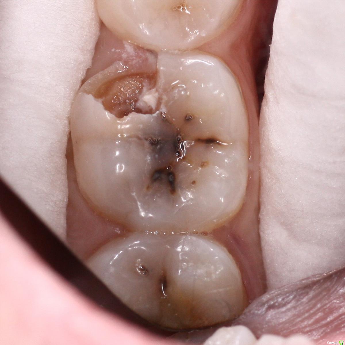
Паращук Роман Опубликовано 3 марта, 2019 Поделиться Опубликовано 3 марта, 2019 Это не трещина,а грув. Ссылка на комментарий
Kolchanov Опубликовано 3 марта, 2019 Автор Поделиться Опубликовано 3 марта, 2019 Это понятно, но что толку-то? Ссылка на комментарий
ARislanV Опубликовано 4 марта, 2019 Поделиться Опубликовано 4 марта, 2019 Это не трещина,а грув.А что такое грув? Ссылка на комментарий
Vladimirov Опубликовано 4 марта, 2019 Поделиться Опубликовано 4 марта, 2019 А что такое грув? это ди-джей эт желобок такаой аномальный 1 Ссылка на комментарий
ARislanV Опубликовано 8 марта, 2019 Поделиться Опубликовано 8 марта, 2019 это ди-джей эт желобок такаой аномальныйа чем он опасен?) Ссылка на комментарий
Вточкууходястер Опубликовано 11 марта, 2019 Поделиться Опубликовано 11 марта, 2019 Enamel Plus HRi 1 Ссылка на комментарий
ARislanV Опубликовано 11 марта, 2019 Поделиться Опубликовано 11 марта, 2019 (изменено) Enamel Plus HRi круто. Кроме Изменено 11 марта, 2019 пользователем ARislanV Ссылка на комментарий
Вточкууходястер Опубликовано 11 марта, 2019 Поделиться Опубликовано 11 марта, 2019 Как раз на фото это увидел и матрицу переставил.Повторно фоткать заленился. Там всё норм. 1 Ссылка на комментарий
Вточкууходястер Опубликовано 11 марта, 2019 Поделиться Опубликовано 11 марта, 2019 Собственно,целое посещение потратил на препарирование,адаптацию матрицы и восстановление этого туннеля. Остальное-второй визит. Ссылка на комментарий
Kolchanov Опубликовано 12 марта, 2019 Автор Поделиться Опубликовано 12 марта, 2019 Вот такое вот наблюдение за пломбой на большом клиновидном дефекте. Пока еще не отвалилась, но уже почти. 2 Ссылка на комментарий
Kolchanov Опубликовано 12 марта, 2019 Автор Поделиться Опубликовано 12 марта, 2019 Пескоструя тогда еще не было. С ним, думаю, на подольше бы хватило. Ссылка на комментарий
Moisha Опубликовано 9 апреля, 2019 Поделиться Опубликовано 9 апреля, 2019 Пескоструя тогда еще не было. С ним, думаю, на подольше бы хватило. Ссылка на комментарий
Moisha Опубликовано 9 апреля, 2019 Поделиться Опубликовано 9 апреля, 2019 Почему композит начал сахариться?Не знаю что делать, недавно купил??? Ссылка на комментарий
vse32 Опубликовано 9 апреля, 2019 Поделиться Опубликовано 9 апреля, 2019 Почему композит начал сахариться?Не знаю что делать, недавно купил???Что за композит? Ссылка на комментарий
Moisha Опубликовано 10 апреля, 2019 Поделиться Опубликовано 10 апреля, 2019 Что за композит? Харизма Classic Ссылка на комментарий
___49___ Опубликовано 10 апреля, 2019 Поделиться Опубликовано 10 апреля, 2019 Харизма Classic2 месяца назад - попал на подделку , обратите внимание , скорее всего вами купленный композит по тактильным ощущениям отличается от ранее используемой партии ? Ссылка на комментарий
Л Ю С Я Опубликовано 10 апреля, 2019 Поделиться Опубликовано 10 апреля, 2019 Почему композит начал сахариться?Не знаю что делать, недавно купил???Вариантов несколько: подделка, просроченный, нарушены условия хранения. В таком состоянии композит, в котором уже началась полимеризация 1 Ссылка на комментарий
Vladimirov Опубликовано 11 апреля, 2019 Поделиться Опубликовано 11 апреля, 2019 Вариантов несколько: И ещё вариант-склонность самого композита к "засахариванию"Был помнится у меня славный композит Амелоген плюс. Ну вот ничего плохого сказать не могу. И дентины замечательные и полируется хорошо итд итп. Но вот собак такой начал сахарится люто. У него даже в инструкции про это есть,мол греть надо. Вот так Ссылка на комментарий
Kolchanov Опубликовано 11 апреля, 2019 Автор Поделиться Опубликовано 11 апреля, 2019 Амелоген плюсНа одной из работ его часто использовали на билд-апы (ow), я с тех пор не встречал композита, который вклеить было бы сложнее. Ссылка на комментарий
Vladimirov Опубликовано 11 апреля, 2019 Поделиться Опубликовано 11 апреля, 2019 вклеить было бы сложнее. хм,ну не знаю знаю, на FL клеился отлично. По крайней мере особой разницы с другими композитами не заметил. А вот когда начал подсахариваться,тогда да,прям беда с ним. Ссылка на комментарий
Kolchanov Опубликовано 11 апреля, 2019 Автор Поделиться Опубликовано 11 апреля, 2019 Катается, скользит, лип ко всему, кроме зуба. Ссылка на комментарий
Danger Опубликовано 12 апреля, 2019 Поделиться Опубликовано 12 апреля, 2019 К пескоструенному нормально.после пескоструйной обработки силаните или сразу адгезивный протокол? Ссылка на комментарий
Kolchanov Опубликовано 12 апреля, 2019 Автор Поделиться Опубликовано 12 апреля, 2019 Металл хоть обсиланься, толку - ноль. Ссылка на комментарий
ARislanV Опубликовано 13 апреля, 2019 Поделиться Опубликовано 13 апреля, 2019 Металл хоть обсиланься, толку - ноль.ну говорят праймеры для металла все же увечичивают силу сцепки Ссылка на комментарий
Kolchanov Опубликовано 14 апреля, 2019 Автор Поделиться Опубликовано 14 апреля, 2019 Силан и праймер - разные вещи. Ссылка на комментарий
Рекомендуемые сообщения
Для публикации сообщений создайте учётную запись или авторизуйтесь
Вы должны быть пользователем, чтобы оставить комментарий
Создать аккаунт
Зарегистрируйте новый аккаунт в нашем сообществе. Это очень просто!
Регистрация нового пользователяВойти
Уже есть аккаунт? Войти в систему.
Войти