Зубодер Опубликовано 27 октября, 2008 Поделиться Опубликовано 27 октября, 2008 Вопрос возникает потому, что есть старение бондинга, а "хроническая аммортизация" в устьевой части, ИМХО, может раздолбить композит...Зафар от комментариев насчёт 99% воздержусь...нет слов просто,а вот касательно старения то как думаешь насколько быстро он состариться?и как быть с теми случаями когда целёхонький зубик после депульпаци закрывают даже не композитом а цементом?и ещё вопрос ты зубы под мк депульпируешь? Ссылка на комментарий
Fred Опубликовано 27 октября, 2008 Поделиться Опубликовано 27 октября, 2008 Вы сейчас с металлической ВКВ сравниваете?Если да, то не будут. ИМХО. Думаете, беда в эластичности СВШ? Ссылка на комментарий
Korabahtoff Опубликовано 27 октября, 2008 Поделиться Опубликовано 27 октября, 2008 Зафар от комментариев насчёт 99% воздержусь...нет слов просто,а вот касательно старения то как думаешь насколько быстро он состариться?и как быть с теми случаями когда целёхонький зубик после депульпаци закрывают даже не композитом а цементом?и ещё вопрос ты зубы под мк депульпируешь? Я не знаю, как скоро он "состарится"....И вообще, кто доказал, что композит под коронкой - это самое лучшее?ИМХО, гниёт он там.Зубы под м/к не депульпирую, если они были интактны, ну или с поверхностным кариесом.... Ссылка на комментарий
Korabahtoff Опубликовано 27 октября, 2008 Поделиться Опубликовано 27 октября, 2008 Думаете, беда в эластичности СВШ? Думаю, да. Ссылка на комментарий
Зубодер Опубликовано 27 октября, 2008 Поделиться Опубликовано 27 октября, 2008 Я не знаю, как скоро он "состарится"....И вообще, кто доказал, что композит под коронкой - это самое лучшее?ИМХО, гниёт он там.Зубы под м/к не депульпирую, если они были интактны, ну или с поверхностным кариесом....Зафар композит не гниёт ...т.е. вообче,принципиально Ссылка на комментарий
Korabahtoff Опубликовано 27 октября, 2008 Поделиться Опубликовано 27 октября, 2008 Зафар композит не гниёт ...т.е. вообче,принципиально В какой-нибудь идеальной среде, наверное не гниет....Не думаю, что всё так однозначно.... Ссылка на комментарий
Зубодер Опубликовано 27 октября, 2008 Поделиться Опубликовано 27 октября, 2008 Думаю, да.согласен-свш эластичны а вкв жёсткие.и то и дугое может быть как плюсом так и минусом... В какой-нибудь идеальной среде, наверное не гниет....Не думаю, что всё так однозначно....гниёт как я уже сказал не композит,а... Ссылка на комментарий
Inspiration Опубликовано 27 октября, 2008 Поделиться Опубликовано 27 октября, 2008 (изменено) В какой-нибудь идеальной среде, наверное не гниет....Не думаю, что всё так однозначно....сейчас придет Фред и спросит,что вы имеете ввиду под "гниет"? согласен-свш эластичны а вкв жёсткие.и то и дугое может быть как плюсом так и минусом... нужны цифры,эластичность дентина,СВШ и вкладки,и нужно то,что ближе к денитину,ИМХО,у меня они даже были,надо порыть,хотя приблизиться к витальному зубу,с пульпой в каналах все равно не получится..отсюда вывод,депульпированию-бой и,кстати,есть данные что микроорганизмы настолько мутировали,что научились питаться углеродом композитным,и это не очень,конечно,известие ну представьте себе такую ситуацию-депульпирован однокорневой зуб.после удаления гнили и предварительной препарлвки осталась хорошенькая аккуратная такая культя с плотным дентином но...коротковата.надо нарастить ессно чтобы создать хороший упор для композита не надеясь только на крепость адгезивных систем можно или расширить полость самого зуба(а она у однокорневых не шибко большая)опять таки истончив стенки зуба или подогнать хорошенько свш и нарастить на нём скока необходимоесли все это под коронку,хватит и силы адгезивной системы,мне больше не нравится вариант-стенки целы,но короткие,в середине-штифт торчит,и пространство между ним и стенками полмм,как проконтролировать гомогенность склеивания,и не страшно,что усадка сломает стенку? Изменено 27 октября, 2008 пользователем Inspiration Ссылка на комментарий
Doc Опубликовано 28 октября, 2008 Поделиться Опубликовано 28 октября, 2008 Док заметьте что указанные мной "показания" к свш находятся в пределах упомянутых Вами 30% Значит у нас с Вами нет разногласий в этом вопросе. У зуба 5 поверхностей (как у нас принято считать, 18 американских считать не будем), если поражены хотя бы две из пяти, это больше 30%, если одна, тогда вопрос решается индивидуально. Если коронка одиночная, то можно и обойтись любимыми многими СВШ, если коронка идет под мост, бюгель или что-то еще опорное, то я бы все равно не рисковал. Уже столько вынуто было мостов, где под опору шли чуть ли не интактные зубы, депульпированные исключительно под МК и восстановленные СВШ, что для меня вопрос об СВШ не стоит даже. Гадость это, ИМХО. Если интересно кому, то могу привести с фотографиями классический пример того, как ведет себя зуб с СВШ под коронкой и зуб с вкладкой. Очень поучительный случай. Ссылка на комментарий
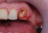
Doc Опубликовано 28 октября, 2008 Поделиться Опубликовано 28 октября, 2008 Клинический случай: Пациент М., явился в 1999 году для санации и протезирования. В те времена имплантацией я еще не увлекался, потому пришлось делать мостовидный протез 23--26,27. 23 зуб был интактным, депульпирован потому, что после обработки стал очень сильно реагировать на температурные раздражители, в общем не выдержал обработки. Доктор (один из лучших моих коллег) депульпировал и установил СВШ, т.к. жалко было интактный зуб пускать под вкладку. Протезирование было закончено то ли в конце 1999 года, то ли в самом начале 2000, сейчас точно не помню. Две недели назад пациент явился с жалобами на подвижность в области 23 зуба. При помощи Коронафлекса мост был сбит с 26 и 27 зубов. Открывшаяся картина была такой: При этом от интактного зуба не осталось практически ничего. С огромным трудом удалось обработать под ВКВ, не уйдя совсем под десну по всей окружности. Все было мягкое и протыкалось простым зондом. После обработки выглядело вот так: При этом, чтобы меня не обвинили в том, что я не умею фиксировать мосты, что у меня цемент левый и все такое, могу показать как себя вели эти восемь-девять лет зубы с вкладками под тем же самым мостом, с тем же самым цементом, установленные в тот же самый день. Согласитесь, что разница однозначно не в пользу СВШ. Вкладки, как видите, вместе с зубом чувствуют себя идеально. И это после довольно сильной работы Коронафлекса! При подобной параллельности стенок мост сбить было очень и очень непросто! Практически без новой обработки можно сажать новые коронки и будет ему счастье на всю оставшуюся жизнь. Если бы не тройка (вернее, если бы на тройку тоже была изготовлена вкладка девять лет назад), то этот мост стоял бы еще долго и счастливо. А теперь пришлось ставить два имплантата, делать вкладку на тройку и молиться, чтобы размягченный дентин под новой вкладкой и коронкой не продолжал гнить. Так что, коллеги, как не кажется смешным мнение Корабахтова о том, что "рядом с СВШ все гниет", а он прав. Это просто один из многих-многих случаев. Просто он был буквально пару недель назад и совсем свежий. Таких штифтов я уже повынимал немеряно! А вот чтобы вокруг вкладки так сильно сгнил корень, такого я не помню (если, конечно, вкладка была сделана по всем правилам). P.S. Эти вкладки были установлены на Гарвард, кстати! Современные цементы куда круче, а следовательно, если на древнем фосфат-цементе видим такую картину, то на современных стеклоиономерах и разных гибридных композитах это должно вообще стоять вечно! 1 Ссылка на комментарий
Korabahtoff Опубликовано 28 октября, 2008 Поделиться Опубликовано 28 октября, 2008 Док, спасибо за показательный пример....Теперь я практически уверился и фактически определился....Очень меня подмывало этот СВШ использовать, а то жалко валяется уже полгода ( на выставке покупал ).... Теперь врагу ( конкуренту ) подарю! Ссылка на комментарий
Doc Опубликовано 28 октября, 2008 Поделиться Опубликовано 28 октября, 2008 Док, спасибо за показательный пример....Теперь я практически уверился и фактически определился....Очень меня подмывало этот СВШ использовать, а то жалко валяется уже полгода ( на выставке покупал ).... Теперь врагу ( конкуренту ) подарю! Нельзя так жестоко поступать даже с конкурентами. ))Ладно, я спать. В 11 тренировка, нужно хоть немного выспаться. )) Ссылка на комментарий
doca Опубликовано 28 октября, 2008 Поделиться Опубликовано 28 октября, 2008 А почему такая уверенность, что вывалятся?К сожалению ,на форуме нельзя сделать, чтобы ответы на сообщение приходили на мыло автоматически, а галочку ставить забываю, поэтому отвечаю с задержкой.Уверенности на 100 % быть конечно же не может влияет много факторов, есть просто печальный опыт к счастью не мой, мои только наблюдения схожих ситуаций.Проблемы которые я увидел:1.Спилено под самое нихочу-практически отсутствует обод 2.Слепок снят без учета формы каналов-нет силикона на штифтах 3. Цилиндрические полости в корональной трети-дополнительное ослабление корней Ссылка на комментарий
Fred Опубликовано 28 октября, 2008 Поделиться Опубликовано 28 октября, 2008 Клинический случай: Пациент М., явился в 1999 году для санации и протезирования. В те времена имплантацией я еще не увлекался, потому пришлось делать мостовидный протез 23--26,27. 23 зуб был интактным, депульпирован потому, что после обработки стал очень сильно реагировать на температурные раздражители, в общем не выдержал обработки. Доктор (один из лучших моих коллег) депульпировал и установил СВШ, т.к. жалко было интактный зуб пускать под вкладку. Протезирование было закончено то ли в конце 1999 года, то ли в самом начале 2000, сейчас точно не помню. Две недели назад пациент явился с жалобами на подвижность в области 23 зуба. При помощи Коронафлекса мост был сбит с 26 и 27 зубов. Открывшаяся картина была такой: При этом от интактного зуба не осталось практически ничего. С огромным трудом удалось обработать под ВКВ, не уйдя совсем под десну по всей окружности. Все было мягкое и протыкалось простым зондом. После обработки выглядело вот так: При этом, чтобы меня не обвинили в том, что я не умею фиксировать мосты, что у меня цемент левый и все такое, могу показать как себя вели эти восемь-девять лет зубы с вкладками под тем же самым мостом, с тем же самым цементом, установленные в тот же самый день. Согласитесь, что разница однозначно не в пользу СВШ. Вкладки, как видите, вместе с зубом чувствуют себя идеально. И это после довольно сильной работы Коронафлекса! При подобной параллельности стенок мост сбить было очень и очень непросто! Практически без новой обработки можно сажать новые коронки и будет ему счастье на всю оставшуюся жизнь. Если бы не тройка (вернее, если бы на тройку тоже была изготовлена вкладка девять лет назад), то этот мост стоял бы еще долго и счастливо. А теперь пришлось ставить два имплантата, делать вкладку на тройку и молиться, чтобы размягченный дентин под новой вкладкой и коронкой не продолжал гнить. Так что, коллеги, как не кажется смешным мнение Корабахтова о том, что "рядом с СВШ все гниет", а он прав. Это просто один из многих-многих случаев. Просто он был буквально пару недель назад и совсем свежий. Таких штифтов я уже повынимал немеряно! А вот чтобы вокруг вкладки так сильно сгнил корень, такого я не помню (если, конечно, вкладка была сделана по всем правилам). P.S. Эти вкладки были установлены на Гарвард, кстати! Современные цементы куда круче, а следовательно, если на древнем фосфат-цементе видим такую картину, то на современных стеклоиономерах и разных гибридных композитах это должно вообще стоять вечно! Док, тут все очень закономерно. В клык, у которого устье обычно очень широкое, поставили СВШ, длина корневой части которого 6-8 мм (прикидываю по фотографии). Корень клыка позволяет установить СВШ на глубину 10-12 мм и даже больше. СВШ не вкладка, но это не означает, что ему не нужна механическая ретенция. Могу поспорить, что при припасовке данный штифт просто болтался в ему приготовленном месте. Залив все цементом, конечно, мы получили визуально прочную конструкцию, но циклические нагрузки стали следствием расцементировки штифта. Доктор может и хороший исполнитель, но механику, видимо, подзабыл ... Значит у нас с Вами нет разногласий в этом вопросе. У зуба 5 поверхностей (как у нас принято считать, 18 американских считать не будем), если поражены хотя бы две из пяти, это больше 30%, если одна, тогда вопрос решается индивидуально. Если коронка одиночная, то можно и обойтись любимыми многими СВШ, если коронка идет под мост, бюгель или что-то еще опорное, то я бы все равно не рисковал. Уже столько вынуто было мостов, где под опору шли чуть ли не интактные зубы, депульпированные исключительно под МК и восстановленные СВШ, что для меня вопрос об СВШ не стоит даже. Гадость это, ИМХО. Если интересно кому, то могу привести с фотографиями классический пример того, как ведет себя зуб с СВШ под коронкой и зуб с вкладкой. Очень поучительный случай. По данной классификации все поверхности равнозначны? Ссылка на комментарий
Максимов Опубликовано 28 октября, 2008 Поделиться Опубликовано 28 октября, 2008 Мне интересно, что скажут врачи, использующие СВШ по поводу такой ситуации.Пациент обращается с целью протезирования отсутствующих 24, 25, к примеру. 26, 27 ранее депульпированы и восстановлены композитом на СВШ. Было это, скажем 3-5 лет назад. Прилегание композитных пломб уже вызывает сомнения по поводу их герметичности. СВШ фиксированы как надо, на 1/2-2/3. Брать под коронки эти пломбы с сомнительным прилеганием я не буду, по понятным причинам. СВШ выпилить... терапевты отказываются, и я их понимаю. Выпилить композит вокруг СВШ и заменить на новый? Есть риск повредить СВШ и его перелом в дальнейшем. Сказать "спасибо" доктору, установившему СВШ и удалить зубы? Что делать-то? Показаний для СВШ не вижу никаких. Если только щадящий доступ для эндо, и все стенки прочные и без кариеса, то зачем там вообще эндо? Если зуб разрушен - то золотая вкладка, безальтернативно. Ну, или бюджетно КХС. Ссылка на комментарий
Fred Опубликовано 28 октября, 2008 Поделиться Опубликовано 28 октября, 2008 Мне интересно, что скажут врачи, использующие СВШ по поводу такой ситуации.Пациент обращается с целью протезирования отсутствующих 24, 25, к примеру. 26, 27 ранее депульпированы и восстановлены композитом на СВШ. Было это, скажем 3-5 лет назад. Прилегание композитных пломб уже вызывает сомнения по поводу их герметичности. СВШ фиксированы как надо, на 1/2-2/3. Брать под коронки эти пломбы с сомнительным прилеганием я не буду, по понятным причинам. СВШ выпилить... терапевты отказываются, и я их понимаю. Выпилить композит вокруг СВШ и заменить на новый? Есть риск повредить СВШ и его перелом в дальнейшем. Сказать "спасибо" доктору, установившему СВШ и удалить зубы? Что делать-то? Показаний для СВШ не вижу никаких. Если только щадящий доступ для эндо, и все стенки прочные и без кариеса, то зачем там вообще эндо? Если зуб разрушен - то золотая вкладка, безальтернативно. Ну, или бюджетно КХС. Пилите под коронку ту старую пломбу, гляди в глубоких слоях прилегание будет не сомнительным ... Если есть огромное желание удалить всю пломбу, наверняка там найдется еще один-другой канал, в который можно будет либо вставить штифт, либо на который "повесить" ВКВ. Ссылка на комментарий
Максимов Опубликовано 28 октября, 2008 Поделиться Опубликовано 28 октября, 2008 Пилите под коронку ту старую пломбу, гляди в глубоких слоях прилегание будет не сомнительным ... Если есть огромное желание удалить всю пломбу, наверняка там найдется еще один-другой канал, в который можно будет либо вставить штифт, либо на который "повесить" ВКВ. Спасибо Постараюсь получить удовольствие Но мне это будет сложно, поскольку вопрос "а зачем весь этот цЫрк?" не будет давать мне покоя, пока я буду разглядывать прилегание внутри пломб, выпилить сомнительные участки и залеплять их залепухами А еще я буду очень рад увидеть пациента через несколько лет, когда он принесет мне коронку, завернутую в платочек, или в баночке, или в кошельке в отделении для мелочи. Я буду очень зол на доктора, который эти СВШ... залепил Ссылка на комментарий
Fred Опубликовано 28 октября, 2008 Поделиться Опубликовано 28 октября, 2008 Спасибо Постараюсь получить удовольствие Но мне это будет сложно, поскольку вопрос "а зачем весь этот цЫрк?" не будет давать мне покоя, пока я буду разглядывать прилегание внутри пломб, выпилить сомнительные участки и залеплять их залепухами А еще я буду очень рад увидеть пациента через несколько лет, когда он принесет мне коронку, завернутую в платочек, или в баночке, или в кошельке в отделении для мелочи. Я буду очень зол на доктора, который эти СВШ... залепил А прилегание внутри пломбы все-равно будет на порядок выше, чем у той коронки, которую вы сделаете ему, не беспокойтесь так . Ссылка на комментарий
Doc Опубликовано 28 октября, 2008 Поделиться Опубликовано 28 октября, 2008 Док, тут все очень закономерно. В клык, у которого устье обычно очень широкое, поставили СВШ, длина корневой части которого 6-8 мм (прикидываю по фотографии). Корень клыка позволяет установить СВШ на глубину 10-12 мм и даже больше. СВШ не вкладка, но это не означает, что ему не нужна механическая ретенция. Могу поспорить, что при припасовке данный штифт просто болтался в ему приготовленном месте. Залив все цементом, конечно, мы получили визуально прочную конструкцию, но циклические нагрузки стали следствием расцементировки штифта. Доктор может и хороший исполнитель, но механику, видимо, подзабыл ... Скажем так, при прочих равных условиях, вкладка простояла бы в двое-трое дольше, чем СВШ, а главное, при расцементировке вкладок я никогда не видел таких мягких "сгнивших" остатков первоначально интактного дентина, какие всегда вижу при расцементировке СВШ. Если вкладка расцементировалась, то она сразу вместе с коронкой выпадает, а не гниет там месяцами потихоньку под коронкой. Так что Ваши попытки оправдать подобные конструкции меня ни капельки не убедили. Делать СВШ под зуб, являющийся опорой - ЗЛО! По данной классификации все поверхности равнозначны? Ну, если считать резец равнозначным моляру, то конечно. А если нет, то доктор всегда разберется одна, не очень важная в данном случае, поверхность зуба разрушена или уже половина зуба ушла. Не думаю, что кому-то придет в голову измерять количество пломб линейкой или вычислять их объем путем погружения в жидкость. А прилегание внутри пломбы все-равно будет на порядок выше, чем у той коронки, которую вы сделаете ему, не беспокойтесь так . Мой клинический случай, как и куча других, показывают, что несмотря ни на какие теории, сохранность ВКВ под коронкой на порядок выше, чем любой пломбы. После сбивания мостов через 9 лет данные зубы легко идут под следующую конструкцию и простоят еще лет 20 теперь, т.к. мостов там больше не будет. Что было бы с ними в случае, если у кого-то хватило пофигизма в 1999 году пустить их под СВШ, вопрос отдельный. В самом лучшем случае сейчас их пришлось бы пускать под ВКВ, в худшем - менять зуб на имплантат. Ссылка на комментарий
Зубодер Опубликовано 28 октября, 2008 Поделиться Опубликовано 28 октября, 2008 Клинический случай: Пациент М., явился в 1999 году для санации и протезирования. В те времена имплантацией я еще не увлекался, потому пришлось делать мостовидный протез 23--26,27. 23 зуб был интактным, депульпирован потому, что после обработки стал очень сильно реагировать на температурные раздражители, в общем не выдержал обработки. Доктор (один из лучших моих коллег) депульпировал и установил СВШ, т.к. жалко было интактный зуб пускать под вкладку. Протезирование было закончено то ли в конце 1999 года, то ли в самом начале 2000, сейчас точно не помню. Две недели назад пациент явился с жалобами на подвижность в области 23 зуба. При помощи Коронафлекса мост был сбит с 26 и 27 зубов. Открывшаяся картина была такой: При этом от интактного зуба не осталось практически ничего. С огромным трудом удалось обработать под ВКВ, не уйдя совсем под десну по всей окружности. Все было мягкое и протыкалось простым зондом. После обработки выглядело вот так: При этом, чтобы меня не обвинили в том, что я не умею фиксировать мосты, что у меня цемент левый и все такое, могу показать как себя вели эти восемь-девять лет зубы с вкладками под тем же самым мостом, с тем же самым цементом, установленные в тот же самый день. Согласитесь, что разница однозначно не в пользу СВШ. Вкладки, как видите, вместе с зубом чувствуют себя идеально. И это после довольно сильной работы Коронафлекса! При подобной параллельности стенок мост сбить было очень и очень непросто! Практически без новой обработки можно сажать новые коронки и будет ему счастье на всю оставшуюся жизнь. Если бы не тройка (вернее, если бы на тройку тоже была изготовлена вкладка девять лет назад), то этот мост стоял бы еще долго и счастливо. А теперь пришлось ставить два имплантата, делать вкладку на тройку и молиться, чтобы размягченный дентин под новой вкладкой и коронкой не продолжал гнить. Так что, коллеги, как не кажется смешным мнение Корабахтова о том, что "рядом с СВШ все гниет", а он прав. Это просто один из многих-многих случаев. Просто он был буквально пару недель назад и совсем свежий. Таких штифтов я уже повынимал немеряно! А вот чтобы вокруг вкладки так сильно сгнил корень, такого я не помню (если, конечно, вкладка была сделана по всем правилам). P.S. Эти вкладки были установлены на Гарвард, кстати! Современные цементы куда круче, а следовательно, если на древнем фосфат-цементе видим такую картину, то на современных стеклоиономерах и разных гибридных композитах это должно вообще стоять вечно!Док конечно фотки очень показательные что даст нашему другу Корабахтову лишний повод ставить даже на целые депульпированные зубы вкв . будь у меня приличная камера выложил бы несколько десятков таких же фоток только с одним отличием-там торчала вкв.да да я знаю вы скажет что она сделана была не по правилам но ведь и у свш есть свои правила использования.да а что Вы думаете о до сих пор популярных у американцев амальгамовых билдапах? Ссылка на комментарий
Korabahtoff Опубликовано 28 октября, 2008 Поделиться Опубликовано 28 октября, 2008 целые депульпированные зубы Вот это понравилось особенно! Ссылка на комментарий
Зубодер Опубликовано 28 октября, 2008 Поделиться Опубликовано 28 октября, 2008 Вот это понравилось особенно! не обращай внимание я уже два дежурства отпахал подрят так что глюки в проце не исключены .но никак не могу не влезть в такую зажигательную дискуссию.опят вокруг вкв копья ломаются сотнями Ссылка на комментарий
Doc Опубликовано 28 октября, 2008 Поделиться Опубликовано 28 октября, 2008 Док конечно фотки очень показательные что даст нашему другу Корабахтову лишний повод ставить даже на целые депульпированные зубы вкв . будь у меня приличная камера выложил бы несколько десятков таких же фоток только с одним отличием-там торчала вкв.да да я знаю вы скажет что она сделана была не по правилам но ведь и у свш есть свои правила использования.да а что Вы думаете о до сих пор популярных у американцев амальгамовых билдапах? Как я уже говорил, даже если вкладка сделана плохо и выпала, то чаще всего корень при этом не сгнил (если только не треснул от какого-нибудь колуна, я и таких снимков могу предоставить кучку). СВШ после начала расцементировки еще долго цепляется за корень, в результате чего к моменту, когда коронка со штифтом отваливаются окончательно поздно уже что-то делать, зуб чаще всего уже сгнил. Так что не любил я эти СВШ и судя по всему уже никогда не полюблю. Про амальгамовые билдапы ничего сказать не могу, ибо сам их не делал и отдаленных результатов, соответственно, не видел. Ссылка на комментарий
Зубодер Опубликовано 28 октября, 2008 Поделиться Опубликовано 28 октября, 2008 Как я уже говорил, даже если вкладка сделана плохо и выпала, то чаще всего корень при этом не сгнил (если только не треснул от какого-нибудь колуна, я и таких снимков могу предоставить кучку). СВШ после начала расцементировки еще долго цепляется за корень, в результате чего к моменту, когда коронка со штифтом отваливаются окончательно поздно уже что-то делать, зуб чаще всего уже сгнил. Так что не любил я эти СВШ и судя по всему уже никогда не полюблю. Про амальгамовые билдапы ничего сказать не могу, ибо сам их не делал и отдаленных результатов, соответственно, не видел.знаете Док я сам видел выпавшие вкладки и зуб на которых они стоял и был размягчён достаточно чтобы удалять,но...свш мне встречались не так уж и часто а вот очень уж много развелось любителей анкеров.вот после них зуб можно сразу на свалку Ссылка на комментарий
Korabahtoff Опубликовано 28 октября, 2008 Поделиться Опубликовано 28 октября, 2008 Я вот призадумался: как может правильно изготовленная ВКВ выпасть? В результате чего? Ссылка на комментарий
Рекомендуемые сообщения
Для публикации сообщений создайте учётную запись или авторизуйтесь
Вы должны быть пользователем, чтобы оставить комментарий
Создать аккаунт
Зарегистрируйте новый аккаунт в нашем сообществе. Это очень просто!
Регистрация нового пользователяВойти
Уже есть аккаунт? Войти в систему.
Войти