M@estro Опубликовано 16 мая, 2015 Поделиться Опубликовано 16 мая, 2015 Ребята,есть же фит чекер Ссылка на комментарий
DOCTORARSEN Опубликовано 16 мая, 2015 Поделиться Опубликовано 16 мая, 2015 я использую для этого простую цинковую мазь, а лучше показывает всего корригирующий слой силикона Ссылка на комментарий
Slaggy Опубликовано 19 мая, 2015 Поделиться Опубликовано 19 мая, 2015 Ребята,есть же фит чекер У меня пара советских хим карандашей запасено и репин (вместо белого врем цемента) используется. Дорогая коррекция будет если чекером протез поливать )))) Да и корректуру жаль для этого. Лучше слепки хорошо снимать, ну и индивидуальные ложки при протезировании снимают необходимость коррекций почти совсем. И при частичном и при полном. 2 Ссылка на комментарий
Danger Опубликовано 24 мая, 2015 Поделиться Опубликовано 24 мая, 2015 Скажите, если когда снимал ложкой оттиск зубы продавили базу аж до железного дна ложки,это не правильно снятый оттиск? как бороться с этим. Ссылка на комментарий
chervoncevdaniil Опубликовано 24 мая, 2015 Поделиться Опубликовано 24 мая, 2015 Скажите, если когда снимал ложкой оттиск зубы продавили базу аж до железного дна ложки,это не правильно снятый оттиск? как бороться с этим. Смотря где продовили.избежать можно если делать стоппы 1 1 Ссылка на комментарий
Danger Опубликовано 24 мая, 2015 Поделиться Опубликовано 24 мая, 2015 Смотря где продовили.избежать можно если делать стоппы подскажите как сделать стопы. Потому как уже из за боязи начал не досаживать ложку и препарируемые зубы стали находиться на уровне края ложки...что плохо ибо там материал гуляет(( Ссылка на комментарий
k.t.m. Опубликовано 24 мая, 2015 Поделиться Опубликовано 24 мая, 2015 больше массы и ложки с высокими бортами Ссылка на комментарий
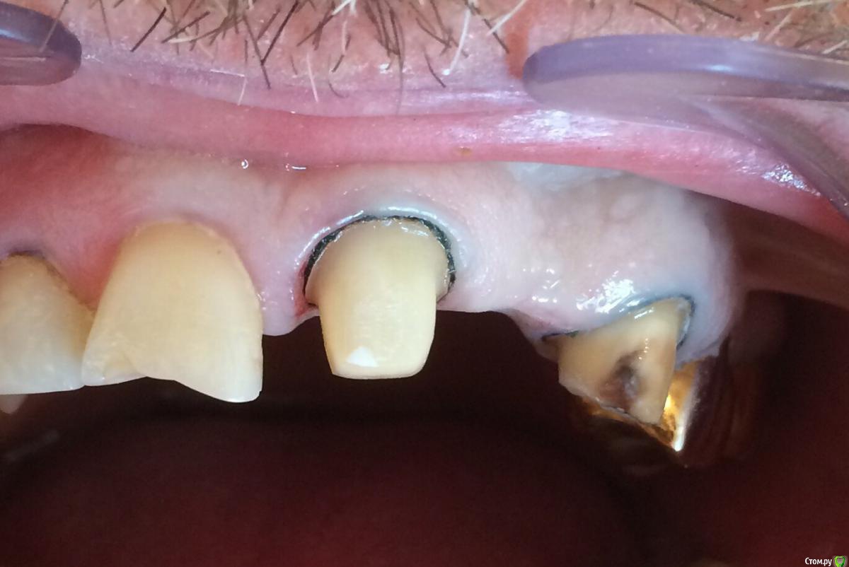
DimaKoleso Опубликовано 27 мая, 2015 Поделиться Опубликовано 27 мая, 2015 (изменено) А вот вам обычный зетта ) и уступ и зауступ) Изменено 27 мая, 2015 пользователем DimaKoleso 1 Ссылка на комментарий
Danger Опубликовано 27 мая, 2015 Поделиться Опубликовано 27 мая, 2015 А вот вам обычный зетта ) и уступ и зауступ)почему у меня у вас на оттиске зауступное пространство такое широкое? у меня всегда тонкая ниточка((( Ссылка на комментарий
chervoncevdaniil Опубликовано 27 мая, 2015 Поделиться Опубликовано 27 мая, 2015 почему у меня у вас на оттиске зауступное пространство такое широкое? у меня всегда тонкая ниточка(((Наверное потому что доктор делает качественную ретракцию Ссылка на комментарий
DimaKoleso Опубликовано 27 мая, 2015 Поделиться Опубликовано 27 мая, 2015 Наверное потому что доктор делает качественную ретракциюГоска, Ретракция gingipack 00 с пропиткой.)) Просто перед корегой убираю нить и промываю десну. Все отлично проснимается Ссылка на комментарий
RuStom Опубликовано 27 мая, 2015 Поделиться Опубликовано 27 мая, 2015 А вот вам обычный зетта ) и уступ и зауступ)Не совсем понял.... Здесь что-то должно удивить?Или были сомнения, что С-силиконом можно проснять зауступное? Ссылка на комментарий
DimaKoleso Опубликовано 27 мая, 2015 Поделиться Опубликовано 27 мая, 2015 (изменено) Не совсем понял.... Здесь что-то должно удивить?Или были сомнения, что С-силиконом можно проснять зауступное?А никто никого не удивляет. Просто пытаюсь донести, что в гос поликлиниках, со стандартным гос набором материалов тоже можно снимать вполне себе нормальные слепки ( для госки) И не все рукожопы, кто в госках трудятся Изменено 27 мая, 2015 пользователем DimaKoleso Ссылка на комментарий
RuStom Опубликовано 27 мая, 2015 Поделиться Опубликовано 27 мая, 2015 (изменено) То есть зауступное проснято и оттиск считается нормальным?Отводных каналов нет, как я понимаю. Зауступное, естественно, проснимается хорошо, т.к поршнем заталкивается под десну. При этом получается деформация базового слоя и оттиска в целом. Не говоря уже о размерной точности и стабильности самого С-силикона... Изменено 27 мая, 2015 пользователем RuStom Ссылка на комментарий
DimaKoleso Опубликовано 27 мая, 2015 Поделиться Опубликовано 27 мая, 2015 То есть зауступное проснято и оттиск считается нормальным?Отводных каналов нет, как я понимаю. Зауступное, естественно, проснимается хорошо, т.к поршнем заталкивается под десну. При этом получается деформация базового слоя и оттиска в целом. Не говоря уже о размерной точности и стабильности самого С-силикона...Ошибаетесь. Отводный есть, все поднутрения срезаны. Про деформацию давайте уже не будем, столько тут сказано про спидекс и зетту и тд... Про поршень под десну-согласен. Но есть одно НО, если десну не отодвинуть, его хоть туда и загонишь, но четкого уступа не будет.Я с вами полностью согласен про стабильность с-силиконов, в частной работаю только а-силиконом. Но на гос приеме работаем тем, что есть. И техники и другие врачи не всегда понимают зачем мне так выдрючиваться со слепками, ведь можно все за 10 минут снять, а потом профессиональная рука техника просто отгравирует все и Делов-то... Ссылка на комментарий
RuStom Опубликовано 27 мая, 2015 Поделиться Опубликовано 27 мая, 2015 (изменено) Нет уж, давайте будем про деформацию. Что тут сказано про Спидекс и Зетту? Я не иронизирую, реально интересуюсь. Написано, что они хорошие? Что реакция конденсации происходит без усадки? Госка остается гоской, к сожалению. Изменено 27 мая, 2015 пользователем RuStom Ссылка на комментарий
DimaKoleso Опубликовано 27 мая, 2015 Поделиться Опубликовано 27 мая, 2015 Нет уж, давайте будем про деформацию. Что тут сказано про Спидекс и Зетту? Я не иронизирую, реально интересуюсь. Написано, что они хорошие? Что реакция конденсации происходит без усадки?Госка остается гоской, к сожалению.А сказано то, что и усадку дают и не стабильны в сравнении с а-силиконами...но как вы правильно сказали "Госка остается гоской"Я приношу техникам слепки с уступами и со всеми делами, получаю коронки, которые все мои уступы перекрывают, просто заливают воском на модели. И я не говорю, что работаю так каждый день, для своих работ и техник есть хороший и масса а-силикон, и нитки хорошие 000 и 00. Но контингент, который приходит ко мне на гос прием не всегда зубы-то чистит 2 раза в день....если вообще чистит. Поэтому тратить на такие зубы СВОЮ слепочную массу...извините мне тогда на мои физиологические потребности зарплаты не хватит. Поэтому повторюсь, работаем тем, что есть Ссылка на комментарий
RuStom Опубликовано 27 мая, 2015 Поделиться Опубликовано 27 мая, 2015 (изменено) Тоже прошел все это в госке. Можно сколь угодно красиво препарировать и снимать оттиски. Результат будет тот же...Хотя в частной... Тоже техника найти не можем нормального... Изменено 27 мая, 2015 пользователем RuStom Ссылка на комментарий
DimaKoleso Опубликовано 27 мая, 2015 Поделиться Опубликовано 27 мая, 2015 Тоже прошел все это в госке. Можно сколь угодно красиво препарировать и снимать оттиски. Результат будет тот же...Именно это вам и говорю)) Если я вижу, что пациент озадачен состоянием своей полости рта, всегда предложу ему альтернативу. И мне приятно, и ему работа в разы качественнее, и денюжку себе, а не в казну 1 Ссылка на комментарий
Bratok Опубликовано 3 июня, 2015 Поделиться Опубликовано 3 июня, 2015 (изменено) Народ..подскажите, плз..вот такая ситуация.. в последнее время работаю над получением качественного оттиска и в первую очередь интересует качественный отпечаток зауступного пространства.Много раз видел фото, где толщина этого зауступного ободочка значительная.. у меня вопрос как это сделать? Есть ли какие то критерии выбора нити? или для большинства случаев подойдет 000 и 00 ультрапак? Например с помощью пародонтального зонда? измеряем и смоторим глубину и уже выбираем нить. http://s013.radikal.ru/i322/1506/19/56b63cb5888dt.jpgВот так получается только двухэтапно. Сейчас снимаю с пленкой. одноэтапно так не получается почему то.. недостаточно компрессии?? Ложка идет по 1 оси, медленно.. Коррегир раздуваю стараюсь залить в борозду.. На данный момент я думаю дело в нитках т.к. они недостаточно раскрывают мне борозду перед оттиском.. поделитесь опытом. Может стоит перейти на 00 0 или 1 ? Просто иногда бывает укладываешь 000..и такое чувство как будто ничего не изменилось..укладываю 00.. через пару минут удаляю 00..и как мне кажется сулькус закрывается.. оттиски получаются очень рваные в этом месте..иногда коррега почти не затекает в некоторых местах.Вот..на фото ниже видно каким тонким слоем лег коррегир в борозде.. почему? на двух фотках ниже снимал через пленку..Что я делаю не так?спасибо за внимание! http://s017.radikal.ru/i439/1506/c8/1ced71f34a47t.jpghttp://s019.radikal.ru/i602/1506/e9/dca7ed6633f8t.jpg Еще я заметил, что при двухэтапном оттиске коррега ложится более ровно по всей поверхности.. а при одноэтапном не всегда..это считается ошибкой? Изменено 3 июня, 2015 пользователем Bratok Ссылка на комментарий
MaxDok Опубликовано 4 июня, 2015 Поделиться Опубликовано 4 июня, 2015 Двухэтапник с использованием полиэтилена 7 1 Ссылка на комментарий
Bratok Опубликовано 4 июня, 2015 Поделиться Опубликовано 4 июня, 2015 А Вы базу отжимаете до конца( то есть полностью ложка погружается на весь допустимый ход, так скажем..) после пакет откидывается заливается борозда и ложка корегой и отжимаете не превышая тот путь, который проделали ложкой с базой и пакетом? Надеюсь понятно объяснил?Расскажите как Вы снимаете с пленкой Ссылка на комментарий
MaxDok Опубликовано 4 июня, 2015 Поделиться Опубликовано 4 июня, 2015 Конкретно в этом случае делал как обычный двухэтапник , только с пленкой , что бы не вырезать канальци . То есть погружал ложку полностью, и дожидался полной полимеризация базы . 1 1 Ссылка на комментарий
timvanaxel Опубликовано 4 июня, 2015 Поделиться Опубликовано 4 июня, 2015 Конкретно в этом случае делал как обычный двухэтапник , только с пленкой , что бы не вырезать канальци . То есть погружал ложку полностью, и дожидался полной полимеризация базы .Вы коррегу льет только в оттиск или обрамляете культи и немного в оттиск? 1 Ссылка на комментарий
Bratok Опубликовано 4 июня, 2015 Поделиться Опубликовано 4 июня, 2015 Александр Бабуров говорил, что смысл оттиска с пленкой в том, что база и коррега будет полимеризоваться почти синхронно, это повышает качество конечного оттиска. Сильно ли искажается оттиск при двухэтапной технике по сравнению с одноэтапной? Ссылка на комментарий
Рекомендуемые сообщения
Для публикации сообщений создайте учётную запись или авторизуйтесь
Вы должны быть пользователем, чтобы оставить комментарий
Создать аккаунт
Зарегистрируйте новый аккаунт в нашем сообществе. Это очень просто!
Регистрация нового пользователяВойти
Уже есть аккаунт? Войти в систему.
Войти