каналы . Тонкой насадкой на пылесосе и бумажными пинами сушу. Ссылка на комментарий
CRAZYDUCK Опубликовано 31 мая, 2018 Автор Поделиться Опубликовано 31 мая, 2018 Взрослых практически не лечу ( не очень мое это ). Вот ассистентка моя , Алинка . Сапожники без сапог , блин . Берегла зубы почти год для тренировки другой ассистентки , не дождалась . Вмешалась я. 6 Ссылка на комментарий
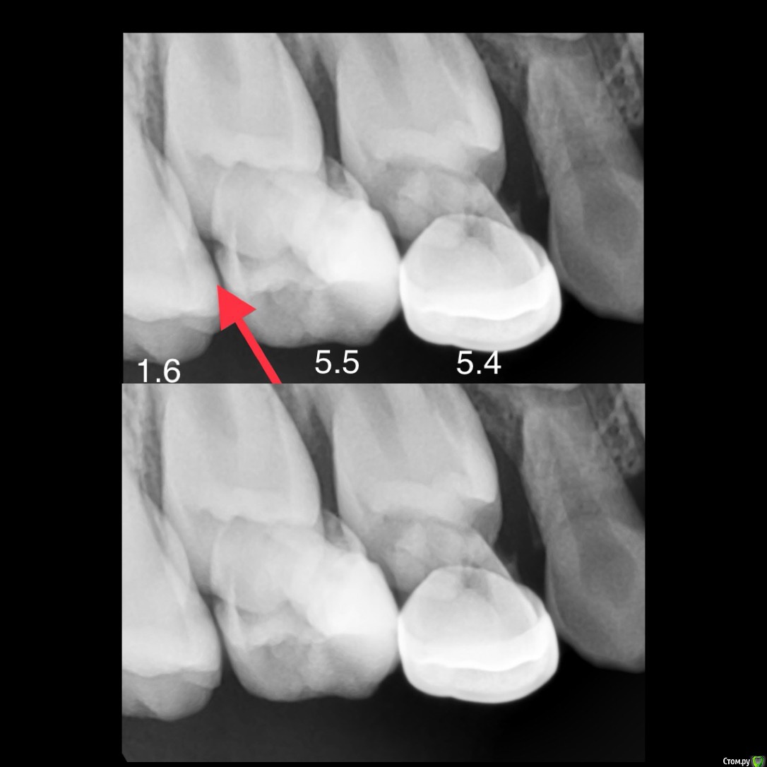
CRAZYDUCK Опубликовано 31 мая, 2018 Автор Поделиться Опубликовано 31 мая, 2018 (изменено) Просто гипоплазия , осложнённая кариесом 4.6 зуба . Поражены все 6 зубы (3.6 и 2.6 в большой степени , 3.6 нужно покрыть коронкой ;/ ) 4.6 и 1.6 в небольшой степени . Кариес маркер для родителей ( для наглядности ).Зато 1.6 эктопирован и «сожрал» корень 5.5. Ещё не исправляли эктопию. Выложить снимки эктопированного 1,6 ? Изменено 31 мая, 2018 пользователем CRAZYDUCK 2 Ссылка на комментарий
CRAZYDUCK Опубликовано 1 июня, 2018 Автор Поделиться Опубликовано 1 июня, 2018 (изменено) Вроде бы этот случай не выкладывала . Смена зубов , ранее покрытых коронками . Эту коронку зафиксировала года два назад ( одна из первых ). Видно , что она короткая . Это было очень сложно , звала на помощь мужа - ортопеда ;( Изменено 1 июня, 2018 пользователем CRAZYDUCK 2 Ссылка на комментарий
CRAZYDUCK Опубликовано 1 июня, 2018 Автор Поделиться Опубликовано 1 июня, 2018 Сейчас же установка коронок легкая и ненапряжная, быстрее , чем реставрация . Особенно в те времена я не любила верхние 4 зубы покрывать коронками - самые неудобные были для меня . Вывод - учиться , учиться и ещё раз учиться , все получится . С первым днём лета ! 1 Ссылка на комментарий
CRAZYDUCK Опубликовано 1 июня, 2018 Автор Поделиться Опубликовано 1 июня, 2018 Официально лето наступило !!!! Немного не про будни .в Краснодаре солнечно ☀️ 3 Ссылка на комментарий
crown Опубликовано 2 июня, 2018 Поделиться Опубликовано 2 июня, 2018 Периодонтиты в молочных лечите? Ссылка на комментарий
CRAZYDUCK Опубликовано 2 июня, 2018 Автор Поделиться Опубликовано 2 июня, 2018 Периодонтиты в молочных лечите? мы раньше общались на эту тему - осталась при своём - практически нет . Попозже напишу про осложнения с фотографиями . Ссылка на комментарий
Рекомендуемые сообщения
Для публикации сообщений создайте учётную запись или авторизуйтесь
Вы должны быть пользователем, чтобы оставить комментарий
Создать аккаунт
Зарегистрируйте новый аккаунт в нашем сообществе. Это очень просто!
Регистрация нового пользователяВойти
Уже есть аккаунт? Войти в систему.
Войти