red_butler Опубликовано 15 мая, 2018 Поделиться Опубликовано 15 мая, 2018 Классная тема 3 Ссылка на комментарий
CRAZYDUCK Опубликовано 15 мая, 2018 Автор Поделиться Опубликовано 15 мая, 2018 Классная тема спасибо 3 Ссылка на комментарий
CRAZYDUCK Опубликовано 15 мая, 2018 Автор Поделиться Опубликовано 15 мая, 2018 Герметизация 3.6 и лечение кариеса 7.5. 1 Ссылка на комментарий
CRAZYDUCK Опубликовано 15 мая, 2018 Автор Поделиться Опубликовано 15 мая, 2018 Гипоплазия и кариес 3.6 . Анестезия инфильтрация плюс проводниковая ( точнее «плавная» проводниковая )Акцентируем внимание родителей , что десна будет беспокоить некоторое время ( но это индивидуально ).Кариес маркер использую больше для наглядности ( когда показываю фото родителям). 1 Ссылка на комментарий
CRAZYDUCK Опубликовано 16 мая, 2018 Автор Поделиться Опубликовано 16 мая, 2018 Про травму можно много написать . Главное , пожалуй , осмотр и снимок травмированных зубов в день осмотра ( проверяем мягкие ткани на предмет инородных тел - осколки зубов, частички земли, модно сделать RVG мягких тканей , чтобы ничего не пропустить ). Есть такой термин «асфальтовая татуировка»- остаются частички асфальта или ещё чего в травмированных мягких тканях . RVG зуба через неделю - может увидеть перелом корня без смещения , обломки будут разъединены на снимке сгустком крови ( этого на первом снимке может не быть). Далее снимки каждые 3-4 месяца в течение 9-12 месяцев. Можем наблюдать бессимптомную гибель пульпы . Изменение цвета коронковой части само по себе не является показанием к экстирпации , если снимок «хороший». 1 1 Ссылка на комментарий
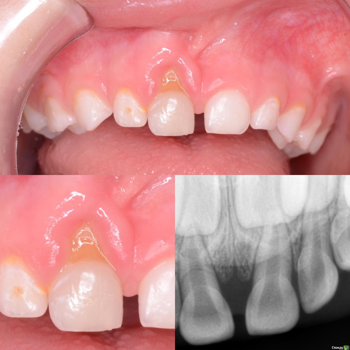
CRAZYDUCK Опубликовано 16 мая, 2018 Автор Поделиться Опубликовано 16 мая, 2018 (изменено) Катя 3,8 лет, травма 5.1 была в январе 2017 ( я увидела впервые Катю два дня назад ). 5.1 не подвижен !!!( в пределах нормы физиологической подвижность ). На фото выглядит так будто он держится на «честном слове», патологии на RVG тоже нет . Изменение цвета есть . Наблюдаем .книжка по травме хорошая . Изменено 16 мая, 2018 пользователем CRAZYDUCK 3 Ссылка на комментарий
CRAZYDUCK Опубликовано 19 мая, 2018 Автор Поделиться Опубликовано 19 мая, 2018 Лечение кариеса 8.4 и 8.5 , герметизация 4.6 . 3 Ссылка на комментарий
CRAZYDUCK Опубликовано 19 мая, 2018 Автор Поделиться Опубликовано 19 мая, 2018 (изменено) Костя , 7 лет .Лечение кариеса 1.6; обратимый пульпит 5.4 и 5.5 .5.4 заполирован по контакту после снятия коффера, платок два раза меняла ( порвала по каоьакту). Фото после снятия коффердама уже не было сил сделать ;( ( новая ассистент, еще не сработались - дольше все делаем , чем с другим ассистентом .Ещё прийдет на лечение - сделаю . Изменено 19 мая, 2018 пользователем CRAZYDUCK 3 Ссылка на комментарий
CRAZYDUCK Опубликовано 20 мая, 2018 Автор Поделиться Опубликовано 20 мая, 2018 (изменено) Текст -описание ниже . Изменено 20 мая, 2018 пользователем CRAZYDUCK 3 Ссылка на комментарий
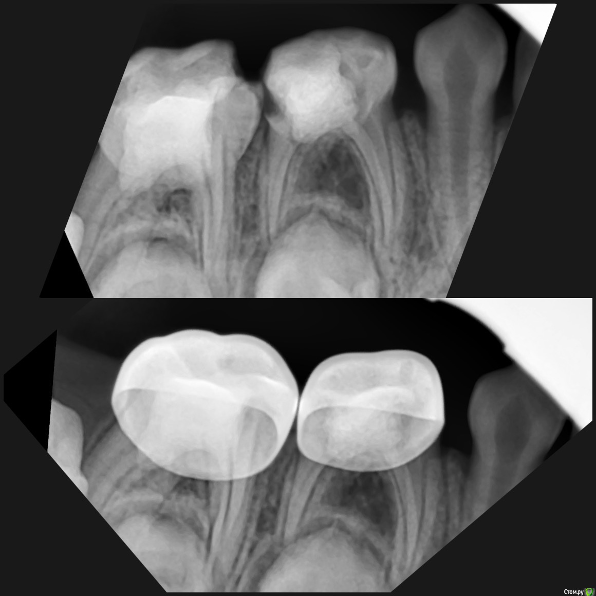
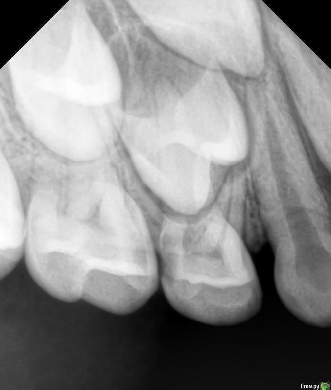
CRAZYDUCK Опубликовано 20 мая, 2018 Автор Поделиться Опубликовано 20 мая, 2018 Вовремя замеченный кариес не успеет превратиться в пульпит . Поверхностный кариес контактных поверхностей 6.5 и 6.4 зубов, подтверждённый RVG исследованием . Серёже 3,5 года , но он большой молодец , продолжительность 45 минут ( анестезия, коффердам , преп турбиной и рондофлекс , пломбирование и полировка. 1 Ссылка на комментарий
CRAZYDUCK Опубликовано 20 мая, 2018 Автор Поделиться Опубликовано 20 мая, 2018 Шиповидный боковой резец 1.2 . Изначально был дефицит места . Место создали -зуб восстановили ( реставрация временная - на время ортодонтического лечения , после полноценная реставрация). 1 Ссылка на комментарий
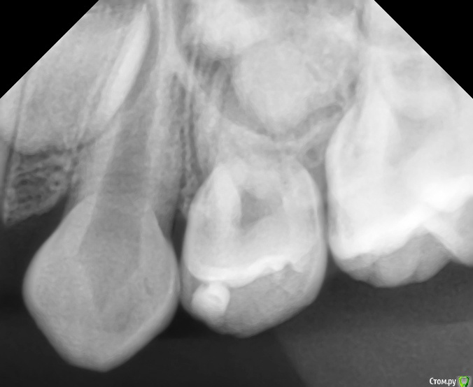
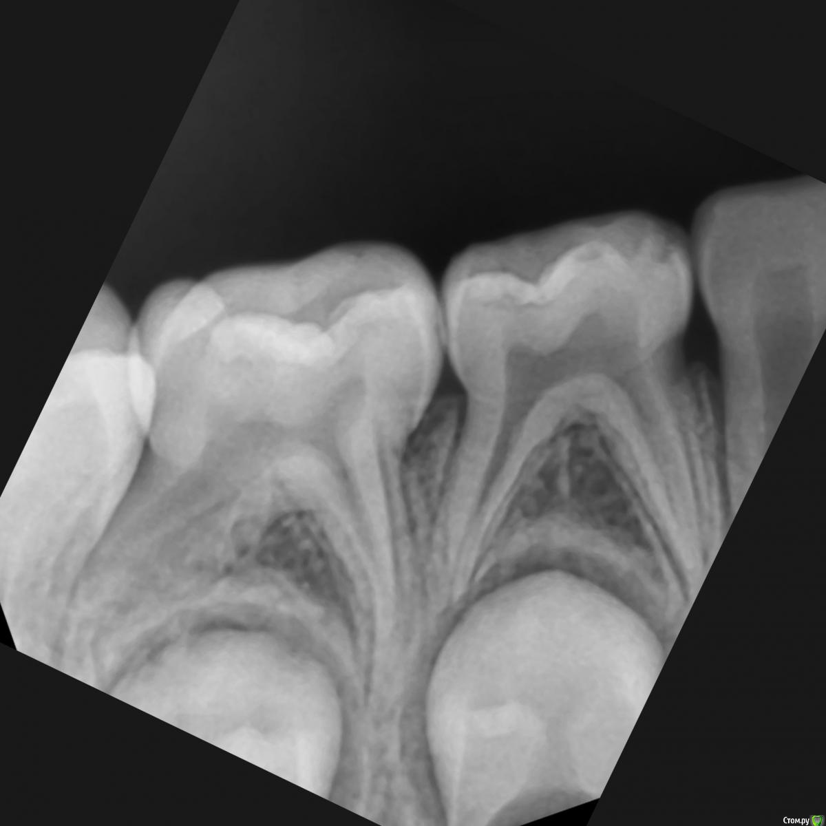
CRAZYDUCK Опубликовано 22 мая, 2018 Автор Поделиться Опубликовано 22 мая, 2018 Сначала текст , ниже фото .Даша , 5,5 лет . Лечение кариеса 5.5, кариеса 5.3 , необратимый пульпит 5.4. Продолжительность 1час 30 минут ( с момента входа в кабинет, выбора мультика и до расставания).«Скрытый» кариес медиальной контактной поверхности 5.5 подтверждён RVG. Я указала на него синими стрелочками ( листайте). 5.3 обработала рондофлекс и немного микромотором .5.4 - видно , что после ампутации гемостаза нет( полость заполнена кровью). Экстирпация машинный sx, ручные файлы 25.02; промываю гипохлорит 3%. В каналах Йодотин.культя 5.4 восстановлена IRM. Коронку фиксирую на айрекс-цем.Контрольный снимок. 1 Ссылка на комментарий
CRAZYDUCK Опубликовано 22 мая, 2018 Автор Поделиться Опубликовано 22 мая, 2018 Фото. 2 Ссылка на комментарий
CRAZYDUCK Опубликовано 22 мая, 2018 Автор Поделиться Опубликовано 22 мая, 2018 (изменено) И про короночки ловите. 8.4 и 8.5 ранее ( около двух лет назад ) лечены методом витальной ампутации . Реставрации обширные плюс начался кариес контактных поверхностей . Два года назад я не применяла так широко в практике своей Коронки ( сейчас бы покрыла сразу после ампутации). Изменено 22 мая, 2018 пользователем CRAZYDUCK 1 Ссылка на комментарий
crown Опубликовано 22 мая, 2018 Поделиться Опубликовано 22 мая, 2018 8.4 похоже что есть изменения в бифуркации? Да надо возвращаться к коронкам. Вы где учились их ставить? Ссылка на комментарий
CRAZYDUCK Опубликовано 23 мая, 2018 Автор Поделиться Опубликовано 23 мая, 2018 В нижних 4 часто такая зона, даже в интактных. Я тоже на эту зону всегда недоверчиво смотрю. Я напишу Вам в личку позже где училась . 8.4 похоже что есть изменения в бифуркации? Да надо возвращаться к коронкам. Вы где учились их ставить? Ссылка на комментарий
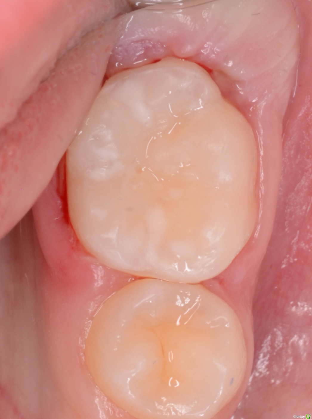
CRAZYDUCK Опубликовано 24 мая, 2018 Автор Поделиться Опубликовано 24 мая, 2018 В этом клиническом случае хочу обратить внимание коллег на покрытие 8.5 зуба коронкой ( что необычного видите ?). И на использование флосса, чтобы заправить платок дистально за 4.6 . 4.6 начальный кариес , но зуб дистально ещё был прикрыт десной ( фото до лечения не делала без коффердама). Раньше во время работы в эту дистальную зону «трамбовала» Фумку . Следила , чтобы не подтекало . Но !!!!Очень удобно эту десну заправлять флоссом - ничего не течёт 1 Ссылка на комментарий
CRAZYDUCK Опубликовано 24 мая, 2018 Автор Поделиться Опубликовано 24 мая, 2018 8.5 ранее лечен методом витальной ампутации( 1,5 года назад ), но реставрация обширная . Не выдерживает жевательную нагрузку . 2 Ссылка на комментарий
CRAZYDUCK Опубликовано 24 мая, 2018 Автор Поделиться Опубликовано 24 мая, 2018 Я всегда перед лечением очищаю зубы кавопрофифлекс ( все зубы , которые попали в зону изоляции ), поэтому изначально планировали только покрыть 8.5 коронкой . Из-за этого изоляция такая ( никакая), но после чистки 4.6 стало ясно , что планы немного меняются . Ссылка на комментарий
crown Опубликовано 24 мая, 2018 Поделиться Опубликовано 24 мая, 2018 (изменено) В этом клиническом случае хочу обратить внимание коллег на покрытие 8.5 зуба коронкой ( что необычного видите ? Коронка от другого зуба? Изменено 24 мая, 2018 пользователем crown Ссылка на комментарий
CRAZYDUCK Опубликовано 25 мая, 2018 Автор Поделиться Опубликовано 25 мая, 2018 (изменено) Коронка от другого зуба? да , 6.5 на 8.5 , можно заменять в случае необходимости . Изменено 25 мая, 2018 пользователем CRAZYDUCK Ссылка на комментарий
CRAZYDUCK Опубликовано 25 мая, 2018 Автор Поделиться Опубликовано 25 мая, 2018 Ребят , мне кажется эта тема не вызывает интереса ? Детских стоматологов мало на форуме или просто не интересно . Я ожидала активности , вопросов , но похоже , что я ошиблась ... 1 Ссылка на комментарий
krokomot Опубликовано 25 мая, 2018 Поделиться Опубликовано 25 мая, 2018 Вы молодец, на вас можно равняться, всё хочу освоить эти коронки стандартные, расскажите протокол их установки и нюансы. Работой с композитом на форуме особено никого не удивишь, кроме той особенности что это работа с детьми, в основном тут ортопеды хирурги и терапевты, детей лечат большинство, но не рутинно. Ссылка на комментарий
crown Опубликовано 25 мая, 2018 Поделиться Опубликовано 25 мая, 2018 Ребят , мне кажется эта тема не вызывает интереса ? Детских стоматологов мало на форуме или просто не интересно . Я ожидала активности , вопросов , но похоже , что я ошиблась ...Просто вы продвинутый детский стоматолог, так мало кто лечит, все резорцинят и лепят цемент, поэтому и нет вопросов. Ссылка на комментарий
CRAZYDUCK Опубликовано 25 мая, 2018 Автор Поделиться Опубликовано 25 мая, 2018 Вы молодец, на вас можно равняться, всё хочу освоить эти коронки стандартные, расскажите протокол их установки и нюансы. Работой с композитом на форуме особено никого не удивишь, кроме той особенности что это работа с детьми, в основном тут ортопеды хирурги и терапевты, детей лечат большинство, но не рутинно.Спасибо большое за тёплые слова , я позже опишу постановку коронок .( хотя там нечего описывать, честно говоря ). Ссылка на комментарий
Рекомендуемые сообщения
Для публикации сообщений создайте учётную запись или авторизуйтесь
Вы должны быть пользователем, чтобы оставить комментарий
Создать аккаунт
Зарегистрируйте новый аккаунт в нашем сообществе. Это очень просто!
Регистрация нового пользователяВойти
Уже есть аккаунт? Войти в систему.
Войти