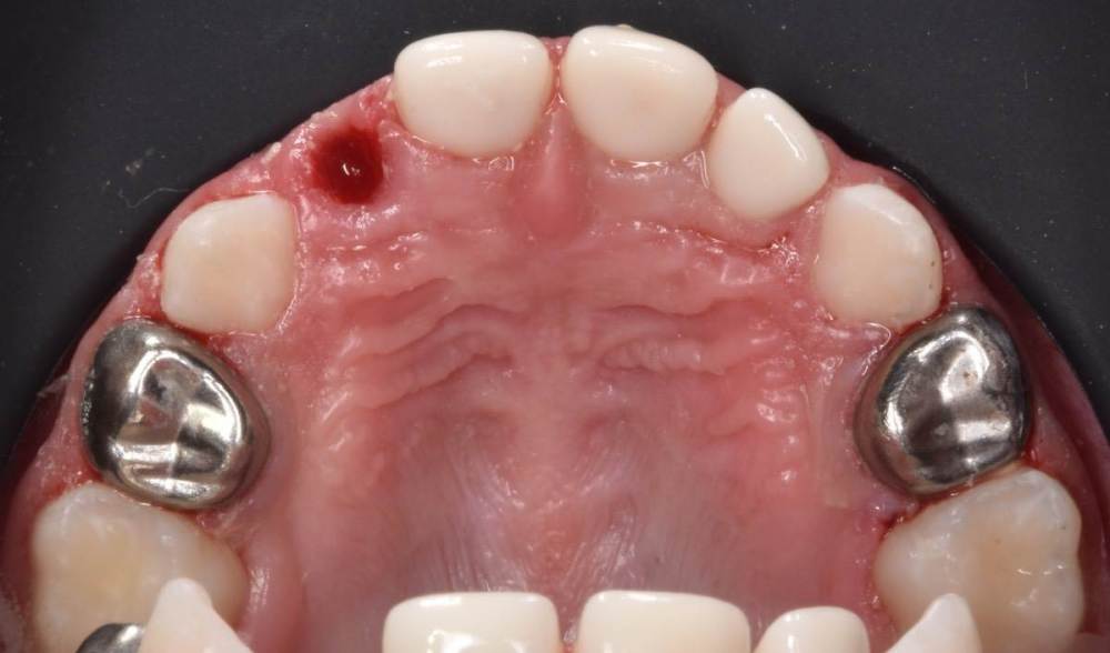
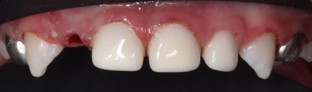
CRAZYDUCK Опубликовано 24 июня, 2022 Автор Поделиться Опубликовано 24 июня, 2022 Восстановление временных Резцов стандартными коронками . 3 1 Ссылка на комментарий
Doc Опубликовано 24 июня, 2022 Поделиться Опубликовано 24 июня, 2022 20 часов назад, CRAZYDUCK сказал: Осложнения могут быть от любого вида обезболивания . Дозировки есть в инструкции и на фото ,мое окружение - кто-то из коллег часто использует проводник у детей, кто-то - редко ( или вообще без него всегда ). Но выбор обезболивания - всегда индивидуально . я удаляю в основном планово и спокойно , нет богатого опыта удалений в обострении. Забавно, что официально местная анестезия у детей по российскому законодательству до сих пор толком не разрешена. Я в свое время просил официальных пояснений у 3М и еще у пары контор, так они все прислали стандартную отмазку, что детям их препараты колоть вроде и можно, но точных данных об осложнениях у них нет, равно как и нет данных о противопоказаниях. А по документу минздрава детей вообще можно лечить в основном только под общей. Где-то у меня даже документы все эти есть. 1 Ссылка на комментарий
CRAZYDUCK Опубликовано 24 июня, 2022 Автор Поделиться Опубликовано 24 июня, 2022 49 минут назад, Doc сказал: Забавно, что официально местная анестезия у детей по российскому законодательству до сих пор толком не разрешена. Я в свое время просил официальных пояснений у 3М и еще у пары контор, так они все прислали стандартную отмазку, что детям их препараты колоть вроде и можно, но точных данных об осложнениях у них нет, равно как и нет данных о противопоказаниях. А по документу минздрава детей вообще можно лечить в основном только под общей. Где-то у меня даже документы все эти есть. Сложно провести исследования в возрастной группе до 4 лет , поэтому производителю легче указать в инструкции , что не разрешён из-за отсутствия исследований . по законодательству РФ дети до трёх лет с множественным кариесом ( и ещё ряд показаний ) лечатся в условии общего обезболивания ( наркоз). Ссылка на комментарий
CRAZYDUCK Опубликовано 26 июня, 2022 Автор Поделиться Опубликовано 26 июня, 2022 Гипоминерализация . Границы препарирования … Будет ли разрушаться изменённая в цвете эмаль ? Этот вопрос остаётся открытым . Все , что жду от родителей - настаивать на гигиене и контролировать ее у своих детей и не забывать про регулярные осмотры . 3 1 Ссылка на комментарий
Doc Опубликовано 27 июня, 2022 Поделиться Опубликовано 27 июня, 2022 Везет Краснодарским детям! У нас в Питере такую грамотную работу не часто встретишь! 1 Ссылка на комментарий
CRAZYDUCK Опубликовано 27 июня, 2022 Автор Поделиться Опубликовано 27 июня, 2022 3 часа назад, Doc сказал: Везет Краснодарским детям! У нас в Питере такую грамотную работу не часто встретишь! Спасибо , Эмиль Гургенович ? 1 Ссылка на комментарий
CRAZYDUCK Опубликовано 28 июня, 2022 Автор Поделиться Опубликовано 28 июня, 2022 Ссылка на комментарий
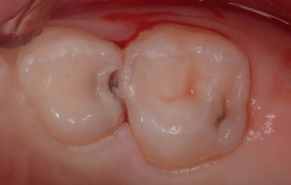
CRAZYDUCK Опубликовано 28 июня, 2022 Автор Поделиться Опубликовано 28 июня, 2022 Ладно , только по снимку нельзя установить диагноз . нет в 6.5 кариозных полостей . только нерентгенконтрастная пломба из градиа , которую я поставила двумя годами ранее . Вот оно как было ДО 3 1 Ссылка на комментарий
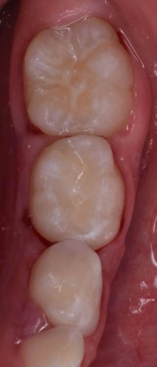
CRAZYDUCK Опубликовано 29 июня, 2022 Автор Поделиться Опубликовано 29 июня, 2022 Герметизация тоже в изоляции . по случаю - герметизация 3.6 лечение кариеса 74 ,75 . 3 1 Ссылка на комментарий
CRAZYDUCK Опубликовано 30 июня, 2022 Автор Поделиться Опубликовано 30 июня, 2022 Пример лечения обратимого пульпита 7.5 зуба . 2 1 Ссылка на комментарий
Doc Опубликовано 30 июня, 2022 Поделиться Опубликовано 30 июня, 2022 Будете переезжать в Питер - маякните! 1 1 Ссылка на комментарий
CRAZYDUCK Опубликовано 30 июня, 2022 Автор Поделиться Опубликовано 30 июня, 2022 1 час назад, Doc сказал: Будете переезжать в Питер - маякните! Договорились ?,но в планах этого нет . Ссылка на комментарий
CRAZYDUCK Опубликовано 1 июля, 2022 Автор Поделиться Опубликовано 1 июля, 2022 это селфи в нашей клинике , мы с мужем ее открыли и развиваем своими силами . город Краснодар , Дента Ареа , Сормовская 218 . у нас уже есть возможность лечения детей в ЗакС и наркозе . поэтому - мой дом родной Краснодар ❤️? 5 1 Ссылка на комментарий
CRAZYDUCK Опубликовано 1 июля, 2022 Автор Поделиться Опубликовано 1 июля, 2022 (изменено) Чем я занимаюсь помимо работы в клинике врачом ? проводила обучение в стенах клиники для врачей из разных городов нашей страны ( даже из Хабаровска девчонки приезжали ), проводила несколько вебинаров по основным темам детской стоматологии , провела несколько выездных практических семинаров . Но выездные семинары это утомительно для меня , все эти перелёты , перевоз багажа ( ну это , не доя принцессы это все ?) сейчас обучение в клинике на паузе ( надоело как-то , нужно отдохнуть от этого да и аэропорт закрыт с 24 февраля ) и вообще не было желания что-то подобное делать с ноября прошлого года , постепенно желание вернулось . Делилась опытом с коллегами в июне ( практический семинар ) в Москве , планируем проведение подобного обучения в Москве . Изменено 1 июля, 2022 пользователем CRAZYDUCK 2 Ссылка на комментарий
CRAZYDUCK Опубликовано 8 июля, 2022 Автор Поделиться Опубликовано 8 июля, 2022 Сегодня день семьи ❤️ 5 Ссылка на комментарий
Doc Опубликовано 8 июля, 2022 Поделиться Опубликовано 8 июля, 2022 Поздравляю всех! 1 1 Ссылка на комментарий
CRAZYDUCK Опубликовано 21 июля, 2022 Автор Поделиться Опубликовано 21 июля, 2022 Герметизация фиссур . Метод профилактики кариеса . В большинстве случаев для первых постоянных моляров . Прорезывание этих зубов часто проходит незаметно для родителей . Если проводить герметизацию , то с изоляцией и предварительной бережной очисткой от налёта . Как наладить гигиену у детей , как довести ее до идеала ? Я не знаююююююююю!!!!!! ??? Детям это не нужно , родители надеются на ответственность детей ( типа ты же уже большой / большая ). Но ! Обращаясь к родителям хочу сказать - примите этот факт , дети ещё не обладают достаточным уровнем ответсвенности . Участь детских стоматологов и гигиенистов - повторение мать учения , капля камень долбит не битьем , а частым падением . Режим спокойного попугая активирован . Рассказать , показать , записать на видео процесс качественной чистки зубов в стенах клиники и отправить это видео родителям для домашнего контроля . 4 1 Ссылка на комментарий
CRAZYDUCK Опубликовано 8 августа, 2022 Автор Поделиться Опубликовано 8 августа, 2022 4 1 Ссылка на комментарий
Рекомендуемые сообщения
Для публикации сообщений создайте учётную запись или авторизуйтесь
Вы должны быть пользователем, чтобы оставить комментарий
Создать аккаунт
Зарегистрируйте новый аккаунт в нашем сообществе. Это очень просто!
Регистрация нового пользователяВойти
Уже есть аккаунт? Войти в систему.
Войти