iya Опубликовано 24 ноября, 2017 Поделиться Опубликовано 24 ноября, 2017 (изменено) Читала на фоуме рассуждения о формировании вкв."Антиротационные" площадки внутри корня здумывались это "разгрузочныне" площадки, чтобы снять вертикальное напряжение на раскол корняи.И при адекватном фрмировании могут выполнять функцию "внутреннего ферулла" при недостатке высоты наддесневых твердых тканей? Изменено 24 ноября, 2017 пользователем iya Ссылка на комментарий
Новый Доктор Опубликовано 7 ноября, 2018 Поделиться Опубликовано 7 ноября, 2018 Коллеги..простите за тупой вопрос...но на каких оборотах вы вносите цемент..и подрезаете ли вы наполнитель Ссылка на комментарий
Doc Опубликовано 7 ноября, 2018 Поделиться Опубликовано 7 ноября, 2018 Читала на фоуме рассуждения о формировании вкв."Антиротационные" площадки внутри корня здумывались это "разгрузочныне" площадки, чтобы снять вертикальное напряжение на раскол корняи.И при адекватном фрмировании могут выполнять функцию "внутреннего ферулла" при недостатке высоты наддесневых твердых тканей?Нет, ферул заменить нельзя. Если его нет, то нет вкладки. Ссылка на комментарий
Doc Опубликовано 7 ноября, 2018 Поделиться Опубликовано 7 ноября, 2018 Коллеги..простите за тупой вопрос...но на каких оборотах вы вносите цемент..и подрезаете ли вы наполнительНа минимальных оборотах. Нет. Ссылка на комментарий
Новый Доктор Опубликовано 7 ноября, 2018 Поделиться Опубликовано 7 ноября, 2018 2000 - 3000 ? Ссылка на комментарий
Doc Опубликовано 8 ноября, 2018 Поделиться Опубликовано 8 ноября, 2018 2000 - 3000 ?400-1000 где-то вполне хватает. Ссылка на комментарий
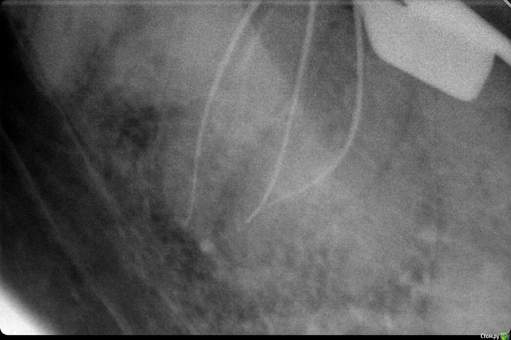
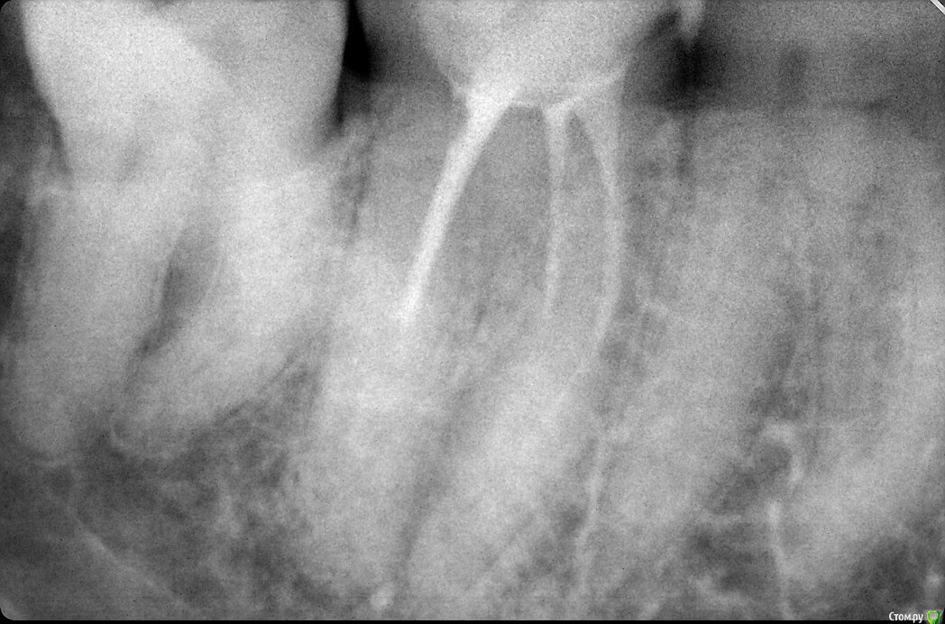
Antanta Опубликовано 25 ноября, 2018 Поделиться Опубликовано 25 ноября, 2018 Добрый вечер. Сделала огромную ошибку. Такие длинные корни и такой короткий штифт в дистальном канале получился. Вкладка сделана непрямым методом. С техником решили не делать штифты в медиальные каналы, пришлось заполнить цементом. Зуб сейчас под временной коронкой, планируется в ближайшее время изготовить металлокерамическую коронку. Но я мучаюсь и не могу решить, выпилить и переделать вкладку, сделать в дистальном канале штифт длиннее. Или оставить как есть, запротезировать и ждать..будет ли перелом дистального корня? Феррул у зуба есть, была своя щечная стенка, остальная часть зуба была восстановлена композитом, язычная стенка разрушена до десны, медиальная и дистальная чуть выше десны. Пожалуйста, помогите советом Ссылка на комментарий
Pavel-Pskov Опубликовано 26 ноября, 2018 Поделиться Опубликовано 26 ноября, 2018 К.м.к. должно быть всё норм, не переживайте) Ссылка на комментарий
Doc Опубликовано 26 ноября, 2018 Поделиться Опубликовано 26 ноября, 2018 Добрый вечер. Сделала огромную ошибку. Такие длинные корни и такой короткий штифт в дистальном канале получился. Вкладка сделана непрямым методом. С техником решили не делать штифты в медиальные каналы, пришлось заполнить цементом. Зуб сейчас под временной коронкой, планируется в ближайшее время изготовить металлокерамическую коронку. Но я мучаюсь и не могу решить, выпилить и переделать вкладку, сделать в дистальном канале штифт длиннее. Или оставить как есть, запротезировать и ждать..будет ли перелом дистального корня? Феррул у зуба есть, была своя щечная стенка, остальная часть зуба была восстановлена композитом, язычная стенка разрушена до десны, медиальная и дистальная чуть выше десны. Пожалуйста, помогите советомНу, конечно же дистальный мог быть в два раза длиннее, а медиальные легко могли быть длиной с дистальную ножку, какая она есть сейчас. Но выпиливать из-за этого вкладку уж точно нет смысла. Вреда можете нанести больше, чем если так оставить. При наличии нормального ферула и качественного прилегания коронки оно еще сто лет простоит! Начнете выпиливать, так может и треснуть, и перегреться, и лишних тканей спилите. Так что не заморачивайтесь, так сойдет. На будущее просто учтите. 4 Ссылка на комментарий
Antanta Опубликовано 28 ноября, 2018 Поделиться Опубликовано 28 ноября, 2018 Спасибо Вам за ответ. Учту обязательно.. Ссылка на комментарий
Lostikas Опубликовано 28 ноября, 2018 Поделиться Опубликовано 28 ноября, 2018 Когда цементируем вкладку допустим на fuji+ критично ли не использавыние спиральки для наполнения канала цементом? Просушиваете ли вы канал бумажными пинами как в эндо перед пломбировкой каналов? Ссылка на комментарий
Doc Опубликовано 28 ноября, 2018 Поделиться Опубликовано 28 ноября, 2018 Когда цементируем вкладку допустим на fuji+ критично ли не использавыние спиральки для наполнения канала цементом? Просушиваете ли вы канал бумажными пинами как в эндо перед пломбировкой каналов?Не критично, но возможны поры и пузыри. Каналонаполнитель и лучше загонит цемент в канал до самого верха, да и заодно домешает его качественно, если ассистент плохо замешал.Бумажными пинами пользуюсь обязательно. Ссылка на комментарий
Lostikas Опубликовано 28 ноября, 2018 Поделиться Опубликовано 28 ноября, 2018 Благодарю Doc!А как вы снимаете слепок под вкв? можете вкратце описать.Конкретнно интересует момент внесения корегирующей массы, парой приходиться снимать слепок сразу под несколько штифтов или допустим 2 зуба пятерка и шестерка т.е. 4-5 каналов. Используете ли вы спиральку?Как успеть и спиралькой пробежать по всем каналам и елочки везде расставить. У меня часто прохо проснимаются корни есть поры, спиралькой не пользуюсь0 боюсь не успеть, просто раздуваю корегу и вставляю быстренько уже заранее подготовленные по длине елочки, последнее время 95% штифтов детаю через слепок,С Уважением! Ссылка на комментарий
Doc Опубликовано 29 ноября, 2018 Поделиться Опубликовано 29 ноября, 2018 Благодарю Doc!А как вы снимаете слепок под вкв? можете вкратце описать.Конкретнно интересует момент внесения корегирующей массы, парой приходиться снимать слепок сразу под несколько штифтов или допустим 2 зуба пятерка и шестерка т.е. 4-5 каналов. Используете ли вы спиральку?Как успеть и спиралькой пробежать по всем каналам и елочки везде расставить. У меня часто прохо проснимаются корни есть поры, спиралькой не пользуюсь0 боюсь не успеть, просто раздуваю корегу и вставляю быстренько уже заранее подготовленные по длине елочки, последнее время 95% штифтов детаю через слепок,С Уважением!Нет, в слепках я не использую каналонаполнитель, потому что пока им загонишь массу в канал, все затвердеть успеет. Обычным шприцом коррекцию запускаю насколько пройдет в устья, сверху быстро втыкаю пластиковые штифты и сразу накрываю базой. Я 100 процентов вкладок делаю через слепок. Во рту не моделирую. 1 Ссылка на комментарий
Дмитрий Л. Опубликовано 29 ноября, 2018 Поделиться Опубликовано 29 ноября, 2018 А что за штифты? Беззольные? Ссылка на комментарий
Lostikas Опубликовано 29 ноября, 2018 Поделиться Опубликовано 29 ноября, 2018 Нет, в слепках я не использую каналонаполнитель, потому что пока им загонишь массу в канал, все затвердеть успеет. Обычным шприцом коррекцию запускаю насколько пройдет в устья, сверху быстро втыкаю пластиковые штифты и сразу накрываю базой. Я 100 процентов вкладок делаю через слепок. Во рту не моделирую. Спасибо! Ссылка на комментарий
Doc Опубликовано 30 ноября, 2018 Поделиться Опубликовано 30 ноября, 2018 А что за штифты? Беззольные?Да, Цека 1 Ссылка на комментарий
азамадъ Опубликовано 1 декабря, 2018 Поделиться Опубликовано 1 декабря, 2018 Обычным шприцом коррекцию запускаю Из диспенсера сканюлей,как я понимаю?Спасибо за ответ Ссылка на комментарий
Doc Опубликовано 2 декабря, 2018 Поделиться Опубликовано 2 декабря, 2018 Обычным шприцом коррекцию запускаюИз диспенсера сканюлей,как я понимаю?Спасибо за ответДа, шприцом. У Спидекса нет диспенсера, там обычный шприц. Ассистент замешивает и заталкивает в него, потом, пока я шприцом работаю, замешивает базу и подает. Ссылка на комментарий
AndyAndy Опубликовано 2 декабря, 2018 Поделиться Опубликовано 2 декабря, 2018 Да, ЦекаКстати хотел спросить: какая разница, беззольный штифт или нет, если техник отливает модель и моделирует вкладку из воска полностью, включая внутриканальную часть? По крайней мере, мой так делает))То есть штифт просто выбрасывается. Можно использовать вместо них обрезанные аппликаторы, дешевле будет 1 Ссылка на комментарий
Дмитрий Л. Опубликовано 2 декабря, 2018 Поделиться Опубликовано 2 декабря, 2018 А можно штифт просить вернуть Ссылка на комментарий
Notherbrick Опубликовано 3 декабря, 2018 Поделиться Опубликовано 3 декабря, 2018 Кстати хотел спросить: какая разница, беззольный штифт или нет, если техник отливает модель и моделирует вкладку из воска полностью, включая внутриканальную часть? По крайней мере, мой так делает))То есть штифт просто выбрасывается. Можно использовать вместо них обрезанные аппликаторы, дешевле будетПусть так не делает. Тем более как обстоит с разборными вкладками, запирающий штифт тоже полностью из воска?)А так в том и разница, что если моделировать саму культю из воска, но на этом самом беззольном штифте, то необходимо чтобы он выгорел полностью Ссылка на комментарий
AndyAndy Опубликовано 3 декабря, 2018 Поделиться Опубликовано 3 декабря, 2018 Пусть так не делает. Тем более как обстоит с разборными вкладками, запирающий штифт тоже полностью из воска?)А так в том и разница, что если моделировать саму культю из воска, но на этом самом беззольном штифте, то необходимо чтобы он выгорел полностьюРазборные вкладки не делаю - это абсолютное зло))Принцип выгорания штифта понятен, раньше ими и работал, но как увидел методику техника, задался вопросом «зачем они нужны»?Могу сказать, что сделав более 6 тыс вкладок, практически не наблюдаю осложнений, вкладки садятся пассивно и по снимкам все ок. Так что доверяю технику и «экономлю» на беззольных штифтах...) 1 Ссылка на комментарий
Bruks Опубликовано 3 декабря, 2018 Поделиться Опубликовано 3 декабря, 2018 Разборные вкладки не делаю - это абсолютное зло))Принцип выгорания штифта понятен, раньше ими и работал, но как увидел методику техника, задался вопросом «зачем они нужны»?Могу сказать, что сделав более 6 тыс вкладок, практически не наблюдаю осложнений, вкладки садятся пассивно и по снимкам все ок. Так что доверяю технику и «экономлю» на беззольных штифтах...) Разборные вкладки не рассматриваете даже как последний вариант восстановления зуба ? Зубы с частичным или отсутствующим феррулом удаляете? Ссылка на комментарий
Notherbrick Опубликовано 3 декабря, 2018 Поделиться Опубликовано 3 декабря, 2018 (изменено) Разборные вкладки не делаю - это абсолютное зло))Принцип выгорания штифта понятен, раньше ими и работал, но как увидел методику техника, задался вопросом «зачем они нужны»?Могу сказать, что сделав более 6 тыс вкладок, практически не наблюдаю осложнений, вкладки садятся пассивно и по снимкам все ок. Так что доверяю технику и «экономлю» на беззольных штифтах...)В таком случае все карты в руки) Изменено 3 декабря, 2018 пользователем Notherbrick Ссылка на комментарий
Рекомендуемые сообщения
Для публикации сообщений создайте учётную запись или авторизуйтесь
Вы должны быть пользователем, чтобы оставить комментарий
Создать аккаунт
Зарегистрируйте новый аккаунт в нашем сообществе. Это очень просто!
Регистрация нового пользователяВойти
Уже есть аккаунт? Войти в систему.
Войти